DOTT STEFANO LA SPADA DIRETTORE U O C


















































































































- Slides: 114
• DOTT. STEFANO LA SPADA • • DIRETTORE U. O. C. MEDICINA INTERNA E PRONTO SOCCORSO OSPEDALE INGRASSIA PALERMO
ADDOME ACUTO Sindrome caratterizzata dall’insorgenza improvvisa, dall’acuzie, dalla rapida ingravescenza di manifestazioni cliniche e dalla prognosi severa a breve termine se non si interviene con provvedimenti urgenti, sia di ordine medico che chirurgico FONDAMENTALE L’IMMEDIATEZZA DELLA DIAGNOSI !!!!
ADDOME ACUTO = ADDOME CHIRURGICO
ADDOME ACUTO MEDICO = FALSO ADDOME ACUTO
Dolore addominale acuto 15 -30% Intervento chirurgico Appendicite Occlusione Intestinale Colecistite 40 -45% Diagnosi non specifica
DOLORE ADDOMINALE ACUTO Un terzo degli adulti va incontro a un episodio di dolore addominale ogni anno L’incidenza annuale di accessi al DEA per Dolore Addominale Acuto é di 44/1000 Le percentuali di ricovero per Dolore Addominale Acuto variano dal 18% al 42% in letteratura La causa del Dolore Addominale Acuto rimane oscura nel 30% dei casi
DOLORE ADDOMINALE ACUTO Nei pazienti sopra i 65 anni la percentuale di ricovero sale al 63% Nei pazienti sopra i 65 anni il 20 -33% richiede intervento chirurgico immediato La mortalità totale in questo gruppo di pazienti varia dal 2% al 13%
Dolore addominale acuto: cause più comuni NSAP Appendicite Patologia biliare Ostruzione ileale Patologia ginecologica acuta Pancreatite Colica renale Ulcera peptica perforata Cancro Malattia diverticolare Altre (< 1% ciascuna) 34% 28% 10% 4% 4% 3% 3% 3% 2% 2% 6%
Diagnosi > 50 anni % < 50 anni % Patologia biliare 16 6 NSAP 21 40 Appendicite 15 32 Occlusione intestinale 12 13 Pancreatite 7 2 Malattia diverticolare 6 <1 Tumori maligni 4 <1 Ernia 3 <1 Patologia vascolare 2 <1 Patologia ginecologica 4 <1 13 2 Altre
FALSO ADDOME ACUTO Gli errori diagnostici più frequenti Gastrite Gastroenterite Infezione delle vie urinarie Stipsi MICI Patologia infiammatoria pelvica
Le diagnosi più frequentemente mancate (in circa il 30% dei pazienti) Aneurisma dell’aorta addominale Appendicite acuta Gravidanza ectopica Diverticolite Perforazione di viscere Ischemia mesenterica Occlusione intestinale
FALSO ADDOME ACUTO MALATTIE ADDOMINALI Gastrite e gastroenterite Stipsi Colica renale Infezione delle vie urinarie Malattia infiammatoria pelvica Pancreatite acuta e cronica riacutizzata Peritoniti primitive non chirurgiche Adenomesenterite acuta Sindrome di Fitz-Hugh-Curtis Sindrome di Olgivie
FALSO ADDOME ACUTO MALATTIE CARDIACHE E TORACICHE Infarto del miocardio Miocardite Pericardite Polmonite Embolia polmonare Pneumotorace Empiema pleurico Esofagite Spasmo esofageo
FALSO ADDOME ACUTO MALATTIE EMATOLOGICHE Leucemia acuta Anemia emolitica Anemia falciforme Porpora di Schönlein-Henoch Emoglobinuria parossistica notturna Crioglobulinemia
FALSO ADDOME ACUTO MALATTIE INFETTIVE E PARASSITARIE Osteomieliti Febbre tifoide Sindrome da larva migrans viscerale Malaria Mialgia epidemia (M. di Bornholm)
FALSO ADDOME ACUTO MALATTIE NEUROLOGICHE Tabe dorsale Tumori del midollo spinale Radicoliti Herpes Zoster Neuropatia diabetica viscerale Epilessia addominale
FALSO ADDOME ACUTO MALATTIE TOSSICO-METABOLICHE Uremia Chetoacidosi – diabetica Porfiria acuta intermittente Crisi addisoniana Tempesta tiroidea Iperparatiroidismo Reazioni da ipersensibilità Punture di insetti Morso di rettili Avvelenamento da piombo
DOLORE ADDOMINALE TOSSICO -METABOLICO Sintomo di accompagnamento di patologie non particolarmente frequenti, potenzialmente letali se non riconosciute e trattate con tempestività
FALSO ADDOME ACUTO FARMACI Cocaina Destrometorfano Oppiacei Fans Estroprogestinici Digitale Teofillina Anticoagulanti Anticolinergici Calcio antagonisti Diuretici Chemioterapici
FALSO ADDOME ACUTO VARIE Contusioni Febbre familiare mediterranea Patologie psichiatriche Colpo di calore Angioedema ereditario
FALSO ADDOME ACUTO
FALSO ADDOME ACUTO • Paziente di 70 anni affetto da Alzheimer con dolore addominale diffuso • Da una settimana: • Dolore addominale • Stipsi ostinata • Vomito • Febbricola
FALSO ADDOME ACUTO • Disidratato • Addome dolente su tutti i quadranti, in particolare in regione cecale. • PA 120/70 FC 78 • Azotemia 140 • creatinina 1, 7 • K 5, 4
FALSO ADDOME ACUTO Nell’anamnesi: • Stipsi ostinata • Ripetuti accessi al PS per episodi di sub-occlusione intestinale • Pregressa laparotomia esplorativa
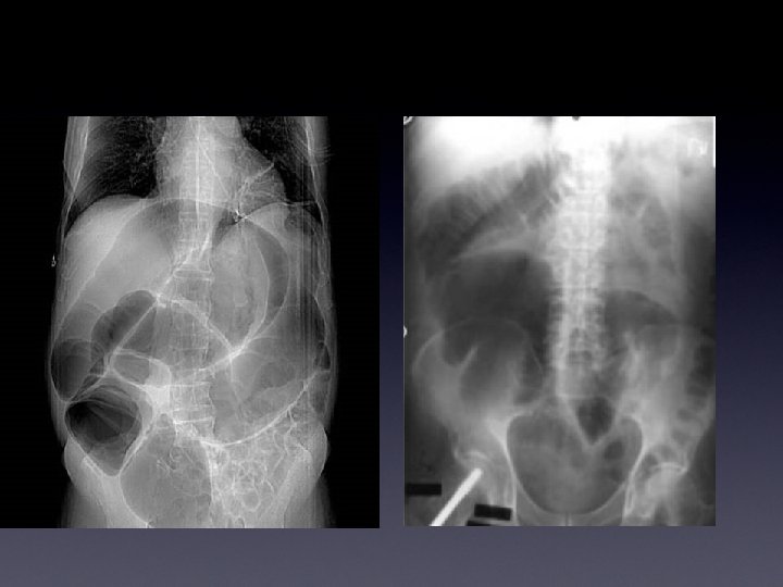
FALSO ADDOME ACUTO • Rx Diretta Addome: notevole distensione del colon, in particolare dellaregione cecale (attorno ai 10 cm) • Tac Addome: conferma del quadro radiologico
FALSO ADDOME ACUTO MALATTIA CEREBROVASCOLARE STIPSI OSTINATA CON ANSE INTESTINALI ABNORMEMENTE DISTESE DILATAZIONE DEL CECO ALL’RX DIRETTA ADDOME E ALLA TAC DI CIRCA 10 cm
DIAGNOSI SINDROME DI OLGIVIE ACPO Mortalità 15 -50%
FALSO ADDOME ACUTO Sindrome dovuta ad uno squilibrio dell’attività motoria del colon da parte del sistema neuro-vegetativo viscerale che determina Una pseudo ostruzione acuta del grosso intestino con notevole dilatazione della regione cecale
FALSO ADDOME ACUTO TERAPIA • Colonscopia decompresssiva • Prostigmina: 1 -2 mg iv/sc ogni 3 ore
FALSO ADDOME ACUTO
FALSO ADDOME ACUTO • Donna di 30 anni con dolore in fossa iliaca destra e loggia renale destra • Mestruazioni appena cessate • Da 24 ore febbre (al PS 38, 5) pollachiuria • Ha iniziato a domicilio trattamento con ciprofloxacina 500 mg x 2 • Nell’anamnesi altri episodi di dolore in fossa iliaca destra L’addome è trattabile ma dolente in fossa iliaca destra. • Gb 15. 500 N. 81 % • All’ETG addome: Rene destro OK, l’appendice è ispessita ed edematosa; non raccolte libere e/o saccate in cavità addominale.
FALSO ADDOME ACUTO In OBI a 24 ore • • -Permane la febbre (37. 8 C°) -Permane dolente la fossa iliaca destra GB 13. 400 N 85% Consulenza chirurgica: indicazione ad intervento chirurgico per appendicectomia.
FALSO ADDOME ACUTO Testo FEBBRE LEUCOCITOSI NEUTROFILA BLUMBERG POSITIVO ETG COMPATIBILE CON FLOGOSI APPENDICOLARE
DIAGNOSI MALATTIA INFIAMMATORIA PELVICA (PID) La PID é la patologia ginecologica con il maggiore numero di accessi nei DEA (350. 000/anno negli USA e un numero di ricoveri tra il 10 -25%
FALSO ADDOME ACUTO DIAGNOSI è resa difficile dalla natura non specifica dei sintomi • Comparsa del dolore durante o subito dopo la le mestruazioni, quando la qualità del muco vaginale favorisce la risalita dei batteri vaginali • Presenza di I. U. D. • Visita ginecologica • L’ecografia anche la transvaginale dimostra una bassa sensibilità
FALSO ADDOME ACUTO
FALSO ADDOME ACUTO Donna di 22 anni con dolore addominale e nausea Nulla di rilevante in anamnesi Una settimana addietro circa episodio influenzale per cui aveva assunto FANS Da questa notte dolore addominale diffuso e nausea, non altra sintomatologia Nega febbre
FALSO ADDOME ACUTO Obiettività: Intenso dolore addominale diffuso, poco localizzato, obiettività addominale con modesta dolorabilità in sede centro-addominale Parametri: PAO 120/65 mm. Hg FC 95 b/m sat O 2 98% aa FR 12 a/m Esami nella norma Eco addome: non dati patologici Rx diretto addome: negativo Test di gravidanza negativo ECG nella norma Remissione della sintomatologia dopo ranitidina ev Dimissione a domicilio
Due giorni dopo ritorna per ripresa di violento dolore addominale insorto alcune ore prima, questa volta sembra più localizzato ai quadranti inferiori, è presente rettoragia Intenso dolore addominale ai quadranti inferiori, modesta resistenza in QIS, EDAR dito esploratore verniciato di sangue fresco Parametri: PAO 110/65 mm. Hg FC 100 b/m sat O 2 98% aa FR 12 a/m modesta anemia normocitica Eco addome: non dati patologici Rx diretto addome: negativo Test di gravidanza negativo ECG nella norma Si ricovera in Medicina di Urgenza
Dopo circa 12 ore compare un esantema purpurico simmetrico agli arti inferiori. Questo dato è confermato dalla successiva colonscopia che mostra le caratteristiche lesioni purpuriche anche lungo tutta la mucosa del colon
DIAGNOSI Malattia di Schonlein Henoch Inizio terapia cortsisonica con rapido beneficio
FALSO ADDOME ACUTO
FALSO ADDOME ACUTO • Uomo di 22 anni • Giunge al PS di Lampedusa dopo una traversata con mezzo di fortuna durato circa 5 giorni • Non parla la lingua italiana • Viene portato in PS per violento dolore addominale diffuso
FALSO ADDOME ACUTO • PAO 90/60 mm. Hg, FC 110 b/min, FR 20 atti/minuto, Sat. O 90% A. A. , Temp. asc. 38, 9° • Vigile, sofferente, pallore della cute e delle mucose • Addome piano trattabile con diffusa dolorabilità ai quadranti superiori, milza all’ombelicale trasversa • Attività cardiaca ritmica, soffio sistolico eiettivo 2/6 L alla punta • Al Torace reperto rantolare medio-basale dx • A tratti agitato, obbiettività neurologica negativa
• Emocromo: Hb 8, 5 MCV 76 PLT 345. 000 GB 17. 800 N 95% • Striscio periferico: presenza di eritrociti a falce • Na+ 135 • K+ 3, 4 • Cl- 92 • LDH 2. 348 • Rx del Torace: Addensamento basale dx
FALSO ADDOME ACUTO Testo COLICHE ADDOMINALI CON SPLENOMEGALIA ANEMIA CON ERITROCITI A FALCE NELLO STRISCIO PERIFERICO LDH ELEVATO
DIAGNOSI ANEMIA FALCIFORME TERAPIA: Idratazione, Antibiotico, Morfina
FALSO ADDOME ACUTO
FALSO ADDOME ACUTO Uomo di 44 anni Immigrato da un paese arabo, in Italia da 6 mesi viene in PS per la persistenza del dolore addominale e per la comparsa di cefalea, letargia, astenia, facile irritabilità, insonnia, mialgie, stipsi, riduzione della libido, nausea, vomito, inappetenza
FALSO ADDOME ACUTO ANAMNESI Pregresso impiego presso una industria per realizzazione di batterie industriali. Attualmente giardiniere. Da quattro mesi ricorrenti episodi di dolore addominale colico. 3 mesi addietro appendicectomia senza beneficio
FALSO ADDOME ACUTO OBBIETTIVITA’ • PAO 170/100 mm. Hg, FC 100 b/minuto, FR 12 atti/minuto, Sat O 2 97% A. A. • Addome trattabile diffusa dolorabilità alla palpazione profonda • Cicatrice chirurgica in QID • Torace normoventilato • Attività cardiaca ritmica • Cute e mucose pallide • Ipostenia ai 4 arti • Sensorio lucido, a tratti disorientato
FALSO ADDOME ACUTO Esami ematochimici • • GB 6. 800 Hb 10. 2 MCV 80 PLT 155. 000 Creatininemia 2. 1 Urea 78 Na+ 132 Cl- 90 K+ 5 • AST/ALT 45/39
FALSO ADDOME ACUTO COLICHE ADDOMINALI CON IPERPERISTALTISMO E STIPSI IPOSTENIA ARTI INFERIORI ANEMIA INSUFFICIENZA RENALE ANAMNESI COMPATIBILE CON INTOSSICAZIONE DA PIOMBO
DIAGNOSI SATURNISMO (dosaggio piombo plasmatico 115 mcg%) RAPIDA RISOLUZIONE DEI SINTOMI DOPO INIZIO DELLA TERAPIA CHELANTE CON ACIDO ETILENDIAMMINOTETRAACETICO (EDTA)
FALSO ADDOME ACUTO SATURNISMO: Rara intossicazione che si verifica per accumulo di piombo nell’organismo anemia üastenia üstipsi üdolore addominale acuto (legato ad iperperistalsi grave) ünefropatia üipertensione üneuropatia ü
SATURNISMO Il piombo può essere introdotto nell’organismo attraverso 3 vie: inalatoria (eposizione professionale sotto forma di fumi e polveri) orale (recipienti in ceramica, acqua inquinata, inquinamento atmosferico) cutanea (modesto assorbimento per contatto, ad es. benzine)
FALSO ADDOME ACUTO
FALSO ADDOME ACUTO • • Ragazzo di 16 anni viene accompagnato dal genitore in PS alle 4 del mattino per dolore addominale acuto, vomito e diarrea e stato confusionale. Rientrato dopo una vacanza in USA di circa 1 mese
FALSO ADDOME ACUTO Obiettività l PAO 110/70 FC 130 b/m Sat O 2 98% aa FR 20 a/m, temp. Ascellare 37, 6 l Disorientato nel tempo e nello spazio, non deficit di forza ai 4 arti, non segni di irritazione meningea l Addome piano trattabile diffusa dolorabilità alla palpazione profonda, peristalsi vivace l Attività cardiaca ritmica, torace libero l Dopo 10 min. Episodio critico tonico- clonico
? DOLORE ADDOMINALE FEBBRE ALTERAZIONI NEUROLOGICHE IPOTESI TOSSICOLOGICA !!!!
FALSO ADDOME ACUTO DIAGNOSTICA l l l l l Emocromo: GB 12. 800 Hb 15, 6 PLT 254. 000 CPK: 405 Creatinina: 1. 1 Urea: 18 AST/ALT 30/34 Elettroliti sierici normali Dosaggio metaboliti sostanze di abuso (negativo) ECG: tachicardia sinusale 130 b/m TAC cerebrale: nella norma
FALSO ADDOME ACUTO • Ricovero in Medicina di Urgenza l Monitoraggio l Idratazione l Risoluzione dei sintomi entro 12 ore l Al risveglio interrogato sull'uso di sostanze di abuso ammette di avere ingerito 12 compresse di destrometorfano+clorfeniramina
DIAGNOSI INTOSSICAZIONE DA DESTROMETORFANO FARMACO LEGITTIMAMENTE USATO NEL TRATTAMENTO DA RAFFREDDORE O NELLE AFFEZIONI ALLERGICHE DEL TRATTO RESPIRATORIO
DESTROMETORFANO Il destrometorfano se assunto in dosi che drammaticamente superiori a quelle raccomandate, produce allucinazioni e senso di dissociazione. EFFETTI TOSSICI: Nausea, vomito, dolore addominale Percezione distorta di suoni e visioni Sentimenti di distacco e separazione dall’ambiente Dissociazione della personalità Euforia Febbre Convulsioni
FALSO ADDOME ACUTO
FALSO ADDOME ACUTO Uomo di 35 anni di origine armena, viene in PS per febbre, dolore addominale acuto diffuso, vomito ed astenia intensa
FALSO ADDOME ACUTO Anamnesi In età giovanile diversi ricoveri per oligoartrite e frequenti episodi di dolore addominale, febbre e vomito. All’età di 27 appendicectomia per ennesimo episodio di dolore addominale acuto, senza beneficio
FALSO ADDOME ACUTO PARAMETRI PA 160/90 mm. Hg, FC 90 batt. /minuto, FR 20 atti/minuto, Sat O 2 97% A. A. , Temp. Ascellare 39, 2 °C Addome trattabile dolorabilità intensa ai quadranti inferiori, peristalsi torpida Torace libero Attività cardiaca ritmica Obiettività neurologica nella norma
FALSO ADDOME ACUTO ESAMI EMATOCHIMICI Emocromo: GB 3. 200 Hb 9. 5 PLT 125. 000 PCR 25 AST/ALT 55/70 Creatininemia 1. 4 Urea 43 Glicemia 85 ANA/ANCA/Reuma test: negativi
FALSO ADDOME ACUTO ESAMI STRUMENTALI: ECG: ritmo sinusale 90 b/m, blocco completo di branca destra RX del torace: piccolo versamento pleurico bilaterale ECO Addome: epato e splenomegalia con modesto versamento pleurico ed ascitico TAC addome: conferma del quadro ecografico
FALSO ADDOME ACUTO In 2° giornata… Sta ancora male… Sollecita la dimissione… Un figlio di 5 anni ricoverato per artrite e dolore addominale! Si contatta la Divisione di Pediatria… Bimbo ospedalizzato per artrite monoarticolare, febbre e pleurite!
ARTRITE RICORRENTE SIEROSITI RICORRENTI STORIA FAMIGLIARE ETNIA MEDITERRANEA
DIAGNOSI FEBBRE FAMILIARE MEDITERRANEA TERAPIA CON COLCHICINA Significativo miglioramento clinico
Febbre Familiare Mediterranea Febbre genetica Autosomica recessiva Gene MEFV localizzato sul cromosoma 16 Almeno 30 mutazioni note M 694 V su esone 10 la più comune mutazione Frequente nella popolazione dell’EST del Mediterraneo (Ebrei, Arabi, Turchi, Armeni) con prevalenza di 1/250 - 1/1000) Età di esordio prima dei 20 anni Complicanza temibile: Amiloidosi renale
FALSO ADDOME ACUTO
FALSO ADDOME ACUTO Donna di anni 32 Viene al nostro PS per dolore addominale acuto diffuso associato a diarrea e febbre Calo ponderale Dolore al cingolo scapolo-omerale ed al cingolo pelvico
FALSO ADDOME ACUTO Frequenti episodi di dolore addominale fin dalla adolescenza Pregresso intervento di appendicectomia con gravi turbe elettrolitiche ed artromialgie nel postoperatorio Alcune settimane prima, durante il viaggio di nozze in Messico viene ospedalizzata per dolore addominale acuto, diarrea e febbre. Dopo tre giorni di ricovero sta meglio, si dimette contro parere medico e rientra in Italia
OBIETTIVITA’ FALSO ADDOME ACUTO Intenso dolore addominale in epigastrio e QSD con resistenza di parete e Murphy + , ipotrofia muscolare degli arti con intenso dolore spontaneo ed alla palpazione in particolare a livello prossimale. PARAMETRI ED ESAMI PAO 120/65 mm. Hg FC 95 b/m sat O 2 98% aa FR 12 a/m Esami modesta anemia normocitica, modesta ipertransaminasemia, iponatriemia, resto degli esami nella norma Urine ipercromiche Eco addome: non dati patologici Rx diretto addome: negativo Test di gravidanza negativo ECG ed Ecocardiogramma nella norma ECG nella norma Ecocardio nella norma Miglioramento della sintomatologia dopo omeoprazolo ev
FALSO ADDOME ACUTO In OBI miglioramento della sintomatologia dopo omeprazolo e. v. Dopo qualche ora nuovo episodio di severo dolore addominale per cui la paziente viene ospedalizzata in Medicina di Urgenza. • • DECORSO CLINICO: Dolore addominale crampiforme Progressiva astenia agli arti inferiori Mialgie dorso-lombari ed agli arti Irritabilità e stato ansioso EMG ARTI INFERIORI : POLINEUROPATIA ACUTA ASSONALE DELLE FIBRE MOTORIE PROSSIMALI
FALSO ADDOME ACUTO DOLORE ADDOMINALE RICORRENTE CON OBIETTIVITA’ NEGATIVA POLINEUROPTATIA DISTURBI PSCHIATRICI URINE IPERPIGMENTATE CHE ASSUMONO COLORE ROSSO BRUNO SE ESPOSTE ALLA LUCE DOSAGGIO ALA E PBG PLASMATICI E URINARI ELEVATI IPOSODIEMIA
DIAGNOSI PORFIRIA ACUTA INTERMITTENTE
FALSO ADDOME ACUTO TERAPIA Sintomatica (clorpromazina, ASA, morfina) Supporto con carboidrati (glucosio, glicerolo, levulosio) ad alto dosaggio (400 -500 gr/24 ore) Eme (3 mg/Kg/die infusione lenta in 4 gg consecutivi)
FALSO ADDOME ACUTO PORFIRIE CLASSIFICAZIONE ACUTE: Accumulo di metaboliti precoci non tetrapirrolici (ALA e PBG) con prevalenza di sintomi neurologici Porfiria acuta intermittente Coproporfiria ereditaria Porfiria variegata NON ACUTE: Accumulo di metaboliti tardivi tetrapirrolici (porfirine) con prevalenza di sintomi cutanei Porfiria eritropoietica congenita Porfiria cutanea tarda Porfiria epatoeritrocitaria
FALSO ADDOME ACUTO
FALSO ADDOME ACUTO Uomo di 35 anni Viene in PS accompagnato dal 118 per severo dolore addominale, diarrea profusa, vomito e segni clinici di shock ipovolemico.
FALSO ADDOME ACUTO ANAMNESI Da circa 6 ore dolore addominale con diarrea profusa e vomito Chiama il 118 per episodio presincopale Non risponde alla terapia con antispastici, antiemetici ed antidolorifici
FALSO ADDOME ACUTO ESAME OBIETTIVO PAO 80/50 mm. Hg, FC 110 Batt. /minuto, FR 18 atti/minuto, Sat O 2 97% A. A. , Temp. ascellare 37, 3 Sofferente per intenso dolore addominale, ipoteso, sudato, disidratato Addome piano trattabile diffusa dolorabilità alla palpazione profonda, sono visibili alla parete addominale le anse in iperperistaltismo
FALSO ADDOME ACUTO ESAMI EMATOCHIMICI E STRUMENTALI Emocromo modesta leucocitosi neutrofila Modesto incremento degli indici di flogosi acuta Altri esami ematochimici nella norma ECOFAST: modesto versamento ascitico TAC ADDOME: ispessimento della parete delle pareti intestinali in più anse con tratti di occlusione completa
TAC Addome: Marcato ispessimento delle anse e delle austrature intestinali
FALSO ADDOME ACUTO DOLORE ADDOMINALE NON RESPONSIVO ALLA TERAPIA MEDICA EDEMA DIFFUSO DELLE PARETI INTESTINALI VERSAMENTO ASCITICO
DIAGNOSI ANGIOEDEMA EREDITARIO Dosaggio C 1 inibitore quantitativo e funzionale marcatamente ridotti
FALSO ADDOME ACUTO NB: In caso di assenza di questi presidi farmacologici utilizzare plasma fresco congelato SIMEU JOURNAL SPECIALE SETTEMBRE 2010
FALSO ADDOME ACUTO L’ angioedema ereditario è caratterizzato da edemi degli strati profondi sottocutanei e sottomucosi a lenta evoluzione, senza orticaria né segni di flogosi, a localizzazione sia mono che multidistrettuale interessanti specialmente la cute, la mucosa intestinale e la mucosa delle vie aeree. È caratterizzato nell’ 85% dei casi da deficit di C 1 -INH
FALSO ADDOME ACUTO
FALSO ADDOME ACUTO Uomo di 23 anni Viene al Pronto Soccorso per dolore addominale persistente, febbre ed obnubilamento del sensorio
FALSO ADDOME ACUTO ANAMNESI Diabete mellito La sera prima accesso presso altro Pronto Soccorso per dolore addominale e febbre, seguito da dimissione volontaria per rifiuto di intervento chirurgico per sospetta appendicite acuta
FALSO ADDOME ACUTO ESAME OBIETTIVO PAO 90/60 mm. Hg, FC 110 battiti/minuto, FR 20 atti/minuto, Sat. O 2 95% A. A. , Temp. ascellare 38, 9 °C Addome trattabile diffusa dolorabilità alla palpazione profonda, modesta resistenza in sede periombelicale, peristalsi torpida Torace libero, attività cardiaca ritmica Sensorio obnubilato, alterna momenti di sopore a momenti di maggiore lucidità Cute e mucose “asciutte” Alito acetonemico
FALSO ADDOME ACUTO ESAMI EMATOCHIMICI E STRUMENTALI ECG: tachicardia sinusale 110 b/m ECOFAST: non immagini patologiche Glicemia 420 mg% Emocromo: GB 10. 400 N 84% Hb 16 PLT 298. 000 Na+ 130 Cl- 85 K+ 3. 5 Chetotest: +++ Glicosuria +++ EAB: p. H 7, 11 PCO 2 18 PO 2 90 Sat O 2 95% A. A. HCO 3 - 10 Anion Gap 20
FALSO ADDOME ACUTO DIABETE MELLITO CHETONURIA ACIDOSI METABOLICA CON AUMENTO GAP ANIONICO DOLORE ADDOMINALE ACUTO
DIAGNOSI FALSO ADDOME ACUTO IN CORSO DI CHETOACIDOSI DIABETICA IDRATAZIONE INSULINA IN INFUSIONE CONTINUA SUPPLEMENTO DI K+ ANTIPIRETICO ANTIBIOTICO
FALSO ADDOME ACUTO
FALSO ADDOME ACUTO Donna di 63 anni Viene in Pronto Soccorso per dolore addominale resistente a terapia medica, confusione mentale, astenia intensa e ricorrenti episodi presincopali Si ricovera in Medicina di Urgenza
FALSO ADDOME ACUTO ANAMNESI Colecistectomizzata due anni addietro Da alcuni giorni astenia ingravescente, vertigini, nausea, ricorrenti episodi di vomito post-prandiale, dolore addominale, ipotensione con tendenza alla lipotimia EGDS e colonscopia effettuati altrove prive di alterazioni patologiche
FALSO ADDOME ACUTO OBIETTIVITA’ CLINICA PAO 100/60 mm. Hg, FC 104 batt. /minuto, FR 12 atti/minuto, Sat O 2 98% A. A. , Temp. Ascellare 36 PA in ortostatismo 80/50 mm. Hg Aspetto sofferente, addome trattabile diffusa dolorabilità alla palpazione profonda, assenza di resistenza, peristalsi torpida Torace normoventilato Attività cardiaca ritmica, non rumori aggiunti “Strana” ipergmentazione del volto e della mucosa orale
FALSO ADDOME ACUTO ESAMI EMATOCHIMICI E STRUMENTALI ECG: Tachicardia sinusale alterazioni aspecifiche della FTV Rx Torace: Diffusa accentuazione della trama polmonare Rx diretta Addome: Assenza di livelli e di gas libero Emocromo: Hb 10. 4 MCV 85 GB 4. 500 PLT 213. 000 Na+ 130 K+ 5. 9 Cl- 90 Ca++ 1. 2 Creatinina 2. 5 urea 110 glicemia 68 EAB: lieve acidosi metabolica
FALSO ADDOME ACUTO IPERPIGMENTAZIONE CUTANEA E DELLE MUCOSE IPOTENSIONE IPOSODIEMIA IPERPOTASSIEMIA IPOGLICEMIA
DIAGNOSI FALSO ADDOME ACUTO IN CORSO DI CRISI ADDISONIANA IPOCORTISOLEMIA ELEVATI VALORI DI ACTH
FALSO ADDOME ACUTO L’insufficienza cortico-surrenalica acuta nella sua forma primitiva (crisi addisoniana) è relativamente rara (1 -5/100000) ma potenzialmente mortale e va prontamente riconosciuta e trattata. Circa il 50% dei pazienti presenta sintomatologia addominale compatibile con addome acuto
FALSO ADDOME ACUTO TERAPIA Somminitrazione di corticosteroidi Correzione deficit elettrolitici Eventuale correzione di acidosi metabolica