LA DEPRESSIONE NEL PAZIENTE ANZIANO EPIDEMIOLOGIA PROF DOMENICO






















































































- Slides: 86
LA DEPRESSIONE NEL PAZIENTE ANZIANO: EPIDEMIOLOGIA PROF. DOMENICO MAUGERI CATANIA 25 OTTOBRE 2005 HOTEL SHERATON
“Le due più importanti malattie della vecchiaia sono la depressione e la demenza. La sovrapposizione tra i sintomi della depressione e della demenza in pazienti anziani è ben conosciuta e può essere difficile separarle all’interno di categorie nosologiche differenti”. Roth et al, 1996
LA DEPRESSIONE E’ UNA SINDROME CLINICA LEGATA AD UNA PATOLOGICA ALTERAZIONE DELL’AFFETTIVITA’, CHE PUO’ MANIFESTARSI CON UMORE DEPRESSO, ALTERAZIONI COGNITIVE, COMPORTAMENTALI E SOMATICHE. NON VA CONFUSA CON LA DIMINUZIONE DEL TONO DELL’UMORE O LA TRISTEZZA, CHE ESPRIMONO UNA NORMALE REAZIONE A PARTICOLARI EVENTI ESISTENZIALI.
Etiologia La base causale della Depressione non è nota. I fattori causali possono essere, artificialmente, divisi in biologici (disregolazione eterogenea delle amine biogene noradrenalina e serotonina), genetici e psicosociali (eventi della vita e gli stress ambientali, fattori di personalità premorbosa etc. ), considerando che queste tre realtà interagiscono tra loro.
Epidemiologia La prevalenza del disturbo depressivo maggiore nelle regioni occidentali industrializzate è compresa tra il 2, 3% e il 3, 2% nel sesso maschile e tra il 4, 5% e il 9, 3% nel sesso femminile. Il rischio di avere un disturbo depressivo maggiore nel corso della vita è compreso tra il 7% e il 12% per l’uomo, e tra il 20% e il 25% per la donna. I fattori di rischio di disturbo depressivo maggiore comprendono il sesso femminile (aumentato rischio nel periodo postpartum), anamnesi positiva per la depressione nei parenti di primo grado e precedenti episodi di depressione maggiore.
IN ITALIA 3. 200. 000 Qualsiasi disturbo I disturbi differenziati: " psicosessuali " dell'infanzia e dell'adolescenza Psicosi non affettive Abuso/dipendenza da sostanze " del comportamento alimentare " del sonno " del controllo degli impulsi " da somatizzazione " d'ansia " affettivi 6. 992. 000 Maschi Femmine 24. 000 118. 000 142. 000 94. 000 190. 000 332. 000 450. 000 2. 180. 000 2. 560. 000 25. 610 204. 884 230. 494 204. 884 281. 715 563. 431 435. 378 793. 925 5. 702. 361 5. 506. 000
TABELLA: PREVALENZA DELLA DEPRESSIONE NELL'ANZIANO (The Psychiatric Clinics of North America 1998; 21: 941) SETTING PREVALENZA (%) A DOMICILIO 1 -4 MALATI A DOMICILIO 7 -36 RICOVERATI 15 -43 IN STRUTTURA 42 -51
SOPRAVVIVENZA IN UNA POPOLAZIONE DEPRESSA CON ETA' >65 ANNI Solitamente l'accuratezza diagnostica degli strumenti autosomministrati è
I DISTURBI DELL’UMORE DSM-IV-TR DISTURBO DEPRESSIVO DISTURBO MANIACALE
I DISTURBI DELL’UMORE DSM-IV-TR I DISTURBI DEPRESSIVI DISTURBI BIPOLARI (UNIPOLARI) Dist. Bipolare I (maniacale) Dist. Depressivo Maggiore Dist. Bipolare II (depressivo) Disturbo Distimico Dist. Ciclotimico Dist. Depressivo non specif. Dist. Bipolare non specific. ALTRI DISTURBI DELL’UMORE Disturbo dell’umore secondario a condizione medica Disturbo dell’umore indotto da sostanze Disturbo dell’umore non altrimenti specificato CATTEDRA DI GERIATRIA - BARI
DEPRESSIONE MAGGIORE (DSM-IV-TR) A. Depressione dell’umore o perdita di interesse e di piacere per tutte le attività, da oltre 2 settim. più almeno 4 dei seguenti sintomi B. Anoressia (o bulimia) Perdita di peso (o aumento) Stipsi ostinata Insonnia costante (o ipersonnia) Agitazione psicomotoria (o rallentamento) Facile affaticabilità o mancanza di energie Sentimenti di autosvalutazione Sentimenti di colpa eccessivi o inappropriati Ridotta capacità di pensare o di concentrarsi Pensieri ricorrenti di morte, tentativo di suicidio
DEPRESSIONE MAGGIORE (DSM-IV-TR) DISTURBI SOMATICO-VEGETATIVI Anoressia (o bulimia) Perdita di peso (o aumento) Stipsi ostinata Insonnia costante (o ipersonnia) DISTURBI PSICOLOGICI Agitazione psicomotoria (o rallentamento) Facile affaticabilità o mancanza di energie Sentimenti di autosvalutazione Sentimenti di colpa eccessivi o inappropriati Ridotta capacità di pensare o di concentrarsi Pensieri ricorrenti di morte, tentativo di suicidio
DISTURBO DISTIMICO A - Umore depresso per almeno 2 anni B - Presenza di 2 dei seguenti sintomi 1) Scarso appetito 2) Insonnia o ipersonnia 3) Scarsa energia o astenia 4) Bassa autostima 5) Difficoltà di concentrazione 6) Difficoltà nel prendere decisioni 7) Sentimenti di disperazione
VARIETA’ CLINICHE DELLA DEPRESSIONE A) FORMA AGITATA Irreqietezza, ansia, muoversi continuamente, incapacità di star fermo, aggressività B) FORMA IPOCONDRIACA Continue lamentele riferite a numerosi sintomi di scarso rilievo clinico C) FORMA RITARDATA Rallentamento psicomotorio, eloquio lento, movimenti rallentati, profonda stanchezza D) FORMA APATICA Assenza di ogni iniziativa, isolamento, disinteresse per il circostante CATTEDRA DI GERIATRIA - BARI
IL TONO DELL’UMORE NELL’ANZIANO Fattori endogeni Cerebropatia atrofica Cerebropatia vascolare Stato di salute Tono dell’umore Condizioni sociali Condizioni economiche Condizioni ambientali Fattori esogeni CATTEDRA DI GERIATRIA - BARI
IL TONO DELL’UMORE NELL’ANZIANO Fattori endogeni Cerebropatia atrofica Cerebropatia vascolare Stato di salute Tono dell’umore Condizioni sociali Condizioni economiche Condizioni ambientali Fattori esogeni CATTEDRA DI GERIATRIA - BARI
LA DEPRESSIONE DELL’ANZIANO FATTORI CHE FAVORISCONO L’INSORGENZA DI UNA CONDIZIONE DEPRESSIVA NELL’ANZIANO Solitudine Insonnia Patologie croniche Stato socio-economico ed abitativo Disabilità, non autosufficienza Consapevolezza di non avere “futuro” CATTEDRA DI GERIATRIA - BARI
L’ANZIANO E LA STAGIONE DELLE PERDITE 1) PERDITA DEL RUOLO SOCIALE ED ECONOMICO - Pensionamento - Esclusione da ruoli significativi (gli “ex”) - Cessazione di attività remunerate e gratificanti 2) PERDITA DELLA SALUTE E DELL’AUTOSUFFICIENZA - Invecchiamento fisiologico - Patologie acute e/o croniche 3) PERDITA DA LUTTO (per l’anziano inizia la stagione dei lutti) - Vedovanza - Perdita di persone care (familiari, amici) 4) PERDITA DEL RAPPORTO COL CONTESTO SOCIALE - Veloci cambiamenti sociali e produttivi - Mancanza di strumenti culturali adeguati - inadeguatezza dei sistemi assistenziali
DE SENECTUTE – CICERONE La vecchiaia è infelice per almeno quattro motivi: Primo, perché allontana dalle occupazioni Secondo, perché rende più debole il corpo Terzo, perché priva di ogni piacere Quarto, perché non è lontana dalla morte CATTEDRA DI GERIATRIA - BARI
LA DEPRESSIONE DELL’ANZIANO L’ansia è un componente fondamentale della depressione dell’anziano ed è presente sia nella depressione agitata sia in quella apatica. L’ansia é attesa, aspettativa angosciosa
DISTURBO DEPRESSIVO AGGETTIVI ED ESPRESSIONI ADOPERATE FREQUENTEMENTE DAL PAZIENTE DEPRESSO Triste Malinconico Angosciato Disperato Indifferente Irritabile Sentirsi giù Essere giù di corda Sentirsi abbattuto Sentirsi esaurito Sentirsi apatico Sentirsi assente
DISTURBO DEPRESSIVO INFLUENZA DELLA CULTURA AMBIENTALE SULLA COMUNICAZIONE DEI SINTOMI - Paura di essere colpiti dal malocchio - Paura di essere stregati (avere la “fattura”) - Morsi della tarantola - Calore alla testa o alla pancia - Sensazione di vermi nella pancia - Sensazione di formiche sul corpo - Sentimenti vividi di essere visitati da defunti
IL TONO DELL’UMORE NELL’ANZIANO Fattori endogeni Cerebropatia atrofica Stato di salute Cerebropatia vascolare Tono dell’umore Condizioni sociali Condizioni economiche Condizioni ambientali Fattori esogeni
LA DEPRESSIONE DELL’ANZIANO La depressione dell’anziano è necessariamente una depressione anche biologica, cioè sostenuta anche da condizioni biologiche, legate soprattutto all’invecchiamento cerebrale
FORME PECULIARI DI DEPRESSIONE DELL’ANZIANO DEPRESSIONE VASCOLARE DEPRESSIONE POST-STROKE
STROKE ISCHEMICO CORTICALE Infarti Corticali SOTTOCORTICALE White Matter Lesion (WML) Sindrome Lacunare Infarti Strategici
DEPRESSIONE VASCOLARE (VD) Vi sono evidenze cliniche e sperimentali che depongono per l’esistenza di un sottotipo di depressione ad insorgenza tardiva, di cui la cerebro-vasculopatia (CVD) potrebbe essere un fattore causale. Questa forma di depressione ad insorgenza tardiva è stata denominata “Depressione Vascolare” (Vascular Depression, VD)
DEPRESSIONE VASCOLARE (VD) CRITERI PRINCIPALI A) Esordio della depressione dopo i 65 anni, o riacutizzazione di depressione dopo esordio di malattia vascolare B) Manifestazioni cliniche di malattia vascolare (pregresso stroke o TIA, deficit neurologici focali, fibrillazione atriale, infarto miocardico, vasculopatia aterosclerotica aortica, carotidea, periferica) C) Imaging (infarti corticali, sindrome lacunare, WMH) Alexopoulos GS et al. – Arch Gen Psychiatry 1997; 54: 915 -922
DEPRESSIONE VASCOLARE (VD) CRITERI ACCESSORI A) Compromissione funzioni esecutive (planning, fluenza verbale, flessibilità mentale, inibizione della risposta) B) Rallentamento psicomotorio C) Ideazione depressiva (limitata) D) Limitato insight della malattia E) Disabilità fisica Alexopoulos GS et al. – Arch Gen Psychiatry 1997; 54: 915 -922
FORME PECULIARI DI DEPRESSIONE DELLE PERSONE ANZIANE DEPRESSIONE VASCOLARE DEPRESSIONE POST-STROKE
DEPRESSIONE POST STROKE (PSD) La depressione è probabilmente il disordine emozionale più frequente e grave che segue ad uno stroke. Può insorgere una depressione maggiore o, più frequentemente, una depressione minore.
DEPRESSIONE POST STROKE (PSD) Il 20% degli stroke va incontro a sindrome depressiva. L’insorgenza può avvenire nei primi giorni o comunque entro due anni. La durata media della PSD va da 6 a 9 mesi
PSD: FREQUENZA (%) 1995 - 1999
DEPRESSIONE POST STROKE (PSD) DEPRESSIONE MAGGIORE: 1) Depressione dell’umore o perdita di interesse e di piacere per quasi tutte le attività della vita, per almeno 2 settimane; 2) Almeno altri 4 sintomi della depressione DEPRESSIONE MINORE (PSD): 1) Depressione dell’umore o perdita di interesse della durata di più giorni: 2) Almeno altri 2 sintomi di depressione, che però non incontrano i criteri della depressione maggiore
DEPRESSIONE POST STROKE (PSD) Nella depressione minore, i sintomi depressivi vegetativi e quelli psicologici sono del tutto simili a quelli della depressione maggiore primaria
DEPRESSIONE POST STROKE (PSD) 1) 2) 3) 4) 5) 6) 7) 8) FATTORI DI RISCHIO DELLA PSD: Localizzazione dello stroke nella parte anteriore del lobo frontale di sin. Sesso femminile Familiarità per depressione o pregresso episodio depressivo Presenza di tratti psicotici Età giovane Presenza di più grave disabilità alle ADL Supporto familiare carente Presenza di eventi negativi
DEPRESSIONE POST STROKE (PSD) LESIONI DELL’EMISFERO SINISTRO ANTERIORE Correlazione inversa fra gravità della depressione e distanza della lesione cerebrale dalla regione pre -frontale. Più anteriore è il danno cerebrale, più severi sono i sintomi depressivi. Tale correlazione dura non meno di 6 mesi. Iacobini M et al – Ital J Neurol 1995; 16: 209 -216 Herrmann M et al. J Neurol Neurosurg Psych 1993; 56: 672 -678 Nerushima K et al. Essential Psychopharmacol 2002; in press
AREA CORTICALE Corteccia pre-frontale dorso-laterale SINDROME Sindrome laterale disesecutiva TRASCURATEZZA Sciatteria Fatuità Superficialità Mancanza di senso critico
AREA CORTICALE Area pre-frontale laterale SINDROME Sindrome laterale disesecutiva Attività connesse con memoria ed informazioni spaziali SINDROME DISESECUTIVA Working memory Memoria remota Memoria visuo-spaziale Giudizio critico Planning-pianificazione Insight-introspezione Cura di se stessi Fluenza verbale
AREA CORTICALE Corteccia orbito-frontale SINDROME Orbito-frontal disinhibited syndrome COMPORTAMENTO SOCIALE Indifferenza Disinibizione Aggressività Irritabilità Irascibilità Impulsività Volgarità Mancanza di tatto Mancato controllo emozionale
AREA CORTICALE SINDROME Corteccia pre-frontale mediale Medial apathetic syndrome APATIA Disinteresse Assenza di iniziativa Scarsa motivazione Affettività piatta Espressione indifferente Rigidità e perseverazione
MEDIAL SURFACE OF THE CEREBRAL HEMISPHERES A. Zeman - N Engl J Med 2005: 352; 2
AMIGDALA STIMOLAZIONE DELL’AMIGDALA Paura Ansia Tachicardia Ipertensione arteriosa Aumentata tensione muscolare Incremento delle catecolamine circolanti Stimolazione della secrezione di CRH (corticotropin-releasing hormon)
LA MEMORIA PREFRONTALE Prefront. laterale Orbito-frontale M. Visuale M. Uditiva M. Tattile Working mem. M. Volti M. olfattiva M. gustativa Prefront. mediale M. spaziale Long term retrival
DEPRESSIONE POST STROKE (PSD) IL SUPPORTO SOCIO-FAMILIARE Particolarmente importanti sono i cambiamenti sociali, emozionali e funzionali che investono il paziente colpito da stroke e che determinano la sensazione soggettiva (del paziente) di sentirsi ancora valorizzato agli occhi delle persone che contano per lui. Il supporto del coniuge risulta essere il fattore più importante per l’insorgenza o meno della PSD. Robinson RG et al. Arch Phys Med Rehabil 1985; 66: 496
STRUMENTI DI DIAGNOSTICA TEST DI LABORATORIO PER LA DEPRESSIONE TEST PSICOMETRICI
DEPRESSIOINE E MONOAMINE: -NORADRENALINA -SEROTONINA -DOPAMINA
NORADRENALINA Un'ipotesi era che la depressione fosse legata ad un deficit di noradrenalina. Essa viene secreta principalmente nel locus ceruleo, la sua azione non è trasmettitoriale ma di modulare gli altri segnali; il suo rilascio renderebbe più sensibili agli stimoli esogeni le regioni cerebrali sede di proiezione delle vie noradrenergiche, in particolare corteccia, ippocampo ed ipotalamo.
SEROTONINA Il ruolo della Serotonina nell'eziologia della depressione è complementare a quello della Noradrenalina. La serotonina sembra coinvolta nella genesi di alcuni sintomi della depressione, come i disturbi dell'umore, dell'appetito del sonno, nelle disfunzioni sessuali e cognitive e nell'ideazione suicidaria. Il ruolo della serotonina è di modulare l'azione degli altri neurotrasmettitori, in particolare la dopamina e la noradrenalina. Le zone del SNC con maggior contenuto di serotonina sono localizzate nel nucleo del rafe con proiezioni diffuse in particolare alla corteccia, al setto, all'ippocampo e ai nuclei dell'ipotalamo.
DOPAMINA : La dopamina si concentra: -a livello nigrostriatale con azione di controllo della postura e dei movimenti complessi; -nel mesolimbo favorisce i comportamenti motivati da gratificazione tramite il sistema di facilitazione, un'alterazione di questo sistema è implicata nella genesi delle psicosi e della schizofrenia; -nel tratto tubero-infundibolare ha un ruolo nella regolazione della prolattina e del rilascio dell'ormone della crescita. Una carenza di dopamina è correlata ad una ridotta capacità di iniziativa e di motivazioni e con un rallentamento psicomotorio
SISTEMI NEUROENDOCRINI ( I): Nel 50% dei depressi vi è un'aumentata secrezione di cortisolo oltre che una modificazione del ciclo circadiano dell'ormone con un appiattimento della curva di secrezione. La secrezione del cortisolo dalla corteccia surrenalica è regolata dal sistema nervoso centrale tramite il rilascio di CRF che stimola l'ipofisi a secernere ACTH. Diversi neurotrasmettitori e neuromodulatori quali l'acetilcolina, la noradrenalina, la serotonina, il GABA sono stati ritenuti responsabili della stimolazione del rilascio del CRF, e in momenti diversi predominano gli uni o gli altri a seconda dello stress ambientale, della periodicità circadiana e di altre condizioni fisiologiche.
SISTEMI NEUROENDOCRINI II : Nei depressi si stata riscontrata anche: -una ridotta secrezione di TSH in seguito allo stimolo con TRH -ridotti livelli di prolattina e GH -un aumento delle concentrazioni di melatonina La ridotta concentrazione di estrogeni nelle donne in postmenopausa è stata messa in correlazione con la depressione di tale periodo. Nei depressi si è trovata una riduzione dei livelli liquorali di somatostatina, mentre le concentrazioni corticali sono equiparabili a quelle dei soggetti non depressi.
DEPRESSIONE - LABORATORIO TEST DI SOPPRESSIONE AL DESAMETAZONE 1 mg di desametazione per os la sera. Il giorno successivo, tre prelievi di sangue, ore 8, 16, 23. Se in uno dei tre prelievi si osserva un valore di cortisolemia > 5 mg, il test è positivo per depressione (mancata inibizione della cortisolemia)
DEPRESIONE – REPERTI DI LABORATORIO POLISONNOGRAFIA • Disturbo della continuità del sonno • Prolungamento della latenza del sonno • Aumento dei risvegli intermittenti • Risveglio precoce al mattino • Riduzione degli stadi 3 - 4 non REM • Ridotta latenza REM • Aumento della attività fasica REM • Aumento della durata del sonno REM
NEUROCHIMICA DELLA DEPRESSIONE NELL'ANZIANO (Racagni, Giornale di Gerontologia) NORADRENALINA SEROTONINA DOPAMINA Vigilanza +++ + + Attenzione +++ + Funzioni cognitive +++ + Umore +++ + Affettività +++ + Attività psicomotoria + + +++ Dolore + +++ + Evitamento + +++ + Impulsività + +++ + Aggressività + +++ Ansietà +++ + Sonno + +++ Funzioni sessuali + +++ Appetito + +++
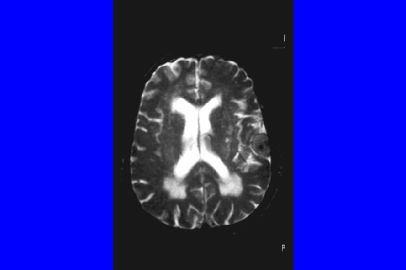
ASPETTI NEURORADIOLOGICI : -La TC Nei soggetti depressi con esordio tardivo, spesso la mostra una dilatazione dei ventricoli. -La RMN di soggetti anziani depressi mostra un'atrofia della corteccia con dilatazione dei solchi corticali e delle scissure silviane e a livello sottocorticale un'iperintensità della sostanza bianca periventricolare (leucoaraiosi), soprattutto nei soggetti con esordio tardivo dei sintomi, una sintomatologia di tipo allucinatorio e una scarsa risposta alla terapia antipertensiva.
ASPETTI NEURORADIOLOGICI : -Studi PET hanno riscontrato una ridotta captazione di glucosio nell'emisfero destro soprattutto a livello frontale destro, a differenza di quanto avviene per l'Alzheimer in cui l'ipocaptazione avviene a livello parietale. -Studi SPECT hanno riscontrato che nei pazienti depressi si ha un ipometabolismo a livello: della corteccia prefrontale sia ventrale che dorsale della corteccia parietale inferiore della corteccia cingolata anteriore del giro cingolato posteriore
SPECT
La pseudodemenza
Pseudodemenza • È un’entità clinica mal definita, introdotta da Kiloh nel 1961 dopo una descrizione di Madden et al. nel 1952. • È costituita da un complesso di sintomi che mimano la demenza, che è sempre di grado non severo, in soggetti con disturbi depressivi. Il malato non è un vero demente ed è perciò passibile di favorevole trattamento.
Pseudodemenza • Al momento gli unici criteri diagnostici ai quali si fa riferimento sono quelli proposti da Caine nel 1981 che prevedono la presenza di: • deterioramento intellettivo associato a un disturbo psichiatrico primario • anomalie neuropsicologiche in parte richiamano deficit cognitivi neuropatologica-mente indotti • disturbi intellettivi indotti • nessun apparente processo neuropatologico che possa spiegare l’origine del disturbo. Bianchetti A, Pezzini A, Dementia Update 9, 2001
Diagnosi differenziale tra Pseudodemenza e Demenza Decorso clinico PSEUDODEMENZA Consapevolezza familiare della disfunzione consapevole inconsapevole Esordio dei sintomi improvviso insidioso Ricerca di consulto medico precoce ritardato Progressione dei sintomi rapida lenta Precedenti psichiatrici comuni non frequenti Cancellaro LA, Johnson City Tenn, 08, 2001 – Bianchetti A, Pezzini A, Dementia Update 1, 1998
Diagnosi differenziale tra Pseudodemenza e Demenza Comportamento clinico Lamentele del paziente PSEUDODEMENZA descrive il deficit nel dettaglio poche lamentele e tentativo di nascondere il deficit Atteggiamenti enfatizza la disabilità, dà risalto ai fallimenti mostra soddisfazione dei risultati Sforzo simula sforzo per svolgere compiti anche modesti grandi sforzi per svolgere compiti anche modesti Preoccupazione del deficit preoccupazione del deficit appare non preoccupato Accentuazione notturna della disfunzione non comune Cancellaro LA, Johnson City Tenn, 08, 2001 – Bianchetti A, Pezzini A, Dementia Update 1, 1998
Diagnosi differenziale tra Pseudodemenza e Demenza Caratteristiche cliniche Attenzione e concentrazione PSEUDODEMENZA Spesso ben conservate DEMENZA Deteriorate Risposte alle domande Tipicamente risponde: “non so” Spesso mancanza di risposte Perdita di memoria Confabulazioni Perdita più grave della memoria recente rispetto alla memoria remota Performance nei compiti di uguale difficoltà Marcata variabilità Performance costantemente ridotta Cancellaro LA, Johnson City Tenn, 08, 2001 – Bianchetti A, Pezzini A, Dementia Update 1, 1998
Importanza della diagnosi differenziale tra Pseudodemenza e Demenza • La pseudodemenza, se ben diagnosticata, costituisce un disturbo solitamente reversibile al contrario della patologia demenziale che, soprattutto nelle sue forme più avanzate, non si presta a particolari e risolutivi interventi terapeutici. • Le strategie terapeutiche in grado di trattare la patologia depressiva responsabile del quadro simil -demenziale possono invece peggiorare drammaticamente i sintomi di una demenza primaria. Bianchetti A, Pezzini A, Dementia Update 9, 2001
Demenza vs Pseudodemenza depressiva Demenza • I sintomi cognitivi compaiono per primi • • L’umore è labile • • Paziente cooperativo ma con performance ridotta • • Afasia, aprassia • Anedonia assente • I sintomi cognitivi non rispondono agli antidepressivi • • • Pseudodemenza I sintomi depressivi compaiono per primi L’umore è sempre disforico Paziente non cooperativo Non afasia, aprassia Anedonia sempre I sintomi cognitivi rispondono agli antidepressivi
Percorso diagnostico Valutazione del paziente affetto da demenza • Valutazione stato mentale (test di screening): MMSE • Valutazione depressione, pseudodemenza (scale di valutazione): HAM-D, Cornell Scale for Depression in Dementia, GDS, Check-list per la diagnosi differenziale tra demenza-pseudodemenza • Diagnosi differenziale di demenza vascolare: Hachinski • Valutazione stato funzionale (autonomia nelle attività di base e strumentali): ADL, IADL • Stadiazione della gravità della demenza • Esami di laboratorio e strumentali • Valutazione situazione sociale e dello stress dei caregivers