Traitement chirurgical des fractures Enclouage centromdullaire Plaques vis
























































- Slides: 56
Traitement chirurgical des fractures Enclouage centro-médullaire Plaques vis Fixateurs externes
DEUX GRANDS TYPE PER CUTANE ABORD DU FOYER
MATERIEL BIOCOMPATIBLE • • CLOUS BROCHES PLAQUES ET VIS FIXATEUR EXTERNES
PLAQUES ET VIS
Vis corticales vis spongieuses Vis utilisées pour les ostéosynthèses. Le filet est différent pour l’os cortical et pour l’os spongieux
Ostéosynthèses par vis Visserie métallique Visserie résorbable
Ostéosynthèses par vis simples
Ostéosynthèses par vis simples
PLAQUES
Indication des plaques : les fractures métaphysaires
Plaque et vis pour les fractures épiphysaires
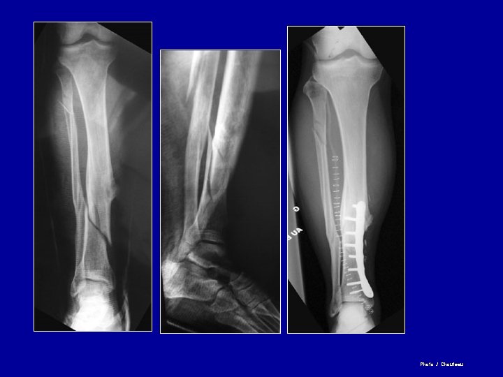
Ostéosynthèse du tibia par plaque vissée Plaque sur la corticale externe ou interne
Indication des plaques : les fractures métaphysaires
Vis-plaque de Judet Fractures supra et inter-condyliennes
Traction d’attente et ostéosynthèse différée
Photo J. Chouteau
Indication des plaques : les fractures métaphysaires
Ostéosyntheses des petits os par mini-plaques
les inconvénients de l'ostéosynthèse par plaque vissée, pour une fracture fermée de la jambe, au tiers moyen 1. 2. 3. 4. 5. 6. 7. Évacuation de l'hématome périfracturaire Dépériostage des fragments Risque toujours possible d'infection Pas d'appui précoce possible (45 j) Qualité souvent mauvaise du cal obtenu Obligation de garder la plaque 18 mois Risque de fracture itérative après l'ablation
Fractures itératives après ablation de matériel d’ostéosynthèse Délai minimum pour l’ablation : 18 mois après la consolidation osseuse Précautions systématiques : Cannes, décharge partielle, appareillage protecteur parfois Pb de reprise des activités, des sports etc. . Les propriétés mécaniques de l’os reviennent après plusieurs mois
Pseudarthroses sur plaques
Plaques prémoulées pour les ostéosynthèses de la paroi postérieure du cotyle
CLOUS
Les clous sont de longs tubes creux adaptés à la forme de chaque os Il y a des clous pour • Le fémur • Le tibia • L’humérus • Le plus souvent possible on réalise l’enclouage sans ouvrir le foyer de fracture : « enclouage à foyer fermé » Clou tibial Clou fémoral
La mise en place d’un clou nécessite un alésage de la cavité médullaire toujours rétrécie au tiers moyen
Installation pour enclouage du fémur Table orthopédique, anesthésie générale, traction par broche dans la tubérosité tibiale, l’autre membre ne doit pas gêner le passage de l’appareil de radioscopie
Clou fémoral verrouillé Photo J. Chouteau
Le verrouillage est indiqué dans les fractures comminutives afin de préserver la longueur et empêcher la rotation Formation d’un gros cal grâce à l’hématome périfracturaire préservé
Enclouage rétrograde dans les fractures distales du fémur Introduction du clou par l’espace intercondylien dans le genou
Enclouage à foyer fermé du tibia • • • Installation pour enclouage du tibia Table orthopédique Traction longitudinale Broche trans-calcanéenne ou étrier de Cunéo Genou fléchi Contrôle radioscopique de la réduction
Installation pour enclouage du tibia • Le canal médullaire est abordé en avant des épines tibiales • Introduction du guide puis des alésoires et enfin du clou
Clou pour tibia Courbure adaptée Clou creux
Enclouage du tibia à foyer fermé Clou simple Clou à ailettes Clou verrouillé par vis
Qualité du cal osseux après enclouage du tibia à foyer fermé Avantages de l’enclouage Préservation de l’hématome Pas de dépériostage Cal volumineux
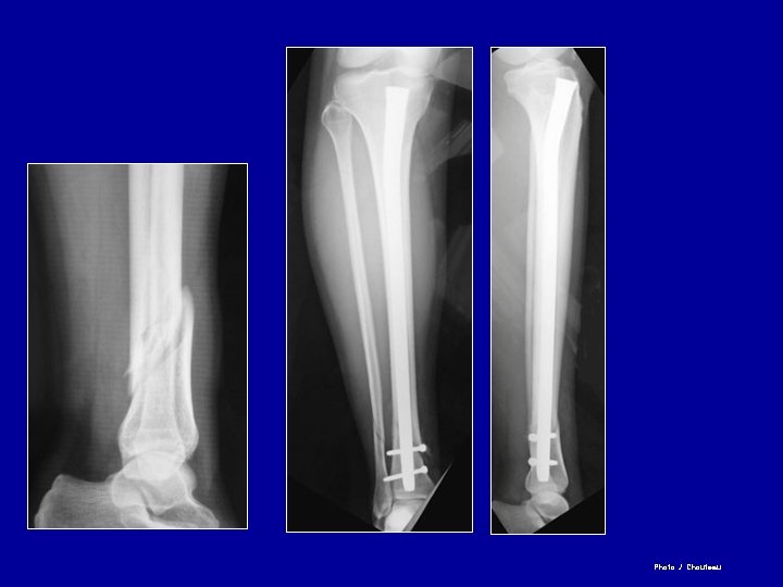
Clou à foyer fermé verrouillé Vis enlevées à 3 mois Guérison 6 mois
Indiquez quels sont les avantages apportés par la solution de l'enclouage à foyer fermé, pour une fracture du fémur au tiers moyen : • • Pas de dépériostage des fragments Pas d'évacuation de l'hématome périfracturaire Risque d’infection réduit Mobilisation précoce des articulations Appui précoce Bonne qualité du cal obtenu Pas de risque de fracture itérative à l'ablation (après 18 mois)
Photo J. Chouteau
Enclouage particulier : l’enclouage élastique Clous élastiques utilisés chez l’adolescent Priorité : préserver les zones fertiles des métaphyses
BROCHES
Les broches métalliques sont aussi un bon moyen d’ostéosynthèse Fractures de l’enfant Fractures apophysaires
Le fixateur externe indispensable lors de dégâts des parties molles
Photo J. Chouteau
Le fixateur facilite le traitement des lésions cutanées
Fixateur d’Hoffman Photo J. Chouteau
Cas particulier des fractures métaphysaires ouvertes Ostéosynthèse a minima de l’épiphyse et de la métaphyse et mise en place d’un fixateur à distance
PREPARATION CUTANEE AVANT UNE INTERVENTION EN CHIRURGIE ORTOPEDIQUE
PEAU • FLORE RESIDENTE • FLORE TRANSITAIRE
PRODUIT ANTISEPTIQUE • DIMINUE LA FLORE RESIDENTE • SUPPRIME LA FLORE TRANSITAIRE • BACTERICIDE • REMANENCE
PRODUIT ANTISEPTIQUE • BETADINE • CHLOREXIDINE • ALCOOL
PHASE DE PREPARATION CUTANEE • DETERSION • SECHAGE • ANTISEPTIQUE
DETERSION • Savon • Action mécanique : sur la flore , les matières organiques (squames , protéines , sang) • Permet l’antisepsie
SECHAGE • Permet une meilleure action de l’antiseptique (évite sa dilution)
ANTISEPSIE • Produit stérile et bactéricide sur peau propre • L’action n’est pas immédiate • L’action dure un certain temps (rémance)
PREPARATION DE L’OPERE