RTECA Week 11 Patient Skills Communication 1 Patient


































































































































































- Slides: 162
RTEC-A Week 11 Patient Skills & Communication 1
Patient Communication 1. Interacting with the patient 2. Interacting with family and friends 3. Methods of Effective Communication 4. Age as a factor in Patient Interactions 2
Radiologic Technologist 1. Helping others 2. Working with people 3. Making a difference 4. Thinking critically 5. Demonstrating creativity 6. Achieving results 3
Abraham Maslow’s Hierarchy of Needs 4
Patient Dignity 1. Patients are usually in the lower levels of Maslow’s Hierarchy 2. Must always be remembered and respected 3. Difficult to maintain dignity when ill 5
Why is this important? PATIENT NEEDS 1. Altered states of consciousness 2. Environment 3. Fear of unknown 4. Vulnerable 5. Coping Mechanisms 6
Classification of Patients 1. Inpatients 2. Outpatients – Family – Friends 7
Methods of Communication 1. Verbal 2. Humor 3. Paralanguage 4. 5. 1. Professional Appearance 2. Physical Presence 3. Visual Contact Body Language Touch 1. Palpation 8
Verbal Communication 9
Communication thru Humor 10
Paralanguage Defines all of the audio information in a conversation beyond word choice Simply listening to someone’s voice, even if you can’t make out the words, conveys their emotional state 11
Body Language You could be talking to someone and your body language will convey something else entirely. Make eye contact occasionally you show an interest in that person and in what he or she is saying. A smile sends a positive message. Smiling adds warmth and confidence about you. Arms crossed or folded over your chest say that you have shut other people out and have no interest in them or what they are saying. Placing your arms at your side can make you look and feel confident and relaxed to other people around you. 12
Touch and Palpation 13
Radiographer’s Responsibility 1. Introduction 2. Explanation of exam 3. Inform patient how they will receive their results 4. Risks of examination 14
Rad Tech’s Role in Clinical Hx 1. Extract as much history as possible 2. Radiologists often do not even speak with the patient. 3. Radiologist can be focus on anatomy of interest 15
Desirable Qualities for Establishing Open Dialogue 1. Respect 2. Genuineness 3. Empathy 4. Polite 5. Professional demeanor 16
Data Collection 1. Objective: Signs that can be seen 2. Subjective: Perceived by the affected individual 17
Questioning Skills 1. Open-ended questions 2. Facilitation – encourages pt to elaborate 3. Silence – give pt time to remember 4. Probing questions – focus interview, provide more information 5. Repetition – rewording, clarifies info 6. Summarization – verifies accuracy 18
Leading Questions This is an UNDESIRABLE method of questioning. – Introduces bias to history 19
Chief Complaint 1. Focuses attention to the single most important issue. 2. Patients often have many complaints – Focus on primary reason for exam 20
You never know what you are going to get? 21
Special Condition Patients Traumatized Patients Visually Impaired Patients Speech and Hearing Impaired Patients Non-English Speaking Patients Mentally Impaired Patients Substance Abusers 22
23
Gerontology The study of aging and diseases of the elderly. By the end of the 20 th century 33 million, more than 12% of total population. In 1900 only 4%, of population 24
Key to a Successful Exam Plan of action Systematic problem-solving process – Assessment of data – Setting a goal – Establishing a plan – Safety in completing assignment – Evaluating the work 25
Communication The key to a successful exam for Technologist and Patient. 26
Human Diversity
What is Human Diversity? 1. Is also known as cultural diversity. 2. It means the inherent differences among people. 3. It addresses the entirety of the ways people are different and alike.
Characteristics of Human Diversity Age Disability Economic status Education Geographic location Organizational level Political affiliation Sexual orientation Ethnicity Family status First language Gender Lifestyle Physical characteristics Religion Work style or ethic
Globalization People go into other countries for: – Work – School – Medical care – Visit / Vacation – Live / Relocate – Refuge / Safety
Globalization’s Effect Nation, societies and businesses have become multicultural or cross cultural Strategies must be employed to understand cultural differences Strategies needed to mediate conflicts A concerted effort toward Cultural competency
Significant Diversity Traits Age Ethnicity Race Gender or sexual orientation Mental or physical disability
Age Cultures assign different values Baby Boomers (1946 – 1964) – – – 75 million born Overall healthy and educated Will be in the work force longer Age biases in western society – – Valuing you over age Viewing aging as a “bad” thing Forgetting contributions offered by the aging Considering seniors as mentally inferior
Ethnicity and National Origin Ethnicity refers to a person’s racial, national, religious, linguistic and cultural heritage. Overcoming Linguistic Differences – – Bilingual staff Medical interpreters Encouraging bilingualism Forms in different languages Many different cultures as demonstrated in everyday life and by statistical data: U. S. Census 2000.
Ethnocentrism and Racism Ethnocentrism is the belief that norms and values of their culture should be standard Racism is the belief that one race or culture is superior to others
Gender or Sexual Orientation Male vs. Female – 1900 female roles – Today's women – Glass ceiling Gender role stereotyping Gender identity Sexual orientation – Heterosexual – Homosexual – Bisexual Ksix Homophobia
Mental or Physical Disability Mental or physical ability is the capacity to perform cognitive and psychomotor tasks with average ability Those with disabilities have been shunned – Seen as objects or assistance, protection and treatment 600 million or 10% of the world have some form of disability
Elements of Cultural Competency Valuing Diversity Possessing the capacity for cultural self assessment Having a consciousness of the dynamics of cross cultural interaction Institutionalizing cultural knowledge Developing adaptations of service based on an understanding of multiculturalism
Empathetic Practices Communication Assessment and communication Negotiating
Areas of Cultural Diversity related to Health Care Communication Space Time Environmental control Biologic Variations Social organizations
Patient Vital Signs Medical Emergencies and Infection Control
Homeostasis A constancy in the internal environment of the body Naturally maintained by adaptive responses that promote healthy survival Primary mechanisms: – – – Heartbeat Blood pressure Body temperature Respiratory rate Electrolyte balance
Vital Signs Body Temperature Respiratory Rate Pulse / Heart Rate Blood Pressure Sensorium (mental alertness)
Importance of Vital Signs Indicates the patient’s immediate condition Can show improvement due to treatment Can show a decline in condition
Body Temperature Normal temperature: 98. 6 ° F – 1° - 2°F daily variation – Still considered normal: 97. 7 °F – 99. 5 °F Human body functions within a narrow range of temperature variations – Humans can survive between 93. 2 ° F and 106 ° F
Thermoregulation Shivering when cold Sweating when hot
Measuring Body Temperature – Oral – Rectal – Axillary – Tympanic – Temporal
Abnormalities in Body Temperature Hyperthermia – Fever, febrile – Temperature higher than 99. 5 °F Hypothermia – below normal range of 97. 7 °F – Due to Environment Medically induced Damage to hypothalamus
Respiratory Rate Respiratory System delivers oxygen to the body’s tissues & eliminates carbon dioxide – Pt will die without the removal of CO 2 and addition of O 2 Major muscle of ventilation: diaphragm Measured in “breaths per minute” – – – Adults: 12 – 20 bpm Children: 20 – 30 bpm Newborns: 30 – 60 bpm
Abnormalities of Respiratory Rate Tachypnea – Greater than 20 breaths per minute (adult) Bradypnea – decrease is breathing Dyspnea- difficulty breathing Apnea- no breathing
Methods of Delivering Oxygen Nasal Cannula Masks Ventilators Oxyhood
Pulse Oximeter Normal Pulse Oximeter = 95% to 100%
Pulse Adult – 60 to 100 beats per minute Children under 10 – 70 to 120 beats per minute
Measurement Radial artery Brachial Carotid artery Apical pulses
Abnormalities of Pulse Rate Tachycardia – Pulse rate increases by more than 20 bpm in resting adult – Greater than 100 bpm Bradycardia – Decrease in heart rate
Blood Pressure Measure of the force exerted by blood on the arterial walls during contraction & relaxation. Measured pressure when the heart is relaxed: Diastolic Measured pressure when the heart is contracted: Systolic Measured with a Sphygmomanometer
Blood Pressure cont’d Recorded in millimeters of mercury (mm Hg) with systolic over diastolic Normal adult systolic: 95 -140 mm Hg Normal adult diastolic: 60 -90 mm Hg 120/80 mm. Hg considered normal
Abnormalities of Blood Pressure Hypertension – Persistent elevation above 140/90 mm. Hg Hypotension – Persistent less than 95/60 mm. Hg
RTA Medical Emergencies and Infection Control Caution – some images may be disturbing to the viewer …but this is what we may see in the course of our work
TRAUMA- X-RAY READY
SPINAL INJURY PT
X-TABLE LATERALS CERVICAL SPINE
Dislocation of the C 3 and C 4 articular processes Note that C 7 is not well demonstrated
Some studies of spinal trauma have recorded a missed injury rate as high as 33%.
GSW TO ABD
QSW MARKING ENTRANCE /EXIT WOUNDS
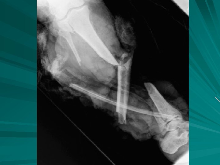
Fractured Forearm
Trauma and Surgical Radiography
NEAR DROWING
Compound Fx of Femur
General Priorities 1. Ensure an open airway (ABC’s) 2. Control Bleeding 3. Take Measures to Prevent shock 4. Attend to wounds or fractures 5. Provide emotional support 6. Continually reevaluate and follow up
Medical Emergencies • What a Radioilogic technologist should know • Common Radiology Emergencies
Medical Emergencies Sudden change in medical status requiring immediate action. For RT’s medical emergencies are rare – Recognize emergencies – Remain calm and confident – Avoid additional harm to the patient – Obtain appropriate medical assistance quickly – Know where crash cart is, emergency phone and code blue buttons
Major Medical Emergencies 1. 2. 3. 4. 5. 6. 7. ALOC Shock Anaphylactic shock Diabetic Crisis Respiratory Distress Cardiac Arrest Cerebrovascular accident
Head Injuries Levels of consciousness 1. Least severe – 2. More serious – 3. Can be roused, but drowsy Even more serious – 4. Responsive Responds to pinches or pinpricks Most serious – Comatose, non-responsive
Shock Hypovolemic – Loss of blood or tissue Cardiogenic – Cardiac disorders Neurogenic – Spinal anesthesia or damage to spinal cord Vasogenic – Caused by sepsis, deep anesthesia or anaphylaxis
Anaphylactic Shock An allergic reaction to contrast media – Iodinated Can happen quickly or have a delayed reaction – Requires prompt recognition and treatment from the technologist – More severe usually have quick onset – Less severe takes longer for reaction
Prevention and Signs - Symptoms Restlessness Maintain normal body temperature Apprehension Handle pt’s gently Tachycardia RT should work calmly and confidently Sudden blood pressure drop – Anxiety Cold –clammy skin – pallor
Diabetic Crisis 1. Hypoglycemia 2. Hyperglycemia
Hypoglycemia • Excessive insulin • Can result from normal dose of insulin & no food • Need carbohydrate
Hyperglycemia • Excessive sugar • Usually seen in diabetics • Pt. needs insulin
Respiratory Distress 1. Asthma 2. Choking
Asthma 1. Stressful situations 2. Inhaler or medical assistance 3. Remain calm and confident
Choking 1. Cannot speak 2. Universal distress signal 3. Encourage to cough 4. Heimlich Maneuver
Cardiac Arrest 1. Crushing pain in chest 2. Pain down arm 3. Begin CPR and use AED
Cerebrovascular Accident 1. Paralysis on one or both sides 2. Slurred or loss of speech 3. Dizziness 4. Loss of vision 5. Complete unconsciousness
Minor Medical Emergencies 1. 2. 3. 4. 5. 6. 7. Nausea and vomiting Epistaxis Vertigo and syncope Seizures Falls Wounds Burns
Nausea and Vomiting Tell pt to breath deeply and slowly Turn on side if possible or turn head Get emesis basin and moist cloths
Epistaxis - nosebleed
Vertigo and Syncope 1. Lack of blood flow to brain 2. Feel dizzy after laying down or standing for awhile 3. Lay patient down 4. Orthostatic hypotension 5. Loosen tight clothes and put moist cloth on head
Seizures Minor – – – Brief LOC Stare into space Slightly confused and weak Severe – – – Muscle contractions on one or both sides Drool Aura may occur and you must lay them on floor Pillow under head and move all objects around them – Afterwards ABC check Clear mucus PT is weak, disoriented and has no memory of seizure
Falls, wounds and burns Falls – Get appropriate help as needed and report incident to supervisor and get a medical assessment of pt Wounds – – Do not remove dressing Pay attn to any changes in dressing Place extremity above level of heart Apply pressure Burns – Maintain sterile precautions – Be extra gentle
Radiologic Technology You never know when a medical emergency may occur. Helping your patients depends on your abilities to stay calm and perform you duties!
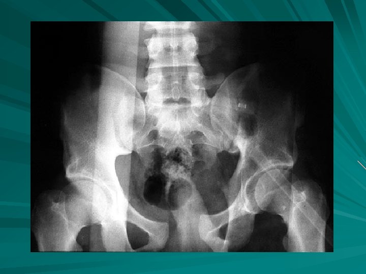
Zoomed lower pelvis demonstrating multiple fractures (arrows).
Zoomed bony thorax shows rib fractures
FX RADIAL HEAD
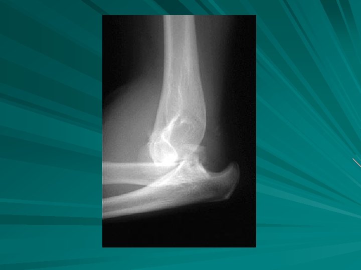
greenstick
comminuted Open fracture
Rt leg torn off after patient hit by a car
Third Degree Burn
INFECTION CONTROL
Microorganisms that cause disease: Bacteria Viruses Fungi Protozoa
Microorganisms Can grow in or on an animal or plant and cause diseases. Host: animal or plant that provides life support to another organism. Disease: Any change from the normal structure or function in the human body. Infection: Growth of a microorganism on or in a host.
Varicella Zoster (Shingles)
Disease occurs only when the microorganism causes injury to the host
Pathogen A disease producing microorganism. – Multiply in large numbers and cause an obstruction – Cause tissue damage – Secrete substance that produce effects in the body Exotoxins ( high body temp, nausea, vomiting)
Bacteria Strep Throat Bacterial Pneumonia Food Poisoning
Viruses Common cold Mononucleosis Warts
Oral Warts
Smallpox
Fungi Athlete’s Foot – Tinea pedis Ringworm
Protozoan Trichomonas Vaginalis – STD Plasmodium Vivax – Malaria
Chain of Infection
Nosocomial Infections Iatrogenic Infection Compromised Patients Patient Flora Hospital Environment Blood borne Pathogens
Types of Nosocomial Infections Iatrogenic Infection – related to physician activities Compromised Patients - weakened resistance; immunosuppressed Patient Flora - microbes in healthy people Contaminated Hospital Environment Blood borne Pathogens – Hepatitis B and HIV
Blood borne Pathogens Disease-causing microorganisms that may be present in human blood. Ex: Hepatitis, Syphilis, Malaria, HIV. Two most significant blood borne pathogens: Hepatitis B and HIV
Syphilis
Syphilis in the eye
How Blood borne Pathogens are Transmitted: You must make contact with contaminated fluids and permit them a way to enter your body. Contaminated body fluids can be saliva, semen, vaginal secretions, or other fluids containing blood (urine).
Controlling the spread of Disease Chemotherapy Immunization Asepsis – Medical – Surgical Disinfectants
Physical Methods of Controlling Diseases Handwashing Standard Precautions – Gloving – Gowns – Face masks – Eyewear
Personal Protective Equipment (PPE) Gloves Masks Gowns Protective Eyewear Caps
Universal Precautions Since there is no way you can know if a person is infected, you should ALWAYS use universal precautions: Wash your hands Wear gloves Handle sharp objects carefully Properly clean all spills Wear mask, eye protection, and apron if splashing is a possibility.
Airborne Precautions Patients infected with pathogens that remain suspended in air for long periods on aerosol droplets or dust. TB, Chickenpox, Measles Respiratory protection must be worn when entering pt room. Pt should wear mask.
Droplet Precautions Patients infected with pathogens that disseminate through large particulate droplets expelled from coughing, sneezing, or even talking. Rubella, Mumps, Influenza Surgical mask must be worn when within 3 feet of the pt. Pt should wear a mask.
Contact Precautions Patients infected with pathogens that spread by direct contact with the pt or by indirect contact with a contaminated object (bedrail, pt dressing). Methicillin-resistant staphylococcus aureus (MRSA), Hepatitis A, Varicella, Flesh-eating Virus All PPE should be used and equipment must be disinfected after use.
So What, and Who Cares? Students and Techs are challenged both physically and mentally by the microbial world. In this world of newly found, life-threatening diseases, education has become the key to survival. Health care providers must be committed to infection control so that diseases can be conquered!