PREVETION OF DENTAL CARIES INTRODUCTION Dental caries is










![B[1] According to location on individual teeth - Pit and fissure caries - Smooth B[1] According to location on individual teeth - Pit and fissure caries - Smooth](https://slidetodoc.com/presentation_image/3177500cf0a334feeac1b28641f845b1/image-11.jpg)

































































- Slides: 76
PREVETION OF DENTAL CARIES
INTRODUCTION Dental caries is defined as a progressive irreversible microbial disease affecting the hard parts of tooth exposed to the oral environment, resulting in demineralization of the inorganic constituents and dissolution of the organic constituent, thereby leading to a cavity formation. • The word caries derived from Latin meaning ‘rot’ or decay • Similar to the Greek word ‘ker’ meaning death • The relationship between diet and dental caries Bacterial enzymes + fermentable carbohydrates = acid, Acid + enamel = dental caries
CURRENT TRENDS IN CARIES INCIDENCE • In developed countries, caries prevalence declined in last decade, causes are multifactorial. Eg: communal water fluoridation. • In developing countries increase in caries prevalence, cause is increased use of refined carbohydrates.
CARIES SUSCEPTIBILITY JAW QUADRANTS • Bilateral distribution between the right and left quadrant of both maxillary and mandibular arches. • Maxillary teeth more susceptible than mandibular arch relate to gravity and saliva, with its buffering action, would tends to drain from upper teeth and collect around lower teeth.
CARIES SUSCEPTIBILITY OF INDIVIDUAL TEETH • • • Upper and lower first molar 95% Upper and lower second molar 75% Upper second bicuspid 45% Upper first bicuspid 35% Lower second bicuspid 35% Upper central and lateral incisor 30% Upper cuspids and lower first bicuspid 10% Lower central and lateral incisor 3% Lower cuspids 3% Teeth farthest back in the mouth are more frequently carious. Caries susceptibility of individual tooth surface occlusal > mesial > buccal > lingual
ECONOMIC IMPLICATION OF DENTAL CARIES • • • Factors changing the economic implication of treatment of dental caries : Economic status of population Increasing educational status Growing number of dental graduates Insurance programs Commercial pressure Governmental influences
CLASSIFICATION OF DENTAL CARIES A) Black’s classification CLASS I – cavities on the occlusal surface of premolars and molars, on the occlusal two-third of the facial and lingual surface of molars, on lingual surface of maxillary incisors. CLASS II – cavities on the proximal surface of posterior teeth CLASS III - cavities on the proximal surface of anterior teeth that do not include the incisal angle CLASS IV – cavities on the proximal surface of anterior teeth that include the incisal angle CLASS V – cavities on the gingival third of the facial or lingual surface of all teeth CLASS VI - cavities on the incisal edge of anterior teeth or occlusal cusp height of posterior teeth
B[1] According to location on individual teeth - Pit and fissure caries - Smooth surface caries B[2] According to the rapidity of the process - Acute dental caries - Chronic dental caries B[3] - Primary caries (virgin) - Secondary caries (recurrent)
PIT AND FISSURE CARIES - Pits and fissures with high steep walls & narrow base retention of food, debris, micro organisms fermentation acid production - Caries appear brown/ black, feel soft - Enamel bordering opaque bluish white - Large carious lesion with a tiny point of opening
SMOOTH SURFACE CARIES - Preceded by formation of microbial/ dental plaque - Begins just below contact point and appear in early stages as faint white opacity of enamel (chalky spot) slightly roughened surrounding enamel bluish white as caries penetrate enamel - Cervical carious lesion crescent shaped cavity (extend from areas opposite to the gingival crest occlusally to convexity of tooth surface)
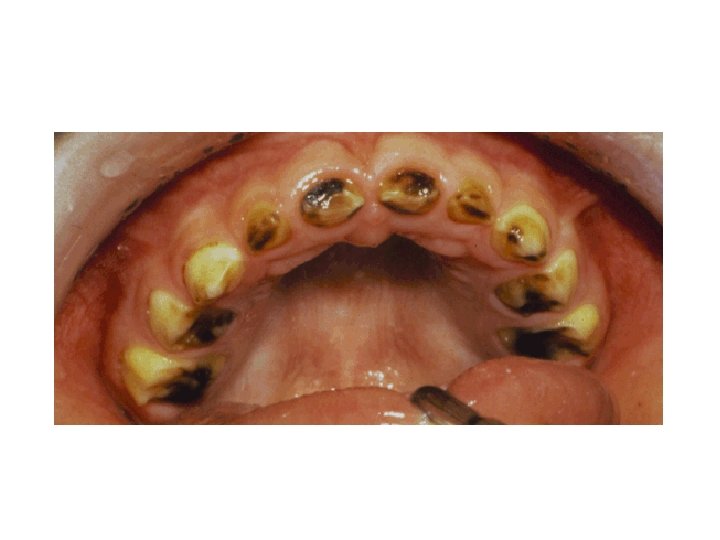
ACUTE DENTAL CARIES - Rapid clinical course & early pulp involvement - Process rapid little time for deposition of sec. dentin. Dentin stained a light yellow - Rampant caries, affecting deciduous dentition nursing bottle caries - Commonly 4 maxillary incisors followed by first molar and then cuspids - Absence of caries in mandibular incisors distinguished from ordinary rampant caries
• CHRONIC DENTAL CARIES - Progress slowly and leads to involve pulp much later - Sufficient time for both sclerosis deposition of sec. dentin - Carious dentin stained deep brown. - cavity shallow with min. softening of dentin - Pain and undermining of enamel not a common feature RECURRENT CARIES - Occurs in immediate vicinity of restoration - Poor adaptation of filling material
ARRESTED CARIES - Static or stationary caries - Exclusively in caries of occlusal surface - Large open cavity and lack of food retention - Superficially retained and decalcified dentin gradually burnished until it takes a brown stain, polished appearance and is hard EBURNATION OF DENTIN - Caries on proximal surface of teeth adjacent approx. tooth extracted
THEORIES OF CARIES FORMATION • Legend of the worm theory • Endogenous theories § Humoral theory § Vital theory • Exogenous theory § Chemical (acid) theory § Parasitic (septic) theory § Miller’s chemicoparasitic theory – Acidogenic theory § Proteolysis chelation theory § Sucrose – chelation theory • Other theories § Auto immune theory § Sulfatase theory
ETIOLOGIC FACTORS IN DENTAL CARIES • • Dental caries is a multifactorial disease in which there is an interplay of 3 principle factors. I. The host ( teeth, saliva etc. ) II. Micro flora III. Substrate (diet) In addition the fourth factor, time must be considered.
I. HOST FACTORS Tooth • Composition • Morphologic characteristics • Position
Composition of tooth Enamel: - Inorganic : 96% - Organic + water : 4% Dentin: - Organic matter +water : 35% - Inorganic : 65% Cementum: - Inorganic : 45 -50% - Organic +water : 50 - 55%
Morphological characteristics of the tooth • Feature predisposed to the development of dental caries is presence of deep narrow occlusal fissure/ buccal and lingual pits Tooth position • Which are malaligned, out of position, rotated or otherwise not normally situated, may be difficult to clean and tend to favor the accumulation of food and debris which subsequently lead to dental caries
Saliva • Composition • PH • Quantity • Viscosity • Antibacterial factors
Composition of saliva Inorganic: Positive ions: - Ca, Mg, K, Negative ions: - CO 2, Cl, F, PO 4, thiocynate Organic: Carbohydrates : glucose Lipids : cholesterol, lecithin Nitrogen : non- protein ammonia, nitrites & amino acids protein globulin, mucin, total protein Miscellaneous : peroxides Enzymes : carbohydrases, proteases, oxidases
PH of saliva • Determined by bicarbonate concentration • PH increases with flow rate, normal PH 7. 8 • Sialin is an argenine peptide described PH rise factor, present in saliva Quantity of saliva • Normal quantity 700 -800 ml per day • In case of salivary gland aplasia and xerostomia in which salivary flow may entirely lacking, resulting in rampant dental caries Viscosity of saliva • Thick, mucinous saliva increases the dental caries
Antibacterial properties of saliva Lactoperoxidase • They participate in killing of microorganisms by catalyzing the H 2 O 2 mediated oxidation of a variety of substances in the microbes • Utilizing thiocynate ions in saliva peroxidation generate highly reactive chemical compound that bond and inactivate general intracellular microbial enzyme system, as well as microbial surface compound. Lysozyme • Small, highly positive enzyme that catalyze the degradation of negatively charged peptidoglycan matrix of microbial cell wall
Lactoferin • Fe binding basic protein found in saliva with mol. wt. near 80, 000. • Tends to bind & link the amount of the free Fe which is essential for microbial growth Ig. A • Immunoglobulin in saliva • Inhibit adherence and prevent colonization of microbial on tooth and mucosal surfaces Other salivary components with protective function Proline rich protein • Mucus and glycoprotein • Because of their high proline content, there are rigid collagen like molecules designed to form a pseudo membranous layer in the hard and soft oral surfaces as well as on the oral flora. Aromatic rich protein • Statherin • It causes remineralization
Other host factors Age • Dental caries decreases as age increases • Root caries are common in elders • Gingival recession cemental exposure (improper brushing) Socioeconomic status • High low chance • Low more chance
II. MICROFLORA • Strep. mutans early carious lesions of enamel • Lactobacilli dentinal caries • Actinomyces root caries
Role of microorganisms in dental caries • Prerequisite for dental caries initiation • A single type of microbe is capable of inducing dental caries • Ability to produce acid prerequisite for caries induction • Streptococcus strains are capable of inducing caries • Organisms vary greatly in their ability to induce caries
Role of dental plaque • soft, non mineralized, bacterial deposit which forms on a teeth that are not adequately cleaned • Complex metabolically interconned highly organized bacteria/ ecosystem • Important component of dental plaque is acquired pellicle just prior or concomitantly with bacterial colonization and may facilitate plaque formation • Microbial in dental plaque streptococci actinomycetes veillonella • Strep. mutans chief etiological agent of dental caries
III. DIET • Increase in carbohydrate increase carious activity • Risk of caries is greater if the sugar is consumed in a form that will be retained on the surface of the teeth • Risk of sugar increasing caries activity if it is consumed between meals • Increasing caries activity varies widely between individuals • Upon withdrawal of the sugar rich foods the increased caries activity rapidly disappears • Carious lesion may continue to appear desperate to avoidance of refined sugar and maximum restriction on natural sugars dietary carbohydrates • High concentration sugar in solution and its prolonged retention on the tooth surface leads to increased caries activity • Clearance time of the sugar correlates closely with caries activity
THE CARIES PROCESS • Caries of enamel smooth surface caries pit and fissure caries • Caries of dentin • Caries of cementum
SMOOTH SURFACE CARIES • Earliest manifestation is the appearance of an area of decalcification, beneath dental plaque with a smooth chalky white area • Loss of interprismatic substance with increase in prominence and roughening of ends of enamel rods • Accentuation of incremental striae of retzius • As this process advances and involves deeper layer of enamel it forms a cone shaped lesion with apex towards DEJ and base towards surface of teeth
PIT AND FISSURE CARIES • Because pit and fissure provides more depth increased food stagnation with bacterial decomposition • Here caries follow direction of enamel rods and forms a cone shaped lesion with apex at outer surface and base towards DEJ Different zones present in lesion are Zone 1: translucent zone Advancing front of enamel lesion, not always present Zone 2: dark zone Referred as positive zone formed as a result of demineralization Zone 3: body of lesion Area of greatest mineralization Zone 4: surface zone Appears relatively unaffected
CARIES OF DENTIN • Initial penetration of dentin by caries may result in dentinal sclerosis • This is a reaction of vital dentinal tubules and a vital pulp, in which results in calcification of dentinal tubules, that tend to seal them off against further penetration by microorganisms • The different zones which are present in carious dentin are (beginning pulpally at advancing edge of lesion) Zone 1 : zone of fatty degeneration of Tome’s fibres Zone 2 : zone of degeneration Zone 3 : zone of decalcification Zone 4 : zone of bacterial invasion of decalcified but intact dentin Zone 5 : zone of decomposed dentin
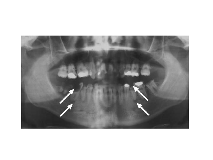
ROOT CARIES • Defined as soft progressive lesion that is found anywhere on root surface that has lost connective tissue attachment and exposed to oral environment • Microorganisms involved in root caries are filamentous • Microorganisms invade cementum, along sharpey’s fibres
INDICES USED TO ASSESSMENT OF DENTAL CARIES 1. 2. 3. 4. 5. DMFT index DMFS index DEF index Stone’s index Caries severity index Diagnosis of caries 1. Identification of subsurface demineralization (inspection/ palpation, radiographs) 2. Bacterial testing (caries activity testing) 3. Assessment of environment conditions like salivary PH, flow and buffering
METHODS OF CARIES CONTROL • There are various levels for prevention of dental caries these include 1. Primary prevention 2. Secondary prevention 3. Tertiary prevention
levels of prevention Primary prevention Secondary prevention Tertiary prevention Preventive services Health promotion Specific protection Early diagnosis and prompt treatment Disability limitation Services provided by the individual Diet planning, demand for preventive services, periodic visit to dental office Appropriate use of fluoride, ingestion of fluoridated water, use of fluoridated dentifrices Self examination and referral, utilization of dental services Utilization of dental services Services provided by community Dental health education programs, promotion of lobby efforts Comm. or school water fluoridation, school fluoride mouth rinse program, school fluoride tablet program, school sealant program Periodic screening and referral, provision of dental services Services provided by the dental profession Patient education, plaque control program, diet counseling, recall, reinforcement, caries activity tests Topical application of fluoride, supplements/ rinse preparation, pit and fissure sealants Complete exam, prompt treatment of incipient lesions, preventive resin restoration, pulp capping Complex restorative dentistry Removable and fixed prosthodontic minor tooth movement, implants Rehabilitation Utilization of dental services
METHODS TO CONTROL CARIES 1. Chemical measures 2. Nutritional measures 3. Mechanical measures
1. CHEMICAL MEASURES A vast number of chemical substances have been proposed for the purpose of controlling dental caries Ideal properties: • It should be safe for intraoral use • Must be able to penetrate dense microbial plaque • Agent used for topical application should not be systematically toxic if swallowed accidentally • Should not produce local tissue irritation • Should be rapidly bactericidal as contact time is less • Should possess degree of specificity • Should be destroyed or inactivated by GIT • Should have an acceptable taste • Medically important antibiotics should not be used
Chemical measures include: I. Substances which alter tooth surface or tooth structure II. Substances which interfere with carbohydrate degradation through enzymatic alteration III. Substances which interfere with bacterial growth and metabolism
I. SUBSTANCES WHICH ALTER TOOTH SURFACE/ TOOTH STRUCTURE • Chemicals falling into this categories include a. b. c. d. e. Fluorides Iodides Bisbiguanides Silver nitrates Zinc chloride and potassium ferrocyanates
Fluoride • Most widely used and promising chemical in this category • Fluorides have been administrated principally in two ways a. Systemic application eg: - School water fluoridation, community water fluoridation, milk fluoridation, self fluoridation b. Topical application eg: - Sodium fluoride, aciduated phosphate fluoride, stannous fluoride • A fluoride concentration of 1 ppm in drinking water is associated with a marked decrease in dental caries
• Other methods of using fluorides are Ø As dietary supplementation of fluoride Ø Fluoride dentifrices Ø Fluoride in mouth washes/ rinses Ø Fluoride incorporated in chewing gums and dental floss
• Rinses for caries reduction Rinse Concentratio n PH Application Aqueous Na. F 0. 2% 7 Once a wk/ once every 2 wk Aqueous Na. F 0. 5% 7 Once daily Aqueous APF 0. 02%` 4 Once daily
• • • The effect of fluoride influencing its anticaries actions are: Interference in enzymatic process of bacteria Direct bactericidal action Reduction of plaque formation Enhancement of enamel remineralization Stimulation of formation of large appetite crystal Lowers the solubility of enamel
Iodine • Used as a antibactericidal mouth rinses • Kills microorganisms immediately • Disadvantages : metallic taste, stain metallic or composite restorations Bisbiguanides • The two most common commercially available bisbiguanides are: a) Chlorohexidine b) Alexidine • These are potential anticaries agents • They are bactericidal • Have both hydrophobic and hydrophilic constituents and possess a net +ve charge – adsorbs –vely charged membrane surface and damage to the membrane by breaking permeability barrier
• Disadvantages 1. 2. 3. 4. 5. Stains teeth and dorsum of tongue Evidence of bacterial resistance Bitter taste Mucosal irritation and desquamation Allergic reaction Silver nitrate, zinc chloride and potassium ferrocyante - seal off the enamel caries invasion pathway by getting impregnated to the enamel
II. SUBSTANCES WHICH INTERFERE WITH CARBOHYDRATE DEGRADATION THROUGH ENZYMATIC ALTERATIONS • v v - Includes: 1. Vitamin K 2. Sarcoside Vitamin K Vit. K was found to prevent acid formation in incubated mixtures of glucose and saliva Sarcoside Sodium-N-lauryl sarcosinate & sodium dehydroacetate were promising enzyme inhibitors or antienzymes. They have the ability to reduce the solubility of powdered enamel
III. SUBSTANCES WHICH INTERFERE WITH BACTERIAL GROWTH AND METABOLISM Includes: • Urea and ammonium compounds • Chlorophyll • Nitrofurans • Antibiotics • Caries vaccines
Urea and ammonium compounds • Potential anticariogenic agents. • Urea degradation by urease ammonium neutralize acids • They are cationic antiseptic and surface active agents • More active against GPB. • Mechanism of action: - +vely charged molecules reacts with –vely charged cell membrane phophates and thereby disrupts the cell wall structure microorganisms. Eg: - benzathonium chloride, benzalleonium chloride, cetylpyredinium chloride
Chlorophyll • Water soluble form of chlorophyll is capable of preventing or reducing the PH fall in carbohydrate • Saliva mixture invitro chlorophyll is bactriostatic Nitrofurans • These compounds have been found to exert bactriostatic and bactriocidal action • Act on both aerobic and anaerobic microorganisms • Eg: - furacin 0. 2% cream
Antibiotics • Penicillin: - as an anticariogenic compound, act on cell wall synthesis disadvantage: resistance • Erythromycin: - act on bacterial protein synthesis Disadvantage: diarrhoea and resistance • Kanamycin: - act on bacterial protein synthesis. It reduced S. Mutans and S. Sanguis population in plaque Disadvantage: nephrotoxicity and ototoxicity • Others: - spiramycin, tetrcycline, tyrothricin, vancomycin Caries vaccine • Caries vaccine dates back to a period, when lactobacilli were thought to be of paramount of importance. Oral administration of S. Mutan vaccine leads to accelerated clearance S. mutans from mouth.
NUTRITIONAL MEASURES The chief nutritional measures advocated for the control of dental caries is restriction of refined carbohydrate intake. Other measures include - Avoiding sugar that retains of teeth surface - Avoiding sugar in between meals - Eating of phosphated diets
Phosphated diet Phosphates are anticariogenic sodiummeta phosphate appear to be most effective. Phosphate exhibit their cariogenic action via local factors like: 1. Reduction of enamel solubility 2. Buffering effect in neutralizing salivary plaque 3. Rendering fats, carbohydrates and proteins which are less cariogenic 4. Interference with enzymatic process on enamel surface to increase host resistance 5. Decrease in bacterial adhesion 6. Interference with enzymatic process on enamel surface to increase host resistance 7. Interference with synthesis of extra cellular polysaccharide formation 8. Maintenance or increase of plaque calcium and phosphorous level. • Other inhibitors like pyridoxine, fat, tannic acid, xanthines, constituents of cocoa butter are believed to have caries protective factors. Nutritional or dietary means of caries control is impossible to achieve on basis of mass prevention program
MECHANICAL MEASURES • 1. 2. 3. 4. 5. 6. This refers to procedures specifically designed for and aimed at removal of plaque from tooth surface methods for cleaning tooth mechanically are: Prophylaxis by dentist Tooth brushing Mouth rinsing Use of dental floss or tooth picks Incorporation of detergents foods in diet Pit and fissure sealants
Dental prophylaxis • Careful polishing of roughened smooth surface and correction of faulty restoration decreases the formation of bacterial plaque and there by reducing the development of new carious lesion Tooth brushing Types of tooth brushing - Manual - Powered - Sonic and ultrasonic - Ionic ADA specification for a tooth brush - 1 - 1. 25 inches length - 5/16 – 3/8 inches in width - 2 – 4 rows of bristles - 5 -12 tufts per row
Mouth rinsing • Use of mouth wash for the benefit of its action in loosening food debris from teeth has been suggested to be of value as caries control measures. Dental floss • Dental flossing is effective in removing plaque and dislodge the irritating matter that is real source of disease. • Used in type I gingival embrasures It is available in: - Multifilament – twisted / non twisted - Bounded / unbounded - Thick / thin - Waxed / non waxed Oral irrigators - Use of flushing devices - Irrigation devices composed of a built in pump and a reservoir - It can also be used to deliver antimicrobial agents
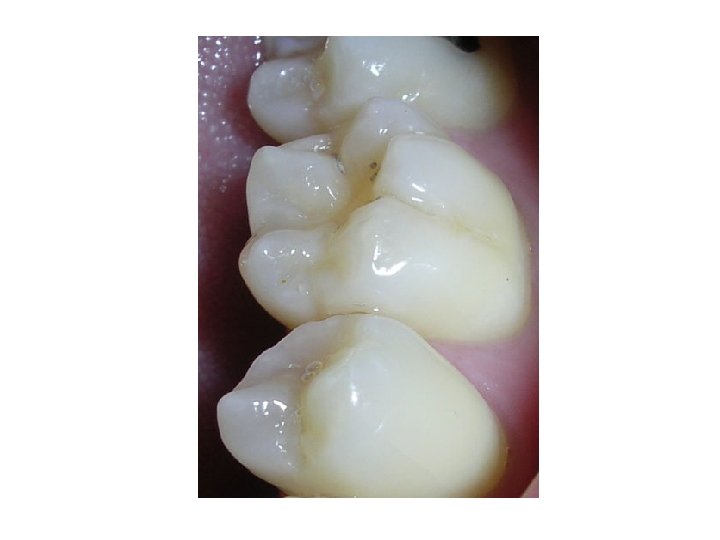
Detergent foods • Fibrous food in diet prevent lodging of food in pit and fissure and acts as detergent Chewing gum • Chewing gum tend to prevent caries by mechanical cleaning action Pit and fissure sealants • A sealant is a dental resin that is firmly bounded to enamel surface and isolates pit and fissure from caries producing conditions in oral environment • Types: 1 st generation – ultraviolet light activated 2 nd generation – chemical activated 3 rd generation – visible light activated 4 th generation – fluoride containing
• Examples of pit and fissure sealants alphadent helioseal F helioseal Seal – rite baritone L 3 concise white sealant concise light cure white seal
CONCLUSION Dental caries is an irreversible process. It is a disease of modern man and its manifestation persist throughout life. There are various methods of control and prevention of disease. It is always better to prevent disease. Once occurred it has to be controlled as it has dangerous sequale.
THANK YOU