High Altitude Health Effects Dr Demet Demirciolu High






































































- Slides: 70
High Altitude Health Effects Dr. Demet Demircioğlu
High Altitude • International Society for Mountain Medicine: • High altitude = 1, 500– 3, 500 m • Very high altitude = 3, 500– 5, 500 m • Extreme altitude = above 5, 500 m
High Altitude Environment • Air density – key factor for health related issues • Air pressure (barometric) lessens as altitude increases – As altitudes increases, less air above pressing down
Air Pressure - Altitude • Less air pressure – less dense air – “thin air” – Air holds less molecules per area – Individual gas’ pressure is less • 3 important consequences: – Lower number of oxygen molecules / area (less pp. O 2) – Lower number of water molecules / area (lower humidity) – Less and thinner air above to shield from harmful sun rays
High Altitude Environment Health • Oxygen – Lower air pressure – lower oxygen content in air – Major effect for health • Humidity – Lower air pressure – lower water content in air – Dehydration risk • Sun – less atmospheric protection from – More UV ray exposure
UV Increases at Altitude
Water Vapor Decreases at Altitude
Oxygen and Health The Quick Tour • Oxygen needed for production of ATP – Key energy molecule of the body – Made in every cell of the body - mitochondria – Needed for function and even survival of cells/body – Hypoxia – tissues don’t have enough O 2 – Can’t produce normal quantities of energy • Body can produce ATP without O 2 – anaerobic metabolism or cellular anaerobic respiration – 13 times less efficient
O 2 - Air to Mitochondria – ATP The Quick Tour • Lungs’ function – air (O 2) to blood • Red blood cell (RBC) – carries bulk of O 2 in blood • Circulatory system - carries O 2 rich blood to tissues • Mitochondria – uses O 2 to manufacture ATP, the energy molecule
Oxygen from Air to Blood
O 2 into blood, then into RBC, on to hemaglobin – normally > 97 % sat RBCs in vessel Hemaglobin molecule
O 2 - Lung to Circulation to Tissue
O 2 into Tissues, Cells, Mitochondria
O 2 Facts • rest O 2 consumption – 250 ml / minute • rest amount of O 2 from blood – 25 % • Healthy adult minute ventilation 5 – 8 l/min • Vt 500 ml, 7 ml/ kg, RR 12 – 20 bpm • VO 2 max 45 ml/kg/minute • VO 2 max 3. 5 l / minute
Problem with Altitude – Low 02
Hypoxemia and Altitude
Hypoxemia Hinge Points Oxygen Carrying Altitude O 2 Sat • Normal O 2 sat > 97 • 94 % • 2000 m sat less than 94% – pp. O 2 blood - 70 – Humans work to keep O 2 at or above • 90 % – Below O 2 content drops dramatically – Hypoxia can occur – low energy production • 80 % – Cognitive dysfunction – Other organ dysfunction • 3500 m sat less than 90 % • 5500 m sat less than 80 %
Oxygen Content – pp. O 2
Acclimatization Adjusting to Thin Air, Low Oxygen • Begins 1500 m (5000 ft) to 2000 m (6500 ft) • Intensity depends upon how high, how fast “hypoxic stress” • Three phases – Immediate – Intermediate (days) – Long term (weeks to 2 mos)
Acclimatization Immediate • Cerebral • Lung – increased respiratory rate – increased tidal volume – Pulmonary artery vasoconstriction - V/Q – increase O 2 in alveoli - blood • Cardiovascular – increased heart rate / contraction – increased BP (10 mm Hg)/ venous tone – increase DO 2 • DO 2 = CO x O 2 content blood (hgb x %sat) • CO = HR x stroke volume – Increase flow (up to 24 % at 4000 m) – More O 2 to highly O 2 dependant brain • Digestive – Decreased appetite, digestion – decreased energy demand for taxed body
Acclimatization Intermediate - Days • Kidney – bicarbonate diuresis for acid base balance – Hyperventilation causes blood alkalosis – Kidney compensates • Pulmonary – Ventilation increase and V/Q matching continue for up to one week – PHTN continues (mean 25 mm. Hg – mild) • 2, 3 DPG – Molecule in RBC that allows Hgb to unload O 2 easier into the tissues
Acclimatization Long Term, Weeks – 2 mos • Polycythemia – Kidney puts out erythropoietin – stimulates bone marrow to make more RBCs • Increased RBC mass – More Hgb • Increased muscle capillaries – More DO 2 to exercising muscles • Increased myoglobin – Muscle protein holds, stores O 2 • Mitochondria - aerobic – Decrease number – More efficient O 2 use • Increased anaerobic metabolism – Outside mitochondia – Increased efficiency • Heart – HR stays higher – BP comes down
Adaptation Generations • Genetic selection of advantageous traits for altitude • Three populations studied – Andeans • Above 4000 m (13, 000 ft) • Increased HGB – Tibetans and Nepalese • • Above 4000 m (13, 00 ft) Increased ventilation (breathing) Increased blood vessels, and circulatory performance Cellular energy – anaerobic and efficient – Amhara people Ethiopia • • Above 3500 m (11, 500 ft) Normal ventilation Normal blood vessels Cellular energy – anaerobic and efficient
Adaptation Generations • Adapted populations have a different set of genes (natural selection) that essentially, augment acclimatization – U College London – U of Colorado – Mayo • Different level of expression of hypoxia beneficial genes – 2010 – Science and PNAS - multinational team, led by U College London, Hugh Montgomery • Tibetans at 15, 000 ft have a variant of EPAS 1 gene (controls HIF-1) • HIF = Hypoxia-Inducible Factor (discovered 1995)
Very Exciting • HIF – Hypoxia Inducible Factor – Discovered 1992 • Hopkins team investigating erythropoeitin – “transcription factor” – Turns on hundreds of genes helpful to acclimatization • All three populations of high altitude people have upregulated HIF pathway • Genes turned on by altitude can help understand hypoxia tolerance and develop therapies • Important in cardiac and pulmonary disease
What to Expect at Altitude Normal Acclimatization Response • Fatigue – Common – Lasts up to 48 hours – Due to energy availability • Mild Shortness of Breath – Due to increased need for ventilation – 2 – 4 days • Mildly increased HR, BP – Due to increased DO 2 – BP Up to a week (10 mm. Hg) – HR stays up • Increased diuresis – Up to 4 days • Poor performance – Mental but especially physical – Up to a week • Weight loss – Diuresis – Decreased appetite • Disturbed sleep – Periodic breathing – Due to need to hyperventilate, and subsequent alkalosis
USArmy Institute for Environmental Medicine • 4, 000 ft (1200 m) – physical performance • 8, 000 ft (2440 m) – cognitive performance • 10, 000 ft (3, 050 m) - judgement
Physical performance • After acclimatization (2 weeks) level of fitness performance depends upon altitude – 1% loss for every 100 m above 1500 m • 90 % at 2500 m (8, 200 ft) • 75 % AT 4000 m (13, 100 ft) • 65 % AT 8000 m (26, 240 ft)
Altitude Sickness Failure of Acclimatization • • • Acute mountain Illness Sleep disordered breathing HAPE – high altitude pulmonary edema HACE – high altitude cerebral edema HARH – high altitude retinal hemaorrhage Chronic Mountain illness
AMI – Risk Above 2500 m (8200 ft) Cause: • lung, cardiovacular, renal, energy Timing / treatment • stress • Increased cerebral flow • Symptoms – – Fatigue HA Light headedness Anorexia, nausea, vomiting Disturbed sleep • No lab / Xray tests • • 4 – 6 hours after arrival Worse after first night Resolves two days Treatment – – – NSAIDs/tylenol Acetizolamide (48 – 72 hrs) Dexamethasone (48 – 72 hrs) If does not resolve descend If severe – oxygen 2 – 4 l/min
Nasal O 2
Sleep Disordered Breathing Above 3500 m (11, 500 ft) • Periodic breathing – Periods of rapid breathing during sleep – Cycle between normal shallow ventilation of sleep, hyperventilation to maintain O 2 sat • Can disrupt deep sleep – Frequent arousals – Less time in REM – deep sleep • Oxygen can help • Resolves 2 – 3 days
HACE / HARH Above 4500 m (14, 760 ft) HARH HACE • Cause – Leak from cerebral blood vessels – brain swelling – microhemorrhage • Sxs – – Start 6 – 12 hrs Confusion Impaired motor fxn /gait Stupor to coma • Tests – MRI • Treatment – – Descend ASAP Oxygen Hyperbaric oxygen dexamethasone • Similar to HACE – Retinopathy – microhemorrhage
Picture Brain Edema
Portable Hyperbaric Chamber
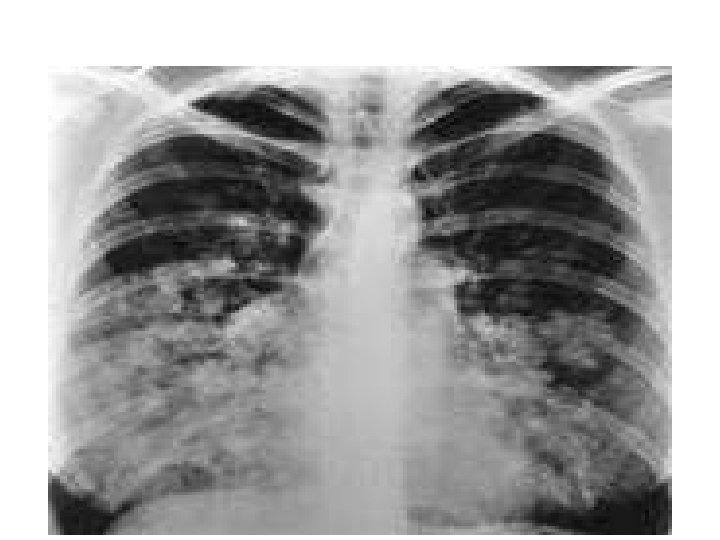
HAPE Above 4500 m (14, 760 ft) Pathophysiology • Severe pulmonary Hypertension • Some areas pulmonary vascular bed overperfused • Blood vessel injury • Fluid leak into lung • Lung edema – water – Worsens gas exchange Clinical • 2 – 4 days after arrival • SOB • Cough • Hemoptysis • Dx – Crackles – Xray
PHTN
HAPE Treatment • • • Oxygen Descent Hyperbaric chamber Positive Pressure Ventilation B – agonist inhalers Pulmonary vasodilators – Nifedipine – sildenafil
Chronic Mountain Illness Monge’s Disease Above 3000 m (9, 840 ft) • Polycythemia – Hgb > 20 • Chronic PHTN • SXs – Poor mental function – Poor organ function – Total body edema • Treatment – descend
Risk of Altitude Sickness • Risk by altitude – AMI - above 2500 m 20 %, above 4500 m 50 % • Sleep disordered breathing 3500 m – HAPE – above 4500 m 5 - 10 % • slow ascent from 2000 m only 1 – 2 % – HACE – above 4500 m 1 – 2 % – HARH – above 4500 m 1 - 2 % – Death zone – above 8000 m – acclimatization not possible, survival – hours, days max – Adaptation – not above 6000 m, 19, 700 ft – Everest- 8850 m, 29000 ft • Base camp 5100 m (16, 728 ft) – 5400 m (17, 712 ft)
Risk of Altitude Sickness • Risk by speed – Above 3000 m (9800 ft) • No more than 500 m /day if low risk AMI • No more than 350 m / day if high risk AMI • Every two days rest for a day • If ascend high quickly, acetazolamide and decadron • Risk by time at altitude – length of hypoxic stress – Pikes peak (4, 270 m, 14, 000 ft) – low rate – Up to 4000 m (13, 100 ft) hours • Risk by sleeping altitude – Above 2750 m, 9, 000 ft – Associated with hypoxic episodes – Hike high sleep low • Pre acclimatization prior stay at altitude - lowers risk – 4 days – Within months • Risk by history of AS – at risk if go above 2500 m (8200 ft)
Risk by Medical Illness Can’t Compensate for Low pp. O 2 • Lung disease • Cadiovascular disease – CAD – CHF • Anemia – Hct < 30, Hgb < 10 • Hemaglobinopathy – Sickle cell, etc. ; 2, 3 GDP deficiency • Sleep apnea
Recommendations Going to Altitude – Above 2000 m • People are highly variable in acclimatization – Genetically determined (low PDP 2 gene expression – intolerant of altitude) – Not a function of fitness – Older age (> 50) may be mildly protective against Altitude Sickness – Women slightly higher risk – Underlying diseases: • Lung disease • Heart disease
Risk • Can’t asses with current technology • Hypoxic exercise – not predictive • Future gene array or hypoxic HIF levels • • For now: Altitude History of AS Underlying medical conditions
Recommendations • If history of AMS / travel above 2500 m (8200 ft) ft – acetazolamide – 24 hrs before, and for 48 hrs into stay – 250 mg bid • First night sleep at less than 9000 feet (2750 m) – (ARC – UC) • Rest for 2 – 4 days – Vigorous exercise may prompt AMI • Creating tissue hypoxia • Gradual activity increase over week • Signs of AMI – 500 - 1000 m descent
Recommendations • Alcohol, sleeping pills, other respiratory depressants – avoid 2 days to one week • Caffeine – do not cold turkey – a respiratory stimulant • Avoid salty – increases BP • No tobacco – CO impairs O 2 transport • Carbohydrates – best fuel for high altitude – Helps aerobic / anaerobic metabolism
Above 3500 m • If rapid significant risk AS – Acetazolamide – Decadron prophylaxis – O 2
Altitude tolerance - common cardiovascular and pulmonary diseases Travel to altitudes above 2000 m inadvisable: • Cardiovascular diseases – Within 3 months of myocardial infarction, stroke, ICD implantation, thromboembolic event – within 3 weeks – Unstable angina pectoris – Before planned coronary interventions – Heart failure, NYHA class >II – Congenital cyanotic or severe acyanotic heart defect • Pulmonary diseases – – – Pulmonary arterial hypertension Severe or exacerbated COPD (GOLD stage III–IV) FEV 1 <1 liter CO 2 retention Poorly controlled asthma
Travel to altitudes of 2000 -3000 m permissible: • Cardiac diseases – – – asymptomatic or stable CAD (CCS I–II) Stress ECG normal up to 6 METs Normal performance capacity for age Blood pressure under good control No high-grade cardiac arrhythmia No concomitant illnesses affecting gas exchange • Pulmonary diseases – Stable COPD or asthma under medical treatment, with adequate reserve function for the planned activity • For travel to altitudes above 3000 m: – Evaluation by a specialist in altitude medicine and physiology ICD, implantable cardiac defribrillator; NYHA, New York Heart Association; COPD, chronic Obstructive pulmonary disease; GOLD, Global Initiative for Chronic Obstructive Lung Disease; FEV 1, forced expiratory volume in 1 second; CHD, coronary heart disease; CCS, Canadian Cardiovascular Society; MET, metabolic equivalent of task
O 2 requirement 2000 m (6500 ft) – 3000 m(9840 ft) • O 2 Sat greater than 95 % - OK • O 2 Sat less than 92 % - need O 2 • Between 92 – 95 % assesment – If concurrent lung / heart disease – O 2 – Rule is 2 liters • if no O 2 2 liters / min • If O 2 2 liters / min above base - chronic lung disease
SAS 2000 m (6500 ft) • Worse at altitude • 1500 m – diamox • 2500 m - O 2 with CPAP
Pregnancy • High altitude communities – Lower birth weights, though developmentally OK – Higher incidence of PIH, preeclampsia, eclampsia • Physiology – Between 2500 and 3000 m, in utero Hgb increases • Recs – Up to between 2500 (8, 200 ft) and 3000 (10, 000 ft) safe
Pediatrics • Younger children (less than 8 y. o. ) progressively more at risk (up to 4 x) for hypoxia and altitude sickness – Limited ability to compensate • Teens twice the risk • Recs – Absolutely no child above 3500 m (11, 500 ft) – Young children not above 3000 m (10, 000 ft) – Teens acclimatization and great care above 3500 m (10, 000 ft)
Water Dehydration – At 6000 m or feet – loose twice as much water • Water through skin and breathe – Hypohydration – increases risk of AMS • 1999 – Basnyat – AMS risk increases by 60 % • Less than 3 Liters per day – Hyperhydration – increases risk for AMS/HAPE/HACE • 2009 – Richardson – increased risk • Above 4500 m Symptoms • Lack of perspiration • Overheating • Headache • Light headed • Fatigue • Dark (concentrated urine)
Temperature • Drops 3. 5 degree F for every 1000 ft • Drops 6. 5 degree C for every 1000 m • Contributes to decreased humidity at altitude
Water Hydration Recs • Usual daily fluid intake – 8, 8 oz glasses water /day – ½ body weight (lbs) in ozs • Twice usual intake – 3 – 5 Liters / day • Key to start day, exercise hydrated – O/N lose hydration – Data is that most altitude hikers start hypohydrated – 16 ozs to start – Altitude exercise 8 ozs every 20 minutes
Sun UVB &UVA Altitude • For every 1000 ft altitude 4 – 8 % more UVB exposure • So at 8000 ft – more than 30 % more exposure Other effectors • • 85% increase from snow reflection 25% increase from white-water reflection 50 % increase from water reflection 80% of UV rays pass through cloud 20% from sand grass reflection - and 40% when wet 15% reflection from concrete buildings 50% can be reflected into shaded areas 50% UVB and 80% UVA passes through the upper 50 cm of water
UV Exposure Skin Adverse Effects • Burn • Aging • Skin cancer Recs • Micro zinc oxide 5 % - only ingredient that blocks all of UVA and UVB • SPF – 30 at least – Sun Protection Factor • amount of UV radiation required to cause sunburn on skin with the sunscreen on, as a multiple of the amount required without the sunscreen • how long one can stay in the sun • If in water or sweating – water resistant • If in sun more than 30 minutes • Fresh screen
UV Exposure Eye Complications • Acute – Photokeratitis - corneal burn – snow blindness – Photoconjunctivitis – conjunctival burn • Chronic – Pterygium – conjunctival growth – Cataracts – retinopathy Guidelines – eye wear • 99 -100% UV absorption • Polycarbonate or CR-39 lens (lighter, more comfortable than glass) • 5 -10% visible light transmittance “glacier glasses” • Large lenses that fit close to the face • Wraparound or side shielded to prevent incidental light exposure • If out more than 30 minutes
High Altitude Living – Healthy Colorado – Highest State • J of Epi and Community Health - 2011 – Colo – lowest death rate from cardiovascular disease • Lower rate of HTN – Colo – lowest death rate lung and colon CA • J of Epi and Community Health – 2004 – Greece - Lower rate of total and cardiovascular deaths at altitude • Robert Wood Johnson foundation – Lowest rate of obesity USA – Colorado – 19. 8 % • 7 / 10 counties in US with greatest longevity – In Colorado – average altitude
High Altitude Living - Unhealthy • J of Epi and Community Health - 2011 • High rate of skin cancer Colo • Colorado – always in top 10 states suicide rate • Similar data from around the world • Perry Menshaw U of Utah, Brain Institute – Altitude above 6000 ft is associated with suicide rates
Mechanisms • CV health – altitude good for blood vessels and circulation – Vessel growth and plasticity • Vit D (from sunlight) may protect against colon and other cancers • COPDers (smokers) do not tolerate Colo • Hypoxemia may promote anxiety / depression