4 SINIF AIZ D ENE HASTALIKLARI Yrd Do













































































































































- Slides: 141
4. SINIF AĞIZ DİŞ ÇENE HASTALIKLARI Yrd. Doç. Dr. Serkan POLAT
VEZİKÜLO-BÜLLÖZ HASTALIKLAR • VİRAL HASTALIKLAR • İMMÜNOLOJİK DEFEKTE BAĞLI OLARAK OLUŞAN HASTALIKLAR • KALITIMSAL HASTALIKLAR
VİRAL HASTALIKLAR
HERPES SİMPLEKS VİRÜS-1 ENFEKSİYONLARI • deri ve mukozada veziküller • sık olarak görülür • sistemik (primer), lokalize (sekonder) olarak iki formda • enfekte birey ile fiziksel kontak
Primer herpetik gingivostomatit • inkübasyon periodu birkaç gün ile iki hafta arasında değişir • primer hastalıkta oral ve perioral dokularda tipik vezikülo ülseratif lezyonlar görülür • genellikle çocuklarda görülür • veziküller deride, vermilyonda veya oral müköz membranda görülebilir
• ateş, eklem ağrısı, halsizlik, baş ağrısı ve servikal lenfadenopati görülebilir. • bir hafta-on günlük süre içerisinde lezyonlar skar bırakmadan iyileşir. • virüsü trigeminal gangliona yerleşerek latent dönemde kalabilmektedir.
Sekonder (rekürrent) HSV enfeksiyonları • latent virüsün reaktivasyonu • güneş ışığı, soğuk, travma, stres ve bağışıklık sisteminin baskılanması • kaşıntı, yanma veya ağrı gibi prodromal belirtiler görülür • lezyonlar skar oluşmadan kendiliğinden 1 -2 hafta içerisinde iyileşir • rekürrens genellikle aynı bölgede olur ve çoğunlukla vermilyon ve çevre deride • herpes labialis olarak adlandırılır
• Aktif dönemde hastalığın başka bölgelere yayılma olasılığı vardır. • Parmaklar primer veya sekonder olarak HSV ile enfekte olabilir (herpetic whitlow) • Bu durumda iyileşme süresi uzundur ve 4 -6 hafta sürebilir.
• Tedavisinde en önemli faktör zamanlamadır • 48 saat geçtikten sonra ilaç kullanmak fayda sağlamaz • Günde 5 defa % 5 lik lokal asiklovir kullanılabilir • Rekürrent herpes enfeksiyonu immün yetmezliği olan bireylerde öldürücü olabilir.
VARİSELLA-ZOSTER ENFEKSİYONLARI • Primer hastalığa su çiçeği, sekonder hastalığa herpes zoster (zona zoster) adı verilir.
Su Çiçeği • Kontamine damlacıkların inspirasyonu • 5 -9 yaş arasında çocuklarda daha çok görülür. • Primer olarak gövde, baş ve boyunda görülen kızarıklıklara ateş, soğuk algınlığı, keyifsizlik ve baş ağrısı eşlik eder. Belirgin prodromal dönem yoktur.
• Maküller, papüllere ve veziküllere dönüşürler. Ardından ülser halini alırlar. Hastada bütün tip döküntüler aynı zamanda bulunur. • Oral müköz membranlar ve saçlı deri de da tutulum gösterebilir. • 2 -3 hafta içerisinde iyileşir • Duyu sinirlerinin ganglionuna yerleşir ve latent olarak burada kalabilir.
Herpes Zoster (Zona Zoster) • Virüsün reaktivasyonu nadirdir • 50 yaşın üstündeki bireylerde, 1 yaşından önce suçiçeği geçirenlerde ve immün sistemi bozuk olan bireylerde daha sık görülür. • genellikle gövde ve baş boyun bölgesindeki duyu sinirleri etkilenir
• Ağrı ve parestezi gibi prodromal semptomlar vardır. • Lezyon tek taraflı lokalizedir ve trigeminal sinirin bir veya birkaç dalını tutabilir • Prodromal semptomların görülmesinden sonra makülopapüler kızarıklık görülür ve bunu vezikül ve ülserasyon takip eder • Hastaların % 10’unda postherpetik nevralji gelişir. • Tekrarlayan zona zoster vakalarında kanser ve AIDS gibi bağışıklık sistemini etkileyen hastalıklar akla gelmelidir.
• Tedavi, normal bireylerde destek tedavi yapılır. • İmmün sistem bozukluğu olan hastalarda sistemik asiklovir ve vidarabin kullanılabilir. • Son yıllarda famsiklovir ve valasiklovir de kullanılmaktadır. • Aşılanmanın koruyuculuğu çok yüksektir.
EL-AYAK VE AĞIZ HASTALIĞI • Coxsackie virüs tip A (1 -10, 16 ve 22) , • Epidemik (salgın), endemik (sık görülmesi) • fekal-oral kontaminasyon ve damlacık yolu ile bulaşır • 5 yaşından küçük çocukları etkiler • ağız, el ve ayakta veziküller görülür. • Vezikül, takiben ülser, tabanı sarı fibrinöz membranla kaplı ve etrafında eritematöz halka
• lezyonlar oral bölgede her yerde görülebilir • hafif ateş, kırgınlık, lenfadenopati görülür • Oral kavitede mevcut ülseratif lezyonlardan kaynaklı ağrı asıl şikayet • Ayırıcı tanı – Primer herpetik gingivostomatit – Varisella zoster • tedavi semptomatiktir, • 1 -2 hafta içinde kendiliğinden iyileşir • Gargara
HERPANGİNA • • • Coxsackie virüs tip A veya B kontamine tükürük, kontamine feçes (nadir) genellikle çocuklarda görülür ve endemiktir yaz veya sonbaharın erken döneminde Sistemik bulgu – kırgınlık, ateş, yutkunma zorluğu ve boğaz ağrısı • intraoral olarak – yumuşak damakta, tonsillerde, posterior farinkste veziküller, ülserler • yaygın eritematöz faranjit
• Ayırıcı tanı – – Primer herpetik gingivostomatitis El ayak ağız hastalığı Varicella zoster Streptokokal farenjit • kendine bir haftadan daha kısa sürede iyileştiğinden dolayı tedaviye gerek yoktur – – – İstiharat Gerekli besin alımı Sıvı alımı Antipiretik Topikal analjezik
Herpanginada lezyonlar hangi bölgelerde görülür?
KIZAMIK • • • Paramiksovirüs yüksek oranda bulaşıcı 5 yaş altı çocuklar daha çok etkilenir solunum yoluyla bulaşır özellikle kış ve ilkbahar aylarında Prodromal semptomlar – ateş, nezle benzeri bulgular, kırgınlık, konjuktivit, fotofobi ve öksürük gelişir • Koplik lekesi – Bukkal mukoza, beyaz nekrotik merkezli eritematöz lezyon
• Koplik lekesini takiben 1 -2 gün sonra deri lezyonları başlar. • Lezyonlar baş ve boyun bölgesini takiben aşağı ve dışarı doğru yayılır • Lezyonlar oluşmadan 4 gün önce ve dört gün sonraya kadar bulaşıcılık söz konusudur • Komplikasyonlar – Ensefalit, trombositopenik purpura – Otitis media ve Bronkopnömoni
• Şiddetli olgularda odontogeneziste etkilenir ve daimi dişlerde mine hipopilazileri oluşabilir. • Yatak istirahati, sıvı alımı, yeterli beslenme ve analjezik kullanılması gibi destekleyici tedavi genellikle yeterlidir • Hastalıktan korunmada aşılama en iyi yöntemdir.
İMMÜNOLOJİK DEFEKTE BAĞLI OLARAK OLUŞAN HASTALIKLAR
Antijenik hedefler
PEMPHİGUS VULGARİS • intraepiteliyal ayrılma ile karakterize mukokutanöz bir hastalık • akantolizis • kabarcıkların ülsere olması sıvı kaybı, elektrolit dengesizliği ve ağrılı bir tablo ortaya çıkar • desmozom komponentlerine karşı autoimmün reaksiyon yer almaktadır
• Bülleri takiben ülser oluşur • % 60 ilk belirtiler oral bölgede (önce ağızda başlar, en son ağızda iyileşir) • Klinik olarak sağlıklı gözüken mukoza üzerine hafif bastırarak sürtme ile epitelde ayrılma ve bül oluşur (Nikolsky belirtisi) • Deri lezyonu
• Cinsiyet ayrımı yok • en çok 4. ve 5. dekatlarda (geniş görülme aralığı) • Pemphigus vulgarise – – Myastenya gravis Lupus erithematozus Romatoid artirit Sjögren sendromu • Kortikosteroidlerin tedavi alanına girmesinden önce prognozu kötü olan bir hastalıktı. • Kortikosteroid tedavisiyle ölüm oranı %8 -10’a kadar düşmüştür. Bu da genellikle uzun süre kullanılan sistemik kortikosteroidlerin yan etkileri sebebiyledir.
Pemphigus vulgariste epitelin hangi bölgesi antijen olarak görülmektedir?
Pemphigus vulgarisin ilk belirtileri çoğunlukla hangi bölgede görülür?
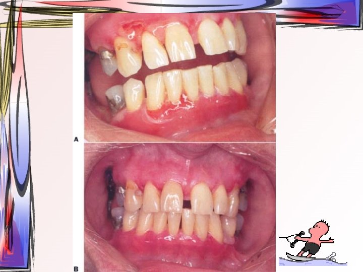
Sikatrisyel Pemfigoid (Müköz Membran Pemfigoidi) • Autoimmün, subepidermal, bazal membran (lamina lucida) • Mukozalar etkilenir. Deri lezyonları nadirdir. • Vakaların %95’inde dişeti, %60’ında göz mukozası etkilenir. • Kronik, vezikül, ülser, erozyon • Erişkin ve yaşlılarda (ortalama 73) • Kadınları daha fazla etkiler
• Özellikle gingiva – Yama şeklinde eritematöz alanlar, özellikle yapışık dişetinde – Rutin oral hijyenin yapılmasına engel • Oral mukozada sadece gingivada erozyondan, damak, bukkal mukoza, dil ve ağız tabanını da içine alan geniş vezikülo-büllöz lezyonlara kadar değişen klinik tablo
• konjuktiva, larinks, genital bölge, nazal, özefagus ve deride – Göz, erken tedavi önemli, kornea hasarı, konjuktival skar, göz kapaklarında sorunlar, görme bozuklukları, körlük – Orofarenks, özefegal stenoz, ses boğukluğu, yutkunma zorluğu (skar oluşması sonucu)
• Lezyon kronik ve skar ile iyileşiyor (özellikle deri ve göz lezyonları) • Tedavi amacı – Aşırı vezikül oluşumuna engel olmak – İyileşmeyi desteklemek – Skar oluşmasına engel olmak • • • topikal veya sistemik kortikosteroidler Klorheksidin immünsüpresif ilaçlar Protez kullanımı, kontak lens, travmatik sporlar Prognoz – Genellikle kronik, ilerleyen bir hastalık, tedaviye cevap çok iyi değil
Sikatrisyel pemfigoidin tutulum gösterdiği bölgeler nerelerdir?
Sikatrisyel pemfigoidte oral kavitede özellikle hangi bölgede tutulum görülür?
BÜLLÖZ pemfigoid • Sikatrisyal pemfigoid ile benzer etyolojik ve patogenetik özelliklere sahiptir. Bir farkı bazal membran antijenlerine karşı yapılan antikorlar serumda saptanabilmesidir • Kronik, autoimmün, subepidermal, vezikülobüllöz • Müköz membran tutulumu nadir (% 10 -25) • yaşlılarda ve özellikle 7. ve 8. dekatta – Çocuklarda da rapor edilmiş • Cinsiyet ve ırk ayrımı yok
• bazal membranın lamina lucida bölgesi tutulur
• Eskiden dermatitin yaşlılarda görülen formu olarak düşünülmüştür. • Kol, göğüs ve karın en çok etkilenen bölgedir. • Generalize büllöz form en çok görülüyor – Normal görünümlü, eritematöz lezyonu takiben bül veya ikisi birlikte görülür
• Özellikle en çok etkilenen bölge olan yapışık dişeti – Sikatrisyel pemfigoid ile oral mukoza lezyonları ayırt edilemiyor • Yumuşak damakta, bukkal mukozada ve ağız tabanında da tutulum görülebilir.
• Sistemik kortikosteroid, immünsüpresif ilaçlar – Klinik remisyonlar görülebiliyor – Skar oluşturmadan iyileşme
Büllöz pemfigoid özellikle hangi bölgelerde tutulum gösterir?
DERMATİTİS HERPETİFORMİS • • • Dermatitis herpetiformis çok kaşıntılı bir deri döküntüsüdür Otoimmün ve kronik bir hastalık Deri ve gastrointestinal sistem etkilenir Oral mukozayı nadiren etkiler Karakteristik lezyon, ekstensor yüzeylerde aşırı derecede kaşıntılı, toplu olarak bulunan veziküller (dirsek, diz, omuz, ense) • deri lezyonları papüler, eritamatöz, veziküler ve genellikle kaşıntılıdır
• İsminden çağrışım yapsa da bu lezyonların sebebi herpes virüsü değildir. Sebebi gluten alerjisidir • Gluten buğday ve diğer bazı tahıllarda bulan bir proteindir. • Tipik olarak 2. ve 4. dekatta hastalık başlangıcı (her yaşta görülebilir) • Erkeklerde biraz daha fazla • Gluten içermeyen diyet uygulanarak enteropati ve deri lezyonları kontrol altına alınabiliyor • Eksaserbasyon ve remisyon dönemleri mevcut • Deri lezyonlarında Ig. A biriktiği tespit edilmiş
• Oral kavitede görülen veziküller ve büllerin rüptüre olmasından sonra kenarları eritamatöz fibrinöz tabanlı süperfisiyal nonspesifik ülserler oluşur • Dapson, sulfapridin ve sulfokson (dapson kullanılamadığı zaman)
• Gluten içeren besinleri ihtiva etmeyen bir diet • Diete dikkat edildikce biriken Ig. A’nın azaldığı ve kullanılan ilaç dozunun giderek azaltılabileceği görülmüş • Hayat boyu devam eden bir hastalıktır • Gluten ihtiva eden besinler alınınca deri lezyonlarının ve gastrointestinal problemlerin yeniden oluştuğu tespit edilmiş
Glutenin dermatitis herpetiformis ile ilgisi nedir?
Dapson nedir?
Dermatitis herpetiformisin tipik deri lezyonu nasıldır ve nerelerde görülür?
Dermatitis herpetiformis daha çok hangi yaştaki kişileri etkiler?
KALITIMSAL HASTALIKLAR
EPİDERMOLİSİS BÜLLOZA • Nadir görülen kronik bir hastalık. • Büllöz mukokutanöz bir hastalıktır. • Epitel içinde veya altında değişik seviyelerde ayrılmalar mevcuttur • Patogenezinde keratin, hemidesmozon ve kollagen yapımı ile ilgili gen defektleri mevcuttur. • Otozomal dominat ve resesif şekilleri vardır
Keratinlerdeki mutasyon hücrenin gerilme direncini azaltır. Fiziksel olarak gerildiğinde (epidermolizis bülloza simplekste bulunan mutasyonda), keratin filamentleri (yeşil) kırılmaya ve hücre birleşme yerleri –dezmozom- (kırmızı) ayrılmaya başlar.
http: //www. dundee. ac. uk/biocentre/SLSBDIV 4 ebl. htm
• Epidermolizis simpleks – – Doğum veya doğum sonrası görülür. Otozomal dominant İntraepidermal bül Ağız içi lezyonlar ve tırnak distrofisi nadir • Junctional epidermolizis bülloza – – Doğumda görülür Otozomal resesif Subepitelyal bül (lamina lucida) Özellikle ağız çevresi, saçlı deri, göğüs ve diyaper bölgesinde görülür. – Diğer tiplerin aksine el ve ayak tutulumu nadir – Fatal • Distrofik epidermolizis bülloza – Doğumda veya erken çocukluk döneminde görülür. – Otozomal dominant (el, ayak, sakrum) ve resesif türleri (mukozal tutulum) var. – Subepidermal (lamina densa) bül – Oral bulgular en sık distrofik türde görülür. – Tırnat tutulumu bu türe özgüdür.
• Kesin tedavisi yoktur. • Hafif olgularda yara bakımı ve enfeksiyonlardan koruma yeterli olmaktadır • ağız ve dişlerle ilgili müdahaleler mümkün olduğunca az travmatize edilerek yapılmalıdır • Fenitoin tedavisinin özellikle otozomal resesif distrofik tipte ayrıca daha az etkin olmakla birlikte junctional tipte etkili olabileceği son zamanlarda çıkan bazı yazılarda gösterilmiştir.
Junctional Epidermolizis Bülloza
Junctional Epidermolizis Bülloza • Subepidermal bül formasyonu ve epidermiste iltihabi hücre infiltrasyonunun izlendiği cilt biyopsisi (100 X).
VEZİKÜLOBÜLLÖZ HASTALIKLAR SON