KANCERI I LEKURES Eshte tumor malinj dhe ne












































- Slides: 44
KANCERI I LEKURES
• Eshte tumor malinj dhe ne lekure paraqiten tri forma • Carcinoma bazocelulare • Carcinoma spinocelulare • Melanoma malinje
• CARCINOMA BAZOCELULARE • Eshte tumor epithelial qe karekterizohet me qe karakterizohet me infiltrim dhe destruksion te indit local , ka evoluim te ngadalshem dhe zakonisht nuk jep metastaza. • ETIOPATOGJENEZA • Ka shume faktore : lendimet aktinike , substancat kimike , semundjet paraprake te lekures ( cikatrikset, ulcerimet , eritematoidi, lupusi vulgari)
• MANIFESTIMI KLINIK • Baselioma me se shpeshti eshte e lokalizuar ne pjeset e fotoekspozuara : fytyre hund lapra te vesheve, qafe.
• MJEKIMI • Krioterapi, kiretazh, elektrokoagulim, laser , 5 flouroacil. •
KARCINOMA SPINOCELLULARE • Spinalioma eshte tumor epithelial malinj invaziv , qe karakterizohet me infiltrim desktruksion dhe metastaza. Shfaqet tek personat ne moshe me shpeshe te mashkujt, ka evolucion progresiv.
• ETIOPATOGJENEZA • Faktori gjenetik , rrezatimi semundjet lekurore degjenerative dhe inflamatore , karcinogjenet etj. • MANIFESTIMI KLINIK • Carcinoma spinocellulare mund te lokalizohet ne lekure , ne vendet e kalimit te lekures ne mukoza. Me se shpeshti shfaqet ne buzen e poshtme , ne hunde , ne lapren e veshit. • MJEKIMI • Kirurgjik
MELANOMA MALIGNUM • Eshte tumori me malinj. Eshte tumor I pigmentuar qe zhvillohet nga melanocitet epidermale ose prej qelizave te nevuseve kongjenitale displazike junkcionale dhe rralle intradermale. Me se shpeshti shfaqet te personat ne moshe mbi 20 vjecare •
• ETIOPATOGJENEZA • • Ka rendesi faktori gjenetik , raca dhe prezenca nevusit • Si faktore provokativ jane traumat , rrezet UV , faktoret kimik dhe crregullimi hormonal.
• MANIFESTIMI KLINIK • Lokalizimin me te shpeshte e ka ne gjymtyret e siperme , manifestohet si makule me forme te crregullte me ngjyre te zeze, mund te manifestohet si forme superficial progreduese, por edhe si forme nodular. • MJEKIMI • Kirugjik , kimioterapia , imunoterapia.
SEMUNDJET VENERIKE
• GONORRHEA • Gonorea eshte semundje acute infektuese , mukokutane e traktit urogjenital , qe karakterizohet me secret purulent. • ETIOLOGJIA • Shkaktari eshte NEISEERIA GONORRHOEAE
• • • PASQYRA KLINIKE Bartet permes partnereve me mukoza te infektuara te gjenitaleve te rektumit dhe orofarinksit , atakon grup moshat 15 -24 vjec , por me teper mashkujt. Pas inkubacionit 5 -14 ditesh shfaqet nje pezmatim akut I mukozes me secret qelbezues , e cila percillet me djegeje kruarje gjate urinimit. Pas disa kohesh shfaqet edhe dhembje , rrjedhe secret me ngjyre te verdhe ne te qelber qe eshte karakteristik ne mengjes. Gonorea te femrat shqaet shpeshehere pa simptome dhe me secret te pakte vaginal e qe me vone mund te behet mukopurulent I percjellur me djegesim dhe kruarje. Gonorea mund te jete acute dhe kronike. Gonorea kronike rrjedhe si pasoje e mosesherimit adekuat te gonorese dhe si e tille shkakton sterilitet. MJEKIMI Antibiotike Pacientet duhet te abstenojne nga mardheniet seksuale gjate marrjes se terapise.
• SYPHILIS • Eshte infeksion kronik sistemik shkaktari i se ciles eshte Treponema palidum. • Bartet ne menyre direkte gjate kontaktit seksual , te femijet I utero –gjate kalimit ne kanalin e lindjes , rralle ne menyre indirekte nepermjet te gjesendeve.
• Ka tri stade : primar sekondar terciar • Sifilisi primar eshte periudha e paraqitjes se ndryshimeve te para pas nje inkubacioni prej 21 ditesh , me paraqitjen e ulcus durum - varra(ulcera) e forte. Eshte nje lesion I vetem me diameter deri ne 2 cm me ngjyre te kuqe, me lokalizim te mashkujt ne prepucium te penisit , glans te penisit. Ndersa tek femrat ne cerviks , vagina , vulva vaginale , klitoris. • Sifilisi sekondar -fillon 2 -6 muaj pas infeksionit karakteriozhet me paraqitje te rozeilave sifilitke, condiloma lata, leukodermia , alopecia aoreale. • Sifilisi terciar qe perfaqeson periudhen destructive , qe mund te paraqitet pas muajve nga terheqja e sifilisit sekondar , kjo periudhe mund te zgjate edhe ne disa vite. Manifestohet me shfaqjen e ndryshimeve ne lekure dhe ne organe. • MJEKIMI • Antibiotic ( Penicilina)
• KLAMIDIOZA UROGJENITALE • Eshte semundje seksualisht e transmetueshme. Ne krahasim me gonorene eshte dy here me e shpeshte e po ashtu dy here me shume shkakton sterilitet tek te dyja gjinite. • ETIOLOGJIA • Shkaktari Clamydua trachomatis. Semundja ngjitet gjate mardhenieve sekuale , perhapjen e semundjes e lehteson nderrimet e partenerve seksuale.
• MANIFESTIMI KLINIK • Shenjat e semundjes mund te shfaqen dy jave pas infektimit, me uretrit , urinim e shpeshtuar I shoqeruar me djegeje, rendim ne fund te barkut , kruarje dhe secret mukoz ose mukopurulent. • MJEKIMI • Antibiotike.
• TRICHOMONIASIS • • Eshte infeksion protozoal I traktit urogjenital dhe mjaft I shpeshte tek femrat. • ETIOPATOGJENEZA • Semundjen e shkakton TRICHOMONAS VAGINALIS, infektimi bartet me maredhenie seksuale , permes gjesendeve. • MANIFESTIMI KLINIK • Ndryshimet jane vulovaginale dhe uretrale , ku hetohet skuqje , kullim qelbi me ngjyre te bardhe ne te verdhe me ere te rende dhe djegesim gjate urinimit. • MJEKIMI • Behet per te dy parteneret. ANTIMIKOTIK –oral; local.
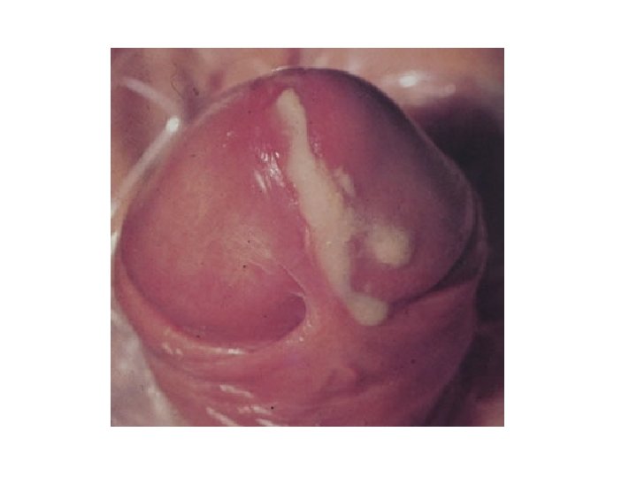
CONDYLOMA ACUMINATA • • • CONDYLOMA ACUMINATA Eshte lloj lythe qe shfaqet ne terene intertrigjinoze , ne vende te lageshta , lythat shfaqen ne te dy gjnit ETIOPATOGJENEZA Shkaktare eshte virusi HPV( human papilloma virus) , infeksioni ndodhe gjate kontaktit seksual kurse sekreti fiziologjik dhe ai patologjik e favorizojne semundjen. MANIFESTIMI KLINIK Shfaqen si papulla te vogla te kuqe , te lemueshme e te cilat paraqiten ne forme te gishterinjeve sit e vetmuara ose te grumbulluara me madhesi te ndryshme. Jane me ngjyre te lekures te murrme deri ne te zeza. MJEKIMI Krioterapia, elektrokoagulimi , podofilina 20% ( leyerje)
• ALOPECIA AREATA • • Eshte renje reverzibile e flokeve ne forme te fushave te kufizuara , nuk shoqerohen me ankesa subjective. • ETIOPATOGJENEZA • Faktore kryesore ne shfaqjen e alopecise areate jane : faktoret gjenetike, imunologjike, psikolgjen, prania e ndonje fokusi psikogjen. • MANIFESTIIMI KLINIK • Me se shpeshti shfaqet ne kapilicium , por edhe ne pjese te tjera te trupit te mbuluara me qime. Lezione eshte i kufizuar qarte , me folikula te ruajtura. • Nese mungojne komplet floket atehere quhet alopecia totalis • MJEKIMI • Kortikosteroid , vitamina , minoxidil.
• HIRSUTISMUS • Eshte hipertrikoze e femrave qe karakterizohet me me prani me te shumta te qimeve ne lekuren e fytyres , ne gjinje , ne shpine, bark, krihe dhe kembe. • ETIOLOGJIA • Cregullimet funksionale te gjendrrave endocrine ose tumoret e tyre , medikamentet hormonale , predispozita gjenetike. • • HIPERTRIKOZIS • Eshte rritje ekscesive e qimeve ne gjatesi dhe ne numer. • Shfaqet tek mashkujt e rritur. • • •