Lecture 4 Radiographic Interpretation of Dental Caries ODRP






















































- Slides: 54
Lecture 4: Radiographic Interpretation of Dental Caries ODRP 755 Radiology II Theory & Interpretation Heidi L. Christensen, DDS, MS 1
Dental Caries • A process of decalcification • 50% of calcium and phosphorus in a particular area must be destroyed before decreased density can be seen on radiographs 2
Radiographic Criteria • Description of Depth of Lesion – E 0 = Sound, no caries – E 1 = Caries in the outer 1/2 of enamel – E 2 = Caries into the inner 1/2 of enamel to DEJ – D 1 = Caries through DEJ, into the outer 1/3 of dentin – D 2 = Caries into the middle 1/3 of the dentin – D 3 = Caries into the inner 1/3 of the dentin 3
4
Occlusal Caries 5
Occlusal Caries 6
Interproximal Caries • Most difficult to detect clinically • Interproximal caries usually begin just below the contact point 7
Caries Progression – Interproximal Caries 8
9
10
Interproximal Caries 11
Incipient Caries 12
Interproximal Caries 13
Interproximal Caries 14
Interproximal Caries 15
Interproximal Caries 16
Interproximal Caries 17
Facial or Lingual Caries 18
Facial or Lingual Caries 19
Facial or Lingual Caries 20
Recurrent Caries • • • Caries immediately next to a restoration Inadequate margins or excavation Pulpal necrosis Metallic restorations often hide Clinical examination 21
Recurrent Caries 22
Recurrent Caries 23
Recurrent Caries 24
Recurrent Caries 25
Root or Cemental Caries 26
Root or Cemental Caries 27
Cervical Burnout • Often mistaken for root caries 28
Cervical Burnout • Caused by – The great density difference between the cervical neck of the tooth and the tissues above and below it – Shape of CE contour – Root configurations – Poor horizontal angulation of the beam 29
Cervical Burnout • Found between CEJ and alveolar crest • Diffuse radiolucency generally viewed on periapical but not on bitewing • Clinical evaluation important – lesion looks BIG, if it is decay, you would be able to find it! 30
Cervical Burnout 31
Cervical Burnout vs. Root Caries 32
Radiation Caries • A result of therapeutic radiation • Caused by xerostomia, a common side effect • Caries begins at cervical region • Extensive decay very quickly • Pre-therapy dental evaluation and treatment is very important 33
Radiation Caries 34
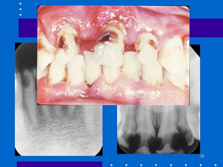
Rampant Caries • • • Children Poor dietary habits Extensive caries Proximal and smooth surface Socio-economic factors 35
Rampant Caries 36
Regressive and Traumatic Alterations of Teeth 37
Regressive Alterations • Attrition • Abrasion • Erosion 38
Attrition • • Physiologic wearing away Incisal, occlusal and interproximal surfaces Part of aging process Bruxism – pathologic attrition 39
Attrition – Radiologic Features • • • Change in normal outline Flat occlusal plane Loss of mamelon Pulp chamber, canal size Hypercementosis 40
Attrition 41
Attrition 42
Attrition 43
Abrasion • • • Non-physiologic wearing away Habits Toothbrush trauma Dental floss injury Occupational hazards 44
Abrasion – Radiologic Features • • Radiolucent defects at the cervical region Well-defined semilunar defects Pulp chambers sclerosed In case of dental floss injury, distal surfaces more involved 45
Abrasion 46
Abrasion 47
Abrasion 48
Erosion • • • Chemical cause No bacteria involved Diet Regurgitation Occupational hazards 49
Erosion - Radiologic Features • • Radiolucent defects Dietary acids – labial surface Regurgitation – mandibular lingual surface Occupational – all surfaces 50
Acid Erosion Soft Drinks 51
Erosion 52
Erosion 53
Questions? 54