The Pathology of Lung Diseases I RESTRICTIVE LUNG

































































- Slides: 65
The Pathology of Lung Diseases I. RESTRICTIVE LUNG DISEASES II. OBSTRUCTIVE LUNG DISEASES
I. RESTRICTIVE LUNG DISEASES -Diffuse Interstitial Lung Disease -Infiltrative Lung Disease -Fibrosing alveolitis -Honeycomb lung
n Restrictive lung diseases are characterized by reduced lung volume, n n an alteration in lung parenchyma a disease of the pleura or chest wall a disease of neuromuscular apparatus In physiological terms, restrictive lung diseases are characterized by n reduced lung capacity; n n n reduced total lung capacity (TLC) reduced vital capacity reduced resting lung volume
n The many disorders that cause reduction or restriction of lung volumes may be divided into 2 groups based on anatomical structures: n n 1. Intrinsic lung diseases (or diseases of diseases the lung parenchyma), 2. Extrinsic disorders (or extraparenchymal disorders diseases).
1. Intrinsic lung diseases or diseases of the lung parenchyma: n The diseases cause inflammation or scarring of the lung tissue (interstitial lung disease) or result in filling of the air spaces with exudate and debris (pneumonitis).
2. Extrinsic disorders or extraparenchymal diseases: n n n Nonmuscular diseases of the chest wall, and neuromuscular disorders The chest wall, pleura, and respiratory muscles are the components of the respiratory pump, and they need to function normally for effective ventilation. If not; n n impaired ventilatory function, respiratory failure.
RESTRICTIVE LUNG DISEASES Intrinsic lung diseases or Diseases of the lung parenchyma
n n These diseases can be characterized according to etiological factors: Acute restrictive pulmonary diseases (acute lung injury) n n n Acute Respiratory Distress Syndrome (ARDS) Acute Hypersensitivity Pneumonitis Chronic restrictive pulmonary diseases n n Idiopathic fibrotic diseases Connective tissue diseases Drug-induced lung disease Primary diseases of the lungs (including sarcoidosis)
Acute restrictive pulmonary diseases
Acute Lung Injury 1. Diffuse Alveolar Damage (Acute Respiratory Distress Syndrome - ARDS) 2. Acute Hypersensitivity Pneumonitis (Extrinsic Allergic Alveolitis)
1. Diffuse Alveolar Damage (Acute Respiratory Distress Syndrome - ARDS) n n n Diffuse alveolar damage (DAD) refers to a pattern of reaction to injury of alveolar epithelial and endothelial cells from a variety of acute insults. The clinical counterpart of severe DAD is the acute respiratory distress syndrome (ARDS). In this disorder, a patient with apparently normal lungs sustains pulmonary damage and then develops rapidly progressive respiratory failure. The condition reflects decreased lung compliance (usually requiring mechanical ventilation) and hypoxemia and features extensive radiologic opacities in both lungs (white-out). The overall mortality of ARDS is more than 50%, and in patients older than 60 years, it is as high as 90%.
Nonthoracic Trauma Shock due to any cause Fat embolism Infection ETIOLOGY: Important Causes of the Acute Respiratory Distress Syndrome Gram-negative septicemia Other bacterial infections Viral infections Aspiration Near-drowning Aspiration of gastric contents Drugs and Therapeutic Agents Heroin Oxygen Radiation Paraquat Cytotoxic drugs
Acute Respiratory Distress Syndrome: n n n n n Pathogenesis Endothelial/capillary injury alveolar capillary membrane damage increased vascular permeability edema (interstitial/alveolar) increased synthesis of neutrophil chemotacatic & activating agents (IL) activated neutrophils oxidants, proteases, PAF, leukotriens tissue damage other mediators stimulating collagen production Fibrosis
Pathology Exudative phase (0 -7 days): n n n congestion, necrosis of alveolar epithelial cells, edema, hemorrhage, neutrophils in capillaries, Destruction of type I pneumocytes n permits exudation of fluid into alveolar spaces, where deposition of plasma proteins results in formation of fibrin-containing precipitates (hyaline membranes) on the injured alveolar walls
ncongestion nnecrosis of alveolar epithelial cells nedema nhemorrhage nneutrophils nhyaline in capillaries membranes
If the patient survives the acute phase of ARDS Proliferative phase (1 -3 weeks): n Proliferation of type II pneumocytes n Cleaning of remnant hyaline membranes by pulmonary macrophages n Expansion of alveolar septa n Proliferation of fibroblasts n Collagen tissue production n Healing or Fibrosing phase: n Diffuse interstitial fibrosis n Honeycomb lung
Proliferation of type II pneumocytes n Cleaning of remnant hyaline membranes by pulmonary macrophages n Expansion of alveolar septa n Proliferation of fibroblasts n
Diffuse interstitial fibrosis n Honeycomb lung. n
2. Acute Hypersensitivity Pneumonitis (Extrinsic Allergic Alveolitis) n n n n A response to inhaled antigens Farmer's lung occurs in farmers exposed to Micropolyspora faeni from moldy hay Bagassosis results from exposure to Thermoactinomyces sacchari in moldy sugar cane Maple bark-stripper's disease is seen in persons exposed to the fungus Cryptostroma corticale from moldy maple bark Bird fancier's lung affects bird keepers with long-term exposure to proteins from bird feathers, blood and excrement Hypersensitivity pneumonitis may also be caused by fungi growing in stagnant water in air conditioners, swimming pools, hot tubs, and central heating units. Skin tests and serum precipitating antibodies are often used to confirm the diagnosis. In many cases, especially in the chronic form of hypersensitivity pneumonitis, the inciting antigen is never identified.
Chronic restrictive pulmonary diseases
CHRONIC INTERSTITIAL LUNG DISEASES Characterized by - decreased lung volume - decreased oxygen-diffusing capacity on pulmonary function studies
A large number of pulmonary disorders are grouped as interstitial, infiltrative, or restrictive diseases n They are characterized by inflammatory infiltrates in the interstitial space and have similar clinical and radiologic presentations n These diverse maladies (1) are of known or unknown etiology, and (2) vary from minimally symptomatic conditions to severely incapacitating and lethal interstitial fibrosis n
Etiology n n Occupational/environmental diseases (24%) Sarcoidosis (20%) Idiopathic pulmonary fibrosis (15%) Collagen-vascular diseases (8%) The remainder have more than 100 different causes and associations.
The most striking findings are; n Longstanding inflammatory damage n Fibrosis of the alveolar walls n Fibrosis finally wipes out groups of alveoli n Scar contraction of respiratory bronchioles n The radiographic and autopsy diagnosis of "honeycomb lung"
ORGANIC DUST EXPOSURE n Chronic Hypersensitivity Pneumonitis n Chronic form of Acute Hypersensitivity n The prototype of hypersensitivity pneumonitis is n n Pneumonitis farmer's lung Cause: Inhalation of thermophilic actinomycetes that grow in moldy hay Patients with the chronic form of hypersensitivity pneumonitis have a more nonspecific presentation, with indolent onset of dyspnea and cor pulmonale.
n Pathology: n The main microscopic features of chronic hypersensitivity pneumonitis include n n bronchiolocentric cellular interstitial pneumonia noncaseating granulomas (in two thirds of cases) organizing pneumonia The bronchiolocentric cellular interstitial infiltrate n n n lymphocytes plasma cells macrophages
n Patchy mononuclear cell infiltrates, n Lymphocytes n Plasma cells n Epitheloid histiocytes n Interstitial noncaseating granulomas, n Interstitial fibrosis.
INORGANIC DUST EXPOSURE n Pneumoconioses n Dust inhalation n n Silicosis Asbestosis Talcosis Historically, knife grinder's lung (silicosis).
Mineral dust-induced lung diseases Coal dust (upper lobe) : Coal workers n Silica (upper lobe) : Stone, Ceramics, Sandblasting n Asbestos (lower lobe) : Mining, Milling, Insulation : Nuclear energy, n Beryllium Aircraft industry n
n n n Particles over 10 µm in diameter deposit on bronchi and bronchioles and are removed by the mucociliary escalator. Smaller particles reach the acinus, and the smallest ones behave as a gas and are exhaled. Alveolar macrophages ingest the inhaled particles and are the primary defenders of the alveolar space. Most phagocytosed particles ascend to the mucociliary carpet and are expectorated or swallowed. Others migrate into the interstitium of the lung, then into the lymphatics.
Air particulate exposure n n n Pneumoconioses Pulmonary fibrosis Asthma Chronic bronchitis Lung cancer
n INORGANIC DUST EXPOSURE: Silicosis n Inhalation of silicon dioxide (silica) n History: Dyspnea in metal diggers was reported by Hippocrates n Early Dutch pathologists wrote that the lungs of stone cutters sectioned like a mass of sand. n The major cause of death in workers exposed to silica dust for the first half of the 20 th century n n n Sandblasters Stone cutting Polishing and sharpening of metals Ceramic manufacturing Foundry work
n n After their inhalation, silica particles are ingested by alveolar macrophages Silicon hydroxide groups on the surface of the particles form hydrogen bonds with phospholipids and proteins, an interaction that is presumed to damage cellular membranes and thereby kill the macrophages The dead cells release free silica particles and fibrogenic factors progressive massive fibrosis The released silica is then reingested by macrophages and the process is amplified
n. The nodular lesions consist of concentric layers of hyalinized collagen n. Surrounded by a dense capsule of more condensed collagen Examination of the nodules by polarized microscopy reveals the birefringent silica particles. n
INORGANIC DUST EXPOSURE: Coal Workers' Pneumoconiosis (CWP) n n Coal dust is composed of amorphous carbon and other constituents of the earth's surface, including variable amounts of silica. Anthracite (hard) coal contains significantly more quartz Amorphous carbon by itself is not fibrogenic Silica is highly fibrogenic, and inhaled anthracotic particles may thus lead to anthracosilicosis.
n Asymptomatic anthracosis n Simple CWP: n n n Coal macules Coal nodules Complicated CWP n Caplan syndrome
Asymptomatic anthracosis
n CWP n n n Coal-dust macules and coal-dust nodules: n n Simple CWP Complicated CWP (progressive massive fibrosis) Both are typically multiple and scattered throughout the lung as 1 - to 4 -mm black foci Microscopy n n n Coal-dust macule: numerous carbon-laden macrophages Coal-dust nodule: round or irregular; dust-laden macrophages associated + fibrotic stroma Focal dust emphysema
Coal workers’ pneumoconiosis (CWP) Coal-dust nodule + Focal dust emphysema
n Caplan syndrome n n Rheumatoid nodules (Caplan nodules) in the lungs of coal miners with rheumatoid arthritis. Nodular lesions (1 -10 cm in diameter) Multiple, bilateral, and usually peripheral Microscopy n Rheumatoid nodule + dust deposits n Rheumatoid nodules consist of large, central, necrotic areas surrounded by a border of chronic inflammation and palisading macrophages.
n INORGANIC DUST EXPOSURE: Asbestosis n Asbestos - a group of fibrous silicate minerals n n n Insulation Construction materials Automative brake linings
n n Asbestos is a naturally occurring fibrous silicate that was widely used in the past for commercial applications because of its heat-resistance properties. Geometric forms of asbestos: n n 1. Amphibole (straight, stiff, and brittle fibers). 2. Serpentine (curly and flexible fibers; 90% used in wide-world).
n Asbestos exposure has been industrial or occupational and primarily affects workers involved in: n n n mining or processing asbestos shipbuilding construction textile insulation-manufacturing industries n n However, because the latency period between an initial exposure and the development of most asbestos-related disease is 20 years or longer, Asbestos-related disease remains an important public health issue.
n Exposure to asbestos can cause a number of thoracic complications n n n n Asbestosis Benign pleural effusion Pleural plaques Diffuse pleural fibrosis Rounded atelectasis Mesothelioma Lung carcinoma
Asbestos-Related Lung Disease Pleural lesions Benign pleural effusion Parietal pleural plaques Diffuse pleural fibrosis Rounded atelectasis Interstitial lung disease Asbestosis Malignant mesothelioma* Carcinoma of the lung (in smokers)
n ASBESTOSIS n n n Asbestosis is diffuse interstitial fibrosis resulting from inhalation of asbestos fibers The development of asbestosis requires heavy exposure to asbestos Asbestos may produce obstructive as well as restrictive defects As the disease progresses, fibrosis spreads beyond the peribronchiolar location and eventually results in an endstage or (honeycomb) lung Asbestosis is usually more severe in the lower zones of the lung
Pathology n n Lower lobes and subpleural Diffuse pulmonary interstitial fibrosis Asbestos bodies (golden brown, fusiform or beaded rods with a translucenter and knobbod ends) Asbestos fibers coated with an iron-containing proteinaceous material (ferruginous body)
Lower lobes and subpleural n Diffuse pulmonary interstitial fibrosis n
Asbestos fibers coated with an iron-containing proteinaceous material (ferruginous body) n
Asbestos-Related Lung Disease & Complications Pleural lesions Benign pleural effusion Parietal pleural plaques Diffuse pleural fibrosis Rounded atelectasis Interstitial lung disease Asbestosis Progressive fibrosis Pulmonary hypertension and cor pulmonale Malignant mesothelioma (80% pleural; 20% peritoneal in origin) Bronchogenic carcinoma (20 -25% of heavily exposed asbestos worker)
Berryliosis n n n Aerospace industry Dusts/fumes of berrylium Acute pneumonitis (high doses) Pulmonary/systemic granulomatous lesions Progressively fibrotic lung pathology
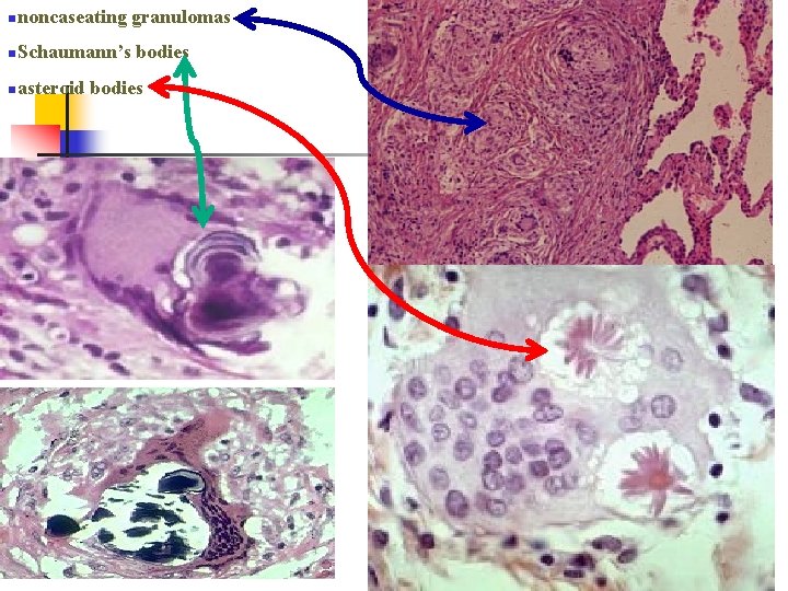
Primary or Unclassified diseases n SARCOIDOSIS n n A granulomatous disease of unknown etiology Sarcoidosis can involve many systems and organs n n n bilateral hilar lymphadenopathy (75 -90 %) lung involvement (90%) eye and skin lesions Most sarcoid patients are young adults Exact pathogenesis of sarcoidosis remains obscure n n T lymphocyte response to exogenous or autologous antigens These cells accumulate in the affected organs, where they secrete lymphokines and recruit macrophages, which participate in the formation of noncaseating granulomas.
n Pathology n Multiple sarcoid granulomas are scattered in the interstitium of the lung. n n n Frequent bronchial or bronchiolar submucosal infiltration by sarcoid granulomas accounts for the high diagnostic yield (<90%) on bronchoscopic biopsy. The cellular granulomatous phase of sarcoidosis can progress to a fibrotic phase. Significant necrosis is usually absent, small foci of necrosis are seen in one third of open lung biopsies. Asteroid bodies (star-shaped crystals) Schaumann bodies (small calcifications with a lamellar structure)
Kveim test n n n Kveim test, which involves taking ground-up spleen from someone with sarcoidosis and injecting it into the dermis, If a granuloma forms, the living patient supposedly has sarcoidosis, 80% sensitive, 95% specific.
nnoncaseating n. Schaumann’s nasteroid granulomas bodies
IDIOPATHIC PULMONARY FIBROSIS Usual Interstitial Pneumonia (UIP) n Syn: Chronic interstitial pneumonitis, Idiopathic pulmonary fibrosis, Cryptogenic fibrosing alveolitis n One of the most common types of interstitial pneumonia n Middle-aged men n Unknown etiology (? ) n n n Viral (flu-like illness) Genetic (familial UIP; UIP-like diseases in neurofibromatosis and Hermansky-Pudlak syndrome) Immunologic factors (collagen vascular diseases; autoimmune disorders)
n n Circulating autoantibodies (e. g. , antinuclear antibodies and rheumatoid factor). Immune complexes (antigen? ) n n circulation, inflamed alveolar walls, bronchoalveolar-lavage specimens. Immune complexes activated alveolar macrophages phagocytosis of immune complexes release of cytokines neutrophil migratrion damage of alveolar walls progression interstitial fibrosis
Pathology n n n The histologic hallmark: patchy chronic inflammation and interstitial fibrosis with areas of dense scarring and honeycomb cystic change The lungs are small Fibrosis tends to be worse in the lower lobes, subpleural regions, and along interlobular septa
n The honeycomb cystic spaces n n lined by bronchiolar or cuboidal epithelium contain mucus, macrophages, or neutrophils interstitial chronic inflammation lymphoid aggregates, sometimes containing germinal centers, in UIP associated with rheumatoid arthritis
n Vascular changes n n n intimal fibrosis thickening of the media Progressive fibrosis of lungs respiratory insufficiency pulmonary hypertension cor pulmonale cardiac failure
Desquamative Interstitial Pneumonia (DIP) n n Pathologically described entity A diffuse lung disease characterized by marked accumulation of intraalveolar macrophages n n n intra-alveolar cells were desquamated epithelial cells, whereas they are now recognized as macrophages The macrophages contain a fine golden-brown pigment. Alveolar walls show mild thickening by chronic inflammation and interstitial fibrosis. Scattered lymphoid aggregates also may be present. Hyperplasia of type II pneumocytes is often prominent.
n n n In cigarette smokers The radiographic picture of DIP is not specific but is most frequently described as bilateral ground glass infiltrates with a lower lobe predominance DIP has a much better prognosis than UIP n Most patients respond well to steroid therapy and smoking cessation
Collagen-Vascular Diseases & Drugs and other Treatments Nonspecific Interstitial Pneumonia (NSIP) n Etiology n infection n collagen vascular disease n hypersensitivity pneumonitis n drug reaction, and others) n or it may be idiopathic.
Pathology Diffuse uniform changes in the lung n NSIP n n Cellular type: alveolar septa are diffusely involved by a mild to moderate lymphcytic infiltrate. Fibrosing type: septa are diffusely involved by fibrosis, with or without significant associated inflammation.