Acute severe asthma in children Pierre Goussard RP































































- Slides: 63
Acute severe asthma in children Pierre Goussard , RP Gie , S Kling Tygerberg Children's Hospital, Stellenbosch University Cape Town , South Africa
Case presentation • • • 2 year old boy from Delft Presents with tight chest and wheezing No previous episodes No TB contact No allergies No important previous medical history Cyanotic No clubbing Severely distress
Respiratory system • • Tachypnea Retraction Trachea central Reduced ventilation bilaterally but right more than left • Wheezing
Treatment • • • Berotec and Atrovent nebs Salbutamol IV Solumedrol IV Desaturated and intubated At this stage very little ventilation right and hyperresonant on percussion
Prevalence • Estimated prevalence in South Africa – 10 – 15% • Most asthmatics have mild to moderate disease, with severe asthma thought to affect less than 10% of asthmatics. Levin M. S A Resp r J 2006; 12(1) 14 - 18. Moore WC J Allergy Clin Immunol l 2006; 17: 487 -494
• Acute attacks of asthma come on suddenly. • May occur in patients with well-controlled asthma, but usually are an indication of failure of the long-term management plan. • Acute severe asthma is one of the most common medical emergency situations in childhood
Status asthmatics “Defined as wheezing which does not respond to initial treatment with inhaled bronchodilators “ Mannix R, Bachur R: Status asthmaticus in children. Curr Opin Pediatr 2007, 19: 281 -7. Werner HA: Status asthmaticus in children. Chest 2001, 119: 1913 -29.
What define a severe acute attack? • • Disturbance in level of consciousness Inability to speak and/or feed Severely diminished or absent breath sounds Central cyanosis. Use of accessory muscles while breathing. Increased respiratory and cardiac rate Non-invasive objective measures, which aid in the assessment of the patient with acute asthma include: – peak expiratory flow rate (PEF) – pulse oximetry
Who are at risk for fatal asthma • Previous ICU admission for asthma, especially if mechanical ventilation required • Current or very recent treatment with prednisone • Hospitalization or emergency department visit for asthma in the past year • Not currently using inhaled corticosteroids • Excessive use of short-acting inhaled ß 2 agonist • Chronic severity with impaired lung functions
Robertson et al have found that in 51 paediatric deaths from asthma in Australia only in 39% where was a potentially preventable cause of death Robertson CF et al. Ped Pulmomology 2002; 13: 95 - 100
Cardiopulmonary interactions • Marked changes in lung volume and pleural pressures impact on the function of both left and right ventricles. • Spontaneously breathing children with severe asthma have negative intrapleural pressures • Mean pleural pressure becomes more negative with increasing severity of the attack. • Negative intrapleural pressure causes increased left ventricular afterload and favors transcapillary filtration of edema fluid into airspaces resulting in a high risk for pulmonary edema. • Right ventricular afterload is increased secondary to hypoxic pulmonary vasoconstriction, acidosis, and increased lung volume.
Pulses paradoxus • This actually inappropriate term describes an exaggeration of the normal inspiratory drop in arterial pressure (normally < 5 mm Hg, but < 10 mm Hg in pulses paradoxus). • Pulsus paradoxus is the result of a marked inspiratory decrease in left sided cardiac output, caused by decreased left atrial return from increased capacitance of the pulmonary vascular bed, and increased left ventricular afterload from negative pleural pressures.
Wheeze • Extent of wheeze does not necessarily reflect the extent of bronchopulmonary obstruction, since some degree of airflow is required to produce a wheeze • Decreasing wheeze and breath sounds and a "quiet chest“ in a child with increasing respiratory efforts may signal imminent respiratory failure. • Conversely, increasing wheeze in a child with severe asthma may indicate improvement. Mc. Fadden ER Jr, Kiser R, De. Groot W: Acute bronchial asthma: relations between clinical and physiologic manifestations. N Engl J Med 1973, 288: 221 -5.
Is it asthma • Other conditions present with airway obstruction – Small airways obstruction – Large airway obstruction
Is this asthma? • • • (1) Cystic fibrosis (2) Primary ciliary dyskinesia (3) Bronchiolitis obliterans (4) Congenital or acquired airway abnormalities (5) Extrinsic allergic alveolitis; (6) Inhaled foreign body; (7) Gastro-oesophageal reflux; (8) Vocal cord dysfunction; (9) Hyperventilation/panic disorder
Blood gasses • Hypoxemia and the increased work of breathing may result in anaerobic muscle work and accumulation of lactate. • During an asthma attack, metabolic acidosis may initially be compensated for by hyperventilation and a respiratory alkalosis • But as respiratory failure develops, increasing arterial CO 2 will result in a respiratory acidosis and a further decrease in arterial p. H • Increasing levels of CO 2 is a ominous sign • Hypocarbia → Nomal PCO 2 = trouble
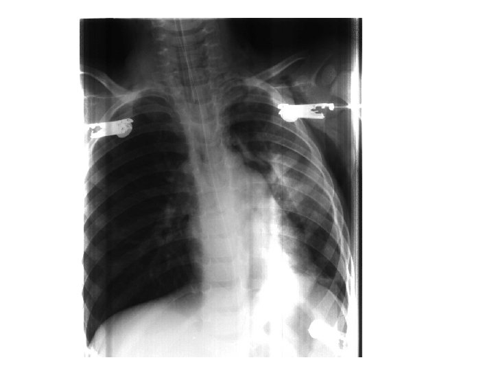
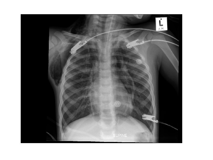
Chest X-ray in severe asthma • Relevant in search for underlining complications – Pneumonia – Air leakages – Collapse • Ventilated patients
Basic treatment of acute asthma • Repeated doses of short acting B 2 agonist – driven by oxygen – repeated doses every 15 – 30 min • Systemic corticosteroids – The earlier they are administered the better the outcome • Oxygen
Oxygen • Oxygen must be considered as a drug in a situation of acute asthma – reducing hypoxic pulmonary vasoconstriction – ventilation-perfusion mismatch • Recent guidelines recommend that oxygen saturation in children should be kept above 95% Global Strategy for Asthma Management and Prevention 2008 (update) [http: //www. ginasthma. org]
Inhaled bronchodilators • Inhaled bronchodilators – B 2 agonists – Adrenaline – Anticholinergics • Additional treatment – IV theophylline – IV b 2 -agonists – IV magnesium sulphate
Inhaled B 2 agonists • There is evidence suggesting that continuous administration of nebulised β 2 -agonists may have a better and prolonged bronchodilatory effect compared to intermittent therapy • A sustained stimulation of β 2 -receptors is accomplished, and a possible rebound bronchoconstriction reported during intermittent therapy is prevented • An often used rule of thumb is that β 2 -agonist should be administered until development of significant side effects, a strategy requiring close monitoring Carroll W, Lenney W: Drug therapy in the management of acute asthma. Arch Dis Child Educ Pract Ed 2007, 92(3): ep 82 -ep 86
• Nebulizes Salbuterol, 2. 5 mg (diluted to 4 m. L), in uncomplicated asthma, double the concentration in severe cases • Undiluted drug for severe status asthmaticus. Werner HA. Chest 2001 ; 119: 1913 -1929
Nebulized vs MDI B 2 agonist • A meta-analysis performed in 491 children under 5 years of age with acute exacerbations. • Patients who received b-agonists by MDI and valved holding chamber showed a significant decrease in the admission rate compared with those receiving nebulizer treatments [odds ratio (OR), 0. 42; 95% CI, 0. 24– 0. 72)] Castro-Rodriguez JA et al. J Pediatr 2004; 145: 172– 177.
• Patient may use an empty MDI during an acute exacerbation. • Even with adequate supervision, correct MDI technique, and a full MDI device, hospitalized children may benefit from nebulized b-agonists over MDI forms. • The potential for suboptimal MDI technique may increase with increasing severity of exacerbations. • The nebulized route allows continuous bronchodilator administration,
Ipratropium bromide • The combination of nebulised IB with a nebulised ß 2 agonist has been shown to result in greater bronchodilatation than a ß 2 agonist alone. • The most severely affected patients benefit the most, and IB should be considered in combination with inhaled ß 2 agonists : – More severe forms of asthma – Early in the acute attack, – If there is an incomplete response to inhaled ß 2 agonists on their own • May be repeated every 20 min for the first hour and every four hours thereafter Plotnick LH et al. Cochrane library issue 3 2001
Nebulised adrenaline • Both the a-agonist and b-agonist effects of adrenaline might be beneficial, with the a-effect decreasing oedema and the b-effect responsible for bronchodilation • In infants and young children with acute asthma and mucosal oedema and secretion may dominate the pathophysiology • Inhaled β 2 -agonists may be less efficient. • Nebulised adrenaline has a rapid but short acting effect on mucosal oedema and may be of value as initial treatment also in severely obstructed older children, before administration of inhaled β 2 -agonists. Carlsen KH, Carlsen KCL: Pharmaceutical treatment strategies for childhood asthma. Curr Opin Allergy Clin Immunol 2008, 8(2): 166 -17
IV Salbutamol • The use of IV salbutamol (15 mcg/kg as a once-off dose) in the early management of acute severe asthma in children has been shown to reduce the duration of the exacerbation and hasten the discharge from hospital of the children. • In the intensive care unit IV salbutamol by continuous infusion is effective and probably safer than aminophylline. • Side effect – Cardiovascular in nature – hypokalemia Browne GJ et al. Lancet 1997; 349: 301 -305
IV aminophylline • The positive effect from theophylline infusion on acute asthma is well documented, as are the potential for side effects and severe or even fatal complications • May be used in cases of near fatal or life threatening asthma in the intensive care unit. • Inhaled drugs may have limited effect in children with nearly complete airway obstruction and have practical limitations in ventilated patients. • A reasonable starting point is a 6 -mg/kg aminophylline load followed by a 1 -mg/kg/h infusion.
`Cochrane concluded that in children with severe asthma , the addition of IV aminophylline to b 2 agonists and steroids improves lung functions within 6 hours` Cochrane Database Syst Rev 2005;
Steroid therapy • Steroid tablets or liquid are effective as injected steroids. – Effect after 3 -4 hours • But patient must be able to swallow and not vomit • Usual dose of oral prednisone or prednisolone is 2 mg/kg/day • Hydrocortisone of 4 mg/kg or methylprednisolone 0. 5 - 1. 0 mg/kg every 4 -6 hour are alternatives to oral steroids, but may be reserved for children unable to receive oral administration due to severity or low age • A prolonged course of treatment may be particularly necessary if the exacerbation is the result of longstanding untreated bronchial inflammation. BTS guidelines 2005
• Higher steroid doses do not appear to offer a therapeutic advantage, and because the risk of myopathy is significant, especially in the ventilated patients • The concomitant use of systemic corticosteroids and paralytic agents should be avoided if at all possible. • There is some suggestion that for patients with severe symptoms i. v. corticosteroid therapy might have an early effect (within 1– 6 h) by reversing b 2 receptor down regulation seen in chronic b 2 -agonist use. Ellul-Micallef R, Fenech FF. Effect of intravenous prednisolone in asthmatics with diminished adrenergic responsiveness. Lancet 1975; 2: 1269– 71.
Adrenaline • Adrenaline 0. 01 ml/kg of a 1: 1000 solu- tion administered subcutaneously may be used in patients who are moribund on presentation to the ED, or where in- haled therapy is not available.
Magnesium sulphate • Magnesium cause smooth muscle relaxation secondary to inhibition of calcium uptake. • A single dose of IV magnesium sulphate has been shown to be safe and effective in those patients with acute severe asthma who have had a poor response to initial therapy. • The response to magnesium appears to be best in patients who present with very severe illness. • The recent GINA-guidelines suggest that iv magnesium may be considered in acute moderate and severe asthma with incomplete response to initial treatment during the first 1 -2 hours • The dose is 25 - 50 mg/kg/dose (maximum 2 g) by slow IV infusion. Ciarallo L et al. J Pediatr 1996; 129809 -814 Global Strategy for Asthma Management and Prevention 2008 (update) [http: //www. ginasthma. org]
• One double-blind placebo-controlled study reported a significant increase in peak expiratory flow, FEV 1, and forced vital capacity in children who had asthma and were treated with a single 40 -mg/kg dose of magnesium sulfate (Mg. SO 4) infused over 20 minutes, along with steroids and inhaled bronchodilators, compared with control subjects who received saline placebo. • These patients were significantly more likely to be discharged home from the presenting ED than control subjects (0 of 14 patients; P =. 002). Ciarallo L, Brousseau D, Reinert S. Higher-dose intravenous magnesium therapy for children with moderate to severeacute asthma. Arch Pediatr Adolesc Med. Oct 2000; 154(10): 979 -83.
Is there a role for ICS during acute attack • Emerging data suggest that high doses of ICS may be as effective as systemic corticosteroids in the treatment of acute asthma exacerbations in children • During more severe exacerbations, there is little published evidence regarding corticosteroid dosage and duration. Volovitz B. Respir Med 2007; 101: 685– 695.
IV fluids • It is inadvisable to overhydrate patients with acute asthma, and the recommended IV fluid volume in children should not exceed 50 ml/kg/24 hours. • Risks – Pulmonary oedema – SIADH
Clinical phenotypes : risk of PICU admission • Obesity may be an important confounder in children with asthma • Genetic variations in the population may also be important in influencing response to therapy for acute asthma. • Recently, Carroll et al identified a population of children admitted to the ICU with severe asthma who were slow-responders to b-agonist therapy Carroll CL et al. Pediatr Crit are 2006; 7: 527– 531. Carroll CL et al. Pediatr Pulmonol 2008; 43: 627– 633
OTHER • Heliox – 80: 20 mixture of helium-oxygen is most effective, and heliox loses most of its clinical utility when the Fi. O 2 is greater than 40%, reducing the percentage of helium to less than 60% • Leukotriene antagonists – montelukast intravenousl – administered in the ED to patients presenting with acute asthma resulted in improved FEV 1 within 20 min of administration. – Patients treated with montelukast tended to receive less bagonists and have fewer treatment failures than patients receiving placebo. Camargo CA Jr, Smithline HA, Malice MP, Green SA, Reiss TF. A randomized controlled trial of intravenous montelukast in acute asthma. Am. J. Respir. Crit. Care Med. 2003; 167: 528– 33.
Intubation • Intubation and positive pressure ventilation of an asthmatic child may: – increase bronchoconstriction, – Increase the risk of airway leakage – has disadvantageous effects on circulation and cardiac output • < 1% of asthmatic children admitted to a children’s hospital and 5 to 10% of asthmatic patients admitted to pediatric intensive care require intubation. Dworkin G et al. Mechanical ventilation for status asthmaticus in children. J Pediatr 1989; 114: 545– 549 Pirie J et al. Changes in treatment and outcomes of children receiving care in the ICUs for severe acute asthma. Pediatr Emerg Care 1998; 14: 104– 108
When to intubate • Absolute indications for intubation: – include severe hypoxia – cardiopulmonary arrest – severe deterioration of the mental status of the child. • Relative indications: – are progress of respiratory failure – increasing CO 2 despite adequate utilisation of all available treatment measure – Global initiative for asthma suggests PC 02 > 45 mm. Hg is an indication for ICU admission Decision should not only depend on blood gas , but should be made on clinical grounds
• Before intubation, the child should be properly preoxygenated. • Atropine may be indicated together with a sedative and a rapid muscle relaxant. • Ketamine (1 -2 mg/kg i. v) is often recommended due to its bronchodilating effect • Neuromuscular blockade • Cuffed ET • Complications post intubation: – Hypotension – cardiac arrest – pneumothorax and hypoxia may develop • Hypotension may be caused by hyperinflation with decreased veneous return to the heart, aggravated by the vasodilatory effects of medications used during intubation. • Hypotension may be prevented by a fluid bolus given prior to intubation
> 50% OF THE COMPLICATIONS IN ASTHMATIC PATIENTS BEING VENTILATED OCCUR DURING OR IMMEDIATELY AFTER INTUBATION Zimmerman JL et al. Crit Care Med 1993; 21: 1727 -1730
Asthma complications • • • • Pneumothorax Pneumomediastinum Pneumopericardium Pulmonary interstitial emphysema Pneumoretroperitoneum Cardiac arrhythmias Myocardial ischaemia or infarction Mucus plugging Atelectasis Pneumonia Electrolyte disturbances – Hypokalaemia – Hypomagnesaemia – hypophosphataemia) Lactic acidosis Hyperglycaemia Theophylline toxicity
Ventilation • Positive pressure ventilation is complicated by severe airway obstruction and air trapping, which results in hyperinflated lungs that may resist further inflation and has a high risk of barotrauma. • Asthma is a disease increased airway resistance, resulting in prolongation of the time constant (the time needed for lung units to fill and empty). Slow ventilator rates are needed. • In the face of high peak airway pressures, the principle of mechanical ventilation of status asthmaticus is controlled hypoventilation, tolerating higher levels of PCO 2 in order to minimize tidal volume and peak inspiratory pressures. • Permissive hypercapnia can be tolerated as long as the patient remains adequately oxygenated. • A longer I: E ratio, often greater than 1: 3 -4, helps allow time for optimal exhalation, facilitating ventilation and avoiding excessive further air-trapping (auto-PEEP).
• The use PEEP is controversial. A patient with status asthmaticus in respiratory failure on mechanical ventilation usually has a significant amount of air trapping that results in intrinsic PEEP, which may be worsened by maintaining PEEP during exhalation. • However, some patients may benefit by the addition of PEEP, perhaps by maintaining airway patency during exhalation. • In a patient who remains refractory to the initial ventilatory settings with no or very low PEEP, cautiously increasing the PEEP may prove beneficial
Settings • Rate – slow – Well below what is normal for age • IT – 0. 75 s- 1. 5 s • Pi. P – Normally very high – – – Due to high inspiratory flow PIP does not represent alveolar pressures Not good indicator of the risk of barotrauma Inspiratory plateau pressure better Try keep < 40 cm. H 20 • PEEP - ?
• Sedation – Not morphine because of histamine release • Hypercarbia – Ph >7. 10 but need to oxygenate in less than Fi. O 2 < 0. 6
• Halothane and isoflurane have been successfully administered in children receiving mechanical ventilation with lifethreatening asthma • Difficult and lots of complications – Halothane- cardiac problems – Increase intrapulmonary shunt
42% experienced a complication. Complication rate 15 times more in the ventilated patients Carrol CL et al. Pediatric Pulmonology 2007; 42: 914 -919
Bronchoscopy and BAL • Mucous plugging may be a reason why a small number of children does not improve despite maximal therapy • Asthmatic children with massive bronchial cast or plastic bronchitis have been described • Children being ventilated and whose condition is deteriorating despite maximal therapy , severe mucous plugging must be considered • Bronchoscopy in this setting may be very dangerous
• ECMO • HFOV – Case reports Duval ELIMet al. Ped Pulmonol 2000; 30: 350 -353 Hebbar KB et al. Critical Care 2009; 13: R 29
Acute severe asthma 1. Oxgen Duration of treatment + 1 hour allowed before next step 2. B 2 agonist plus IB 3. Steroids Improvement No improvement Risk factors plus danger signs IV magnesium sulphate Long term management No improvement ICU admission for IV salbutamol or IV aminophyllin No improvement Inhalation gas Intubation plus ventilation HFOV ? Add Ketamine infusion Use muscle relaxant No improvement ECMO?