KRUP Prof Dr Mehmet KSE Erciyes niversitesi Tp














































- Slides: 46
KRUP Prof. Dr. Mehmet KÖSE Erciyes Üniversitesi Tıp Fakültesi Çocuk Göğüs Hastalıkları Ünitesi
Vokal kordlar
Krup ü Akut larenjit ü Laringo-trakeit ü Laringotrakeobronşit ortak adı
Tanım ü Larinx, trakea ve bronşların viral enfeksiyonu ü Havlar tarzı öksürük ü Ses kısıklığı ü Stridor ± dispne
Tanım ü Rekürren krup: yılda 2 ve üzeri krup atağı geçirme
Epidemiyoloji ü < 6 yaş ü 18 -24 ay en sık ü E/K: 1. 4 ü Sonbahar ve ilkbahar
Etyoloji ü Parainfluenza tip I, III ü Enterovirüs ü İnfluenza A, B ü RSV ü Rhinovirüs ü Adenovirüs ü Human bocavirüs ü Measles
Patofizyoloji Makroskobik olarak; ü Trakea lateral duvarında kızarıklık ve ödem ü Solunum yolunda daralma ü Trakeal lümen fibrinöz exuda ile tıkanır ve pseudomembranlar oluşur ü Vokal kordlar şiş ve hareketleri azalmıştır
Klinik ü ÜSYE’yi takiben 1 -3 gün çerisinde ortaya çıkan akut ü Stridor ü Solunum sıkıntısı ü Ses kısıklığı ü Havlar tarzı öksürük ü Retraksiyonlarla karekterize klinik tablodur.
Fizik muayene ü İstirahatte stridor ü Retraksiyonlar ü Yardımcı solunum kasları ü Oksijen ihtiyacı ü Yorgunluk ü Stridor, ses, ağlama, öksürük, wheezing
Fizik muayene ü İnspiratuvar stridor supraglottik ü Bifazik stridor glottik, subglottik ü Ekspiratuvar stridor trakeal
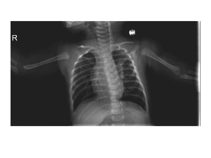
Radyoloji ü Krup klinik tanıdır ü PAAC ü Boyun grafileri
Steeple sign
Ayırıcı Tanı ü Epiglottit ü Bakteriyel trakeit ü Difteri ü Retrofarigeal abse ü Peritonsiller abse ü Yabancı cisim asp ü Anaflaksi
Ayırıcı Tanı Epiglottit ü Boğaz ağrısı ü Yüksek ateş ü Drooling ü Oturur ve öne eğilir pozisyon
Ayırıcı Tanı Epiglottit ü Yan boyun grafisi ü Epiglot ve aryepiglot alan kalınlaşmış ödemli
Ayırıcı Tanı Bakteriyel trakeit ü Klinik daha hafif ü Yüksek ateş, toksik görünüm ü Produktif öksürük Anjioödem ü Yüzde dudaklarda şişlik ü Wheezing
Ayırıcı Tanı Peritonsiller abse ü Disfaji ü Boğaz ağrısı ü Tonsil aşağı ve ortaya yer değiştirir ü Uvula karşı tarafa kayar ü Tonsilde membran
Ayırıcı Tanı ü Retrofarengeal abse ü Odinofaji, disfaji ü Ateş ü Boyun ağrısı ü Drooling ü Ense sertliği ü Yan boyun garfisi: retrofarengeal yumuşak dokularda genişleme
Tedavi-Hafif ü Aile eğitimi ü Dexametazone 0. 6 Mg/kg
Tedavi-Orta ü Hastayı rahatlat ü Dexametazone 0. 6 Mg/kg ü 2 saat gözlem
Tedavi-Ağır ü Rahatlat ü Oksijen ü Dexametazone 0. 6 Mg/kg ü Nebülize Adrenalin -0. 5 ml %2. 25 racemic epinefrin -5 ml 1/1000 adrenalin ü > 4 saat klinik iyileşme yoksa yoğun bakım
Kimleri inceleyelim? ü Rekürrent krup ü Sık ve ağır atakları ü Tedaviye cevap vermeyenler ü 3 aydan önce krup başlayanlar ü Enfeksiyon olmadan semptom verenler
BRONŞİOLİT TANI-TEDAVİ Prof. Dr. Mehmet KÖSE Erciyes Üniversitesi Çocuk Göğüs Hastalıkları Ünitesi
TANIM İki yaşından küçük çocuklarda sıklıkla viral ajanların neden olduğu, “wheezing”, hızlı solunum, retraksiyonlar ile karakterize, bronşiyollerin inflamasyonu
Epidemiyoloji • 2 yaş altında en sık ASYE • 1 yaş altındaki bütün bebeklerin %3’ünün hastaneye yatış nedeni • En sık 2 -6 aylar %80 ilk 1 yaşta • Geç sonbahar ve kış aylarında • Ölüm nadir – 2/100. 000 (ABD) Holman RC, et al. Pediatr Infect Dis J 2003; 22: 483– 90. Panickar JR, et al. Thorax 2005; 60: 1035– 8.
• • Ağır enfeksiyon için risk grupları Yaşamın ilk 6 haftası Prematürelik Prematürenin kronik akciğer hastalığı Doğumsal kalp hastalığı Nörolojik hastalık İmmün yetmezlik Sigara maruziyeti Düşük sosyoekonomik koşullar Purcell K, Fergie J. Pediatr Infect Dis J 2004; 23: 418– 23. Smyth RL, Openshaw PJM. Lancet 2006; 368: 312 -22.
Etkenler • • • RSV (%70) Parainfluenza İnfluenza Adenovirüs Rhinovirüs Human metapnömovirüs Henrickson KJ, et al. Pediatr Infect Dis J 2004; 23 (suppl 1): S 11– 8.
Klinik ÖYKÜ • Başlangıçta üst solunum yolu enfeksiyonu (ÜSYE) – Hafif burun akıntısı – Öksürük – Bazen hafif ateş • 1 -2 gün içinde ASYE • • – – – Paroksismal öksürük Solunum sıkıntısı Hışıltı Siyanoz İnleme Ateş Kusma (öksürüğü takiben) Huzursuzluk Beslenme bozukluğu
FİZİK MUAYENE • Takipne: En sık belirti, >50 -60/dk • Taşikardi • Ateş: Genellikle 38. 5 -39 o. C • Hafif konjonktivit veya farenjit • Retraksiyonlar: İnterkostal, subkostal, suprasternal • Burun kanatlarının solunuma katılması • Ekspiryumda uzama • Siyanoz • Raller • Wheezing • Otitis media • Apne: Genellikle 6 hafta • Palpable karaciğer ve dalak
Tanı • Öykü + Fizik muayene • Spesifik tanısal test yok AAP Subcommittee on Diagnosis and Management of Bronchiolitis. Pediatrics 2006; 118: 1774 -93.
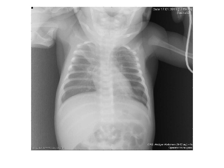
Radyoloji – Havalanma artışı (%35) • Diyaframda düzleşme • Kostalarda düzleşme • Göğüs ön-arka çapında artma – – Peribronşial kalınlaşma (%30) Fokal atelektazi (%15) Hava hapsi alanları (%5) Normal (%38. 7) Fitzgerald DA, Kilham HA. MJA 2004; 180: 399 -404.
Ayırıcı tanı • • • Aspirasyonlar Pnömoni Kalp yetmezliği Kistik fibrozis Sepsis (apne ile birlikte) Primer siliyer diskinezi Yapısal anomaliler Yabancı cisim aspirasyonu Astım
Seyir ve Prognoz • Genellikle hastalık hafif veya orta şiddette geçirilir • Altta yatan hastalığı olanlarda ve 3 aydan küçük bebeklerde hastalık daha ağır seyredebilir • Semptomlar 2 -3 günde pik yapar, 7 -10 gün içerisinde giderek azalır, öksürük haftalarca devam edebilir
Klinik sınıflama
Hastaneye sevk endikasyonları • Orta – ağır bronşiolitler • Gestasyonun 34. haftasından önce doğup, 1 yaşın altında olanlar • 3 aylıktan küçük bebekler
Bronşiyolit Tedavisi Etkisi kanıtlanmış • Destek tedavisi • Oksijen Ağır hastalarda olası etki • Helium-oksijen karışımı • Surfaktan Olası etki • Beta adrenejik agonist • Kortikosteroidler • Epinefrin • Hipertonik salin Muhtemelen etkisiz • Aerosolize ribavirin • Antibiyotik • Nebulize furosemid • rh. DNAz
Destek Tedavisi • Hidrasyonun sağlanması • Beslenmesinin devamı
• Öksürük şurubu • Buhar tedavisi • Mukolitik tedavi faydası yok !!!
TEŞEKKÜRLER