Fungal lung diseases Occupational lung diseases Edit Csada









































- Slides: 41
Fungal lung diseases Occupational lung diseases Edit Csada, MD 07. 10. 2015.
PATHOGEN FUNGI Facultative pathogens Moulds Aspergilli Mucoraceae Yeasts Candida Cryptococcus Obligate pathogenes Histoplasma capsulatum Coccidioides immitis Blastomyces dermatitidis Sporothrix shenckii 2
RISK FACTORS Immuncompromised state, treatment Cytostatic treatment Antibiotic and steroid treatment Leukemy Neutropenic patients Malignancies Diabetes mellitus AIDS After intensive therapy After transplantation
PATHOLOGICAL FINDINGS Epitheloid hyperplasia Histocyte granulomas Thrombotic arteriitis Caseation granuloma Fibrosis Calcification
DIAGNOSTIC METHODS Microscopic examination native smear different stainings Culture Special culture media Histology + culture Skin test Serology Differential diagnosis tumor tuberculosis chr pneumonia
Medical treatment Polyens THERAPY Amphotericin B (Fungisone) Nystatin Pimafucin 5 fluorocytosin Ancotil Azoles Ketoconazole (Nizoral) Clotrimazole (Canesten) Caspofungin (cancidas) Fluconazole (Diflucan) Itraconazole (Orungal) Voriconazole (Vfend) (2. gen. ) Surgery
CLINICAL MANIFESTATION OF ASPERGILLOSIS Allergic aspergillosis Extrinsic allergic alveolitis hypersensitivity pneumonitis Allergic bronchopulmonary aspergillosis Aspergillomas Invasive aspergillosis Rare manifestations Aspergillus endocarditis Aspergillus pneumonia Endophthalmitis
ALLERGIC BRONCHOPULMONARY ASPERGILLOSIS Type I immediate hypersensitivity reaction Type III antigen, antibody, immune komplex reaction Diagnosis Bronchial obstruction Fever Eosinophylia Skin test Ig. G se precipitating antibody Total, specific Ig. E X-ray Small, fleeting inflitrates Hilar, paratracheal adenopathy Chronic consolidation Alveolitis – fibrosis Bronchiectasis Therapy Chromoglycate Corticosteroid
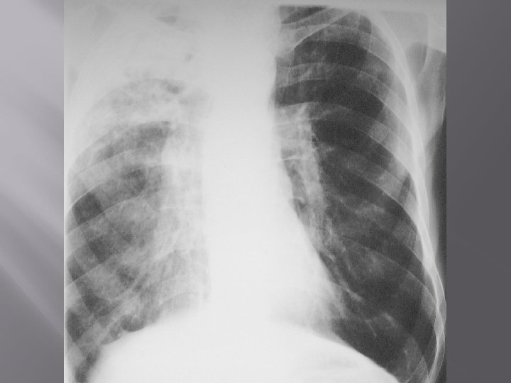
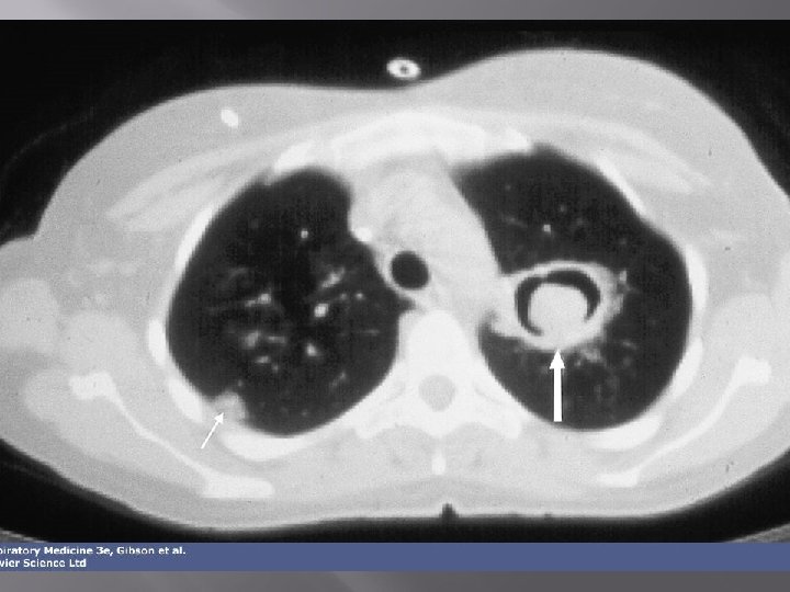
ASPERGILLOMA Saprophytic colonisation of fungi in pulmonary cavities Manifestation No symptoms Haemoptysis Fever Cachexia Chraracteristic x-ray picture! Therapy: surgery
„Halo sign” 14
INVASIVE ASPERGILLOSIS Immuncompromised host! Necrotising pneumonia Empyema Pulm. , extrapulm. Dissemination Symptoms: fever, pleural pain, haemotysis Therapy: Amphotericin B or voriconazole itraconazole, caspofungin
CANDIDIASIS Normal inhabitants of mucocutaneous body surfaces. 80% of all systemic fungal infection Manifestation Disease of skin and mucosa Gynecological disease Oesophagitis In the lung: Bronchitis Pneumonia Pleurisy Therapy: Amphotericin B, caspofungin, fluconazole, itraconazole, voriconazole
CRYPTOCOCCOSIS It is the 4. Most common cause of opportunistic infections in AIDS patients in the US. Manifestations: asymptomatic colonisation ext. All. Alveolitis primary complex toruloma Diagnosis: Masson-Fontana staining Complication: meningoencephalitis Therapy: spontaneous healing, amphotericin B, fluconazole, flucytosine
HISTOPLASMOSIS It is the most common systemic mycosis in the USA. Manifestation Subclinical Acute form: Influenzalike disease X-ray: small scattered, patchy infiltrates calcification Progressive, disseminated form Rare (AIDS) Chr. pulmonary form (COPD) Segmental, interstitial pneumonitis Chr cavitary disease Diagnosis: Wright’s or Giemsa staining Prognosis: good Therapy: itraconazole, amphotericin B
COCCIDIOIDOMYCOSIS Acute, benign disease Primary infection: infuenzalike symptoms Radiological findings: Segmental pneumonia Minimal infiltrates Adenopathy, pleural effusion Nodular lesions, cavities Prognosis is good without any therapy. Diagnosis: eosinophilia, Ig. G Progressive, extrapum. manifestation
COCCIDIOIDOMYCOSIS • Risk factors for dissemination of Coccidioides Immitis infection • Older age • Males • Non-caucasians, Filipinos • Immunsuppression • Gravidity • Therapy • Azoles • Fluconazole > Itraconazole • Ketoconazole: less effective 21
Occupational lung diseases Pneumoconiosis Hypersensitivity pneumonitis Obstructive airway diseases Toxic damages Malignant lung diseases Pleural diseases 22
Common causes of occupational asthma Agents Occupational exposure Isocyanates Spray paints, varnishes, adhesives, polyurethane foam manufacture Flour Bakers Epoxy resins Hardening agents, adhesives Animals (rats, mice) Laboratory workers Wood dusts Sawmill workers, joiners Azodicarbonamide Polyvinyl plastics manufacture Persulphate salts Hairdressers Latex Healthcare workers Drugs Pharmaceutical industry Grain dust Farmers, millers, bakers
Occupational asthma Diagnosis: Asthma diagnosis Causative connection working place between asthma and Clinical manifestations Early asthmatic response Late asthmatic response Combined response Therapy: Avoidance of exposition Protective devices Asthma treatment 24
PNEUMOCONIOSIS Etiologic agents: dusts inhalation of inorganic metal dusts free silica coal dusts 25
SILICOSIS The base of disease is the progressive concentric fibrosis with hyalinisation in the centre. Free silica: mining stone cutting road and building construction blasting 26
DETERMINING FACTORS IN DEVELOPMENT OF SILICOSIS Silicic acid content Content of dusts in the place of work (200 000/m 3) Size of dust (<2 micron) Time of exposure Individual inclination (smoking) 27
SILICOSIS Symptoms: no symptoms dyspnoe hypoxaemia, hypercapnia=> ventilatory failure=> cor pulmonale X-ray: nodular dissemination silicomas (=>emphysematic bullae) hilar adenopathy calcification, egg shell pattern Complications: chr. bronchitis emphysema ptx Tb is more frequent Caplan’s syndroma Therapy: symptomatic Prophylaxis! 28
29
30
31
Silicosis 32
33
ASBESTOSIS Hydrosilicate – fibre, thread Pulmonal clearence depends on the ratio of length and diameter of fibers 50 -100 asbest particula/cm 3 → mesothelioma Basal and subpleural fibrosis 34
35
HYPERSENSITIVE PNEUMONITIS (Extrinic allergic alveolitis) It is an immunologically induced inflammation of lung parenchyma involving alveolar walls and terminal airways secondary to repeated inhalation of a variety of organic dusts and other agents by susceptible host. Manifestations: Farmer’s lung (1932) – thermophylic actinomycetes Bird fancier’s breeder’s or handler’s lung Miller’s lung Bagassosis Byssinosis Air conditioner’s lung Coffee worker’s lung 36
HYPERSENSITIVE PNEUMONITIS Clinical forms: Acute: (type III. reaction) cough, fever, chills, malaise, dyspnoe may occur 6 -8 hours after exposure and usually clear within few days Subacute: (type IV reaction) symptoms appear over a period of week( cough, dyspnoe, cyanosis). Symptoms disappear within weeks, or months, if causative agent is no longer inhaled. Chronic: (type IV reaction) gradually progressive intersistial disease associated with cough, exertional dyspnoe without a prior history of acute or subacute disease. 37
38
39
HYPERSENSITIVE PNEUMONITIS Diagnosis: anamnesis x-ray: normal poorly defined patchy or diffuse infiltrates reticulonodular lesions lung function tests: impaired diffusing capacity, decreased comliance exercise induced hypoxaemia Se precipitins against suspected antigens BAL: acute : neutrophyls, monocytes (5%) chr: lymphocytes (60 -70%) Lung biopsy: intersitial alveolar infiltrates bronchiolitis Therapy: avoidance of antigens corticosteroids 40
Thank you for your attention! 41