Traitement chirurgical des fractures Enclouage centromdullaire Plaques vis
















































































































































- Slides: 144
Traitement chirurgical des fractures Enclouage centro-médullaire Plaques vis Fixateurs externes
Les clous sont de longs tubes creux adaptés à la forme de chaque os Il y a des clous pour • Le fémur • Le tibia • L’humérus • Le plus souvent possible on réalise l’enclouage sans ouvrir le foyer de fracture : « enclouage à foyer fermé » Clou tibial Clou fémoral
La mise en place d’un clou nécessite un alésage de la cavité médullaire toujours rétrécie au tiers moyen
Installation pour enclouage du fémur Table orthopédique, anesthésie générale, traction par broche dans la tubérosité tibiale, l’autre membre ne doit pas gêner le passage de l’appareil de radioscopie
Alésage Introduction du clou
L’enclouage des fractures diaphysaires nécessite un alésage du canal médullaire • Introduction d’une tige guide dans les 2 fragments • Introduction des alésoires de calibres croissants • Introduction du clou • Il est possible de verrouiller le clou dans l’os par des vis transversales
Clous pour le fémur
Clou verrouillé Les clous ont des trous aux 2 extrémités pour la mise en place de vis transversales ou obliques destinées à stabiliser les fragments
Clou fémoral verrouillé Photo J. Chouteau
Photo J. Chouteau
Photo J. Chouteau
Lorsque les 2 extrémités sont verrouillées, le montage est dit « statique » Lorsqu’il n’y a q’une vis, le montage est « dynamique » l’appui favorise le contact des fragments
Le verrouillage est indiqué dans les fractures comminutives afin de préserver la longueur et empêcher la rotation
Le verrouillage est indiqué dans les fractures comminutives afin de préserver la longueur et empêcher la rotation
Le verrouillage est indiqué dans les fractures comminutives afin de préserver la longueur et empêcher la rotation Formation d’un gros cal grâce à l’hématome périfracturaire préservé
Photo J. Chouteau
Enclouage rétrograde dans les fractures distales du fémur Introduction du clou par l’espace intercondylien dans le genou
Enclouage rétrograde dans les fractures comminutives distales du fémur
Cal vicieux dans les 3 plans
Cal vicieux et arthrose en varus : Double ostéotomie
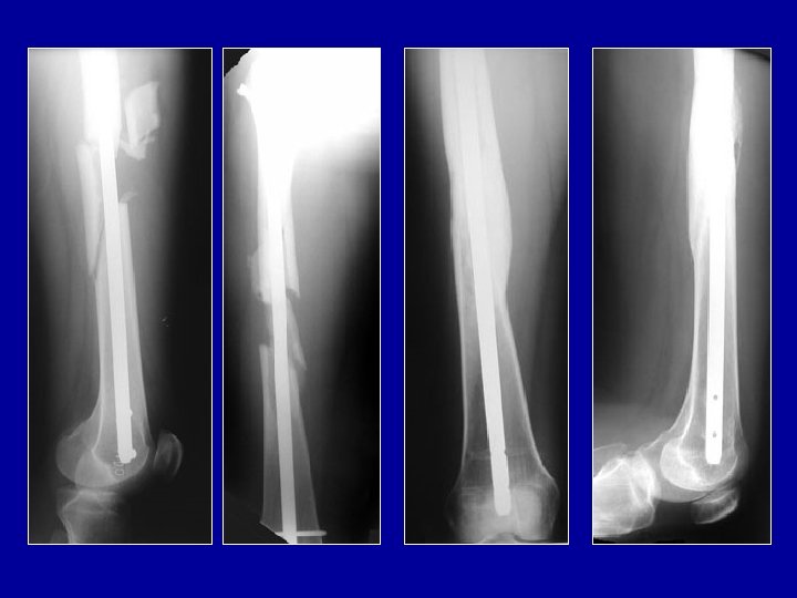
Enclouage à foyer fermé du tibia • • • Installation pour enclouage du tibia Table orthopédique Traction longitudinale Broche trans-calcanéenne ou étrier de Cunéo Genou fléchi Contrôle radioscopique de la réduction
Installation pour enclouage du tibia • Le canal médullaire est abordé en avant des épines tibiales • Introduction du guide puis des alésoires et enfin du clou
Clou pour tibia Courbure adaptée Clou creux
L'enclouage centro-médullaire à foyer fermé des diaphyses permet de réduire tous les déplacements sauf un, lequel ? Comment pallier cet inconvénient ? - Un clou centro-médullaire ne bloque pas toujours la rotation (sauf quand les deux fragments ont pu être alésés sur une longueur suffisante) - La solution est de verrouiller le clou avec l’os par des vis transversales
Enclouage du tibia à foyer fermé Clou simple Clou à ailettes Clou verrouillé par vis
Indiquez quels sont les avantages apportés par la solution de l'enclouage à foyer fermé, pour une fracture du fémur au tiers moyen : • • Pas de dépériostage des fragments Pas d'évacuation de l'hématome périfracturaire Risque d’infection réduit Mobilisation précoce des articulations Appui précoce Bonne qualité du cal obtenu Pas de risque de fracture itérative à l'ablation (après 18 mois)
Qualité du cal osseux après enclouage du tibia à foyer fermé Avantages de l’enclouage Préservation de l’hématome Pas de dépériostage Cal volumineux
Clou de tibia Verrouillage proximal Verrouillage distal Photo J. Chouteau
Clou à foyer fermé verrouillé Vis enlevées à 3 mois Guérison 6 mois
Photo J. Chouteau
Photo J. Chouteau
Clou pour humérus Point d’entrée • par en haut par le trochiter ou • par en bas par la fossette olécranienne • Verrouillage possible
Correction d’un cal vicieux du fémur
Les retards de consolidation et les pseudarthroses sont rares après enclouage à foyer fermé • Dans ces conditions le clou peut casser • Une greffe s’impose avant que cela ne se produise
Enclouage particulier : l’enclouage élastique Clous élastiques utilisés chez l’adolescent Priorité : préserver les zones fertiles des métaphyses
Principes du vissage de l’AO Manuel AO
Vissage d’un fragment intermédiaire et neutralisation par une plaque complémentaire Plaques chantournées pour extr. Inf. du tibia
Vis corticales vis spongieuses Vis utilisées pour les ostéosynthèses. Le filet est différent pour l’os cortical et pour l’os spongieux
La compression des fragments est utilisée chaque fois que possible. Principe développé par « l’AO » (Suisse) Compression imprimée lors du vissage, grâce à un davier Plaques auto compressives, grâce au vissage dans des trous excentrés Manuel AO
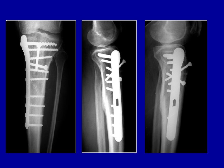
Ostéosynthèse du tibia par plaque vissée Plaque sur la corticale externe ou interne
Vis-plaque de Judet pour fracture du tiers distal du fémur
Vis-plaque de Judet Fractures supra et inter-condyliennes
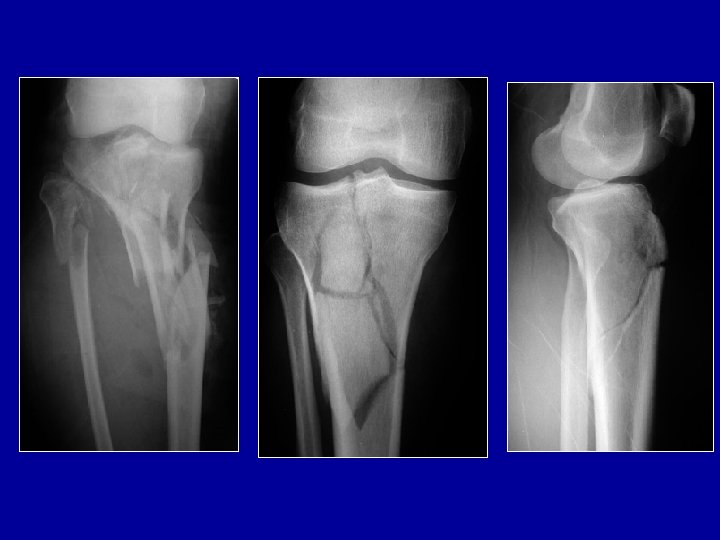
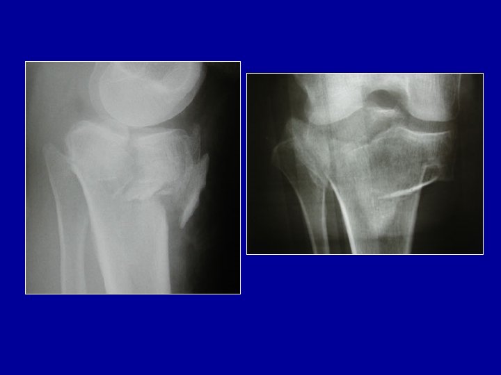
Indication des plaques : les fractures métaphysaires
Indication des plaques : les fractures métaphysaires
Traction d’attente et ostéosynthèse différée
Fractures comminutives
Fractures comminutives : pontage par plaques
Fractures comminutives : pontage par plaques
Indication des plaques : les fractures métaphysaires
Indication des plaques : les fractures métaphysaires Manuel AO
Photo J. Chouteau
Indication des plaques : les fractures métaphysaires
Indication des plaques : les fractures métaphysaires
Plaques tiers de tube
Plaque et vis pour les fractures épiphysaires
Ostéosyntheses des petits os par mini-plaques
Plaques prémoulées pour les ostéosynthèses de la paroi postérieure du cotyle
Indiquez quels sont les inconvénients de l'ostéosynthèse par plaque vissée, pour une fracture fermée de la jambe, au tiers moyen 1. 2. 3. 4. 5. 6. 7. Évacuation de l'hématome périfracturaire Dépériostage des fragments Risque toujours possible d'infection Pas d'appui précoce possible (45 j) Qualité souvent mauvaise du cal obtenu Obligation de garder la plaque 18 mois Risque de fracture itérative après l'ablation
Fractures itératives après ablation de matériel d’ostéosynthèse Délai minimum pour l’ablation : 18 mois après la consolidation osseuse Précautions systématiques : Cannes, décharge partielle, appareillage protecteur parfois Pb de reprise des activités, des sports etc. . Les propriétés mécaniques de l’os reviennent après plusieurs mois
Modifications des propriétés mécaniques de l’os par une ostéosynthèse rigide
Intérêt de l’ostéosynthèse avec mise en compression Répartition des contraintes sur les corticales interne et externe Manuel AO
Exemple d’ostéosynthèse mixte : clou verrouillé pour le tibia et plaque pour le péroné
Pseudarthroses sur plaques
Ostéosynthèses par vis Visserie métallique Visserie résorbable
Ostéosynthèses par vis simples
Ostéosynthèses par vis simples
Ostéosynthèses par vis simples Vis creuses guidées sur broches percutanées
Ostéosynthèse du col fémoral Lame-plaque AO Clou-plaques Vis à compression
Ostéosynthèse du col fémoral
Traitement des fractures trochantériennes Clou Gamma
Les broches métalliques sont aussi un bon moyen d’ostéosynthèse Fractures de l’enfant Fractures apophysaires
Fractures articulaires Le procédé du « Hauban » dans les fractures de la rotule
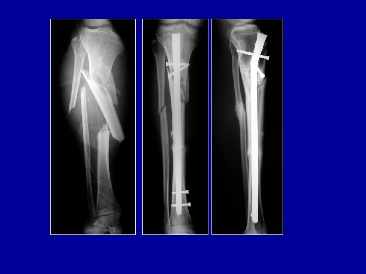
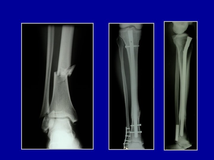
Traitement de plusieurs fractures associées Fracture du tibia : clou centro-médullaire Fracture du péroné : plaque Fracture de la malléole interne : 2 vis Photo J. Chouteau
Exemple des fractures de plus en plus fréquentes survenant au voisinage des prothèses de hanches et de genoux chez les sujets âgés
Le fixateur externe indispensable lors de dégâts des parties molles
Les fixateurs externes Hofmann Fixateur des armées AO Orthofix Ilizarov
Photo J. Chouteau
Fixateurs externes Hofmann Ilizarov Fixateur sans broches
Traitement d’une fracture à double étage par fixateur externe avec montage sur le fragment intermédiaire
Traitement d’une fracture ouverte à double étage par fixateur
Le fixateur facilite le traitement des lésions cutanées
Fixateur d’Hoffman Photo J. Chouteau
Cas particulier des fractures métaphysaires ouvertes Les broches sont difficiles à placer dans une épiphyse
Cas particulier des fractures métaphysaires ouvertes Les broches sont difficiles à placer dans une épiphyse Fixateur de Sheffield
Cas particulier des fractures métaphysaires ouvertes Ostéosynthèse a minima de l’épiphyse et de la métaphyse et mise en place d’un fixateur à distance
Cas particulier des fractures métaphysaires ouvertes Ostéosynthèse a minima de l’épiphyse et mise en place d’un fixateur. Quand le péroné est déplacé, une plaque est possible si la peau est intacte en dehors En cas de perte de substance osseuse, on fera une greffe secondairement
Cas particulier des fractures métaphysaires ouvertes
Fractures articulaires
Fractures articulaires Fracture-enfoncement du plateau tibial externe : relèvement + greffe
Fractures articulaires Fracture-séparation du plateau tibial
Fractures articulaires Fracture métaphysaire et des plateaux tibiaux
Fixateur avec combinaison de grosses broches dans le tibia et de fines broches dans la cheville ou le pied Photo J. Chouteau
Photo J. Chouteau
Exemple de fixateur externe particulier utilisé pour rapprocher les deux hémi-bassins après une disjonction pubienne et sacro-iliaque (voir chapitre fract du bassin) Photo J. Chouteau
Séquelles des fractures traitement des inégalités de longueur des membres
Traitement chirurgical des inégalités des membres Résection-raccourcissement du fémur long et allongement du fémur court avec l’os réséqué puis enclouage des 2 fémurs
Traitement chirurgical des inégalités des membres: Allongement du tibia Allongement progressif par fixateur externe en cadre Allongement par fixateur de Wagner puis greffe et remplacement du fixateur par une plaque
Traitement chirurgical des inégalités des membres Allongement du fémur Allongement par fixateur de Wagner puis greffe et remplacement du fixateur par une plaque
Traitement chirurgical des inégalités des membres Allongement progressif par le fixateur d’ilizarov
Traitement chirurgical des inégalités des membres Allongement progressif par le clou télescopique de Grammont Clou verrouillé aux 2 extrémités avec un dispositif interne au clou permettant un allongement de mm en mm
Traitement chirurgical des inégalités des membres Chez l’enfant, on peut freiner la croissance en bloquant le cartilage de conjugaison par des agrafes Principe du freinage de la croissance par des agrafes pour corriger une déviation Raccourcissement d’un membre long par freinage du cartilage de croissance avec des agrafes des 2 côtés
Traitement chirurgical des inégalités des membres Chez l’enfant, on peut freiner la croissance en détruisant le cartilage de conjugaison par curetage par voie percutanée
Attention il s’agit d’un geste définitif : importance de la planification Tables de croissance résiduelle par segment n Age Osseux pour la chirurgie n
Cas clinique Etudiant 24 ans Accident de Scooter Fracture tibia gauche Perte de substance osseuse Ouverte Stade 3 Pied vascularisé, sensible C Falaise
Vu après 8 jours avec un fixateur externe Les fragments osseux ont été enlevés C Falaise
C Falaise
Parage osseux Changement de FE C Falaise
Lambeau para-scapulaire C Falaise
C Falaise
Greffe osseuse 2 mois plus tard C Falaise
Greffe J+10 Mois Ablation FE 12 mois C Falaise
Cas clinique
Une jeune femme de 25 ans arrive aux urgences après un accident de moto avec un traumatisme de la jambe droite. L’examen montre un état de conscience normal et pas de signes de choc et il n’y a pas d’autres lésions que la jambe. La jambe est douloureuse, on note que le mollet est tendu à la palpation avec une grosse ecchymose il y a une plaie de 5 cm sur la face postérieure du mollet qui est franche et peu profonde. La sensibilité du pied est normale et les pouls sont perçus. La patiente n’a aucun atcd particulier et elle suit une contraception orale. Q 1: Comment prenez vous en charge cette blessée immédiatement? Q 2: Les radios montrent une fracture transversale peu déplacée du tibia et du péroné au tiers moyen. Quel(s) traitement(s) peut-on proposer? Q 3: 24 heures plus tard les douleurs du mollet augmentent. Quel(s) diagnostic(s) évoquez-vous? Q 4 : CAT devant cette complication
Une jeune femme de 25 ans arrive aux urgences après un accident de moto avec un traumatisme de la jambe droite. L’examen montre un état de conscience normal et pas de signes de choc et il n’y a pas d’autres lésions que la jambe. La jambe est douloureuse, on note que le mollet est tendu à la palpation avec une grosse ecchymose il y a une plaie de 5 cm sur la face postérieure du mollet qui est franche et peu profonde. La sensibilité du pied est normale et les pouls sont perçus. La patiente n’a aucun atcd particulier et elle suit une contraception orale. Q 1: Comment prenez vous en charge cette blessée immédiatement? Q 2: Les radios montrent une fracture transversale peu déplacée du tibia et du péroné au tiers moyen. Quel(s) traitement(s) peut-on proposer? Q 3: 24 heures plus tard les douleurs du mollet augmentent. Quel(s) diagnostic(s) évoquez-vous? Q 4 : CAT devant cette complication
Une jeune femme de 25 ans arrive aux urgences après un accident de moto avec un traumatisme de la jambe droite. L’examen montre un état de conscience normal et pas de signes de choc et il n’y a pas d’autres lésions que la jambe. La jambe est douloureuse, on note que le mollet est tendu à la palpation avec une grosse ecchymose il y a une plaie de 5 cm sur la face postérieure du mollet qui est franche et peu profonde. La sensibilité du pied est normale et les pouls sont perçus. La patiente n’a aucun atcd particulier et elle suit une contraception orale. Q 1: Comment prenez vous en charge cette blessée immédiatement? Réponse: Hospitalisation Voie veineuse Antalgiques Vérification VAT Désinfection de la plaie et suture Immobilisation de la jambe dans une gouttière provisoire
Une jeune femme de 25 ans arrive aux urgences 1 heure après un accident de moto avec un traumatisme de la jambe droite. L’examen montre un état de conscience normal et pas de signes de choc et il n’y a pas d’autres lésions que la jambe. La jambe est douloureuse, on note que le mollet est tendu à la palpation avec une grosse ecchymose il y a une plaie de 5 cm sur la face postérieure du mollet qui est franche et peu profonde. La sensibilité du pied est normale et les pouls sont perçus. La patiente n’a aucun atcd particulier et elle suit une contraception orale. Q 2: Les radios montrent une fracture transversale peu déplacée du tibia et du péroné au tiers moyen. Quel(s) traitement(s) peut-on proposer? 1/ On peut envisager un traitement orthopédique avec réduction du petit déplacement et la confection d’un plâtre cruro pédieux ouvert et TT AC 2/ On peut envisager une ostéosynthèse par clou centro-médullaire à foyer fermé en urgence puisque la plaie est minime, superficielle, et qu’elle ne concerne pas le foyer de fracture étant située à distance de l’os sur le mollet. Dans ce cas elle sera nettoyée et suturée dans le même temps. 3/ On peut préférer faire cet enclouage après quelques jours d’attente pour ne pas risquer de surinfecter la fracture
Une jeune femme de 25 ans arrive aux urgences après un accident de moto avec un traumatisme de la jambe droite. L’examen montre un état de conscience normal et pas de signes de choc et il n’y a pas d’autres lésions que la jambe. La jambe est douloureuse, on note que le mollet est tendu à la palpation avec une grosse ecchymose il y a une plaie de 5 cm sur la face postérieure du mollet qui est franche et peu profonde. La sensibilité du pied est normale et les pouls sont perçus. La patiente n’a aucun atcd particulier et elle suit une contraception orale. Q 3: 24 heures plus tard les douleurs du mollet augmentent. Quel(s) diagnostic(s) évoquez-vous? Thrombo phlébite surale dans les 2 cas Se méfier d’un déplacement sous plâtre si l’on a fait le tt orthopédique Se méfier d’un syndrome des loges possible dans les 2 cas (après l’enclouage ou si le plâtre est trop serré)
Une jeune femme de 25 ans arrive aux urgences après un accident de moto avec un traumatisme de la jambe droite. L’examen montre un état de conscience normal et pas de signes de choc et il n’y a pas d’autres lésions que la jambe. La jambe est douloureuse, on note que le mollet est tendu à la palpation avec une grosse ecchymose il y a une plaie de 5 cm sur la face postérieure du mollet qui est franche et peu profonde. La sensibilité du pied est normale et les pouls sont perçus. La patiente n’a aucun atcd particulier et elle suit une contraception orale. Q 4 : CAT devant cette complication Radio pour vérifier un déplacement et reprise de la réduction ou enclouage Prise des pressions intra-tissulaires pour confirmer un syndrome des loges : aponévrotomie large en urgence Traiter la thrombose si elle est confirmée par echodoppler ou phlébographie : Décubitus strict Tt par héparine (HBPM) à doses curatives Surveillance