Principe de traitement des fractures Gregory Moineau Nicolas

















































































































- Slides: 113
Principe de traitement des fractures Gregory Moineau -Nicolas Brassart
Rappel Epiphyse l Métaphyse l Diaphyse l
Rappel ü La diaphyse : Tissu compact épais (cortical ou cortex) Canal médullaire (moelle jaune) Membrane (le périoste) riche en vaisseaux nourriciers (ossification en épaisseur)
ü Les épiphyses : Aux extrémités Tissu spongieux (riches en moelle hématopoïétique) Recouvertes de cartilage articulaire ü Les métaphyses : Jonction entre les 2 (cartilage de conjugaison chez enfant) Ossification en longueur
Definition ü Fracture : Rupture de la continuité acquise au niveau d’un os le plus souvent d’origine traumatique mais aussi dans certains cas d’apparition spontané (fracture pathologique).
Definition l Fractures et leurs contextes: l l l Fractures sur os « normale » , contexte post-traumatique évident Fractures sur ostéoporose , traumatisme minime ou absent Fractures de fatigue , contexte de micro-traumatismes répétés Fractures sur os pathologique , cancer ou pathologie hémato connus? , contexte traumatique proche de l’ostéoporose Fractures de l’enfant , dont la fracture-décollement épiphysaire
Bilan l Radiographie: – Face / Profil – 3/4 (rachis, genou … ect) – Articulation sus et sous jacente l Scanner l IRM
Traitement des fractures Principe Fracture non déplacée Fracture déplacée Réduction Contention
Réduction l Chirurgical: – Si un traitement chirurgical est choisit l Manœuvre externe
Pouteau : réduction
Réduction lente sous A-G “doigt japonais”
Traitement des fractures lombaires Réduction en lordose sur table ou sur cadre spécial Puis confection d ’un corset
Méthode de BÖHLER
Immobilisation Plâtre Bien garnir l’intérieur d’un plâtre Fendre systématiquement les plâtres circulaires pour permettre l’expansion et l’élargissement en cas de besoin
Matériel utilisé Jersey tubulaire Velbande (Coton de protection) Plâtre ou résine
Confection d’une attelle plâtrée simple Confection d’un plâtre circulaire
Fracture non déplacée : traitement orthopédique Minerve plâtrée
Plâtre de GRAFFIN • Fractures peu déplacées • Moulage soigneux du talon • Talon sans appui • Mise en charge précoce
ü Surveillance : • Surélever le membre plâtré (Retour veineux, douleur) Surélévation du membre Pas de plâtre trop serré !!
ü Surveillance : • Compression vasculo-nerveuse ( mobilité, sensibilité, chaleur, fourmillements, pouls capillaire) • Douleur • Oedème • Coloration des extrémités • Température • Escarres (odeur) • Déplacement (radio de contrôle) • Odeur • Vérification de la prise Anticoagulant (MI)
ü Complications : • Syndrome des loges / syndrome de Volkmann (MS) • Phlébite (MI) • Oedème • Escarres • Infection • Phlyctènes
Contention Orthopédique Traction au lit sur attelle Traitement d’attente (contre-indication temporaire à l’opération) Rarement traitement complet Traction collée (chez le jeune enfant)
Traction continue possible pour les fractures très déplacées :
Etriers de traction Etrier de Crutchfield
Traction “Halo”
Contention Orthopédique par Bandage Dujarrier ü Principe :
Traitement orthopédique Fracture déplacées l Bandage en huit réglable l Consolidation en 3 à 5 sem. l Fréquence des cals vicieux
Autres moyens de contention
Traitement orthopédique Bandage soulevant le bras et abaissant la clavicule Plâtre thraco-brachial en abduction
Traitement orthopédique Risque: Raideur +++ Importance de l’immobilisation en position de fonction Exemple: - cheville à 90°, - genou avec 20 à 30° de flexion
Traitement fonctionnel Pas d’immobilisation strict Mobilisation précoce Ttt antalgique Quelques indications: -Fractures du cadre obturateur - Fractures du calcanéum
Contention chirurgical l 3 grandes familles – Ostéosynthèse par vis / plaques / broches – Ostéosynthèse par clou – Ostéosynthèse par fixateur externe (FE)
Contention Chirurgicale (Ostéosynthèse) A foyer ouvert ü Principe : • • • Abord direct du foyer de fracture Au contact de la fracture Bonne vision des fragments fracturaires
ü Avantages : • • • Réduction anatomique Ostéosynthèse stable Possibilité de réaliser une compression
ü Inconvénients : l l l Évacuation de l'hématome périfracturaire Dépériostage des fragments Pas d'appui précoce possible (45 j) Qualité souvent mauvaise du cal obtenu Risque de fracture itérative après l'ablation
Principes du vissage de l’AO Ostéosynthèse par vis Manuel AO
Vissage d’un fragment intermédiaire et neutralisation par une plaque complémentaire Plaques chantournées pour extr. Inf. du tibia
La compression des fragments est utilisée chaque fois que possible. Principe développé par « l’AO » (Suisse) Compression imprimée lors du vissage, grâce à un davier Plaques auto compressives, grâce au vissage dans des trous excentrés Manuel AO
Vis corticales vis spongieuses Vis utilisées pour les ostéosynthèses. Le filet est différent pour l’os cortical et pour l’os spongieux
Classiquement l Peut être utiliser dans tous les types de fractures l Principalement dans les fractures Ephyphysaire et/ou Métaphysaire (nécessité d’une réduction Anatomique)
Ostéosynthèse du tibia par plaque vissée Plaque sur la corticale externe ou interne
Vis-plaque de Judet pour fracture du tiers distal du fémur
Vis-plaque de Judet Fractures supra et inter-condyliennes
Indication des plaques : les fractures métaphysaires
Traction d’attente et ostéosynthèse différée
Fractures comminutives
Fractures comminutives : pontage par plaques
Fractures comminutives : pontage par plaques
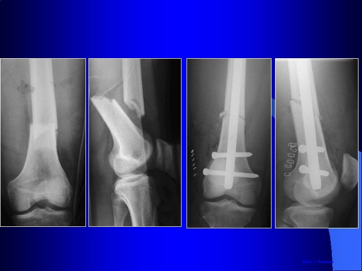
Synthèse des fractures des malléoles
Traitement des fractures malléolaires 54 ans Bon résultat à 61
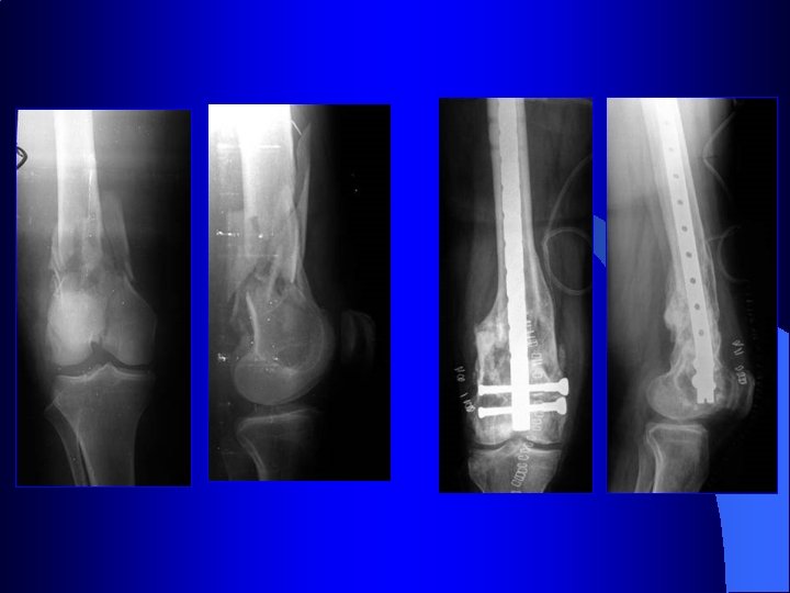
Indication des plaques : les fractures métaphysaires
Indication des plaques : les fractures métaphysaires Manuel AO
Photo J. Chouteau
Indication des plaques : les fractures métaphysaires
Indication des plaques : les fractures métaphysaires
Fracture comminutive : plaque + broches
Contention Chirurgicale (Ostéosynthèse) A foyer fermé • Abord à distance du foyer de fracture • Pas de contact avec la fracture • Réduction de la fracture par manœuvre • Introduction d’une tige externe sous contrôle radio guide dans les 2 fragments • Introduction des alésoires de calibres croissants • Introduction du clou • Il est possible de verrouiller le clou dans l’os par des vis transversales
Clou pour tibia Courbure adaptée Clou creux
ü Avantages : l l l Pas de déperiostage des fragments Pas d'évacuation de l'hématome périfracturaire Mobilisation précoce des articulations Appui précoce Bonne qualité du cal obtenu Moins de risque de fracture itérative à l'ablation (après 18 mois)
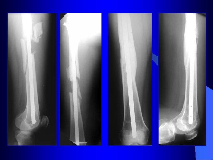
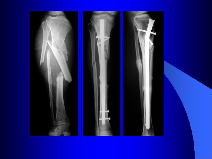
Cal après enclouage du tibia à foyer fermé Avantages de l’enclouage Préservation de l’hématome Pas de dépériostage Cal volumineux
ü Inconvénients : l l l Réduction non anatomique Pas de compression possible Trouble de rotation
Classiquement l Principalement dans les fractures Diaphysaire
Les clous sont de longs tubes creux adaptés à la forme de chaque os Il y a des clous pour l Le fémur l Le tibia l L’humérus Le plus souvent possible on réalise l’enclouage sans ouvrir le foyer de fracture : « enclouage à foyer fermé » l Clou tibial Clou fémoral
La mise en place d’un clou nécessite un alésage de la cavité médullaire toujours rétrécie au tiers moyen
Installation pour enclouage du fémur Table orthopédique, anesthésie générale, traction par broche dans la tubérosité tibiale, l’autre membre ne doit pas gêner le passage de l’appareil de radioscopie
Alésage Introduction du clou
L’enclouage des fractures diaphysaires nécessite un alésage du canal médullaire • Introduction d’une tige guide dans les 2 fragments • Introduction des alésoires de calibres croissants • Introduction du clou • Il est possible de verrouiller le clou dans l’os par des vis transversales
Clou verrouillé Les clous ont des trous aux 2 extrémités pour la mise en place de vis transversales ou obliques destinées à stabiliser les fragments
Clou fémoral verrouillé Photo J. Chouteau
Photo J. Chouteau
Photo J. Chouteau
Lorsque les 2 extrémités sont verrouillées, le montage est dit « statique » Lorsqu’il n’y a q’une vis, le montage est « dynamique » l’appui favorise le contact des fragments
Le verrouillage est indiqué dans les fractures comminutives afin de préserver la longueur et empêcher la rotation
Le verrouillage est indiqué dans les fractures comminutives afin de préserver la longueur et empêcher la rotation
Le verrouillage est indiqué dans les fractures comminutives afin de préserver la longueur et empêcher la rotation Formation d’un gros cal grâce à l’hématome périfracturaire préservé
Photo J. Chouteau
Enclouage rétrograde dans les fractures distales du fémur Introduction du clou par l’espace intercondylien dans le genou
Enclouage rétrograde dans les fractures comminutives distales du fémur
Enclouage à foyer fermé du tibia l l l Installation pour enclouage du tibia Table orthopédique Traction longitudinale Broche trans-calcanéenne ou étrier de Cunéo Genou fléchi Contrôle radioscopique de la réduction
Installation pour enclouage du tibia • Le canal médullaire est abordé en avant des épines tibiales • Introduction du guide puis des alésoires et enfin du clou
Clou pour tibia Courbure adaptée Clou creux
Enclouage du tibia à foyer fermé Clou simple Clou à ailettes Clou verrouillé par vis
Qualité du cal osseux après enclouage du tibia à foyer fermé Avantages de l’enclouage Préservation de l’hématome Pas de dépériostage Cal volumineux
Clou de tibia Verrouillage proximal Verrouillage distal Photo J. Chouteau
Clou à foyer fermé verrouillé Vis enlevées à 3 mois Guérison 6 mois
Photo J. Chouteau
Photo J. Chouteau
Clou pour humérus Point d’entrée l par en haut par le trochiter ou par en bas par la fossette olécranienne l Verrouillage possible l
Installation pour l’ostéosynthèse de l’épaule ou pour l’enclouage classique de l’humérus Photo J. Chouteau
L’incision sur le trochiter Introduction du clou après alésage Verrouillage Photo J. Chouteau
Clou verrouillé (Seidel) pour fracture diaphysaire spiroïde (itérative) Photo J. Chouteau
Enclouage particulier : l’enclouage élastique Clous élastiques utilisés chez l’adolescent Priorité : préserver les zones fertiles des métaphyses
Enclouage élastique (maitezeau) Clou central 2 clous latéraux
Le fixateur externe Ouverture cutanée Le fixateur facilite le traitement des lésions cutanées
Le fixateur externe indispensable lors de dégâts des parties molles
Les fixateurs externes Hofmann Fixateur des armées AO Orthofix Ilizarov
Photo J. Chouteau
Fixateurs externes Hofmann Ilizarov Fixateur sans broches
Le fixateur facilite le traitement des lésions cutanées
Fixateur d’Hoffman Photo J. Chouteau
Cas particulier des fractures métaphysaires ouvertes Les fiches sont difficiles à placer dans une épiphyse
Cas particulier des fractures métaphysaires ouvertes Les fiches sont difficiles à placer dans une épiphyse
Cas particulier des fractures métaphysaires ouvertes Ostéosynthèse a minima de l’épiphyse et de la métaphyse et mise en place d’un fixateur à distance
FRACTURE OUVERTE = PARAGE CHIRURGICAL
FRACTURE OUVERTE = PARAGE CHIRURGICAL Lavage chirurgical Antibiothérapie VAT
Surveillance Cicatrice, pansement l Hématome ou saignement l Mobilité extrémité l Pouls périphérique l Position (jambe surélevée, arceau, mains et doigts surélevés) l Signes locaux d’infection (rougeur, écoulement, désunion) l Signes généraux d’infection (Température, NFS, CRP) l TVP l
Evolution Consolidation 2 - 4 mois (pour une jambe) l Retard de consolidation l Pseudarthroses l – Délais > 6 mois – Mobilité – RX : persistance de la solution de continuité – Causes : Ouverture, Ab d’appui, interposition musculaire l Consolidations vicieuses