Epidemiologia IV 2016 Caso clnico 1 Caso clnico
















- Slides: 16
Epidemiologia IV – 2016 Caso clínico 1
• Caso clínico 1
História da doença atual Homem de 33 anos foi admitido na emergência no dia 30 de outubro de 2013, com história de fadiga, anorexia, vômitos e dispnéia progressiva de repouso nos últimos dois meses, progredindo para ortopneia, dispneia paroxística noturna e edema de membros inferiores ascendente. Também refere dor crônica lombar (há ± 3 anos), de moderada intensidade, irradiando para quadrantes inferiores do abdome, com episódios mais intensos a cada quinze dias. Informa que está urinando pouco.
História epidemiológica e HPP • • • Escolaridade: estudou até a 5ª série Operário da construção civil Consumo de álcool elevado (destilados) Tabagista pesado Não sabe informar corretamente sobre doenças anteriores, mas refere que já usou antibiótico várias vezes.
Exame físico • • • Taquipneia, palidez, PA 160/100 mm. Hg. Ausculta: sopro sistólico pancardíaco (2+/6+) Estertores esparsos em ambos os hemitórax. Edemas Membros inf. (3+/4+) Oligúria (400 ml/24 h)
Exames complementares • Hgb – 4, 6 g/d. L, Ht- 14, 5%, • leucócitos 11. 400/mm 3, • plaquetas 261. 000/mm 3. • Ureia – 273 mg/d. L, creatinina 13, 6 mg/d. L • Na – 138 m. Eq/L, K – 5, 5 m. Eq/L • Cálcio – 7, 1 e P – 11, 4 m. Eq/L
Exames complementares • Urina: • EAS – p. H 6. 0, • Leucócitos+, Proteínas ++++, hemáceas+++, cilindros leucocitários incontáveis • Cultura: negativa
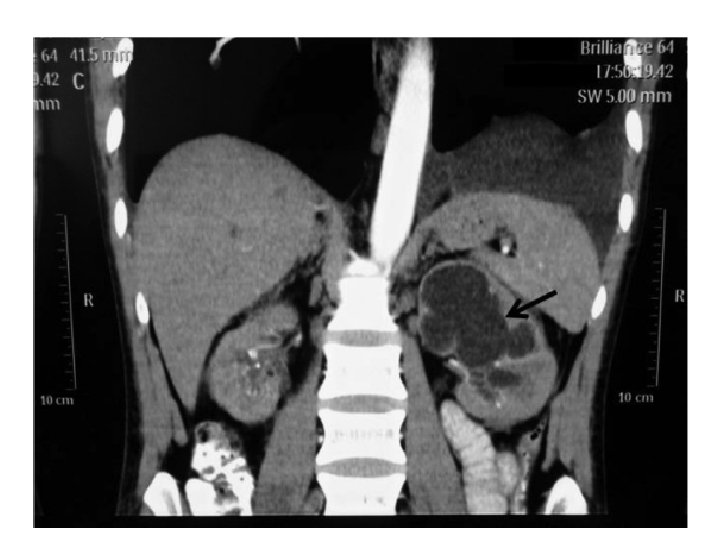
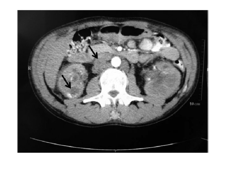
Imagem • RX de tórax: • Velamento de seio costofrênico esquerdo • Ultrassonografia renal: • Rim D pequeno com calcificações • Rim E aumentado, com hidronefrose e redução de parênquima • Solicitadas tomografias de abdome e tórax
Procedimentos • • • Lavado bronco-alveolar Toracocentese e biopsia pleural Líquido pleural: características de exsudato ADA: 50 U/d. L Culturas: negativas
Evolução • Iniciada hemodiálise • Na fase inicial da hemodiálise, apresentou hipotensão e insuficiência respiratória. • Mesmo com instituição de ventilação mecânica e aminas, o paciente faleceu 2 dias após internação.
• Caso clínico 2
História da doença atual e HPP • Paciente de 28 anos, história de tosse produtiva há 1 mês, com febre baixa. Tratou com antibioticoterapia, sem melhora. • Sabe que é HIV+ (há 4 anos) e fez exames recentes, com CD 4 de 400. Não teve qualquer infecção durante o tempo de seguimento. • Exame físico sem alterações.
Baciloscopia
RX tórax