Imagerie des Dmences C Delmaire CHRU Lille Recommandations

















































![Marqueur du transporteur de la dopamine [123 I] FP-CIT (DATscan) Perte dopaminergique Se 78% Marqueur du transporteur de la dopamine [123 I] FP-CIT (DATscan) Perte dopaminergique Se 78%](https://slidetodoc.com/presentation_image/1d773386a81f7557839ec887bb2c58f7/image-50.jpg)
































































- Slides: 114
Imagerie des Démences C Delmaire CHRU Lille
Recommandations de l’ HAS (Mars Pourquoi faire une IRM dans la 2008) concernant l’imagerie des maladie d’Alzheimer? démences Une imagerie cérébrale systématique est recommandée pour toute démence d’installation récente. Le but de cet examen est de ne pas méconnaître l’existence d’une autre cause de démence (processus expansif intracrânien, hydrocéphalie à pression normale, lésions d’origine vasculaire, etc. ). [. . . ]. Et d’objectiver une atrophie associée ou non à des lésions vasculaires
Recommandations de l’ HAS (Mars 2008) concernant l’imagerie des démences Cet examen est une imagerie par résonance magnétique nucléaire (IRM) à défaut une tomodensitométrie cérébrale sans injection de produit de contraste est réalisée.
Pratiques de la neuro-imagerie dans la maladie d’Alzheimer et des démences apparentées Indications des pratiques • La réalisation d’une imagerie par émission monophotonique (SPECT) : démence atypique ou de doute diagnostique • Une imagerie par émission de positrons (PET) est réservée exclusivement aux protocoles de recherche clinique
Evolution des recommandations de l’ANAES puis de l’HAS concernant l’imagerie des démences Du diagnostic d’élimination Le but de cet examen est de ne pas méconnaître l’existence d’une autre cause de démence…. au diagnostic positif …et d’objectiver une atrophie associée ou non à des lésions vasculaires
Objectifs de l’IRM v Eliminer une cause neurochirurgicale v Diagnostic des autres démences v Neurodégénératives v v Alzheimer : 60% v. Autres : DFT , Lewy (15%)… Evaluer/localiser une atrophie Estimer les anomalies vasculaires v Démences vasculaires : 8 -15% (Jellinger J Alzheimer dis 2008) ischémiques, lacunes, anomalies de la substance blanche, hémorragiques
Protocole : Recommandation SFNR Septembre 2008 v. Analyse morphologique et vasculaire v. Volume T 1 v. Analyse vasculaire v. FLAIR v. EGT 2 v. T 2 v. Diffusion axiale Recommandations HAS Mars 2008 : Cet examen est une imagerie par résonance magnétique nucléaire (IRM) avec des temps T 1, T 2* et FLAIR et des coupes coronales permettant de visualiser l’hippocampe
Intérêt de l’acquisition 3 D T 1 v Acquisition nécessaire dans le plan hippocampique vreconstruire dans le plan perpendiculaire à l’hippocampe v. Corriger une asymétrie v. Reconstruire en coupes fines A
Intérêt de l’acquisition 3 D T 1 v Confirmer une atrophie sur plusieurs plans v Reconstruction sagittale : v Gradient antéropostérieur de l’atrophie v DFT : 12% v Atrophie lobaire postérieure
Intérêt de l’acquisition 3 D T 1 v. Suivi du patient v Reformatage possible pour retrouver un plan identique v. Permet un archivage et un suivi évolutif 1997 2001 H 67 ans, droitier. 1997 : «un trouble de mémoire associé à l’âge » 2001 : Troubles mnésiques. Autonomie dans les activités vie quotidienne globalement préservée
Intérêt de l’acquisition 3 D T 1 v. Lacunes
Maladie d’Alzheimer • Lésions histologiques - dépots amyloides : plaques séniles, diffuse - atteinte neuronale : Dégénerescence neuroibrillaire, hyperphosphorylation de Tau, atrophie cérébrale (temporale interne) • Progression des lésions spécifique : cortex enthorinal, hippocampe, aires associatives polymodales, unimodales puis aires primaires
MA : nouveaux critères • Atteinte de la mémoire épisodique • 1 ou pls critères suivants : - atrophie hippocampique et absence d’autre lésion temporale médiale - Marqueur LCR (tau, AB 1 -42) - PET - Mutation autosomale dominante familiale
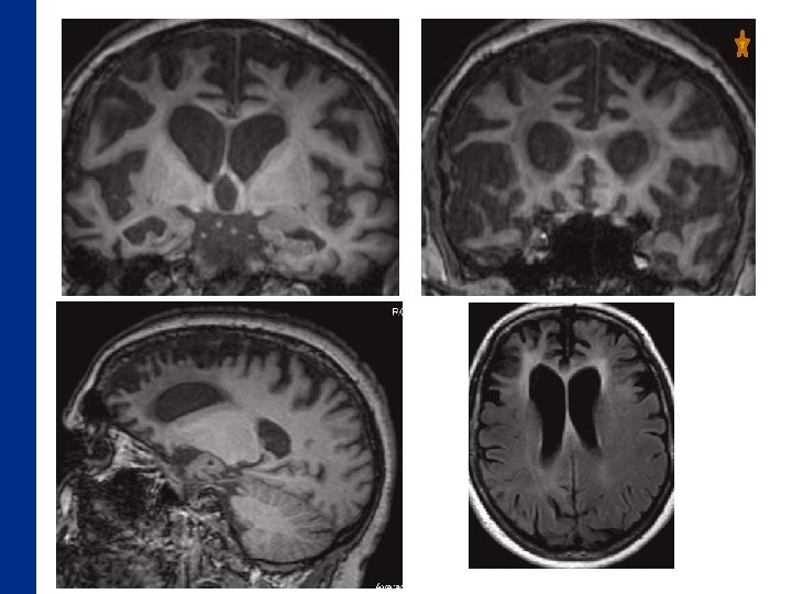
L’Atrophie hippocampique dans la MA v Précoce dans la maladie Sujet sain âgé Alzheimer Forme légère 25% d’atrophie Atrophie corrélée au MMS Alzheimer Forme modérée 40% d’atrophie
IRM dans la MA : Le cas idéal
• Atteinte Hippocampe G : Mémoire verbale épisodique (spécifiquement altérée/précoce dans la MA) • Hippocampe droit : Altération mémoire visuelle Associée parfois à une atrophie pariétale médiane
Grader l’atrophie?
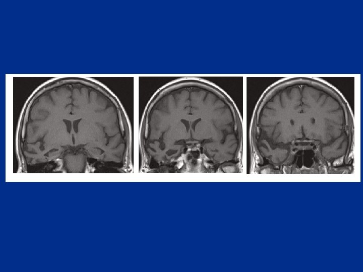
Echelle de Scheltens 0 à 4
D: 0 G : 0
223 D : 2 -3+ G : 2
020133 DM D : 2+-3 - G : 3 -4
Mesures volumiques 5 2 3 4 1 postérieur antérieur 7 10 9 8 6
Importance d’une meilleure caractérisation de la phase prodromale de la maladie d’Alzheimer Difficultés avec la définition du Mild Cognitif Impairment (MCI) AUTONOMIE PRESERVEE • Concept clinique hétérogène qui inclut des pathologies différentes • MCI amnésique : 70% des sujets avec un MCI-a développent une démence de type Alzheimer (Jicha et al. Arch Neurol 2006) • Nécessité de reconnaître les formes prodromales de la MA dans le MCI Dubois, Feldman et al. Lancet Neurol 2007
En cas de doute…. regarder sur les coupes antérieures
Comparer l’évolution H 59 ans. HDM : difficultés mnésiques. Tests : difficultés de calcul. Evolution : régression des troubles d’après le patient, confirmée par les tests 1997 2001 H 67 ans, droitier. 1997 : «un trouble de mémoire associé à l’âge » 2001 : Troubles mnésiques. Autonomie dans les activités vie quotidienne globalement préservée
1997 2001 Troubles de la mémoire Majoration des plaintes mnésiques Atrophie temporale interne+++ Evolution vers MA Atrophie hippocampique prédictive de l’évolution vers une MA Taux d’atrophie annuel (1, 5 %) + important pour MCI qui évolue vers MA (2%) LCR : prot tau et AB 42, précoces, avant MA PIB (marqueur de la plaque sénile) : 100% MA – 60% MCI – 30% sains…
En résumé • L’atrophie hippocampique et parahippocampique est – Précoce – Sensible – Corrélée aux performances mnésiques • Présente avant – l’établissement du diagnostic (Troubles cognitifs discrets ou « mild cognitive impairment » = MCI) – l’apparition des premiers signes cliniques (sujets à risque)
Attention • L’atrophie hippocampique a été retrouvée dans : – les démences vasculaires (88%) – la maladie de parkinson sans démence (MP), ou avec démence (MPD), – la démence à corps de Lewy (DLB) : 62%
Existe-t-il une atrophie?
MA Trouble anxiodépressif MA MCI évolutif
Signes IRM associés ?
Il existe des lésions de la SB ou des noyaux gris centraux? Peut on en rester à : MA : atrophie hippocampique Dva : anomalie vasculaire
Maladie d’Alzheimer et anomalies vasculaires 1. L’atrophie temporale n’est pas spécifique de la maladie d’Alzheimer et peut être présente dans la démence vasculaire (<) 2. Les anomalies vasculaires peuvent se voir dans la maladie d’Alzheimer (20 -30%) : anapath, moins marquées, FR communs, rôle dans les troubles cognitfs en particulier tableaux exécutifs. 3. Anomalies vasculaires FR de l’évolution d’un MCI vers la démence MA ? : contradictoires
Il existe des lésions de la SB ou des noyaux gris centraux? • Echelle de Fazekas • Hypersignaux de la substance blanche de plus de 25% de la totalité de la substance blanche, de multiples lacunes dans les ganglions de la base et la substance blanche frontale et des lésions thalamiques bilatérales (NINDS AIREN, DSM IV).
Il existe des microbleeds? • Micro saignement : – – – Hypointense en T 2* Arrondi ou ovalaire Absence d’hypersignal sur les séquences SET 1 ou T 2 Au moins la moitié de la lésion est entourée de parenchyme Disctinct des dépots de fer ou calciques, osseux, ou vaisseaux – Absence d’ATCD traumatique
84 ans HTA 77 ans pas d’ATCD HTA, Marqueur pathologie vasculaire : HTA : BG, cervelet, thalamus, tronc angiopathie amyloïde : lobaire Greenberg Lancet neurol 2009
Micro Bleeds et MA • Knudsen Neurology 2001 – Association : 1/5 prédominance lobaire – Physiopathologie : • HTA (Skoog lancet 1996) • et/ou angiopathie amyloïde (Attems J Acta Neuropathologica 2005) – Rôle dans les troubles cognitifs – Facteur de mauvais pronostic ( Henneman stroke 2009)
Les démences non alzheimer
• F 84 ans, • ATCD: HTA, DNID • HDM : oublis et hallucinations visuelles (voit un homme dormir aux pieds de son lit) • Examen : – MMS : 28/30 – Troubles visuo constructifs et visuoperceptifs • Suspicion de démence à corps de Lewy débutante
• F 84 ans, • ATCD: HTA, DNID • HDM : oublis et hallucinations visuelles (voit un homme dormir aux pieds de son lit) • Examen : – MMS : 28/30 – Troubles visuo constructifs et visuoperceptifs • Suspicion de démence à corps de Lewy débutante
Quelles sont les anomalies décrites en IRM? A-Atrophie hippocampique B-Anomalies de la substance blanche C-Atrophie occipitale D-Atrophie frontale
Quelles sont les anomalies décrites en IRM? A-Atrophie hippocampique B-Anomalies de la substance blanche C-Atrophie occipitale D-Atrophie frontale
L’IRM est elle compatible avec le diagnostic? a-Oui b-Non
L’IRM est elle compatible avec le diagnostic? a-Oui b-Non
Quel(s) examen(s) complémentaire(s) pourrai(en)t être utile(s) : A-Débitmétrie cérébrale B-Marqueur du transporteur de la dopamine C-Scanner cérébral
Quel(s) examen(s) complémentaire(s) pourrai(en)t être utile(s) : A-Débitmétrie cérébrale B-Marqueur du transporteur de la dopamine C-Scanner cérébral
• Débitmétrie : hypofixation du cortex temporal droit, pariétal associatif et occipital
TEP : DLB vs AD Gilman Exp neurol 2004 Minoshima Ann Neurol 2001
Marqueur du transporteur de la dopamine [123 I] FP-CIT (DATscan) Perte dopaminergique Se 78% Sp 94% T P AD L Walker JNNP 2006
La démence à Corps de Léwy • 2 eme cause de démence dégénérative • Clinique : Signes cardinaux (2=DCL probable, 1=DCL possible) : – Fluctuations cognitives, de l’attention ou de la vigilance – Hallucinations visuelles – Syndrome parkinsonien
La démence à Corps de Léwy • Atrophie : – régions limbiques, – néocortex – structures sous-corticales – relative préservation des structures temporales médiales par rapport à la maladie d’Alzheimer. Whitwell JL Brain 2
Mme Ler L 51 ans • ATCD = 0 • 2007 (48 ans) : – Désintérêt pour son travail – Indifférence affective – Irritabilité, propos déplacés, appétence pour les produits sucrés – Troubles comportements et attentionnels > – Bilan : stéréotypie, MMS 28/30
Mme Ler L • 2009 : – Agressivité verbale – Troubles du comportement (nettoie son dentiers pendant un repas de famille) – Examen: stéréotypie, écholalie – PL : normale – MMS 26/30
Que vous évoque cette IRM ? A) une MA B) une DFT C) un AVC bifrontal
Que vous évoque cette IRM ? A) une MA B) une DFT C) un AVC bifrontal
La Démence Frontotemporale • 3 eme cause de démence neurodégénérative • Regroupe différents syndromes: – Comportemental – Langage Rabinovici Am J Alzheimers Dis Other Demen. 20
La Démence Frontotemporale • 3 eme cause de démence neurodégénérative Imagerie : Regroupe différents syndromes: – • Atrophie prédomine dans les régions antérieures du lobe – Comportemental frontal et du lobe temporal, – Langage épargnant relativement les régions temporales médiales. – Atrophie bilatérale des hippocampes et du cortex entorhinal qui prédomine sur la partie antérieure. – Hypersignal Flair des régions antérieures fréquent. Rabinovici Am J Alzheimers Dis Other Demen. 20
DFT
Mme C, Patiente de 71 ans • Bilan de troubles cognitifs en 2007 : – Profil fronto sous cortical – Leucopathie vasculaire sur l’IRM – Débitmétrie : hypoperfusion fronto pariétale hétérogène, pariétale postérieure et temporale inférieure gauche – PL : normale – Diagnostic retenu : étiologie vasculaire
Mme C, Patiente de 71 ans • 2008 : – Evolution progressive uniquement sur le langage : expression réduite à oui /non – Pas de trouble du comportement, reconnait ses enfants, jovialité
Aphasie primaire progressive
Aphasie Primaire Progressive Définit un Syndrome • Trois types : – Progressive non fluente : manque du mot modéré, existence d’un trouble de compréhension des phrases – Démence sémantique : trouble compréhension, difficulté dénomination – Logopénique : lenteur du langage, longues pauses à la recherche d’un mot, manque du mot modéré, trouble de la répétition et de la compréhension des phrases.
Aphasie Primaire Progressive • anatomo-pathologie : – Certaines APP se révèlent être des maladies d'Alzheimer – D'autres sont des dégénérérescences frontotemporales NON -Alzheimer. DS et l’APPnon fluente : constituent un élément d’une démence fronto-temporale Logopénique : forme focale de la maladie d’Alzheimer.
Aphasie Primaire Progressive : DFT ou MA? Nécessité d’avoir des biomarqueurs – imagerie, biomarqueurs du LCR, neuropsycho, comportement…
Aphasie Primaire progressive • En pratique: ü si on a une forme clinique qui évoque une APP ü Si on a des biomarqueurs de LCR en faveur d'une MA. Ø Penser à une forme focale de MA, envisager un traitement comme une MA.
Das Neuroimage 2009 APPnon fluente DS Localisation Périsylvienne ant Temporale ant G: Périsylvienne externe, ventral, amygdale Evolution lobe T Temporale sup Temporale ant, D Evolution postérieure Pariétale le long de l’insula Vers le lobe frontal Préfrontale Cingulaire ant Logopénique Temporale inf Pariétale Le long de l’insula
Nov E, 63 ans • ATCD =0 • Consulte pour des troubles du langage – Depuis 2001 : manque du mot et paraphasie phonémique puis troubles mnésiques • PL normale
Nov E
Quel diagnostic peut on évoquer? A-Maladie d’Alzheimer B-Démence à corps de Lewy C-Aphasie primaire progressive
Quel diagnostic peut on évoquer? A-Maladie d’Alzheimer PL normale B-Démence à corps de Lewy Clin non compatible C-Aphasie primaire progressive DFT?
• F 70 ans ü Consultation : plainte mnésique, troubles du langage et paraphasie ü Examen : paraphasie phonémique, trouble de la mémoire épisodique Ø Examen clinique évocateur d’une Aphasie Primaire Progressive
– F 70 ans (suite) Cette IRM vous inspire t-elle? A) Oui B) Non
F 70 ans (suite) ü PL : diminution AB 42 et augmentation phospho. Tau ü Evolution : ü atteinte diffuse aux autres fonctions cognitives ü avec trouble du langage dominant ü et perte d’autonomie Ø en faveur d’une MA : Ø Mise en place d’un traitement par Ebixa Ø Confirmée à l’autopsie
Mme S, 59 ans • Début 1987 : troubles du langage progressifs • 1997 : mutique, indifférence affective, mais garde une autonomie (organise ses voyages et gère ses comptes) • Evolution : trouble du comportement, grasping
Atrophie fronto temporale Anomalie de signal des régions frontales Diagnostic évoqué : dégénerescence fronto temporale, début sous forme d’une aphasie progressive
La démence Frontotemporale Variant frontal ou comportemental • Perte du contrôle de soi • Émoussement affectif • Négligence physique • Baisse d’intérêt Variant temporal (sémantique) • perte des connaissances sur les mots, les personnes ou les concepts • modification comportementales Variant aphasique (APP) • non fluent • agrammatisme • paraphasies phonémiques • en cours de démembrement++
Le neurologue vous dit que ce n’est pas une MA…. vous le croyez?
Dec G A) Vrai B) Faux
Dec G A) Vrai B) Faux
Dec G 60 ans, • Troubles du langage depuis l’âge de 55 ans • Apathie, apraxie, stéréotypie et persévérations gestuelles, rires immotivés • MMS 21/30
A) Vrai B) Faux
A) Vrai B) Faux
Dégénerescence Cortico Basale • Symptomes asymétriques : language, visuospatial deficit ou héminégligence, apraxie • Atrophie : asymmetrique frontale et /ou parietale, et moins fréquemment le lobe temporal. Atrophie des régions centrales Boxer Arch Neurol 2006
Et si le neurologue vous dit qu’ils ont une MA? …. . vous le croyez?
MA ! Prédominance des anomalies dans le cortex entorrhinal et gauche MA?
MA ! Prédominance des anomalies dans le cortex entorrhinal et à la jonction Amygdale-tête hippocampe et postérieure MA?
Patiente de 81 ans, syndrome confusionnel. Recherche pathologie neurodégénérative MA?
Reste de l’examen….
L’angiopathie Amyloide?
Forme Sporadique Accumulation de peptide Aß parenchyme Paroi des Vaisseaux Plaque Senile de la MA Angiopathie Amyloide Cérébrale
Les dépots amyloides dans la paroi des vaisseaux sont responsables : üMicroanévrysme Hémorragie lobaire üEpaississement des parois et obstruction de la lumière troubles de l’autorégulation vasculaire : hypoperfusion et infarctus Menon, R. S. et al. Stroke 2009; 40: e 675 -e 677
§ CAA fréquemment retrouvée dans : ü ü ü Alzheimer Démence à corps de Lewy Down’s syndrome ü Sujet âgé
Quand évoquer l’angiopathie amyloide en cas d’hémorragie? Critères de Boston Knudsen KA et al.
Critères de Boston
q Hypocoagulation excessive (INR. 3. 0) q antecedent trauma crânien ou AVC q tumeur du SNC, malformation vasculaire, vascularite q coagulopathie
• Plus récemment : – Description de stigmate d’hémorragie méningée (hémosidérose) dans l’angiopathie amyloide
Diffusion axiale • Intérêt : Suivi évolutif des démences vasculaires (Choi et coll Neurology 2000) – 30 Démences vasculaires: 10 patients avec déclin neurologique avant IRM (4, 2 jours en moyenne) – Anomalies en DWI : • 7 /10 patients avec un événement neurologique récent • 4/ 20 patients sans nouvel événement neurologique.
1 Qui est qui? 3 4 2 2 a-Maladie d’Alzheimer c-Démence Fronto Temporale b-Aphasie Primaire Progressive d-Démence
Qui est qui? 2 3 a-Maladie d’Alzheimer c-Démence Fronto Temporale b-Aphasie primaire progressive d-Démence
1 Qui est qui? 2 a-Maladie d’Alzheimer c-Démence Fronto Temporale b-Aphasie primaire progressive d-Démence
2 Qui est qui? a-Maladie d’Alzheimer c-Démence Fronto Temporale b-Aphasie primaire progressive d-Démence sémantique (Hodges Brain 2009)
Qui est qui? 2 4 a-Maladie d’Alzheimer progressive c-Démence Fronto Temporale b-Aphasie primaire d-Démence
Bil M 69 ans • ATCD = 0 • Consulte en 2006 : trouble du langage, micrographie • Evolution : – phasique et motrice, syndrome extrapyramidal tt par MODOPAR sans efficacité – Débitmétrie cérébrale : hypoperfusion préfrontale
Bil M 69 ans • 2009 : – syndrome extrapyramidal avec akinésie sévère, limitation de la verticalité du regard, – MMS 21/30, – paraphasie et perte de la fluence.
Quelle séquence allez vous étudier en particulier qui apporterait des arguments supplémentaires pour le diagnostic: A) Une séquence FLAIR pour étudier la leucopathie B) Une séquence en echo de gradient pour les micro bleeds C) Une coupe sagittale médiane pour étudier le tronc D) Aucune j’ai déjà le diagnostic
Quelle séquence allez vous étudier en particulier qui apporterait des arguments supplémentaires pour le diagnostic: A) Une séquence FLAIR pour étudier la leucopathie B) Une séquence en echo de gradient pour les micro bleeds C) Une coupe sagittale médiane pour étudier le tronc D) Aucune j’ai déjà le diagnostic
L’IRM vous évoque? : A) Une MA B) Une DFT C) Une PSP D) Rien et je fais confiance au clinicien pour faire le diagnostic
L’IRM vous évoque? : A) Une MA B) Une DFT C) Une PSP D) Rien et je fais confiance au clinicien pour faire le diagnostic
Paralysie Supranucléaire Progressive Etudier la partie haute du mésencéphale (Righini et coll 2002) : Aplatissement de la partie supérieure du mésencéphale Atrophie due à l ’atteinte du fx longitudinal médian Righini et al. AJNR 2005 Oba et al. Neurology 2005 Warmutz-Metz et al. Arch Neurol 2001
Bil M 69 ans • 2010 : – syndrome parkinsonien flagrant avec akinésie majeure et ophtalmoplégie dans la verticalité du regard évocateur d’une PSP – Symptômes frontaux et écholalie
Syndrome park et démences • Dans la MP : La sévérité des troubles cognitifs dépend d’un certain nombre de facteurs comme l’âge, la durée d’évolution de la maladie, la forme clinique. Atrophies corticale diffuse et hippocampique décrites (proche de la DCL) • Dans la PSP : troubles frontaux (apathie, troubles exécutifs, trouble initiation), atrophie frontale Brenneis JNNP 2004