LES INFECTIONS CUTANEES et dINOCULATION IFSI 22 mars















































- Slides: 47
LES INFECTIONS CUTANEES et d’INOCULATION IFSI 22 mars 2006 Dr Oziol
Anatomie de la peau
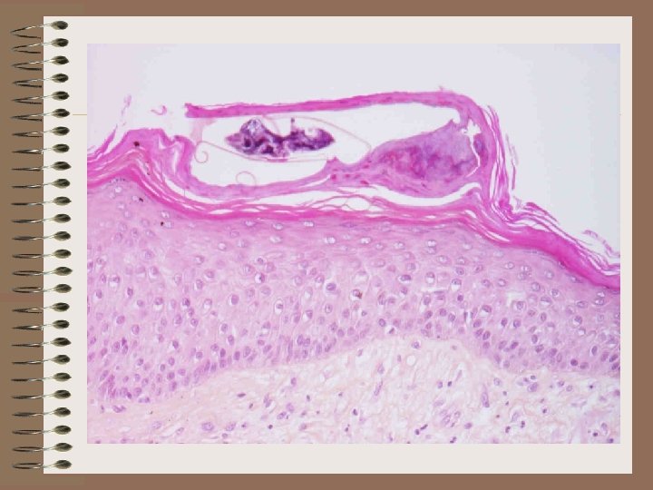
A- Infections superficielles 1 - Gale => Sarcoptes scabieii Sillons intradermiques
A- Infections superficielles 2 - Impétigo (pyodermite aiguë superficielle) => Streptococcus pyogenes - Staphylococcus aureus Enfants + très contagieux Dermite vésiculo-bulleuse, ulcérée, puis suintante et croûteuse Formes cliniques : - impétiginisation - impétigo bulleux de l’enfant (toxine)
• Impétigo => Traitement • • Antisepsie Eviction scolaire, éviction des contacts +++ Pénicilline M (Orbénine*, Bristopen*) Ou Synergistines (Pyostacine*)
A- Infections superficielles 3 - Folliculites et furoncles Inflammation et infection du follicule pilo-sébacé
A- Infections superficielles • Folliculite superficielle: – Macération + irritation – Staphylococcus epidermidis => Hygiène et antisepsie : • Furoncle : folliculite profonde et nécrosante Staphylococcus aureus Favorisé en plus par : diabète, dénutrition, immunodéficit… Complications : abcès, extension, septicémie
A- Infections superficielles • Furoncle => traitement – Antisepsie et hygiène – Evacuation chirurgicale du pus si nécessaire – Antibiothérapie : Péni M ou synergistines
A- Infections superficielles 4 - Intertrigos : dermite inflammatoire des plis Favorisée par : - Contact permanent de 2 surf. Cutanées + Hyperhidrose - Macération, hygiène, obésité, diabète Cocci gram+ : genre strepto ou staph Bacilles gram. Champignons : candida ou dermatophytes
A- Infections superficielles • Intertrigos => traitement – Lavages biquotidiens avec antiseptique – Séchage soigneux ++++ – Pas de pommades => macération – Spray-poudre
A- Infections superficielles 5 - Hydrosadénite : Inflammations des glandes sudoripares 6 - Onyxis et périonyxis : Infections de l’ongle et du bourelet péri-unguéal Candida, dermatophytes, staphylocoque doré
B- Infections dermo-épidermiques 1 - Erysipèle : Dermo-épidermite aiguë localisée Streptococcus pyogenes Favorisé par : diabète, surpoids, stase veinolymphatique, traumatismes Peau infiltrée, rouge, chaude, douloureuse, luisante + ganglions + fièvre Face ou membres
B- Infections dermo-épidermiques • Erysipèle => Complications • • Suppuration Nécrose Phlébite Complications post-streptococciques • Erysipèle => Traitement • Pénicillines, macrolides, synergistines
B- Infections dermo-épidermiques 2 - Lymphangites : Inflammation d’un vaisseau lymphatique consécutive à une infection de voisinage Streptococcus pyogenes Staphylococcus aureus Cordon inflammatoire + adénite
B- Infections dermo-épidermiques • Lymphangite => traitement • Peni M et synergistines
B- Infections dermo-épidermiques 3 - Panaris : Infection grave des tissus d’un doigt par inoculation septique Complication redoutée : phlegmon de la gaine des flechisseurs de la main Traitement : Bains antiseptiques, Peni. M ou synergistines, voire drainage chirurgical
C- Infections dermo-hypodermiques 1 - Plaies infectées et/ou inoculation: Origine variée : Plaie tellurique => risque de TETANOS, gangrène gazeuse Agents physiques => brûlures Troubles trophiques => escarres, ulcères de jambe Morsure d’animal => RAGE, TETANOS, Pasteurellose, Bartonellose… Nosocomiale ou iatrogène => ponction, site opératoire Steptococcus pyogenes Bacilles gram- Staphylococcus aureus Anaérobies
• CLINIQUE : • • • Ecoulement +/- purulent Nécrose Odeur nauséabonde Crépitation sous-cutanée Adénopathies Fièvre • COMPLICATIONS : • Phlegmon, abcès, cellulite, ostéo-arthrite, septicémie
C- Infections dermo-hypodermiques • Plaies infectées => traitement • Parage chirurgical : excision des tissus nécrosés ou morts • Lavage abondant +/- antiseptiques • Prophylaxies anti-tétanique ou anti-rabique • Antibiothérapie en fonction de la situation
C- Infections dermo-hypodermiques 2 - Abces de la peau : Streptococcus pyogenes Staphylococcus aureus Bacilles gram-
C- Infections dermo-hypodermiques • Abces => traitement – Favoriser la collection : pansements alcolisés, antibiotiques – Drainage chirurgical
CONCLUSION La peau est un organe dont les symptômes et les signes sont directement accessibles au soignant. La peau, principale barrière immunologique de l’organisme, est l’objet de tous les soins (préventifs et curatifs) et de toute l’attention du soignant.