Ocular Trauma Sarah Welch Vitreoretinal Surgeon Eye Dept
























































- Slides: 56
Ocular Trauma Sarah Welch Vitreoretinal Surgeon Eye Dept GLCC; Auckland Eye March 2011
Treatment of Penetrating Injury Exclude life threatening injuries n CT to find any IOFB n Repair lids n Repair globe n n n Restore normal anatomy Remove any tissue protruding from the wound +/- lens removal +/- vitrectomy
Fundus Trauma
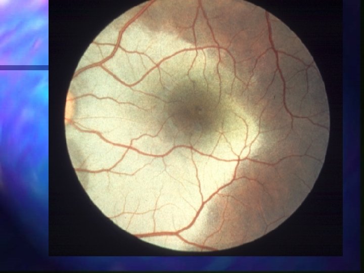
Mechanisms of injury Direct via sclera n Via vitreous n Shearing via globe deformation n n Contrecoup n n Injury occurs at interface with greatest density difference - at lens and photoreceptor I/faces Commotio retinae - damage to photoreceptors n n n May be permanent vision loss RPE may be hyperpigmented or atrophic No intra- or extracellular oedema or FFA leakage
5 types of retinal breaks n Dialysis n Horseshoe n Operculated hole n Macular hole n Necrosis of retina
Retinal dialysis n n n n Superonasal or inferotemporal Smooth, thin and transparent Commonly have cysts, 1/2 have demarcation lines May be associated with avulsion of vitreous base PVR is rare Should have cryo or laser, good reponse to buckling Detachments can present later n n 10% immediately, 30% 1 month, 50% 8 months, 80% 2 years Vitreous tamponades until starts to liquify
Other holes n Treat if detached n Treat macular holes n Retinal necrosis usually associated with choroid injury so tends to scar
Choroidal rupture n Bruch’s membrane often tears n At point of contact or at posterior pole n Clinically looks like subretinal hx May dissect into vitreous n Becomes white crescent-shaped area with RPE atrophy n n Should follow pt for risk of CNV
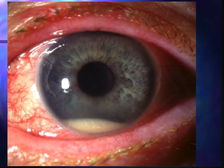
Scleral injury n Scleroptia n n Scleral rupture n n n claw-like fibroglial scar assoc with indirect concussive injury Suspect if APD, poor motility, marked chemosis, vitreous hx Also, deep ac, low IOP (though can be normal) Common sites n Limbus, beneath recti, surgical scars
Is the globe open? n Poor VA n Haemorrhagic chemosis n IOP<5 mm. Hg n Abnormally shallow or deep ac n Pupil peaking n Choroidal detacjment n Vitreous hx
Ruptured globe n 1 st exam may be only opportunity n n Poor VA, APD, wound>10 mm, wound extending behind recti, vitreous hx Goals of management 1. 2. 3. Identify extent - 360˚ peritomy Rule out FB - consider CT Close wound with limited reconstruction • 4. 5. Reposit uvea, cut vitreous Infection prophylaxis - IV Protect the other eye • Injury and sympathetic
Preoperative management n Protect globe n n Prevent infection n Shield Drops + systemic Tetanus May consider leaving small (<2 mm) self-sealing wounds in cooperative adults n n Seal - patch, CL, tissue adhesives Infection - abx
Prep for surgery n can wait until next day unless: n IOFB n n If <24 h, remove ASAP VR consult if n n n post IOFBs Endophthalmitis Ret det Inexperienced surgeon Anaesthesia n n n 10% risk of endophthalmitis Inert mat’ls may be tolerated, esp if present 7 al days GA Succinylcholine causes prolonged spasm of EOM Consent for enucleation?
Foreign bodies n Detection Indirect is best method n CT next best, including plastic and glass n MRI better for organic n US supplements CT and gives info on retina n Plain films if no CT n
Foreign bodies n Immediate removal if endophthalmitis or toxic material n Toxicity related to redox potential Cu (chalcosis) and Fe (siderosis) have low potential and dissolve n Pure>alloy n Other metals, nonmetallic substances tend to be inert n
Wound repair n Principles n n Prep normally with no pressure on globe Evaluate extent n n n Try and restore normal anatomy Watertight closure n n If beyond limbus - peritomy Bury knots Then n remove IOFB treat endophthalmitis manage lens and post segment trauma
Further management n Vision/scar n n n Retina n n Contact lenses Remove selected sutures at 1 month Amblyopia in children PK - await at least 6 months 7 -14 d later Sympathetic ophthalmia n n 0. 19% 5 d to decades later, mostly 2/52 to 1 yr Warn patient about symptoms If severe and NPL, consider removal within 2/52
Post-operative management Control infection, inflammation, IOP n Minimise scarring n n n Admit Shield Abx n Oral ciprofloxacin n Topical Steroid - topical or systemic if severe inflammation Cycloplegics
Siderosis bulbi n Tends to deposit in epithelial tissues Iris - heterochromia, mid-dilated, poorlyreactive pupil n Lens - brown dots and cortical yellowing n Retina -pigmentary degeneration + bv sclerosis n ERG - flat within 100 days n n Used to monitor
Chalcosis <85% pure - chalcosis, >85% - sterile endophthalmitis n Copper deposits in basement membranes n n n DM - Kayser-Fleischer ring Iris - sluggish, greenish hue ac capsule - sunflower cataract Vireous opacification ERG like siderosis n Improves if Cu removed
Post traumatic endophthalmitis 7% of cases n Skin flora most likely cause n n n Consider Bacillus cereus if any soil n n S aureus 8 -25% Prophylactic antibiotics n n Consider intravitreal if heavily contaminated IV for 3 -5 d post-op n n Traumatic infection not covered by EVS Topical also
Sympathetic ophthalmia n n <0. 5% of penetrating injury Bilateral granulomatous uveitis ac inflammation, multiple yellow spots in peripheral fundus Complications n Cataract, glaucoma, optic atrophy, exudative detachments, subretinal fibrosis n 80% within 3 months, 90% within 1 year n Systemic immunosuppression Mostly good prognosis >6/18 However, enucleate only if no visual potential n n
Other trauma n Purtscher’s retinopathy n Abuse - shaken baby syndrome 40% of abused children have ocular findings n Ophthalmologist 1 st to find in 6% n n Commotio n Optic Neuropathy
Chemical Injury
Assessment n History Type of chemical n Alkali/acid n n Examination n Four grades I - IV n Based on corneal clarity n Clear - cloudy = good - poor prognosis n
Grade I • • Clear cornea Limbal ischaemia - nil
Grade II • Cornea hazy but visible iris details • Limbal ischaemia < 1/3
Grade III • No iris details • Limbal ischaemia - 1/3 to 1/2
Grade IV • Opaque cornea • Limbal ischaemia > 1/2
Medical Treatment of Severe Injuries 1. Copious irrigation ( 15 -30 min ) • to restore normal p. H 2. Topical steroids ( first 7 -10 days ) • to reduce inflammation 3. Topical and systemic ascorbic acid • to enhance collagen production 4. Topical citric acid • to inhibit neutrophil activity 5. Topical and systemic tetracycline • to inhibit collagenase and neutrophil activity • Nexagon
Complications Symblepharon
lid deformities
Keratoprosthesis
Thank you for listening!