Imaging of the Renal System Dr Dima Jamjoom













































- Slides: 45
Imaging of the Renal System Dr. Dima Jamjoom Department of Radiology
OUTLINE • • Introduction Imaging modalities Anatomy Cases
INTRODUCTION • What is radiology? It is a medical specialty that employs the use of imaging to both diagnose and treat disease within the human body. • What is the renal system? Kidneys, ureters, urinary bladder and urethra.
IMAGING MODALITIES • • • Conventional radiography Intravenous urogram (IVU) US CT MRI Nuclear medicine
Conventional radiography • First imaging modality. • Cheap. • Useful for radioopaque stones.
Conventional radiography Image features: • Projectional image. • Image contrast determined by tissue density. • Good evaluation radio-opaque stones.
IVU • Conventional x-ray plus intravenous contrast. • Cheap. • Recently replaced by CT and MRI. • Useful for radioopaque stones.
IVU Image features: • Projectional image. • Image contrast determined by tissue density and IV contrast. • Good evaluation of collecting system and radio-opaque stones.
US • Use high frequency sound wave. • Contrast between tissue is determined by sound reflection.
US Image features: • • Operator dependant. Projectional image. Good resolution. Used for stone, hydronephrosis, focal lesion.
CT • Same basic principle of radiography. • More precise. • Costly. • +/- contrast. • Useful for trauma, stone, tumor, infection.
CT Image features: • Cross sectional images. • Image contrast determined by tissue density +/- contrast. • Better evaluation of soft tissue.
MRI • Better evaluation of soft tissue. • Expensive. • Useful for soft tissue pathology: tumor, infection.
MRI Image features: • Cross sectional images. • Image contrast determine by tissue properties. • Excellent for soft tissue evaluation.
Nuclear medicine • Utilizes a gamma camera and radioactive isotopes. • Functional test. • Less expensive. • Useful for: obstruction and split function.
Nuclear medicine Image features: • Projectional image. • Image contrast by tissue uptake and metabolism.
ANATOMY
CASES
• What are the imaging modalities? • What are the findings? • Diagnosis?
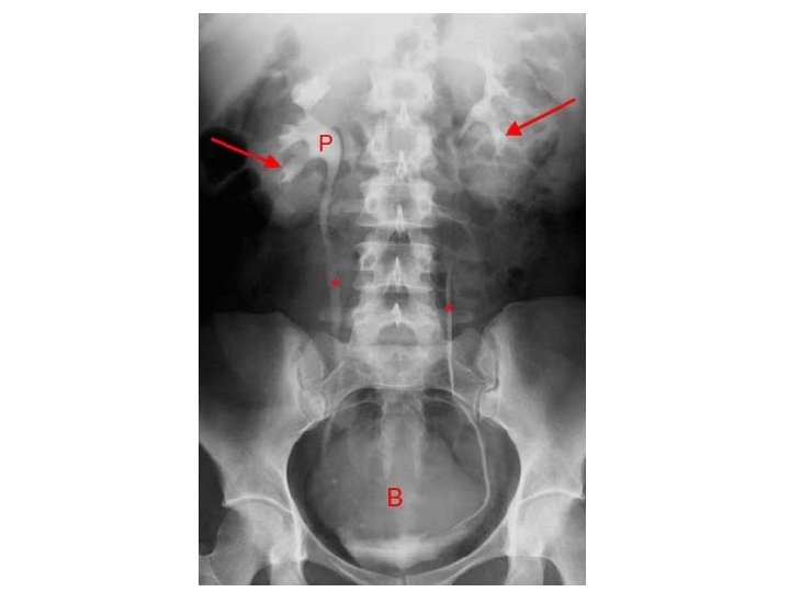
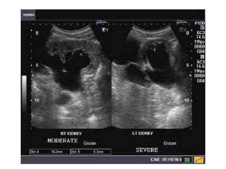
Case (1) • Young male patient presenting with left flank pain and hematuria, no fever and normal WBC count.
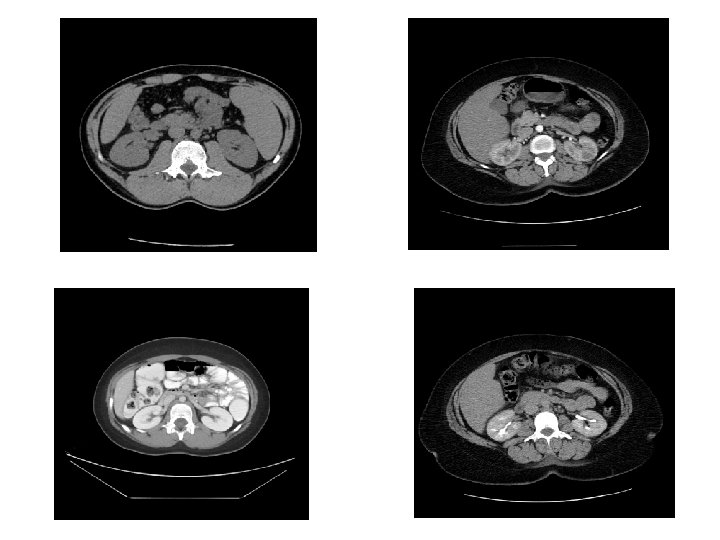
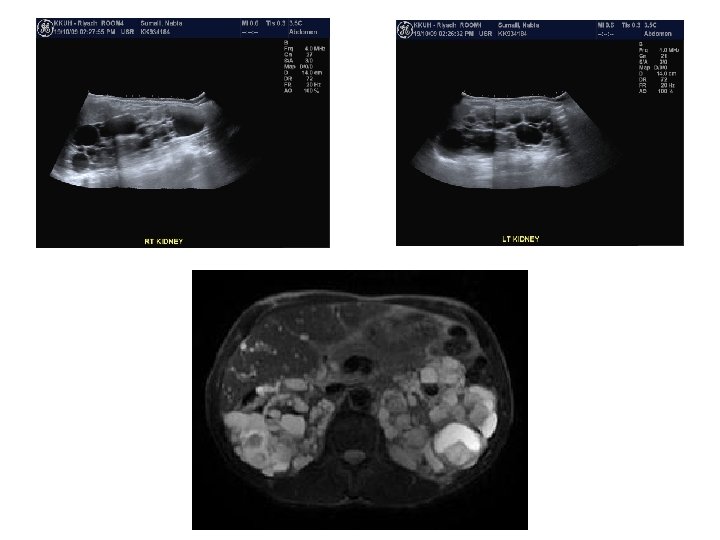
Case (2) • Middle aged woman presenting with flank pain, fever and high WBC.
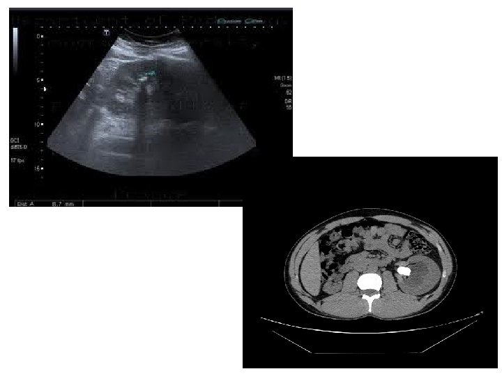
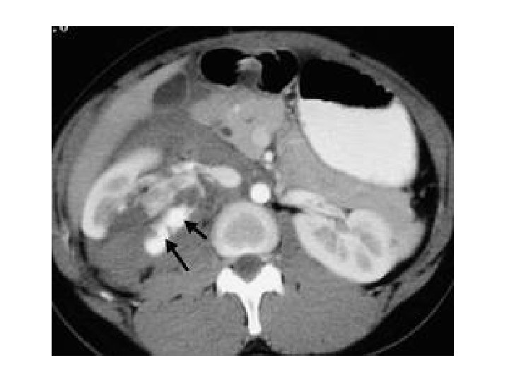
Case (3) • Elderly male patient with recurrent urinary tract infections.
Case (4) • Young female presenting with decreased renal function (high urea and creatinine level).
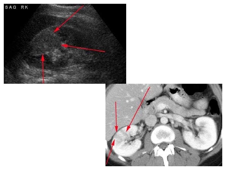
Case (5) • Elderly male patient with painless hematuria and weight loss.
Case (6) • Young male patient involved in a motor vehicle accident with blunt trauma to the abdomen.
Renal trauma grading
References • Stephanie Ryan, “Anatomy for Diagnostic imaging”, 2 nd Edition. • Jamie Weir, Peter Abraham, “Imaging Atlas of Human Anatomy” 3 rd Edition. • Peter Armstrong, “diagnostic imaging”, 5 th Edition.
THANK YOU