Sonographic Imaging of the Female Patient with Pelvic


































































- Slides: 66
Sonographic Imaging of the Female Patient with Pelvic Pain/ Bleeding Sarah A. Stahmer MD Cooper Hospital/University Medical Center
Case Presentation l 24 yo female presents with missed period, cramping, midline abdominal pain and spotting l VS: BP 120/80 HR 110 l Pelvic: – Cervical os is closed with minimal bleeding – No CMT, adenexa symmetric l Urine h. CG is +
Case presentation l l l A bedside ultrasound is performed The US reveals an IUP The patient is discharged to home with threatened abortion precautions LOS = 30 minutes Applies to 60% of pts
Role of Bedside Sonography l Identify an IUP l Establish fetal viability
Secondary Indications l Hemodynamic l Trauma and pregnancy l Localization l Identify instability in a female pt of IUD/foreign body sources of pelvic pain in nonpregnant patients
Imaging: Transabdominal Uses a lower frequency transducer: 3. 5 – 5 m. Hz l Better penetration, larger field of view l It should be the initial imaging window to assess for l – Advanced IUP – Fibroids/masses – Pelvic fluid l The bladder should be full to provide an acoustic window
Endovaginal Uses a higher frequency transducer: 6. 0 -7. 5 m. Hz l Provides optimal imaging of: l – Endometrium – Myometrium – Cul-de-sac – Ovaries A full bladder is not necessary for this approach l Is usually better tolerated by patients l
Scanning Protocol: Transabdominal l Image the patient before obtaining a urine sample l Can fill the bladder via foley and instill 300 cc NS but… l If the bladder is empty, go directly to TV imaging after the pelvic exam
Probe Selection l “Workhorse”probe l 3. 5 to 5. 0 MHz l Multi-frequency probe l Good for most cardiac/abdominal applications
Uterus l An oval organ located superior to the full bladder l The maximum size of the non-gravid uterus is 5 -7 cm x 4 -5 cm l The endometrial stripe is the opposed surfaces of the endometrial cavity
Transabdominal / Transverse view Right Left
Cul-de-sac l Located posterior to the uterus and upper vagina l A small amount of fluid may be seen in mid cycle l A small amount of fluid in the posterior cul-de-sac may be the only sonographic finding in EP
Bladder uterus
Probe Selection l Endovaginal Probe l 5 to 8 m. Hz variable frequency probe l Up to 180 degree angle of view
Endovaginal Examination Best performed immediately following the pelvic exam l An empty bladder is required for an optimal endovaginal (EV) exam l A full bladder: l – Displaces the anatomy beyond the focal length of the transducer – Will create artifacts that will compromise imaging
Before Performing a TV Exam: l Explain that the EV exam is better for seeing ovaries and early pregnancy l Show the patient the probe l Allow her the option of inserting it herself l Inform her that it is usually more comfortable than the TA exam which requires a full bladder
l The transducer probe should be covered with a coupling gel followed by a protective probe cover l Non-medicated/ non-lubricated condoms are recommended as a probe cover l Patients with latex allergies will require an alternative barrier l Air bubbles within the sheath may increase artifacts and compromise imaging
Longitudinal view
Coronal view
The Uterus l Early in the menstrual cycle – endometrium measures 4 -8 mm l Secretory phase – endometrium measures 7 -14 mm l Post-menopausal patient – endometrial stripe usually less than 9 mm
Endometrial Stripe (ES) Measurements l In the post-partum patient, a thickened ES is suggestive of retained products of conception l In the pregnant patient, an ES measurement of < 8 mm in the absence of an IUP is suggestive of EP l Thickening of the endometrial stripe in the postmenopausal patient with vaginal bleeding should raise suspicions for endometrial carcinoma
Ovaries l Lie posterior/lateral to the uterus l Anterior to the internal iliac vessels and medial to the external iliac vessels l Identified by a ring of follicles in the periphery
Ovaries After ovulation a corpus luteal cyst may be present – Observed in approximately 50% of ovulating females – Should not be seen beyond 72 hours into the next cycle l Small amount of fluid in the rectouterine pouch may be seen during ovulation l
Ovarian Cysts l Follicular cyst (2. 5 – 10 cm) – Thin, round, unilocular l Functional corpus luteum cyst – Normal up to 16 weeks GA – Appears as a unilateral, unilocular 5 -11 cm cyst – Appearance can be highly variable – Hemorrhage inside the cyst not uncommon
Assessment of the Pregnant Patient l Identify gestational sac l Demonstrate a myometrial mantle in the transverse view l Identify l Note yolk sac and/or fetal pole if there is fluid in the cul-de-sac
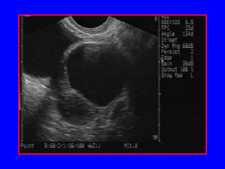
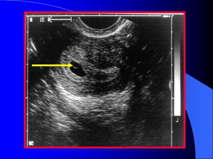
Gestational Sac l Anechoic area within the uterus surrounded by two bright echogenic rings – Decidua vera (the outer ring) – Decidua capsularis (the inner ring) l This is referred to as the double decidual sac sign (DDSS)
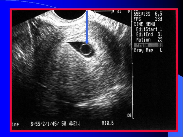
Yolk Sac l First embryonic structure that can be detected sonographically l Visualized approximately 5 -6 weeks after the last menstrual period l Bright, ring like structure within the GS l Should be readily seen when the GS sac is greater than 10 mm (using EVS)
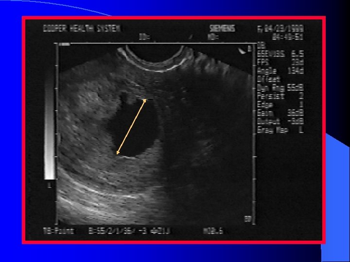
Fetal Pole l Can be first seen on EV when the fetus is approximately 2 mm in size l A thickened area adjacent to the yolk sac l The CRL is the most accurate sonographic measurement that can be obtained during pregnancy
A Fetal Heart Beat l An important prognostic indicator l The rate of spontaneous abortion is extremely low (2 - 4%) after the detection of normal embryonic cardiac activity l The normal fetal heart rate in early pregnancy is 112 -136
Definite IUP A gestational sac with a sonolucenter (greater than 5 mm diameter) l Surrounded by a thick, concentric, echogenic ring l GS contains a fetal pole or yolk sac, or both l
Abnormal IUP l. A GS larger than 10 -13 mm diameter(TV) or 20 mm (TA) without a yolk sac l A GS larger than 18 mm (TV) or 25 mm (TA) without a fetal pole l. A definite fetal pole without cardiac activity after 7 wks GA
Empty gestational sac
Fetal demise
Sonographic Spectrum of EP l Ruptured ectopic pregnancy l Definite ectopic pregnancy l Extrauterine empty gestational sac l Adenexal mass l Pseudogestational sac l Empty uterus
Definite Ectopic Pregnancy A thick, brightly echogenic, ring-like structure located outside the uterus with a gestational sac containing an obvious fetal pole, yolk sac or both.
Ruptured Ectopic Pregnancy Free fluid or blood in the cul-de-sac or the intra-peritoneal gutters (hemoperitoneum) This finding and a positive pregnancy test essentially makes the diagnosis!
clot Clot/fluid
Extrauterine Gestational Sac Extra-uterine mass containing a thick, brightly echogenic ring surrounding an anechoic area l Brightly echogenic appearance may be helpful l Tubal ring l
Adenexal Mass
Pseudogestational Sac l Stimulation of the endometrium l Decidual breakdown results in a central anechoic area l Can be confused with “early IUP” l Does not have double decidual sac sign l Correlation with ß h. CG helpful
Pseudogestational sac Ectopic
Interstitial Ectopic Pregnancy l Implantation near the insertion of the fallopian tubes l Highly vascular area l Suspect when GS is not centrally located l Demonstration of endometrial mantle is critical to the diagnosis
Empty Uterus l Correlation with ßh. CG critical l ßh. CG >discriminatory zone and empty uterus is EP until proven otherwise
Discriminatory HCG Zone l 5 weeks since last normal LMP – ß h. CG value = 1800 m. IU TAS landmarks – 5 to 8 -mm GS l TVS landmarks – 5 to 8 -mm GS – With or w/o yolk sac l
Discriminatory HCG Zone l 6 weeks since last normal LMP – ß h. CG = 7200 TAS landmarks – Yolk sac l TVS landmarks – Yolk sac and embryo – Possibly FHM l
Discriminatory HCG Zone l 7 weeks since last normal LMP – ß h. CG = 21, 000 TAS landmarks – 5 to 10 -mm embryo with FHM l TVS landmarks – 5 to 10 mm embryo with FHM l
Rule - in IUP Protocol Clinically stable females with: (1) Lower abdominal pain (2) Vaginal bleeding (3) Orthostasis (4) Or risk factors for EP Positive urine preg Ultrasound
Rule - in IUP Protocol Ultrasound Definite IUP Definite EP Can DC to home with f/u OB consultation
Rule - in IUP Protocol Ultrasound No IUP but… + Adenexal tenderness or CMT Free fluid in the cul de sac And/or h. CG > discriminatory zone OB Consultation
Rule - in IUP Protocol Ultrasound No IUP Benign exam ßh. CG > discriminatory zone DC to home F/u exam and ßh. CG w/in 48 hrs
Rule-In IUP Protocol l Sixty percent of patients will have IUP – “Rules out” ectopic pregnancy by “ruling in” IUP l What about heterotopic pregnancy? – Increased in patients undergoing ovulation induction consult OB – Risk is 1/30, 000 in non-induced pregancy
Pitfalls l Diagnosing intrauterine fluid collections as “early” IUP l Low h. CG does not mean “low risk” for EP l Failure to determine the exact location of a gestational sac l Cul-de-sac fluid may be the only sonographic finding of extrauterine pregnancy