Cell Structure and Function Cells Smallest living unit
















































































- Slides: 80
Cell Structure and Function
Cells • Smallest living unit • (plants and animals are composed of cells) • Most are microscopic
Discovery of Cells • Robert Hooke (mid-1600 s) – Observed sliver of cork – Saw “row of empty boxes” – Coined the term cell
Cell theory • (1839)Theodor Schwann & Matthias Schleiden “ all living things are made of cells” • (50 yrs. Later) Louis Pasteur “all cells come from cells”
Principles of Cell Theory • All living things are made of cells • The smallest living unit of structure and function of all organisms is the cell • Cells carry out the functions needed to support life. • All cells arise from preexisting cells (this principle discarded the idea of spontaneous generation)
Why study cells? • Cells Tissues Organs Bodies – bodies are made up of cells – cells do all the work of life!
The Work of Life • What jobs do cells have to do for an organism to live… – “breathe” • gas exchange: O 2 in vs. CO 2 out – eat • take in & digest food – make energy • ATP – build molecules • proteins, carbohydrates, fats, nucleic acids – remove wastes – control internal conditions • homeostasis – respond to external environment – build more cells • growth, repair, reproduction & development
• Cells provide structure and form to the body. • They appear in a variety of shapes; round, concave, rectangular, tapered, spherical, and other. • Cell shape seems to be related to specialized function.
Cell Size (Varies)
Cells are: • Unit of Function: Each cell is a living unit. A cell performs many metabolic functions to sustain life. Each cell is a biochemical factory using food molecules for energy; repair of tissues, growth and ultimately reproduction.
• Unit of Growth: Each living organism begins as a single cell. Some organisms such as a protist, remain unicellular. For a multicellular organism, as the number of cells increases in the body of a plant or animal, so too does its size.
• Unit of heredity: New cells only arise from preexisting cells. A cell grows to optimum size and then divides, producing either two cells identical to itself OR four cells not identical. • Cells carry hereditary information from one generation to the next. This information is coded in molecules of DNA (deoxyribonucleic acid).
Characteristics of All Cells • • Have a surrounding membrane Cytoplasm – cell contents in thick fluid Organelles – structures for cell function Control center with DNA
Cell Types • Prokaryotic • Eukaryotic
Two Types of Cells • • Prokaryotes First cells to evolve No nucleus Hereditary info is contained within cytoplasm • Ex. Bacteria • Eukaryotes • Evolved from Prokaryotes • Have a nucleus • Hereditary Info is contained within the nucleus • Ex. Plants, Animals, Fungi
Prokaryotic Cells • First cell type on earth • Cell type of Bacteria and Archaea
Prokaryotic Cells • No membrane bound nucleus • Nucleoid = region of DNA concentration • Organelles not bound by membranes
Bacterium Shapes
Eukaryotic Cells • Nucleus bound by membrane • Include fungi, protists, plant, and animal cells • Possess many organelles Protozoan
Representative Animal Cell
Representative Plant Cell
Organelles • Cellular machinery
Cell Walls • Found in plants, fungi, & many protists • Surrounds plasma membrane • Made of cellulose • Is rigid • Provides support and protection for the cell
Cell Wall Differences • Plants – mostly cellulose • Fungi – contain chitin
Cell membrane • Surrounds all cells • In a plant cell, it lies beneath the cell wall • – In animal cells, it is the outer boundary (made of cholesterol) • Lipid bilayer with embedded proteins • Provides cell with – Protection • Isolates the cell’s contents from external environment • Regulates the flow of materials into and out of the cell (i. e. selectively permeable ) • Allows interaction among cells • Support
Cytoplasm • Viscous fluid containing organelles • components of cytoplasm – Interconnected filaments & fibers – Fluid = cytosol • Found in both plant and animal cells • Located beneath cell membrane • Supports and protects cell organelles
Organelles • Functional components within cytoplasm
Nucleus • Function – control center of cell – protects DNA • instructions for building proteins • Structure – nuclear membrane – nucleolus • ribosome factory – chromosomes • DNA
DNA • Hereditary material • Chromosomes
Nucleic Acid • Deoxyribonucleic acid (DNA) has two functions: • DNA controls protein synthesis in the cell • DNA is replicated and passed on to progeny cells during reproduction
Nucleolus • Most cells have 2 or more • Directs synthesis of RNA • Forms ribosomes
Endoplasmic Reticulum • Helps move substances within cells • Network of interconnected tubes • Two types – Rough endoplasmic reticulum – Smooth endoplasmic reticulum
Rough Endoplasmic Reticulum • Ribosomes attached to surface – Manufacture proteins – Not all ribosomes attached to rough ER
Smooth Endoplasmic Reticulum • No attached ribosomes • Has enzymes that help build molecules – Carbohydrates – Lipids
Endo-membrane System
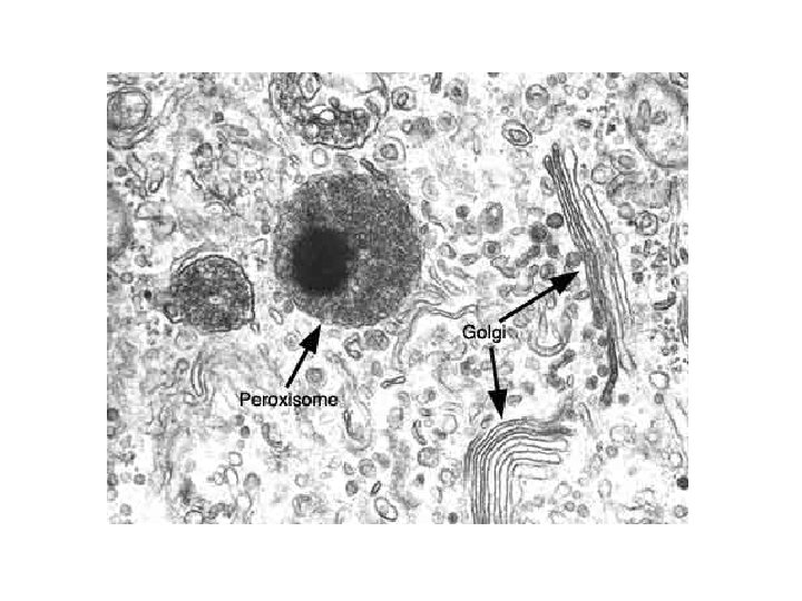
Golgi Apparatus • Function – finishes, sorts, labels & ships proteins • like UPS headquarters – shipping & receiving department – ships proteins in vesicles • “UPS trucks” vesicles carrying proteins • Structure – membrane sacs transport vesicles
Lysosomes • Found only in animal cells • Contain digestive enzymes • Functions – Aid in cell renewal – Break down old cell parts – Digests invaders
Lysosome
Peroxisome • Similar to lysosome • Membrane-bound vesicle that contains enzymes • Enzymes are used to breakdown toxic substances to hydrogen peroxide • Hydrogen peroxide is broken down by catalase to produce water and oxygen
Vacuoles • Membrane bound storage sacs • More common in plants than animals • Contents – Water – Food – wastes
Mitochondria • Have their own DNA • Bound by double membrane • Has inner foldings (Cristae) that increase the internal surface area
Mitochondria • Break down fuel molecules (cellular respiration) – Glucose – Fatty acids • Release energy – ATP
• Function Mitochondria – make ATP energy from cellular respiration • sugar + O 2 ATP • fuels the work of life in both animal & plant cells ATP
Plants make energy two ways! ATP • Mitochondria – make energy from sugar + O 2 • cellular respiration • sugar + O 2 ATP • Chloroplasts – make energy + sugar from sunlight • photosynthesis • sunlight + CO 2 ATP & sugar – ATP = active energy – sugar = stored energy » build leaves & roots & fruit out of the sugars sugar ATP
Chloroplasts • Solar energy capturing organelle
Photosynthesis • Takes place in the chloroplast • Makes cellular food – glucose
Mitochondria are in both cells!! animal cells plant cells mitochondria chloroplast
Cells need workers = proteins! • Making proteins – to run daily life & growth, the cell must… • read genes (DNA) • build proteins – structural proteins (muscle fibers, hair, skin, claws) – enzymes (speed up chemical reactions) – signals (hormones) & receptors – organelles that do this work… • • nucleus ribosomes endoplasmic reticulum (ER) Golgi apparatus
endoplasmic reticulum nucleus protein on its way! DNA RNA vesicle TO: vesicle ribosomes TO: finished protein Making Proteins Golgi apparatus
Cells need to make more cells! • Making more cells – to replace, repair & grow, the cell must… • copy their DNA • make extra organelles • divide the new DNA & new organelles between 2 new “daughter” cells – organelles that do this work… • nucleus • centrioles
Centrioles • Function – help coordinate cell division • only in animal cells • Structure – one pair in each cell
Cell Summary • Cells have 3 main jobs – make energy • need food + O 2 • cellular respiration & photosynthesis • need to remove wastes – make proteins Our organelles do all those jobs! • need instructions from DNA • need to chain together amino acids & “finish” & “ship” the protein – make more cells • need to copy DNA & divide it up to daughter cells
Plasma Membrane • Contains cell contents • Double layer of phospholipids & proteins
Phospholipids • Polar – Hydrophylic head – Hydrophobic tail • Interacts with water
Movement Across the Plasma Membrane • A few molecules move freely – Water, Carbon dioxide, Ammonia, Oxygen • Carrier proteins transport some molecules – Proteins embedded in lipid bilayer – Fluid mosaic model – describes fluid nature of a lipid bilayer with proteins
Molecule Movement & Cells • Passive Transport • Active Transport • Endocytosis (phagocytosis & pinocytosis) • Exocytosis
Passive Transport • No energy required • Move due to gradient – differences in concentration, pressure, charge • Move to equalize gradient – High moves toward low
Types of Passive Transport 1. Diffusion 2. Osmosis 3. Facilitated diffusion
Diffusion • Molecules move to equalize concentration
Osmosis • Special form of diffusion • Fluid flows from lower solute concentration • Often involves movement of water – Into cell – Out of cell
Solution Differences & Cells • solvent + solute = solution • Hypotonic – Solutes in cell more than outside – Outside solvent will flow into cell • Isotonic – Solutes equal inside & out of cell • Hypertonic – Solutes greater outside cell – Fluid will flow out of cell
Facilitated Diffusion • Differentially permeable membrane • Channels (are specific) help molecule or ions enter or leave the cell • Channels usually are transport proteins (aquaporins facilitate the movement of water) • No energy is used
Process of Facilitated Transport • Protein binds with molecule • Shape of protein changes • Molecule moves across membrane
Active Transport • Molecular movement • Requires energy (against gradient) • Example is sodium-potassium pump
Endocytosis • Movement of large material – Particles – Organisms – Large molecules • Movement is into cells • Types of endocytosis – bulk-phase (nonspecific) – receptor-mediated (specific)
Process of Endocytosis • Plasma membrane surrounds material • Edges of membrane meet • Membranes fuse to form vesicle
Forms of Endocytosis • Phagocytosis – cell eating • Pinocytosis – cell drinking
Exocytosis • Reverse of endocytosis • Cell discharges material
Exocytosis • Vesicle moves to cell surface • Membrane of vesicle fuses • Materials expelled
Membrane Proteins 1. Channels or transporters – Move molecules in one direction 2. Receptors – Recognize certain chemicals
Membrane Proteins 3. Glycoproteins – Identify cell type 4. Enzymes – Catalyze production of substances
Review of Eukaryotic Cells
Review of Eukaryotic Cells