Escola Superior de Cincias da SadeSESDF CASO CLNICO



























































































- Slides: 91
Escola Superior de Ciências da Saúde/SES/DF CASO CLÍNICO NEONATOLOGIA SÍNDROME DE EDWARDS Apresentação: Alanna Alves Natália Silva Coordenação: Orientador: Paulo R. Margotto Escola Superior Ciências da Saúde/SES/DF www. paulomargotto. com. br Brasília, 13 de agosto de 2013
Ddo Vinicius Veloso, Dr. Filipe, Dr. Paulo R. Margotto Ddo Gustavo Matos, Dda Natália Silva, Dda Alanna Alves Dda. Marina Dutra
Sala de Parto • RN feminino nascido às 15: 33 de 02/07/13, de parto cesáreo, LA claro, uma circular de cordão, peso da placenta 285 g. • PN=1830 g; PC=34 cm; E=41 cm, Apgar: 4 -9 • IG (Capurro): 40 semanas; IG (DUM): 40 s + 1 d • Exame Físico: REG, hipoativa, dispneica, gemente, tiragem intercostal 2+/4+, encurtamento de MMSS, edema subcutâneo facial. • TS RN: B+ • Conduta: reanimação VPP com máscara e CFR (Apgar 4 9)
História Materna • Mãe 41 anos, procedente de Valparaíso (GO), pré-natal iniciado no 1º trimestre, realizou 8 consultas, GESTA II PARA I. • Diagnósticos pré-natal: feto com malformações mesomelia de MMSS, encurtamento acentuado de rádio e ulna bilateral, CIV perimembranosa, RCIU, centralização fetal. • Imunizações: d. T e Hep B. • Sorologias: HIV/VDRL 1º e 3º tri não reagentes. • TS: B positivo
Evolução • 2 h DV: persiste com gemência, BAN, TIC/TSC moderadas. Realizado CPAP e iniciada HV. • Admissão UTIN (4 h DV): Realizada IOT devido a manutenção do desconforto respiratório e queda da saturação, acoplado em VM. • 6 h DV: Persistiu com desconforto respiratório após IOT, mantendo Sp. O 2=70% com Fi. O 2=100%. Feito Survanta 100 mg/kg, houve melhora gradual da oxigenação, tolerou redução da Fi. O 2 e PEEP.
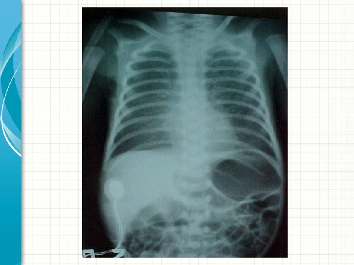
RX de tórax 4 h DV – antes do surfactante
RX de tórax 8 h DV – após surfactante
Evolução • 13 h DV: realizado RX de tórax de controle • 18 h DV: Aspirado TOT com presença de grande quantidade de secreção sanguinolenta, icterícia 2+/4+ Zona II >III, sopro sistólico 3+/6+, MV diminuído difusamente com poucos roncos. • 23 h DV: Realizada segunda dose de surfactante.
RX de tórax (antes 2ª dose de surfactante)
RX de tórax (após 2ª dose de surfactante)
Exames Adicionais • Ecocardiograma (06/07/13): CIV perimembranoso grande; CIV muscular em 1/3 médio e canal arterial pérvio medindo 2, 9 mm. • USGTF (06/07/13): agenesia parcial de corpo caloso. • Cariótipo (22/07/13):
Avaliação Genética Cabeça: Macrocefalia relativa, fronte ampla, face triangular, occipto proeminente, suturas cavalgadas, sobrancelhas rarefeitas, ponte nasal proeminente, hemangioma em região nasal, asas nasais hipoplásicas, retrognatia, orelhas baixo implantadas e mal rodadas Tórax: estreito e curto. Membros: Hipoplasia de ulna bilateral e agenesia radial, desvio medial das mãos, à D presença de 4 quirodáctilos e um apêndice digitiforme com unha, camptodactilia de 3º e 4º dedos, à E presença dos 5 quirodáctilos, porém com implantação proximal de 1º dedo. Calcâneos proeminentes, hipoplasia de hálux bilateral. Genitália: hipoplasia de pequenos lábios, ânus anteriorizado. • CD: Cariótipo
Evolução Tardia e Outros Diagnósticos • Sepse neonatal por pneumonia: tratada com 7 dias de ampicilina + gentamicina. • Conjuntivite: tratada com tobramicina colírio • Síndrome de abstinência: desmame de metadona. • Hiperfluxo pulmonar: furosemida + espirinolactona. • Anemia: realizada transfusão sanguínea
Lista de Problemas • • • Pré-natais: RCIU + centralização fetal, mãe idosa. Apgar 1’=4 Baixo peso ao nascer PIG simétrico Desconforto respiratório precoce. Malformações
Classificação do RN Avaliação da Idade Gestacional Autor(es): Paulo R. Margotto / Alessandra de Cássia Gonçalves Moreira
Classificação do RN IP=2, 65 PIG simétrico
Classificação do RN P<10: pequena Insuficiência placentária
Hipóteses Diagnósticas
DESCONFORTO RESPIRATÓRIO NO RN • Causas mecânicas: atresia de esôfago, hérnia diafragmática, malformação adenomatóide cística do pulmão. . . • Causas cardiovasculares: Insuficiência cardíaca congestiva • Causas neuromusculares: síndrome hipóxico-esquêmicas, sepse. • Causas metabólicas: hipoglicemia, erros inatos do metabolismo, hipocalcemia. . . • Causas Pulmonares: Taquipnéia transitória do recémnascido, Síndrome de aspiração meconial, doença da membrana hialina, pneumonia. . Causas da dificuldade respiratória no recém-nascido Autor(es): Paulo R. Margotto
QUADRO CLÍNICO • Taquipnéia (FR > 60 ipm) • Bradipnéia ou apnéia • Gemidos respiratórios • Batimento de asa de nariz • Retrações intercostais, esternal, xifóidea, supra/infraclavicular e fúrcula.
Boletim de Silverman Anderson Classificação: 0 = não há DR 1 -5= DR moderado >5 = DR grave
TAQUIPNEIA TRANSITÓRIA DO RECÉM-NASCIDO Causas da dificuldade respiratória no recém-nascido Autor(es): Paulo R. Margotto
TAQUIPNEIA TRANSITÓRIA DO RN • Definição: Distúrbio respiratório autolimitado, leve ou moderado, que ocorre nas primeiras horas do nascimento, também conhecida como síndrome do “pulmão úmido”. • Incidência: 1 -2%
TAQUIPNEIA TRANSITÓRIA DO RN 1 2 3 • Retardo na absorção do líquido fetal • Edema pulmonar transitório • complacência e hipoxemia • Acúmulo de líquido nos linfáticos peribronquiolares leva a colapso bronquiolar com aprisionamento de ar ou hiperinsuflação.
TAQUIPNEIA TRANSITÓRIA DO RN FATORES DE RISCO: • RNT ou RNPT > de 34 semanas • Parto cesárea, principalmente se for sem que o trabalho de parto tenha se iniciado • Demora no clampeamento do cordão • Asfixia perinatal • Macrossomia • Sedação materna • Uso de betamiméticos
TAQUIPNEIA TRANSITÓRIA DO RN QUADRO CLÍNICO: • Manifestações logo após o nascimento. • Taquipneia (leve a moderada). FR: 80 -100 irpm. • Sinais de desconforto respiratório: Retração intercostal , batimento de asas do nariz, gemido • Cianose com melhora após o aumento da concentração de oxigênio • Ausculta: normal ou estertores subcrepitantes finos. • Evolui com melhora progressiva e resolve com ± 72 horas.
TAQUIPNEIA TRANSITÓRIA DO RN EXAMES COMPLEMENTARES: • Rx: hiperinsuflação pulmonar, aumento da trama vascular pulmonar com presença de hilo congesto bilateralmente, de onde irradiam as condensações (descritas como estrias lineares). Espessamento de cissuras. Eventualmente discreta cardiomegalia e; o derrame pleural. Congestão para-hilar simétrica ( da trama vasobrônquica). • Hemograma normal.
TAQUIPNEIA TRANSITÓRIA DO RN TRATAMENTO: • Suporte respiratório (campânula nasal/ CPAP) • Suporte geral: controle da temperatura, glicemias, estímulo ao aleitamento materno, etc.
SÍNDROME DA MEMBRANA HIALINA Causas da dificuldade respiratória no recém-nascido Autor(es): Paulo R. Margotto
SÍNDROME DA MEMBRANA HIALINA FISIOLOGIA: • Síntese do SP: - O surfactante é produzido pelos pneumócitos tipo II que compõem 7% da superfície alveolar. - A secreção de SP inicia-se com 20 semanas intra-útero. - Estabilidade pulmonar ocorre por volta de 3335 semanas IU.
SÍNDROME DA MEMBRANA HIALINA Composição do SP • 90% de fosfolípides, especialmente fosfatidilcolina (DPPC – forma ativa), principal responsável pela redução da tensão superficial. • Possui proteínas específicas: - SP-A (5%): forma a mielina tubular, promove resistência aos inibidores da síntese de SP, reciclagem do SP. - SP-B (1%): promove a adsorção de fosfolípides na interface ar-líquido no alvéolo e reciclagem do SP. - SP-C e SP-D: menos importantes.
SÍNDROME DA MEMBRANA HIALINA • DEFINIÇÃO: doença causada pela deficiência de surfactante pulmonar, também conhecida como síndrome da angústia respiratória do RN. • FATORES DE RISCO: prematuridade (principal), 2º gemelar, RN anterior afetado, DMG (imaturidade pulmonar após 35 semanas de IG – maturação pulmonar retardada), asfixia perinatal.
SÍNDROME DA MEMBRANA HIALINA
SÍNDROME DA MEMBRANA HIALINA QUADRO CLÍNICO: • Sintomas aparecem logo após o nascimento • IRp. A de instalação precoce e progressiva • Gemência expiratória, BAN, taquipnéia, retração torácica, cianose • Comprometimento do estado geral, vasoconstrição periférica, edema • Não necessita de DVA (diferencia da SAM) • Responde bem a 1 -2 doses de SP exógeno
SÍNDROME DA MEMBRANA HIALINA EXAMES COMPLEMENTARES: • RX de tórax: padrão retículo-granular difuso bilateral e uniforme (padrão em vidro moído), com broncograma aéreo. Pode chegar a opacidade total do hemitórax. • Hemograma: normal. TRATAMENTO: • Uso do surfactante exógeno < 2 h DV • CPAP após surfactante/oxigenoterapia • Indicações de VM: Sp. O 2<90%, pa. O 2<80 mm. Hg na vigência de Fi. O 2>40%
SURFACTANTE PULMONAR EXÓGENO Surfactante pulmonar exógeno Autor(es): Paulo R. Margotto
SURFACTANTE PULMONAR EXÓGENO Todos os surfactantes exógenos têm a DPPC como principal componente. • Natural: isolado do LA humano, contém todas as proteínas, risco de contaminação viral, não disponível no Brasil. • Naturais modificados (animais): - Bovino: Survanta e Alveofact - Porcino: Curosurf • Sintético: - Exosurf: livre de proteínas. - Surfaxin (Lucinactant): um peptídeo chamado sinapultide, que mimetiza a função da SPB.
SURFACTANTE PULMONAR EXÓGENO • MECANISMO DE AÇÃO: O DPPC exógeno combinase com as proteínas do SP endógeno, estimulando sua síntese. • RESPOSTA AO SP EXÓGENO: - Na maioria dos RN, especialmente aqueles em VM, há melhora imediata e significativa das trocas gasosas, redução da resistência inspiratória e melhora da relação Pa. O 2/Fi. O 2. - 1/3 dos pacientes não respondem nas primeiras 12 -24 h, pois produzem proteínas endógenas que inibem a produção de SP (resistentes).
SURFACTANTE PULMONAR EXÓGENO
SURFACTANTE PULMONAR EXÓGENO • INDICAÇÕES: - Doença da membrana hialina. - Usos aceitáveis: síndrome da aspiração meconial, hemorragia pulmonar, pneumonia pelo estreptococo do grupo B, hipertensão pulmonar persistentes. • INÍCIO DO TRATAMENTO: preferencialmente nas primeiras 2 h de vida, mas pode ser usado até 72 h. Nos RNPT extremos ou PN<1000 Gg, há benefício quando feito nas primeiros 2 horas de vida. • DOSE (Survanta): 100 mg/kg via endotraqueal.
• Para os recém-nascidos pré-termos extremos (<1000 g ao nascer), quanto à assistência ventilatória imediata, INTUBAR todos para o surfactante, INTUBARSURFACTANTE-CPAP nasal todos e CPAP nasal com surfactante seletivo em todos, as evidências mostram que a conduta melhor no momento é iniciar imediatamente ao nascer o CPAP nasal em selo d água; • se o RN apresentar necessidade de 02 acima de 45%, deverá ser intubado e receber o surfactante (SURFACTANTE SELETIVO). Os ensaios não demonstraram diferença quanto ao desfecho primário (displasia broncopulmonar/morte com 36 semanas pós-concepção) entre os grupos submetidos a estas 3 estratégias. No entanto, os RN que iniciaram com CPAP nasal tiveram menor necessidade de uso de corticosteróide pós-natal, menor índice de intubação e menos dias em ventilação mecânica. • Estes achados permitem-nos considerar o uso inicial do CPAP para estes RN como uma alternativa a rotina de intubação e surfactante. Cientes de que nem sempre podemos extrapolar resultados de ensaios internacionais para a nossa realidade devido a diferenças nas populações, é importante que avaliemos os resultados das nossas condutas (morbimortalidade) para sabermos, a luz das evidências quando e como podemos mudar as nossas estratégias. Como já se referiu Guinsburg, as evidências mudam em decorrer do tempo, pois se não validarmos nossas condutas podemos causar mais mal do que bem para o recém-nascido.
SURFACTANTE PULMONAR EXÓGENO
DEFICIÊNCIA DE SPB Deficiência da Proteína B do Surfactante na proteinose alveolar Autor(es): Nogee LM et al. Apresentação: Romina S. Heredia G. Silva, Paulo R. Margotto Caso Clínico: Desconforto respiratório no recém-nascido a termo Autor(es): Daniele Muniz, Paulo R. Margotto
DEFICIÊNCIA DE SPB • DEFINIÇÃO: proteinose alveolar congênita causada pela deficiência da proteína SPB no surfactante pulmonar endógeno. • ETIOLOGIA: influência genética (há alguns relatos de casos na mesma família), erro inato do metabolismo (? ), mecanismo pré-translacional (ausência de m. RNA), herança autossômica recessiva.
DEFICIÊNCIA DE SPB FISIOPATOLOGIA: • A SPB é uma proteína hidrofóbica de baixo peso molecular que aumenta a taxa de fosfolípides no SP e promove sua adsorção na interface ar-líquido. • De todas as proteínas do SP, a SPB parece ter papel dominante, uma vez que sua ausência implica em IRp. A e morte neonatal, enquanto que a deficiência das demais proteína é assintomática.
DEFICIÊNCIA DE SPB CLÍNICA: • Doença respiratória grave que ocorre tipicamente no RN a termo • Também deve suspeitar-se no RNPT que não responde ao SP exógeno DIAGNÓSTICO: • Imuno-histoquímica: detecção dos anticorpos anti. SPB. • Eletroforese e Imunoblot das proteínas do SP. • Análise do RNA do tecido pulmonar.
PNEUMONIA INTRAUTERINA Causas da dificuldade respiratória no recém-nascido Autor(es): Paulo R. Margotto
PNEUMONIA INTRAUTERINA • Definição: Adquirida antes do nascimento podendo ser por via transplacentária, ascendente ou no contexto de uma infecção congênita ou ainda durante o nascimento. • Fatores de Risco: prematuridade e baixo peso; asfixia perinatal; T. de parto prolongado e traumático; Reanimação na sala de parto mal conduzida.
PNEUMONIA INTRAUTERINA • História Materna: Bolsa rota > 18 horas; baixo nível socioeconômico; pré-natal insuficiente; corioamnionite com ou sem RPM; bacteriúria pelo estreptococo do grupo B(GBS); qualquer infecção; TORCHS; prematuro prévio sem causa aparente, idade <20 anos, raça negra.
PNEUMONIA INTRAUTERINA
PNEUMONIA INTRAUTERINA • Streptococcus do Grupo B (GBS) é o agente mais importante, disseminação pelo trato genitourinário. - Incidência de 1, 8/1000 nascimentos vivos. - Infecção precoce em 80%. - Presente em 15 -25% das gestantes; nestas, 12% dos RN desenvolvem sepse de início precoce.
PNEUMONIA INTRAUTERINA • - Quadro Clínico: Desconforto respiratório com evolução arrastada; Letargia; Intolerância à dieta; Distensão abdominal; Hipotermia; Má perfusão capilar; Não melhora no CPAP; Apneias; Choque.
PNEUMONIA INTRAUTERINA Critérios de gravidade: Payne e cl (1988) - Peso < 1500 g - Efusão Pleural ao Rx de Tórax - Total de neutrofilos < 1500/mm 3 - Apneia 4 Pontos - Hipotensão ( 3 pontos) - Acidose (1 pponto) > 10 e < 10 Mortalidade e sobrevivência de 93%
PNEUMONIA INTRAUTERINA • Exames Complementares: Radiografia de tórax: áreas esparsas opalescentes, difusas em ambos campos pulmonares; derrame pleural, pneumatoceles e abscessos *SGB: infiltrado pulmonar difuso, com broncogramas aéreos bilaterais (semelhante a DMH) Hemograma: valorizar leucopenia, neutropenia total (anormal em 36% dos RNT) e relação imaturos/total de neutrófilos(elevada em 91% dos casos) PCR: aumenta 24 -48 h após início de sepse.
PNEUMONIA INTRAUTERINA • Tratamento: Incubadora: temperatura de 32 -34ºC Antibiótico: ampicilina + aminoglicosídeo -Profilaxia intraparto para SGB: Penicilina cristalina EV Surfactante Pulmonar Exógeno: 25% dos RN não respondem bem ao surfactante, segundo alguns autores isso se deve a presença de disfunção do miocárdio e hipertensão pulmonar persistente.
PNEUMONIA ASSOCIADA A VENTILAÇÃO MEC NICA Pneumonia associada a ventilação mecânica (link para neonatologia) Pneumonia associada à ventilação mecânica Felipe T de M. Freitas Andréa Duarte Nascimento Jácomo
PNEUMONIA ASSOCIADA A VM Definição: Infecção do parênquima pulmonar que ocorre após 48 h de intubação e ventilação mecânica. Fatores de Risco: • Imunossupressão • Uso de bloqueador neuromuscular • Aspiração gástrica • Ventilação mecânica > 3 d • Doença pulmonar prévia • Posição supina
PNEUMONIA ASSOCIADA A VM Classificação e Etiologia: Início precoce < 96 h Haemophilus influenzae, Streptococcus pneumoniae e Staphylococcus aureus Início tardio > 96 h Pseudomonas sp, Acinetobacter sp, Klebsiella pneumoniae e S. aureus MRSA
PNEUMONIA ASSOCIADA A VM Fisiopatologia: • Invasão do parênquima pulmonar estéril • Quebra da barreira protetora pela IOT • Aspiração de microorganismos da orofaringe e vias aéreas superiores • Aspiração do conteúdo gástrico • Alteração da flora normal por flora hospitalar • Disseminação de infecções da corrente sanguínea • Nebulizadores, circuitos e umidificadores contaminados • Diminuição de reflexo de tosse pela sedação
PNEUMONIA ASSOCIADA A VM Diagnóstico: # Critérios do CDC/NNISS para lactente < 1 ano: • Piora ventilatória e 3 das seguintes condições: - Instabilidade térmica - Leucopenia ou leucocitose e desvio à esquerda - Alteração da secreção - Piora do desconforto respiratório - Sibilância, estertores ou roncos - Tosse - Bradicardia ou taquicardia
PNEUMONIA ASSOCIADA A VM Laboratório: • • Hemocultura positiva não relacionada a outra causa Cultura positiva de derrame pleural Lavado Broncoalveolar com > 104 UFC/ml Escovado protegido: Cultura > 103 UFC/ml
PNEUMONIA ASSOCIADA A VM Tratamento
SÍNDROME DA ASPIRAÇÃO MECONIAL Causas da dificuldade respiratória no recém-nascido Autor(es): Paulo R. Margotto
SÍNDROME ASPIRAÇÃO MECONIAL • Produção: mecônio é produzido entre a 10ª e 16ª semana de gestação • Eliminação de mecônio ocorre decido a: - Asfixia: vasoconstrição mesentérica levando a hiperistalse e relaxamento do esfíncter - Maturidade fetal • Aspiração do mecônio: - Movimentos tipo gasping intra-útero(asfixia) - Primeiros movimentos respiratórios do RN.
SÍNDROME ASPIRAÇÃO MECONIAL EPIDEMIOLOGIA • 2 -3% de todos os nascimentos • Mais frequente na cor negra, em mãe multípara, PN>4 kg • RN pós-termo: risco 3 x maior • RN PIG • 11% dos RN com LA tinto de mecônio desenvolvem SAM
SÍNDROME ASPIRAÇÃO MECONIAL FISIOPATOLOGIA • Obstrução das vias aéreas pelas partículas do mecônio mecanismo valvular aprisionamento de ar enfisema intersticial pneumotórax. • Alto teor de ácidos graxos no mecônio induz um aumento dos inibidores da síntese de SP.
SÍNDROME ASPIRAÇÃO MECONIAL
SÍNDROME ASPIRAÇÃO MECONIAL CLÍNICA • Sinais de SFA, especialmente a taquicardia e RCIU. • Impregnação de mecônio em pele, unha e cordão umbilical. • Presença de mecônio na traquéia. • Quadro variável de taquidispnéia, abaulamento do tórax. • A cianose e a hipoxemia resistente são indicadores de extrema gravidade.
SÍNDROME ASPIRAÇÃO MECONIAL EXAMES COMPLEMENTARES: • RX de tórax: infiltrados nodulares grosseiros (áreas de atelectasias) e difusos, não uniforme, do hilo para periferia, alternando com áreas hiperaeradas e de hipertensão alveolar. • Outros achados ao RX de tórax: atelectasias, condensações, áreas enfisematosas.
SÍNDROME ASPIRAÇÃO MECONIAL TRATAMENTO: • Aspiração da traqueia, • Ventilação com pressão positiva após remoção do mecônio, • Oxigenoterapia com objetivo de manter a Pa. O 2 5070 mm. Hg, • Reposição de surfactante, em casos graves com hipóxia acentuada. Obs. : RN que nascem com LA meconial, porém vigorosos, não necessitam de intervenção.
SÍNDROME DA ASPIRAÇÃO DE SANGUE Causas da dificuldade respiratória no recém-nascido Autor(es): Paulo R. Margotto
ASPIRAÇÃO DE SANGUE • O sangue está presente na naso/hipofaringe > 25% dos RN de parto vaginal, provavelmente devido aos primeiros gaps pós-natais. • Fatores de Risco: RNs com baixo APGAR, LA tinto de sangue e trabalho de parto prolongado • Quando suspeitar: início precoce de desconforto respiratório em RN com aspirado traqueal sanguinolento logo após IOT, presença de sangue e coágulos à aspiração gástrica. • Rx de tórax: padrão semelhante à SAM e DMH. • Diagnóstico Diferencial: hemorragia pulmonar.
Outras alterações encontradas no RN
Agenesia de corpo caloso Neurossonografia Neonatal (Capítulo IV): Principais Malformações Cerebrais Autor(es): Paulo R. Margotto
AGENESIA DE CORPO CALOSO • Incidência: 1, 8 /10. 000 nascidos vivos. • Classificação: Completa: Embriogênese defeituosa. Parcial: malformação verdadeira. - Anterior: encefalomalácia frontal - Posterior: desenvolvimento incompleto.
AGENESIA DE CORPO CALOSO • Fatores de Risco: - Prematuridade: > 4 x - Mãe >= 40 anos: > 6 x - Associações: - Distúrbios do desenvolvimento generalizados. - Erro inato do metabolismo. • - Cromossomopatias: Anomalias no cariótipo podem ser encontradas em 20% (a Trissomia do 18 foi relatada ocorrer em 30%, a trissomia do 8 e do 13 em 20% cada). Postula-se que os cromossomos 8, 13 e 18 influenciam diretamente o desenvolvimento do corpo caloso.
AGENESIA DE CORPO CALOSO • Diagnóstico: USTV • USTV Normal: banda sonolucente no plano sagital. • USTV ACC: distorção da arquitetura craniana, aumento dos ventrículos laterais, cornos frontais do 3º Ventrículo mais separados (aspecto de “chifre de touro”), distorção do trajeto da artéria calosa anterior.
AGENESIA DE CORPO CALOSO
Síndrome de abstinência (Fentanil) Síndrome de abstinência neonatal Autor(es): Paulo R. Margotto
Síndrome de Abstinência (Fentanil) • Dependência (até 57% dos casos) após dose acumulada de (1, 6 mg/kg a 2, 5 mg/kg) ou após 5 dias de infusão contínua. • Quadro clínico: Dilatação pupilar, Lacrimejamento, sudorese, arrepios, Hipertensão, Hipertermia, Vômito , dor abdominal, diarréia, Dor muscular, Artralgias , Alterações comportamentais
Síndrome de Abstinência (Fentanil) Tratamento: Retornar para dose anterior. • Esquema de retirada: Até 3 dias: retirar de forma abrupta 4 – 7 dias: retirar 20% da dose inicial ao dia 8 – 14 dias: retirar 10% da dose inicial/d Maior 14 dias: retirar 10% da dose a cada 2 -3 d • Associação com medicação equivalente VO na mesma dose da EV (metadona). 0, 001 mg/kg/dia de fentanil EV = 0, 1 mg/kg/dia de metadona 50% da dose equivalente 1 ou 2 x VO ou diminuir 20% da dose inicial a cada 3 dias)
Síndrome de Edwards SÍNDROME DE EDWARDS Autor(es): Clarice de Meneses Costa Moura / Fernanda Resende e Silva / Kellen Fanstone Ferraresi / Tainá Oriente / Paulo R. Margotto / Teresinha de Oliveira Cardoso (ESCS)
Síndrome de Edwards • Segunda trissomia mais freqüente nos seres humanos • Epidemiologia = 1: 6000 -8000 nascidos vivos. • 95% dos casos é uma trissomia livre, o restante são casos de mosaicismo ou trissomias parciais • Diagnóstico: cariótipo. • Prognóstico: 55 a 65% dos recém nascidos afetados morrem ao redor dos 6 meses de idade e somente de 5 a 10% permanecem vivos até completarem 1 ano de vida.
Síndrome de Edwards • QUADRO CLÍNICO: RCUI, Placenta pequena; peso ao nascer. Craniofaciais: occipital proeminente; pavilhões auriculares malformados e com implantação baixa; micrognatia; MMII: calcâneos proeminentes, hipoplasia de hálux; Tórax: esterno curto Cardíaca: defeito nos septos interventricular; persistência do ducto arterial. MMSS: desvio radial das mãos; Hipoplasia de rádio, polegar hipoplásico ou ausente; Genitália: hipoplasia dos grandes lábios
Consultem também!Artigo Integral-2013 • Trisomía 18 (síndrome de Edwards): revisión de los aspectos clínicos, etiológicos. . . • Trissomia 18 revisão dos aspectos clínicos, etiológicos. Slide. Share • www. slideshare. net/. . . /trissomia-18 -reviso-dos-aspectosclnicos-etiolgicos • Em cache • 21/06/2013 - Rev Paul Pediatr 2013; 31(1): 111 -20. Artigo de Revisão. Trissomia 18: revisão dos aspectos clínicos, etiológicos, prognósticos e éticos. Trisomy. . .
Dda Alanna Alves, Ddo Gustavo Matos, Dda Marina Dutra, Dr. Paulo R. Margotto, Dda Natalia Silva Obrigada!!!