Differential diagnostics of pain in the Head and

























































- Slides: 57
Differential diagnostics of pain in the Head and Neck region.
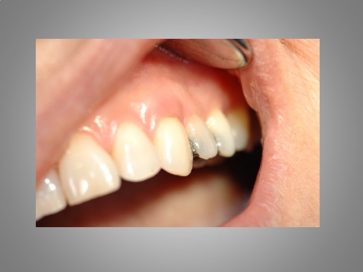
• 19 years old male. A few days earlier started the pain in the submandibular area. The intraoral examination show out the edema, and erythema of the oral mucosa around 47 region. Dg. Th.
• 32 years old woman. 3 days earlier started sensitivity to mastication and cold and hot on the right side up and down. She want to be filled carious lesions in this region, to remove pain. Dg? Th?
The pain • Uncomfortable sense caused by external harmful effect, deterioration of health or bad psychic condition.
Types of pain • physical • Neurogenic • pszichogenic
Head and neck pain physical origin • • • Dental(endodontal, periodontal) Mucosa (erosions, ulcers, trauma) Ear (otitis, trauma, Eustach) Eye (inflammation, high pressure, trauma) Nose, sinuses (inflammation) Salivary glands (inflammation, stone, tumor) Pharynx (inflammation, trauma, tumor) TMJ (trauma, inflammation) Neck(Eagle sy. , trauma) General (angina, infarctus, thyreoiditis)
Sinusitis maxillaris
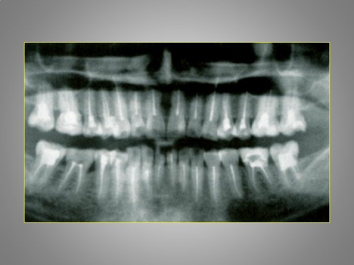
Types of orofacial pain Odontalgia : - Exposed dentin - Caries - Pulpitis - Apical periodontitis - Craced tooth sy. - Occlusal trauma - Periodontal abscessacute necrotising gingivitis - Periodontitis
Eagle syndroma
Pain with neural origin • • • Neuropathy Neuritis (herpes simplex and zoster) Neuralgia (trigeminus, Glossopharyngeus) Burning mouth Causalgia (post traumatic pain in the nerve)
Pain with psychic origin • Similar to neural pain, but less characteristic and causing facros are pszicholability, drugs for CNS, mental disorders. • BE SO CAREFULLY!!!!!
Pain assessment „Socrates” • • Site Onset Character Radiation Associations Time course Exacerbating/relieving factor Severity
Detecting, monitoring pain • Which number sign of your pain? • Which number represent the pain strongest and lightness cases? Which number represent the pain now? • Which number represent the tolerable level of pain? • 0 = No pain 1 -3 = Mild pain: Only a little modify the everyday life 4 -6 = Middle pain: Every day life much more difficult 7 -10 = Severe pain: The pain is the strongest effect in your life
Important questions Localization When started? How changed it? Is there any change of intensity in a time of day? Continious or fluctuating the pain? What kind of your pain? Sharp or blunt, deep or superficial, convulsive, burning? • When stronger the pain? Moving, sitting, in bed, bend forward, sport? • Which factors can eliminate the pain : hot, cold, drogs, massage? • • •
Examination • Extraoral and intraoral inspectio. Signs of the inflammations. Tumor, calor, rubor, functio laesa. • Palpation of the laesion, lymphatic nodes, TMJ, periapical areas • Biting, cold, hot, percussion, bend forward
Caries Pain - food penetration - esthetic disorder - bad smell and taste - gingivitis Big lesion - X-ray, fiberoptic - change of tha approximal contour
Jég -20 o. C Spray -40 o. C Szénsavhó -70 o. C
TMJ
N. T. I. -tss Nociceptive Trigeminal Inhibition Tension Suppression System
Indikációs terület • Parafunkciós mozgásokból adódó fogászati és nem fogászati jellegű panaszok • Rejtélyes fognyaki kopások és érzékenységek • TMI ízületi panaszok • Harapási korlátozottság • Fej, nyak, hátfájások • Alvászavarok
Pressning Balanserad Exkursiv
Tinnitus Tensor tympani
FDA 510(k) Premarket Notification #K 010876 of the NTI Tension Suppression System There are no additional precautions or safety risks when using an NTI-tss to suppress muscle contraction intensity when the condition being treated is migraine and/or tension-type headache, over its current indication (suppression of clenching and TMJ syndrome).
The burning mouth syndrome • Long history (months, years) of burning sense and pain mainly on the tongue (just like scald with something –without pyhisical injuries). • The patients are mainly women after menopause. • No visible alteration exept of less saliva, thin mucosa. • Reasons are unclear. (immune-hormone-nerve system) • Therapy B vitamins, reassurance.
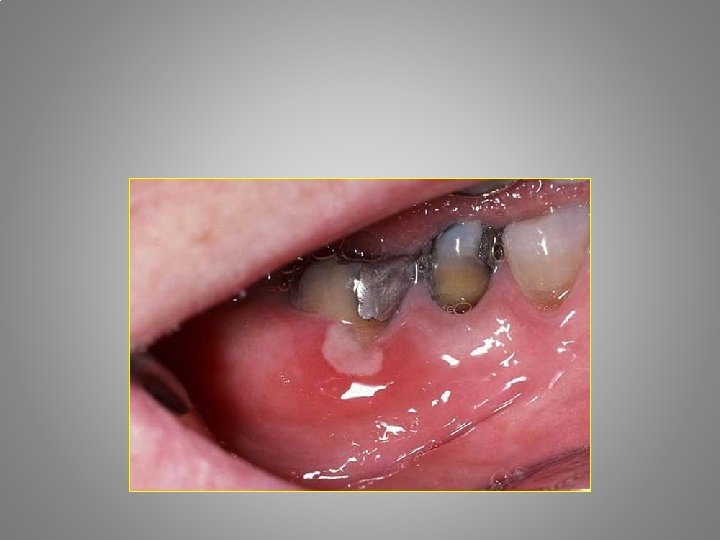
• 37 years old woman. Nothing in the medical history. • Complain started two days before. It stated with pain in the lower left molars and sensitivity to cold. In the first evening a painkiller pill was help. On the second day the pain was stronger a, d she can’t sleep. Today the pain is very strong she can’t eat or touch the first molar tooth with her tongue.
• 36 year old male. In the last few weeks he can feel an submandibular muscle contracture during mastication. He feels sharp pain and swelling (maybe the muscle) on right side of the submandibular region.