Metodologia para coleta de escarro espontneo Entre os































































































- Slides: 95
Metodologia para coleta de escarro espontâneo
Entre os 155 pacientes: a) 2 pacientes inelegíveis (uso prévio de drogas anti-tuberculosas) b) 2 pacientes excluidos (volume insuf da 1º amostra de escarro) 151 pacientes foram submetidos às coletas das 3 amostras de escarro 38 pacientes tratados para tuberculose pulmonar
(continuação) Entre os 38 pacientes tratados para tbc pulmonar, o genoma do M. tuberculosis foi amplificado em 36 pacientes (94, 7%). 2 pacientes cujos TRMs foram negativos: Num caso, o dx foi realizado com base na epidemiologia, clínica, radiografia tórax e tomografia computadorizada de tórax, No 2º caso, o dx foi realizado com base na biópsia pleural.
(continuação) Entre os 38 pacientes tratados para tbc pulmonar, o genoma do M. tuberculosis foi amplificado em 36 pacientes (94, 7%): a) baciloscopia e cultura positivas: 29 (76, 3%) b) baciloscopia negativa e cultura positiva: 7 (18, 4%) c) baciloscopia e cultura negativas: 2 (5, 3%)
Entre os 155 pacientes consentidos, quantos não conseguiram coletar escarro espontâneo? A) 2 pac (1, 3%) excluidos devido ao volume insuficiente da 1º amostra. Num pac. , M. tuberculosis foi isolado do cultivo do LBA coletado 1 semana. No outro pac. , a hipótese de tuberculose pulmonar foi descartada, B) 3º amostra não foi coletada num pac (0, 6%) devido à piora clínica,
Como garantir esses resultados?
Seguir o Guia de Orientações para coleta de escarro !!!!!
Pote para coleta: 1) pote descartável de plástico transparente com capacidade de 35 -50 ml, altura mínima de 40 mm, com boca larga e com tampa rosqueável de 50 mm de diâmetro.
2) Antes de identificar e manipular o pote, o profissional de saúde deve lavar as mãos.
3) Identifique o pote com uma etiqueta com o nome do paciente e a data da coleta;
4) Fixe a etiqueta na parte externa do pote, num local q não comprometa a observação da graduação do volume do pote. Ou seja, nunca fixe a etiqueta sobre a escala de volume, nem sobre a tampa do pote;
5) Nunca entregue um pote de coleta sem identificação devido ao risco de troca de amostras;
6) A marca de 10 ml deve ser reforçada c/ caneta de retroprojetor (marcador permanente) p/ facilitar a visualização pelo pac. Atenção: a espuma não deve ser valorizada como volume de escarro expectorado.
7) Orientações:
Antes de iniciar as orientações, os seguintes elementos devem estar disponíveis e de fácil acesso ao pac: a) água; b) pote de escarro e c) papel toalha e/ou guardanapos;
7. 1) Pedir ao pac p/ lavar as mãos e higienizar a cavidade oral c/ água (sem utilizar creme dental/soluções antissépticas p/ gargarejo) antes de entregar o pote a ele; . . .
7. 1) (continuação) Caso o paciente use próteses dentárias, ele deverá retirá-las antes de higienizar a cavidade oral;
7. 2) inspirar profundamente, reter o ar por alguns instantes (segundos) e expirar. Após repetir esses procedimentos 3 -5 vezes, tossir;
7. 3) imediatamente após o ato da tosse produtiva, o pac deverá abrir o pote e expectorar a secreção dentro dele sem encostar os lábios no pote ou tocar a parte interna c/ os dedos, pois há o risco de contaminação da amostra;
7. 4) logo após, fechar novamente o frasco rosqueando firmemente a tampa;
7. 5) repetir esses procedimentos quantas vezes for necessário até que o volume de 10 ml seja atingido. .
7. 5) (continuação) Caso não seja possível atingir 10 ml, estimular o pac p/ repetir os procedimentos até que obtenha o volume desejado (5 - 10 ml). A espuma não deve ser levada em consideração para atingir esse volume.
Muito obrigado! David Jamil Hadad davhadad@ndi. ufes. br
CASO 1: Paracoccidioidomicose em mucosa lingual diagnosticada por biópsia de lesão lingual em Fev/10, sendo iniciado STX-TMP 2 cp 12/12 h. Porém, fez uso irregular. Devido à não melhora clínica da lesão em queixo, o paciente foi internado em 09/out/14 para administração endovenosa de anfotericina B. Durante os últimos 2 -3 meses, relatou febre vespertina não aferida. Remissão da febre desde que internou. Tosse produtiva por 3 dias precedendo a sua internação em 09/out/14. Há mais ou menos 1 ano e meio, surgimento de lesão ulcerada em região inguinal direita próximo à bolsa escrotal. Regressão da lesão após introdução da anfotericina B. Lavrador (trabalhou em plantação de cana, milho, feno e carvoaria), mecânico (trabalhou em oficina de conserto de carro), pescador, servente de pedreiro. Negou contato com casos de tuberculose. Negou tuberculose prévia. Tabagista e etilista. HIV negativo. Ex. fisico: úlcera com várias crostas hemáticas em queixo acometendo o lábio inferior e as comissuras labiais, descorado (1+/4). Marca de BCG em MSD.
ESCARROS ESPONT NEOS: 1º) 20/10/14: 5 m. L – SALIVA – 1: 30 h: BAC NEG – TRM M. tuberculosis detectado - CULT em curso 2º) 21/10/14: 5 m. L – SALIVA – 30 min: BAC NEG – CULT em curso 3º) 22/10/14: 8 m. L – MUCÓIDE – 50 min: BAC NEG – CULT em curso
CASO 2
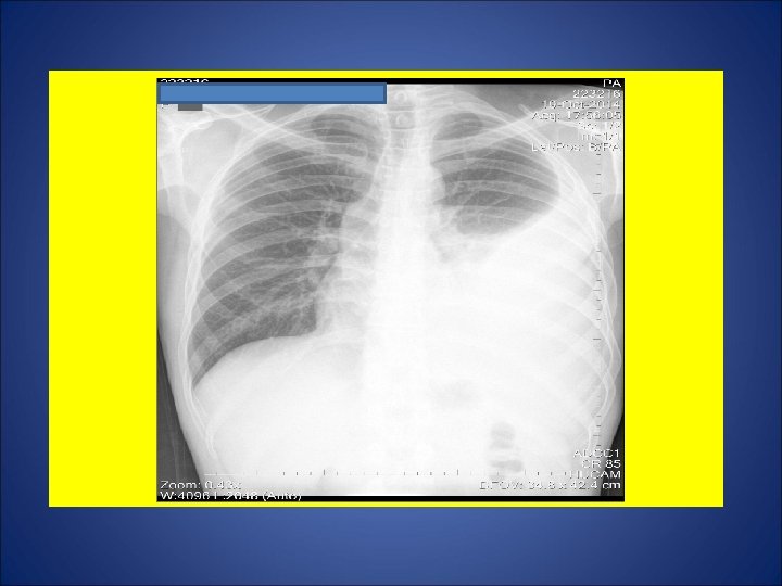
CASO 2, feminina, 37 anos de idade, auxiliar de serviços gerais, natural de Governador Valadares, residente em Cariacica (ES). Por volta de 04 Out 14, procurou P. A. devido a tosse não produtiva, febre, sudorese, calafrios, cefaléia e diarréia há 2 semanas. Foram prescritos algumas medicações (incluido antimicrobiano). Relatou perda de 4 Kg e hiporexia durante as últimas 3 semanas. Remissão da febre, sudorese e calafrios há 1 semana. Em 11 Out, procurou de novo o P. A. devido à ausência de melhora clínica. Foi internada devido ao diagnóstico de derrame pleural à direita, sendo iniciados ceftriaxone 2 g/dia e oxacilina 1 g E. V. 4/4 h. Em 15 out, foi transferida para a enfermaria de Pneumologia do Hospital Universitário para propedêutica de derrame pleural. Negou Tuberculose prévia. Contato intra-domiciliar (mesma cômodo e mesma cama) durante os últimos 14 anos com seu marido em tratamento para tuberculose pulmonar (5º mês). Tabagista e etilista. Dependência química prévia por 1 ano (maconha, cocaína e crack). HIV negativa. Ex. físico: Estado geral regular, P=61 Kg, Alt=1, 68 m, IMC= 21, 6 Kg/m 2. Propedêutica respiratória compatível com derrame pleural.
ESCARROS INDUZIDOS: 1º) 17/10/14: 1 m. L – MUCÓIDE – 55 min: BAC NEG – CULT em curso 2º) 20/10/14: 10 m. L – SALIVA – 40 min: BAC NEG - CULT em curso 3º) 21/10/14: 6 m. L – SALIVA – 46 min: BAC NEG – CULT em curso 4º) 22/10/14: 11 m. L – SALIVA – 50 min: BAC NEG – CULT em curso 5º) 23/10/14: 10 m. L – MUCÓIDE – 1: 10 min: BAC NEG – TRM: M. tuberculosis DETECTADO – CULT EM CURSO
CASO 3
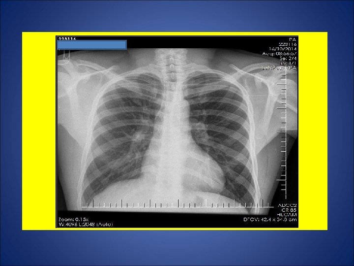
CASO 3, feminina, 25 anos de idade, agente administrativa numa creche. Tosse discreta não produtiva durante os dois últimos meses. Há 1 mês, adinamia. Há 1 semana, febre e sudorese. Durante os últimos 15 dias, perda de 5 Kg. Na madrugada de 09 julho 2014, acordou com tosse seguida de vários episódios de hemoptise. Avaliada por um otorrinolaringologista, sendo prescrito antibiótico 1 cp/dia por 5 dias. Remissão gradual da hemoptise durante os próximos dias. Persistência de tosse discreta. A partir de 21 set 14, surgimento de dor de garganta e disfonia. Negou episódios de escarros hemoptóicos ou hemoptise. A partir de 8 out 14, recidiva da tosse seguida de vários episódios de hemoptise. Foi referenciada para pneumologista, sendo solicitado radiografia de tórax e pesquisa de bacilos álcool ácido resistentes. Negou contato com casos de tuberculose. Negou tuberculose prévia. Negou tabagismo e etilismo. HIV negativa. Ex. fisico: P=73 Kg, Altura= 1, 63 m, IMC= 27, 47, FC = 110 bpm. Tem marca de BCG em MSD.
ESCARROS ESPONT NEOS: 1º) 17/10/14: 10 m. L – MUCOPURULENTO – 10 min: BAC 1+ – CULT em curso 2º) 20/10/14: 10 m. L – SALIVA – 20 min: BAC NEG – TRM M. tuberculosis - CULT em curso 3º) 20/10/14: 10 m. L – SALIVA – 15 min: BAC 2+ – CULT em curso 4º) 21/10/14: 12 m. L – MUCOPURULENTO – 30 min: BAC NEG – CULT em curso
CASO 4
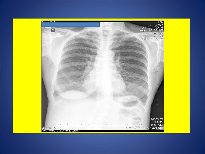
CASO 4, masculino, 30 anos, natural de Vitoria (ES), residente na Serra (ES), pedreiro. Há 2 meses e meio, tosse não produtiva, sudorese noturna, calafrios, adinamia. Surgimento de febre 20 dias e de expectoração purulenta 15 dias após. Episódios de escarros hemoptóicos 10 dias atrás e em 18 Out. Há 1 mês, dor em hemitórax esquerdo agravada com a tosse. Há 20 dias, dispnéia aos médios esforços. Durante os últimos 15 dias, perda de 10 Kg. Negou contato com casos de tuberculose. Negou tuberculose prévia. Negou tabagismo e etilismo. HIV negativo. Ex. fisico: P=73 Kg, Altura= 1, 63 m, IMC= 27, 5 Kg/m 2 (discreto sobrepeso), FC = 110 bpm. Marca de BCG em MSD.
ESCARROS ESPONT NEOS: 1º) 20/10/14: 10 m. L – PURULENTO - 30 min: BAC NEG - TRM: M. tuberculosis NÃO DETECTADO – CULT em curso 2º) 20/10/14: 10 m. L – MUCOPURULENTO – 30 min: BAC NEG – CULT em curso 3º) 21/10/14: 10 m. L – MUCÓIDE – 30 min: BAC NEG – CULT em curso
CASO 5
CASO 5, masculino, 26 anos, natural de Rosário do Catete (SE), residente na Serra (ES), pedreiro. Tosse não produtiva, dispnéia e adinamia há 2 meses e meio. Há 1 mês e meio, dor em parede torácica anterior desencadeada com a tosse, chieira principalmente à noite, expectoração purulenta e vários episódios de escarros hemoptóicos. Negou febre, sudorese e calafrios. Negou perda de peso e hiporexia. Negou contato com casos de tuberculose. Negou tuberculose prévia. Negou tabagismo, etilismo e uso de drogas ilícitas. HIV negativo. Ex. fisico: P=88, 2 Kg, Altura= 1, 79 m, IMC= 27, 53 Kg/m 2 (discreto sobrepeso), FC = 110 bpm, FR=16 irpm, AR= MV normoaudível bilateralmente. Marca de BCG em MSD.
ESCARROS ESPONT NEOS: 1º) 10/10/14: vol. NÃO QUANTIFICADO – ASPECTO NÃO INFORMADO – TEMPO DE COLETA NÃO DISPONÍVEL: BAC 1+ – CULT em curso 2º) 16/10/14: 5, 5 m. L – MUCÓIDE – 15 min: BAC NEG – TRM M. tuberculosis NÃO DETECTADO - CULT em curso 3º) 16/10/14: 3, 5 m. L – MUCOPURULENTO – 10 min: BAC NEG – CULT em curso 4º) 17/10/14: 3, 0 m. L – TURVO – 30 min: BAC NEG – CULT em curso
CASO 6
CASO 6, masculino, 22 anos, natural de Vitoria (ES), residente em Vila Velha (ES), desempregado. Tosse pouco produtiva com expectoração purulenta por 2 meses. Durante esse período, negou escarros hemoptóicos ou hemoptise. Perda de 1 -2 Kg durante esse período. Negou hiporexia. Remissão completa da tosse durante as duas últimas semanas. Calafrios durante 2 semanas em ago 14. Negou sudorese. Dor em parede torácica anterior direita durante o uso de drogas ilícitas. Fez uso diário de maconha durante 8 anos. Parou há 4 meses. Em uso de cocaína há 5 anos. Negou uso de crack. Internação em instituição para recuperação de dependência química por 11 dias em 2010. Confirmou tabagismo e etilismo. Negou tuberculose prévia. Aos 2 anos de idade, o paciente teve contato com sua mãe, quando a mesma foi tratada de tuberculose pulmonar. HIV negativo. Ex. fisico: P=77, 1 Kg, Altura= 1, 77 m, IMC= 24, 6 Kg/m 2 (normal), restante NDN. Marca de BCG em MSD.
ESCARROS ESPONT NEOS: 1º) 22/10/14: 7 m. L – MUCÓIDE – 18 min: BAC NEG – CULT em curso 2º) 22/10/14: 7 m. L – SALIVA – 20 min: BAC NEG - TRM M. tuberculosis NÃO DETECTADO - CULT em curso 3º) 23/10/14: 7 m. L – SALIVA – 40 min: BAC NEG – CULT em curso
CASO 7
CASO 7, masculino, 48 anos, natural de Amaraji (BA), residente em Colatina (ES), inativo (auxílio doença há 2 anos). Em Fev/12, foram diagnosticados infecção pelo HIV e tuberculose. Nessa época, relatava febre há 8 meses. Dois meses após o surgimento da febre, relatou tosse produtiva com expectoração espessa purulenta, adinamia, perda 7 -8 Kg, hiporexia, febre, sudorese e calafrios. Foi internado em Colatina durante 30 dias. Recebeu alta em uso de quimioterapias anti-tuberculosa (RHZE) e antiretroviral. Surgimento de diarréia com várias evacuações líquidas diárias durante essa internação. Negou remissão da febre e tosse durante e posterior à quimioterapia anti-tuberculosa, apesar da melhora significativa de ambos. Confirmou persistência da adinamia, sudorese noturna diária e calafrios. Episódios de diarréia durante o período que se seguiu a alta hospitalar em mar 12. 6 -8 internações no mesmo hospital devido a esses sintomas durante esse período. Há 1 ano, diagnóstico de diabetes mellitus. Fez uso de metformina 850 mg 2 x/dia por 15 dias. Confirmou tabagismo e etilismo. Negou uso de drogas ilícitas. Ex. fisico: P=62, 1 Kg, Altura= 1, 68 m, IMC= 22 Kg/m 2 (normal), restante NDN. NÃO TEM MARCA de BCG em MSD. Estado geral regular, descorado (+/4), FC=110 bpm, FR= 16 irpm. Diagnósticos sindrômicos: Pancitopenia febril. Diagnóstico nosológico: Abscesso hepático. Outros diagnósticos etiológicos sob investigação.
ESCARROS ESPONT NEOS: 1º) 22/10/14: 10 m. L – MUCÓIDE – 30 min: BAC NEG – CULT em curso 2º) 23/10/14: 9 m. L – SALIVA – 20 min: BAC NEG – TRM M. tuberculosis NÃO DETECTADO – CULT em curso 3º) 23/10/14: 10 m. L – TURVO – 1: 40 min: BAC NEG - CULT em curso 4º) 24/10/14: 10 m. L – MUCÓIDE – 39 min: BAC NEG – CULT em curso
CASO 8
ESCARROS ESPONT NEOS: 1º) 21/10/14: 5, 5 m. L – SALIVA – 50 min: BAC NEG – TRM M. tuberculosis NÃO DETECTADO - CULT em curso 2º) 21/10/14: 3, 5 m. L – SALIVA – 1: 00 h: BAC NEG – CULT em curso 3º) 22/10/14: 4 m. L – 2: 00 h: BAC NEG – CULT em curso
CASO 9
CASO 9, feminina, 62 anos, natural de Galiléia (MG), residente em Vila Velha (ES), auxiliar de serviços gerais. Tosse e expectoração purulenta há 5 meses. Negou escarros hemoptóicos ou hemoptise. Negou perda de peso. Hiporexia há 5 meses. Febre por 2 dias há 5 meses atrás. Confirmou tabagismo. Negou etilismo. Ex. fisico: P=54 Kg, Altura= 1, 70 m, IMC= 18, 7 Kg/m 2 (normal/baixo peso), restante NDN. NÃO TEM MARCA de BCG em MSD. Restante NDN.
ESCARROS ESPONT NEOS: 1º) 21/10/14: 10 m. L – MUCÓIDE – 20 min: BAC NEG – TRM M. tuberculosis NÃO DETECTADO - CULT em curso 2º) 21/10/14: 9 m. L – SALIVA – 15 min: BAC NEG – CULT em curso 3º) 22/10/14: 8 m. L – TURVO – 20 min: BAC NEG – CULT em curso
CASO 10
CASO 10, 28 anos, natural de Cariacica (ES), residente na Serra (ES), doméstica. Há 2 meses, tosse produtiva com expectoração purulenta e adinamia. Negou escarros hemoptóicos ou hemoptise. Febre e coriza nasal por 2 dias apenas. Episódios de sudorese noturna há 1 mês. A frequência da tosse diminuiu ao longo das duas últimas semanas. Durante os últimos 3 meses, dispnéia aos médios esforços e dor em base de hemitórax esquerdo parede posterior não ventilatório dependente. Em 8 Out 14, procurou assistência médica, foram solicitados exames de escarros e prescrito antialérgico e ibuprofeno 8/8 h. Seu filho com 8 meses de idade apresenta tosse há 1 semana. Contato intra-domiciliar com seu marido portador de agravo suspeito de tuberculose pleuro-pulmonar. Negou tabagismo e etilismo. HIV negativo. Ex. fisico: P=69, 9 Kg, Altura= 1, 61 m, IMC= 27 Kg/m 2 (sobrepeso), restante NDN. MARCA de BCG em MSD. Restante NDN.
ESCARROS ESPONT NEOS: 1º) 20/10/14: 7 m. L – SALIVA – 1: 40 h: BAC NEG – TRM M. tuberculosis NÃO DETECTADO - CULT em curso 2º) 20/10/14: 7, 5 m. L – SALIVA – 10 min: BAC NEG –CULT em curso 3º) 21/10/14: 10 m. L – SALIVA – 30 min: BAC NEG – CULT em curso
CASO 11
CASO 11, 28 anos, masculino, natural de Vila Velha (ES), residente na Serra (ES), supervisor de compras de um supermercado. Há 6 meses tosse não produtiva. Durante os últimos 3 meses, os acessos de tosse predominam pela manhã após acordar e à noite quando deita. Há 4 meses, expectoração não purulenta (esbranquiçada). Um único episódio de escarros hemoptóicos. Um episódio de febre durante esse período. Negou sudorese noturna e calafrios. Negou dor torácica. Em uso oral diário de warfarin 5 mg alternado com 2, 5 mg as 17 h como profilaxia de trombose venosa profunda. Negou diagnóstico prévio de tuberculose. Negou contato com tuberculose. Alcoolista até 3, 5 anos atrás (desde os 17 anos). Negou tabagismo. Fez uso de cocaína desde os 25 anos até 3, 5 anos atrás. HIV negativo. Ex. fisico: P=78, 5 Kg, Altura= 1, 74 m, IMC= 25, 9 Kg/m 2 (sobrepeso), restante NDN. MARCA de BCG em MSD. Aparelho respiratório: MV hipoaudível em base e parte do 1/3 médio E. Diagnóstico sindrômico: derrame pleural de etiologia a esclarecer.
ESCARROS ESPONT NEOS: 1º) 17/10/14: 5 m. L – SALIVA – 10 min: BAC NEG – TRM M. tuberculosis NÃO DETECTADO - CULT em curso 2º) 17/10/14: 5 m. L – TURVO – 20 min: BAC NEG –CULT em curso 3º) 20/10/14: 9 m. L – SALIVA – 15 min: BAC NEG – CULT em curso
CASO 12
ESCARROS ESPONT NEOS: 1º) 21/10/14: 7 m. L – SALIVA – 1: 15 h - BAC NEG – TRM M. tuberculosis NÃO DETECTADO - CULT em curso 2º) 21/10/14: 4 m. L – SALIVA – 1: 40 h - BAC NEG – CULT em curso 3º) 22/10/14: 5 m. L – SALIVA – 1: 00 h - BAC NEG – CULT em curso
CASO 13
CASO 13, feminina, 78 anos, natural de Muqui (ES), residente em Cariacica (ES), viúva, pensionista. Tosse não produtiva há 2 meses. Negou episódios de escarros hemoptóicos e hemoptise. Em 24 set 14, foi levada ao pronto atendimento (PA) devido ao surgimento nessa data de dor torácica à direita em pontada. Realizada radiografia de tórax e prescrito amoxicilina 8/8 h, a qual fez uso irregular. Uma semana após, foi levada ao mesmo PA, sendo submetida a outra radiografia de tórax e prescrito outra medicação via oral 12/12 h. Fez uso por 7 dias. Retornou a esse PA, sendo iniciado ceftriaxone 2 g/dia por 7 dias. Nessa consulta, foi solicitado pesquisa de BAAR em escarro. Segundo a filha da paciente, há 4 meses a paciente apresenta hiporexia moderada. Durante os últimos 6 meses, perda de 10 Kg. Há mais de um ano, episódios de chieira e dispnéia. Diabetes mellitus há 10 anos. Em uso de metformina 850 mg/dia. Portadora de hipertensão arterial. Negou tabagismo e etilismo. Negou tuberculose prévia. Contato com caso vizinho tratado de tuberculose alguns anos atrás. HIV negativo. Ex. fisico: P=52 Kg, Altura= 1, 62 m, IMC= 19, 8 Kg/m 2 (normal), restante NDN. NÃO TEM MARCA de BCG em MSD.
ESCARROS ESPONT NEOS: 1º) 22/10/14: 7 m. L – SALIVA – 1: 00 h - BAC NEG – TRM M. tuberculosis DETECTADO - CULT em curso 2º) 22/10/14: 7 m. L – SALIVA – 25 min: BAC NEG –CULT em curso 3º) 23/10/14: 5 m. L – TURVO – 20 min: BAC NEG – CULT em curso
CASO 14
ESCARROS ESPONT NEOS: 1º) 23/10/14 – 9 m. L - TURVO – 1: 00 h: BAC NEG – TRM M. tuberculosis DETECTADO - CULT em curso 2º) 23/10/14 – 9 m. L – SALIVA – 20 min: BAC NEG – CULT em curso 3º) 24/10/14 – 10 m. L – TURVO – 40 min: BAC NEG – CULT em curso
Muito obrigado! David Jamil Hadad davhadad@ndi. ufes. br