Gnralits sur linfection VIH Dr Pierre Tattevin Maladies




















































- Slides: 52
Généralités sur l’infection VIH Dr Pierre Tattevin Maladies Infectieuses CHU Pontchaillou Rennes, France Bujumbura, avril 2008
LE VIH : HISTORIQUE (1) • 1930 : Emergence du virus, à partir du SIV. Premiers cas humains ? • 1959 : Premier cas humain documenté (Marin Anglais, retour d’Afrique Centrale) • 1981 : Premières descriptions (Pneumocystose, communauté Gay, Californie) • 1983 : Isolement du virus • 1985 : Test systématique des dons de sang en France • 1987 : Commercialisation de l’AZT
LE VIH : HISTORIQUE (2) • 1993 : Essai Concorde (pas de bénéfice des traitements précoces par AZT) • 1995 : Essai Delta (intérêt majeur des associations ; augmentent la survie) • 1997 : Antiprotéases - Tri-thérapies • 1999 : Relâchement de la prévention dans les pays riches ? • 2000 : Congrès Mondial de Durban “ Breaking the Silence ” • 2002 : Congrès Mondial de Barcelone “ Commitment for action ”
LE VIH INFECTE LES CELLULES DU SYSTEME IMMUNITAIRE T T INFECTION PRODUCTION
Microscopie électronique d'une coupe de cellule produisant du VIH 8 Barré-Sinoussi F, Chermann JC, Rey F, Nugeyre MT, Chamaret S, Gruest J, Dauguet C, Axler-Blin C, Vézinet-Brun F, Rouzioux C, Rozenbaum W. and Montagnier L. Isolation of a T-lymphotropic retrovirus from a patient at risk for Acquired Immune Deficiency Syndrome (AIDS). Science 1983 ; 220 : 868 -71
Les atouts du VIH • Multiplication massive (milliards/j) • Mutations faciles – Résistances aux traitements – Résistances au système immunitaire • • Attaque le système immunitaire (tue le goal) Patient Silencieux Son principal mode de transmission (indispensable, répété) • Son image
Les définitions • Définition de la séropositivité VIH – Toute personne porteuse d’anticorps anti-VIH – Cas particulier des enfants nés de mère séropositive • Transmission passive des anticorps • Définition du SIDA – Ensemble de pathologies secondaires à un état de déficit immunitaire en rapport avec le virus de l’immunodéficience humaine. • Infections opportunistes – Infections qui ne surviennent que chez des patients immunodéprimés
Étapes essentielles du cycle de réplication du VIH particule virale mature VIH Action de la protéase adhésion bourgeonnement Récepteur CD 4 fusion membrane cellulaire Co-récepteurs assemblage pénétration cytoplasme Transcription inverse traduction avec 2 LTR ADN viral linéaire non intégré ARNm non épissé protéines de régulation ADN viraux circulaires complexe de pré-intégration avec 1 LTR transcription ADN proviral intégré 7 D’après Furtado M. , N Engl J Med 1999, 340(21) : 1 614 -22. noyau ARNm multi-épissé
Évolution naturelle de l’infection Contamination Asymptomatique Primo-infection T 4 1000 Candidoses buccales, leucoplasie de la langue… PNEUMOCYSTOSE 200 CANDIDOSE ŒSOPHAGIENNE Charge virale TOXOPLASMOSE CÉRÉBRALE CYTOMÉGALOVIRUS MYCOBACTÉRIES 1 à 6 mois 11 3 à 15 ans Temps
LA PATHOLOGIE Principales complications de l ’infection VIH Le SIDA
Les complications graves = SIDA • Tuberculose – Première complication du SIDA dans le Monde – Difficultés de traitement – Nécessité d’un traitement long (6 mois) et lourd – Interactions antirétroviraux – si mal pris = RISQUE D’ACQUISITION DE RESISTANCES » Évolution vers des formes multirésistantes TRANSMISSIBLES – Formes cliniques • Pulmonaires (contagiosité +++) • Ganglionnaires • Disséminées – Diagnostic • Clinique • Mise en évidence des bactéries (pas toujours)
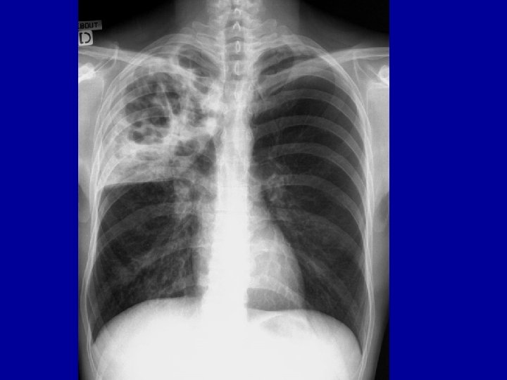
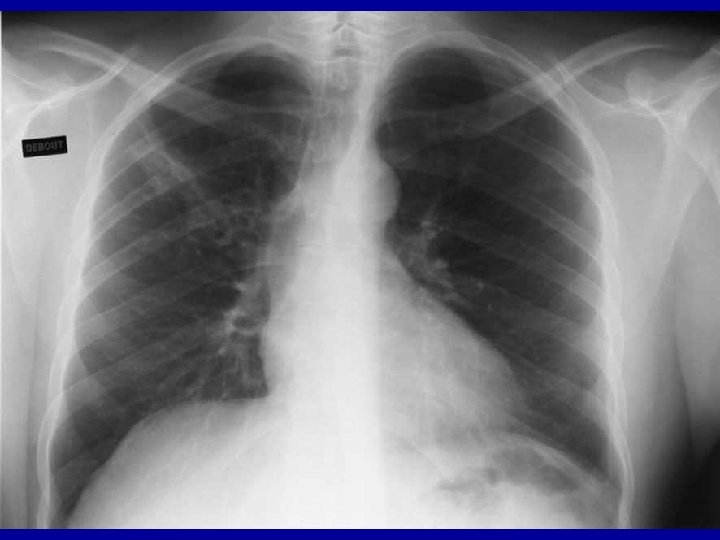
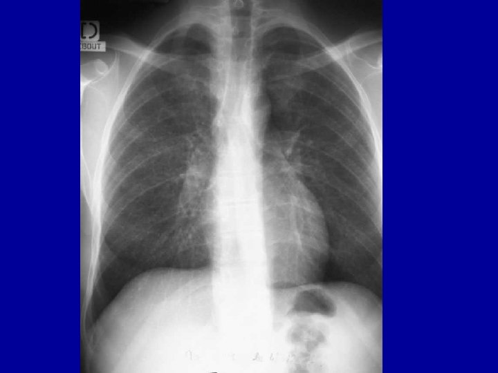
Les complications graves : SIDA • La pneumocystose – Infection pulmonaire – Clinique • En général apparition progressive • Dyspnée, toux • Image pulmonaire – Diagnostic : lavage broncho-alvéolaire – Peut être grave • mortalité 100% en l’absence de soins – Thérapeutique disponible • Triméthoprime-Sulfaméthoxazole – Fortes doses – Risques d’intolérance – Prophylaxie secondaire nécessaire (TMP-SMX)
Les complications graves : SIDA • Toxoplasmose cérébrale – Réactivation d’une toxoplasmose ancienne – Déficit immunitaire profond – Clinique • Céphalées • Convulsions • Paralysies – Traitement • Pyriméthamine/Sulfadiazine • Ou Cotrimoxazole – Diagnostic • Scanner • “Test” thérapeutique
Les complications graves = SIDA • Le sarcome de Kaposi – Co-infection • VIH • HHV 8 (Human Herpes Virus 8) – Dégénérescence de cellules de l’endothélium vasculaire – Évolution “cancéreuse” – Peu de traitements actifs • Chimiothérapie anti cancéreuse • Surtout, traitement du VIH (trithérapies)
WASTING SYNDROME (Slim disease) 1985 ou SIDA " humide" • Fréquemment mode de révélation en Afrique • Amaigrissement progressif et massif + une asthénie majeure + une amyotrophie diffuse avec faiblesse musculaire + diarrhée chronique • et/ou une fièvre prolongée • En l’absence de traitement : Évolution vers un amaigrissement de plus de 50% du poids du corps et décès par cachexie
Manifestations clinique au cours du SIDA en Afrique de l’Est (Ouganda, Tanzanie, Zaïre) AIDS 1991; 5: S 103 -12 signes et symptômes Amaigrissement > 10% du poids Fièvre > 1 mois Diarrhée (> 1 mois) Toux Prurit Dysphagie Candidose orale Prurigo Lymphadénopathies généralisées Zona Moyenne 91% 71% 59% 42% 30% 35% 46, 5% 42, 2% 22, 5% 8, 5%
Solutions • Dépistage précoce • Conseils, soutien, prévention de la transmission • Infections opportunistes – Diagnostic (traitement curatif) – Traitement préventif • Traitement antirétroviral – Effet parfois « miraculeux » – Multiples défauts • Observance • Surveillance • A vie lorsqu’il est débuté (tendance 2008)
Espérance de vie en Afrique selon l’épidémie VIH: 1950 - 2005 65 Espérance de vie (années) 60 Pays les plus touchés par l’épidémie Zimbabwe South Africa Botswana 55 50 45 Pays relativement épargnés Madagascar Senegal Mali 40 35 30 1950– 1955 - 1960 - 1965 - 1970 - 1975 - 1980 - 1985 - 1990 - 1995 - 20001955 1960 1965 1970 1975 1980 1985 1990 1995 2000 2005 Source: UN Department of Economic and Social Affairs (2001) World Population Prospects, the 2000 Revision.
Facteurs de risque de transmission sexuelle du VIH (Quinn T. N Engl J Med 2000, 342: 921) • 415 couples discordants suivis 30 mois, Ouganda • Nombre de séroconversion : 90/415, incidence = 11, 8 pour 100 personnes-année • Analyse multivariée – Age entre 15 à 19 ans – Non circoncision (RR 0, 41 en cas de circoncision) – Charge virale plasmatique élevée (RR = 11, 9 si CV > 50 000) • Chaque élévation de 1 log 10 copies/ml est associée à une augmentation du risque de 2, 45 • Pas de transmission dans le groupe CV < 1500 copies/ml (51 couples)
Evaluation de l'efficacité protectrice de la circoncision chez l'adulte • Risque de transmission du VIH de la femme à l'homme diminué de 60 % par la circoncision (Auvert 2005) 1 Prévalence de l'infection à VIH en fonction de l'âge n = 4 643 % 18 16 14 • 3 autres essais randomisés montrent une réduction de la transmission du VIH-1 • Kenya : 53 % (30 -76 %) • Ouganda : 43 % (14 -82 %) • Afrique du Sud : 61 % (33 -76 %) 12 10 8 6 4 2 • Circoncision permettrait de réduire le risque d'acquisition de l'infection par le VIH, particulièrement élevé chez les jeunes adultes (figure de droite) 0 18 19 20 21 22 23 24 Age (années) Données recueillies dans l'essai randomisé actuellement en cours au Kenya Bailey R. C. , IAC 2006, Abs. TUAC 0201
Facteurs de transmission sexuelle du VIH • Infection sexuellement transmissible (IST) – Risque augmenté de 3, 3 fois si IST (toutes confondues) – Ulcération génitale, RR : 4, 2 (Inde) à 4, 87 (Zimbabwe) • Risque est 5 fois plus élevé lors de la transmission de la femme à l’homme (Hayes RI, J Trop Med Hyg 1995, 98: 1) – Ecoulement urétral : RR : 1, 75 fois, Bassett, JAIDS 1996, 13: 287 – Herpes génital
Moyens de lutte contre la transmission du VIH • Le Vaccin : espoirs déçus • La connaissance – De la séropositivité VIH – De ses modes de transmission – De sa prévention • Transmission sexuelle • PTME • Lutte contre les facteurs socioculturels défavorables – Education – Lutte contre les discriminations – Place de la femme dans le société
Ca va s’arranger ? • Oui ! – – Anti-rétroviraux Circoncision Préservatifs Volonté(s) politique(s) du Nord et du Sud Relais OG -> ONG Prises de conscience (nord et sud) – Arguments économiques – Sélection naturelle • Non… – Biologie du virus • • • Infection chronique Longue phase silencieuse Mode de propagation Pas de guérison Adaptation aux traitements – Défauts des traitements – Obstacles culturels – Dictatures et Corruptions
Le dépistage peut-il promouvoir les changements de comportement ? • OUI au Kenya et en Tanzanie – Le counselling est plus effectif que l’éducation pour la santé seule • Récente méta analyse montrent – Après counselling, diminution de la fréquence des rapports sexuels non protégés avec un partenaire occasionnel – Effet plus important chez les personnes VIH + et couples séro-discordants – Pas d’effet sur le nombre de partenaires Denison et al. AIDS and Behaviour Dec 2007
Education et prévention de la transmission sexuelle
Pourcentage d’adultes infectés par le VIH en Afrique sub-Saharienne, 1986 -2001 1986 20 – 39% 10 – 20% 5 – 10% 1 – 5% 0 – 1% Pas de données Hors zone 1996 1991 2001
Usage de préservatifs, Ouganda, 1996 -2000 60 1996 -1997 1999 -2000 50 40 % 30 20 10 0 Partenaires occasionnels Utilisation de capotes Source: Uganda National AIDS Programme Urétrites Utilisation de capotes lors du dernier rapport Age de début des rapports
Percentage of young people (15− 24 -year-olds) who report using a condom at last sex with a non-marital, non-cohabiting partner, of those who have had sex with such a partner in the 12 months 100 Women Men 80 60 % 40 20 0 1996 2000 Malawi 1996 1999 1995 2000 1996 2001 1994 1999 Tanzania Uganda Zambia Zimbabwe Source: DHS data 1994 -2001 2004 Report on the Global AIDS Epidemic (Fig 20)
Connaissance des capotes parmi les adolescents 100% Ne connaissent pas 75% Connaissent, mais ne savent pas où en trouver 50% Connaissent et savent où en trouver 25% Do Br m az in il ic an Re Hpau itbi li Pe c Bo ru liv M ia Ni ala ca wi ra g Za ua Zi mb m ba ia Ta bw nz e an Ke ia n Ug ya an da M al M oz Nig i am e bi r qu Ch e ad 0% Sources: UNICEF, DHS surveys, 1994 -1999
Prévention : préservatifs, éducation
Séropositivité VIH chez les femmes enceintes Kampala, Uganda: 1991 -2000 40 30 % 20 10 0 1991 1992 1993 1994 1995 1996 1997 1998 Source: STD/AIDS Control Programme, Uganda (2001) HIV/AIDS Surveillance Report 1999 2000
Usage de préservatifs et séroprévalence chez les prostituées, Abidjan, Côte d'Ivoire, 1992 -1998 100 % VIH Usage régulier de préservatifs 80 80 60 60 40 40 20 20 0 0 1992 1993 1994 Source: Ghys PD et al. (2002) AIDS 1995 1996 1997 1998
Les freins au traitement • Le coût – faux problème ! • L’organisation des soins – Dépistage des séropositifs – Acheminement des antiviraux dans les pharmacies (ruptures permanentes de stock) et au malade – Système de soins permettant un suivi – Education thérapeutique des malades, consultation d’observance, consultation sociale • Détournements et priorité de santé publique
Prix d’une année de traitement du VIH en Afrique: 1998 -2001 14, 000 Prix en Euros 12, 000 10, 000 8, 000 6, 000 4, 000 2, 000 0 Jun Jul Aug 1998 Source: WHO/UNAIDS, 2002 Apr 2000 Oct Nov Dec Jan Feb Mar Apr May Jun Jul Aug 2000 2001 2001
Engagement OMS pour 2005 • Réduire d ’un quart la prévalence du VIH chez les jeunes de 15 à 24 ans • Accès à l ’information pour 90% des jeunes – Dépistage anonyme – Accès aux préservatifs masculins et féminin – Counselling – Suivi de prise en charge
Progrès réalisés par les pays pour atteindre les objectifs fixés à l’échelle mondiale par la Déclaration d’engagement sur le VIH/SIDA, 2005 (pays à faible ou moyen revenu) RÉSULTATS À L’ ÉCHELLE MONDIALE 2005 OBJECTIF MONDIAL POUR 2005 Total des dépenses annuelles* US$ 8 297 000 Fourchette estimée : US$ 7, 5 milliards ‒ US$ 8, 5 milliards US$ 7, 0 milliards ‒US$ 10, 0 milliards Objectif mondial atteint Pourcentage de jeunes âgés de 15 à 24 ans qui identifient correctement les moyens de prévenir la transmission du VIH et rejettent les principales idées fausses concernant la transmission du VIH** HOMMES : 33% (Fourchette nationale : couverture 7%‒ 50%), (n=16) FEMMES : 20% (Fourchette nationale : couverture 8%‒ 44%), (n=17) Couverture 90% Aucun pays n’a atteint l’objectif Pourcentage de femmes enceintes séropositives au VIH bénéficiant de la prophylaxie antirétrovirale*** 15% (Fourchette nationale : couverture 1%‒ 59%), (n=41) Couverture 80% Aucun pays n’a atteint l’objectif Pourcentage de personnes atteintes d’infection à VIH avancée bénéficiant d’une thérapie antirétrovirale**** Couverture 50% (3 millions de personnes sous 20% (Fourchette nationale : couverture 1%‒ 100%), (n=116) traitement) 1 300 000 personnes sous traitement 21 pays ont atteint l’objectif Objectif mondial non atteint 06/06 f * Voir le chapitre sur le financement ** Demographic and Health Survey/AIDS Indicator Survey, 2001– 2005 (MEASURE DHS, 2006) *** Stover et al. , (2006) **** Rapport ‘ 3 millions d’ici 2005’ (OMS/ONUSIDA, 2006)
Progrès réalisés par les pays pour atteindre les objectifs (suite) RÉSULTATS À L’ ÉCHELLE MONDIALE 2005 OBJECTIF MONDIAL POUR 2005 Pourcentage de jeunes hommes et femmes, âgés de 15 à 24 ans, qui sont infectés par le VIH***** HOMMES : 1, 4% (degré d’incertitude : 1, 1%‒ 1, 8%), (n=54) FEMMES : 3, 8% (degré d’incertitude : 3, 0%‒ 4, 7%), (n=54) Il n’existe pas de données mondiales comparables pour 2001 dans ce groupe d’âge. Les progrès ne peuvent être mesurés que dans des pays individuels. 25% de réduction dans les pays les plus touchés 6 des pays les plus touchés ont atteint l’objectif Pourcentage estimé de nourrissons nés de mères infectées par le VIH qui ont été infectés, 2005****** 26% des enfants nés de mères infectées par le VIH étaient aussi infectés (n=33 pays les plus touchés) En 2001, 30% environ des enfants étaient infectés, On estime à 10% la baisse de la transmission du VIH entre 2001 et 2005. Réduction de 20% 11 des pays les plus touchés ont atteint l’objectif ONUSIDA
Comparaison entre les données de 2003 et de 2005 sur la couverture de la thérapie antirétrovirale, l’accès aux services de prévention de la transmission mère-enfant et la couverture des mères infectées par le VIH bénéficiant de la prophylaxie antirétrovirale pour prévenir la transmission mère-enfant Couverture de la thérapie antirétrovirale Accès aux services de prévention de la transmission mère-enfant (toutes les femmes enceintes) 25 20, 0 20 15 % 25 25 20 20 15 15 % 10 10 7, 0 Couverture des mères infectées par le VIH bénéficiant de la prophylaxie antirétrovirale 7, 6 9, 0 % 5 5 5 0 0 0 2003 2005 06/06 f OMS/ONUSIDA (2006). Progress on global access to HIV antiretroviral therapy: a report on “ 3 by 5” and beyond; USAID et al. Sources: Coverage of selected services for HIV/AIDS prevention, care and support in low and middle income countries in 2003 and 2005. 9, 2 10 3, 3 2003 (2006). 2005
6 Bilan du programme de l'OMS "3 by 5" (2) Accès à la PTME en Afrique sub-saharienne, 2005 80 Pourcentage de femmes enceintes infectées par le VIH ayant bénéficié d'ARV dans le cadre d'un programme de PTME Togo Taux de couverture (%) 70 60 Namibie Zambie Guinée Bissau Benin République de Centrafrique 50 Swaziland Burundi Ouganda 40 Gabon Rwanda 30 Kenya Zimbabwe 20 Lesotho Mozambique 10 Côte d’Ivoire PTME = prophylaxie de la transmission mère-enfant de Cock K. , IAC 2006, Abs. WEPL 02
Réduire la transmission par le sang • Programme d’échange de seringues et d’aiguilles pour les toxicomanes • Utilisation de matériels à usage unique de préférence ou correctement stérilisé – En milieu de soins – Mais aussi pour le tatouages, scarifications • Dépistage systématique des dons de sang (VIHVHB, VHC et autres …) • Proposition d’un traitement ARV des AES
Traitement préventif en cas d’AES • Circulaire ministérielle en France • Basée sur une trithérapie Arv très précocement (> 48 heures et au mieux avant délai d’une heure) • Après évaluation des risques – Aiguille de gros diamètre, piqure profonde, sang artériel ou grosse voie veineuse, patient VIH + connu ou avec facteurs de risque • Qu’en est-il en milieu tropical ? – Difficile à mettre en place – Mais indispensable pour tous…
Conclusions • Infection VIH : Maladie à profil « évolutif » – Découverte progressive de la pathologie – Variations majeures de l ’épidémiologie – Possibilités thérapeutiques en constante amélioration • Modification du champ de difficultés – Initialement (1981 -1985) : diagnostic – Secondairement (1986 -1996): prise en charge du SIDA – Actuellement (1997 -…): • thérapeutique au long cours • Stopper les nouvelles contaminations