CIRRHOSIS Pathophysiology Complications What is Cirrhosis Cirrhosis Definition

  • Slides: 155
Download presentation
CIRRHOSIS Pathophysiology & Complications

CIRRHOSIS Pathophysiology & Complications

What is Cirrhosis?

What is Cirrhosis?

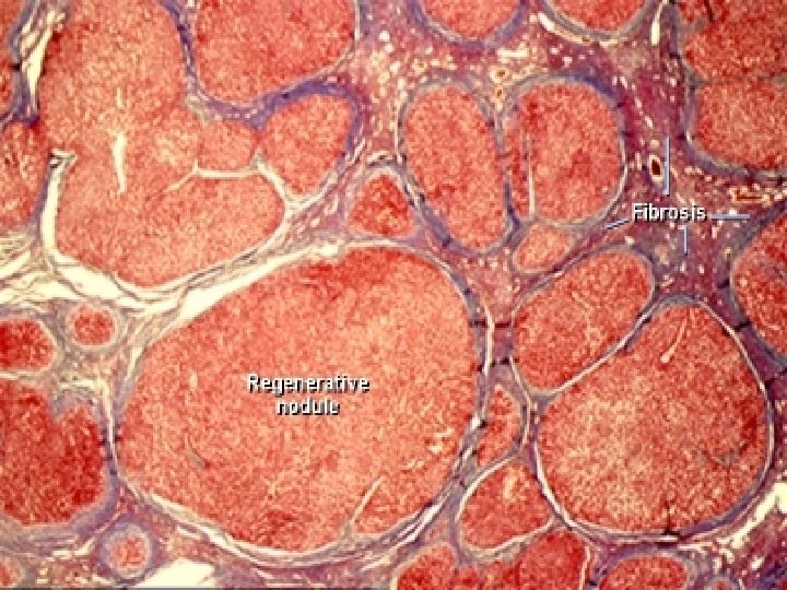
Cirrhosis Definition: Hepatic necrosis and degeneration combined with hepatic regeneration and fibrosis leading to

Cirrhosis Definition: Hepatic necrosis and degeneration combined with hepatic regeneration and fibrosis leading to Nodular formation

Normal liver functions Carbohydrate Metabolism Hypo- or hyperglycemia Fatty Acids Metabolism Lipid Transport Hyper-

Normal liver functions Carbohydrate Metabolism Hypo- or hyperglycemia Fatty Acids Metabolism Lipid Transport Hyper- or hypolipidemia Proteins Metabolism Serum Albumin Vitamin K–Dependent Blood Coagulation Proteins Bilirubin Metabolism Bile Production Fat-Soluble Vitamins Detoxification Drugs and hormones Providing continual source of energy for entire body Regulation of storage and modulate availability of systemic nutrients Subject to hormonal modulation by endocrine organs (Pancreas, adrenal gland, and thyroid, neuronal regulation)

1. Atrterial System 3. Venous System 2. Capillary System

1. Atrterial System 3. Venous System 2. Capillary System

5. Venous System 4. Second Visceral Capillary System 3. Venous System 2. First Visceral

5. Venous System 4. Second Visceral Capillary System 3. Venous System 2. First Visceral Capillary System 3. Visceral Venous System 2. Capillary System 1. Atrterial System

Normal Liver Histology CV 2 -3 mm. Hg 6 mm. Hg PV

Normal Liver Histology CV 2 -3 mm. Hg 6 mm. Hg PV

None = 0 Portal Fibrosis = 1 Bridging Fibrosis = 3 Cirrhosis = 4

None = 0 Portal Fibrosis = 1 Bridging Fibrosis = 3 Cirrhosis = 4

What is patophysiology of Cirrhosis?

What is patophysiology of Cirrhosis?

Cirrhosis Causes (Etiology of chronic necrosis) + Host (Liver reaction) Lead to Cirrhosis &

Cirrhosis Causes (Etiology of chronic necrosis) + Host (Liver reaction) Lead to Cirrhosis & complications

What is clinical manifestation of Cirrhosis?

What is clinical manifestation of Cirrhosis?

Cirrhosis Clinical manifestations: - No symptoms (routine examination) 40% - Impaired hepatocellular function (Liver

Cirrhosis Clinical manifestations: - No symptoms (routine examination) 40% - Impaired hepatocellular function (Liver failure) - Portal hypertension - Clinical manifestation of underlying disease

What is natural history of Cirrhosis?

What is natural history of Cirrhosis?

How do you make diagnosis of cirrhosis?

How do you make diagnosis of cirrhosis?

Cirrhosis Clinical work up: 1. Nature (Causes, Diseases) 2. Severity (Fibrosis, Complications)

Cirrhosis Clinical work up: 1. Nature (Causes, Diseases) 2. Severity (Fibrosis, Complications)

Cirrhosis Diagnostic approach: 1. Liver function tests (PT, Pr. , Alb, Bili, PLT) 2.

Cirrhosis Diagnostic approach: 1. Liver function tests (PT, Pr. , Alb, Bili, PLT) 2. Liver damage tests (AST>ALT, Alk. Ph) 3. Liver ultrasound (nodularity, decrease in size, portal vein enlargment, prominent left lobe) 4. Etiological diagnostic tests 5. Liver biopsy 6. Surveillance tests (AFP, sonography, endoscopy, pracentesis, creatinine)

What is general clinical management of cirrhosis?

What is general clinical management of cirrhosis?

Cirrhosis Clinical management: 1. Etiological treatment 2. Prophylactic treatment 3. Pre-transplantation care 4. Liver

Cirrhosis Clinical management: 1. Etiological treatment 2. Prophylactic treatment 3. Pre-transplantation care 4. Liver transplantation