Diagnostic et traitement chirurgical de la hernie discale
































- Slides: 32
Diagnostic et traitement chirurgical de la hernie discale cervicale Objectifs • faire le diagnostic clinique et paraclinique • connaitre les différentes techniques chirurgicales: discectomie, herniectomie, arthroplastie, arthrodèse instrumentée ou non • connaitre les indications de ces techniques chirurgicales
Analyse d’articles • Discectomie cervicale (Nohra) • La prothèse cervicale (Gay) • Assessment of adjacent segment (Robertson) Résolution de cas cliniques
Cas clinique 1 • Mme B. Chantal, 40 ans • Profession libérale, aucun antécédent cervical • NCB C 7 gauche depuis 2 mois après un accident de la voie publique • Pas d’arrêt de travail • Traitée médicalement et par rhumatologue • Examen: rachis raide et douloureux, réflexe tricipital aboli, amyotrophie tricipitale discrète, troubles sensitifs distaux C 6 et C 7
Cas clinique 1 • Examens complémentaires? • Propositions de prise en charge?
IRM en T 2 coupes sagittales
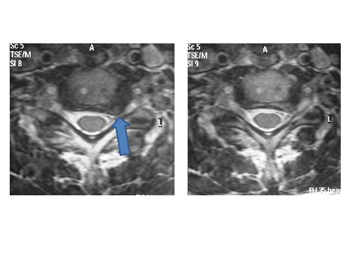
IRM en T 2 coupes axiales
Cas clinique 1 • Examens complémentaires: – EMG résultat: atteinte neurogène C 7 gauche – Analyse de l’IRM: discopathies multiples , déshydratation des disques, déformation rachidienne, conflit disco radiculaire foraminal C 7 gauche • Propositions de prise en charge?
Cas clinique 1 • Propositions de prise en charge: – Intervention chirurgicale: herniectomie interlamaire par voie postérieure visant à lever le conflit sans déstabilisation des discopathies au même étage, sus et sous jacentes • Revue en consultation: – Amélioration nette avec disparition de la NCB, réapparition du réflexe tricipital, disparition des troubles sensitifs
Cas clinique 1 • Au total: – examen clinique et antécédent primordiaux – préserver les fonctions et les articulations – penser à l’avenir en fonction de l’âge (être économe) • Film
Cas clinique 2 • Mr. F Fabrice, 29 ans • Manutentionnaire • NCB C 6 droite depuis janvier 2007 survenue après AVP banal • Douleur impulsive, nocturne • Prises en charge médicale et rhumatologique répétées, hospitalisations, port de minerve, kinésithérapie. • Son médecin traitant vous l’envoie pour avis
Cas clinique 2 • Examens complémentaires • Propositions de prise en charge?
IRM en T 2 coupes sagittales
Cas clinique 2 • Examens complémentaires – EMG confirme l’atteinte neurogène C 6 droite – IRM: discopathie et hernie discale médiane et paramédiane C 5 -C 6 sans modification de courbure cervicale • Propositions de prise en charge?
Cas clinique 2 • Propositions de prise en charge – HD médiane, paramédiane – arthroplastie C 5 -C 6 – indications: sujet jeune, pas de déformation vertébrale
Prothèse Prestige® LP (Medtronic – Sofamor – Danek) Prothèse mobi C (LDR)
Technique opératoire • Abord cervical antérieur (identique à la cure chirurgicale d’une hernie discale cervicale) • Peu invasif
1 er temps : discectomie complète
2ème temps : étape préparatoire à la mise en place de la prothèse
3ème temps : mise en place de la prothèse
Cas clinique • Femme de 36 ans • Travail = manutentionnaire • Symptomatologie: – 2 épisodes de blocage rachidien depuis 1 an: • Le premier a entraîné un arrêt de travail de 3 mois • Le deuxième est le motif de la consultation initiale – Cervicalgie intense – Diminution nette des mouvements cervicaux avec contracture musculaire douloureuse – Irradiation douloureuse dans l’épaule droite – ROT vifs – Pas de trouble de la marche
Clichés radiographiques pré-opératoires
IRM • Hernie discale cervicale médiane C 5 -C 6 venant au contact de la moelle cervicale • Disques sus et sous jacents déshydratés C 5 -C 6
Clichés post-opératoires immédiats montrant la bonne position de la prothèse
Clichés à 1 mois et à 1 an: montrant la bonne mobilité de l’étage C 5 -C 6, évolution clinique favorable avec reprise de l’activité professionnelle 1 mois postopératoire. Clichés dynamiques
Éléments décisionnels • • • Age Profession Antécédents cervicaux, traitements médicaux Bilan neurologique: NCB isolée ou non Bilan complémentaire – – Radios, TDM EMG IRM Résultats HD • • • Consistance: molle ou dure Localisation médiane ou foraminale Déformation rachidienne Myélopathie associée État des disques sus et sous jacents Étage concerné C 7 -D 1?
Au total • Hernie molle isolée foraminale: herniectomie par voie interlamaire • Hernie discale médiane sans déformation rachidienne chez le jeune : arthroplastie • Les autres HD : – discectomie simple si absence de déformation et de discopathies associées – arthrodèse par cage/greffon avec ou sans instrumentation si déformation • HD étage sus ou sous jacent à une arthrodèse: arthroplastie
Résultats • 75 à 90% de bons résultats • Complications : 0 à 13%; infection et hématome; dépend de la voie d’abord • Voie antéro latérale: – Dysphagie transitoire: 11 à 21% – Nerf récurrent et laryngé supérieur: 1à 2% – Déplacement du greffon et prise de greffon: 5% – Autres 1%: blessures de l’œsophage, poumon, trachée, vasculaire, syndrome de CBHorner, neurologique, récidive ou instabilité
Résultats • Prothèse discale: – Prix – Calcification du LVCP • Voie postérieure: – Blessures neurologiques, brêche durale – Instabilité – Décompression incomplète (HD dure) – Erreur de niveau