RADIOGRAFIA DE TORAX DR CARLOS FERNANDO CORONA SAPIEN
























































- Slides: 56
RADIOGRAFIA DE TORAX DR. CARLOS FERNANDO CORONA SAPIEN
l l l REGISTRO GRAFICO DEL TORAX DISTANCIA DE PLACA 1. 8 -2 M. MAS CERCA. - AUM. SOMBRA CARDIACA
PROYECCIONES l l POSTEROANTERIOR (PA) OBLICUA IZQ. ANT (OIA) OBLICUA DER. ANT (ODA) LATERAL IZQUIERDA
POSICIONES
PA
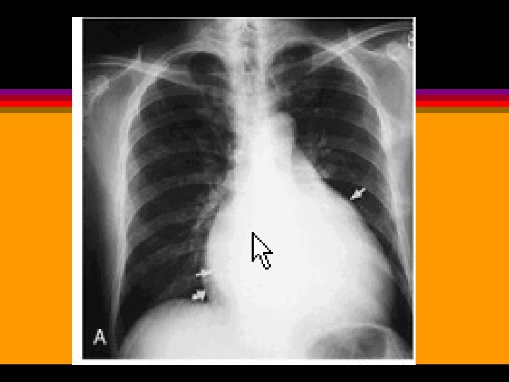
POSTEROANTERIOR PERFIL IZQUIERDO PERFIL DERECHO VENA CAVA SUP A. DERECHA Ao. ASCENDENTE l l l BOTON AORTICO ARCO PULMONAR VENTRICULO IZQ.
ODA ARCO AORTICO BRONQUIO P. IZQ AURIC. IZQUIERDA
LAT. IZQUIERDA
LATERAL IZQUIERDA l l l PERFIL ANTERIOR AORTA ASCENDENTE A. PULMONAR VENTRICULO DER l l PERFIL POSTERIOR VENA CAVA INF AURIC. IZQUIERDA VENTRICULO IZQ
POSTEROANTERIOR
CRECIMIENTOS l INDICE CARDIOTORACICO • DIAMETROS TRANSVERSALES • MAYOR 0. 50 • SEGUIMIENTO l ICT= A + B C
ICT= A+B C A B C
MODIFICAN TAMAÑO l AUMENTAN EL TAMAÑO • ESPIRACION • PROYECCION AP • ASCITIS • OBESIDAD • EMBARAZO • ELEV. DIAFRAGMATICA • DEFOR. TORACICAS
CRECIMIENTO V. I. l POSTEROANTERIOR • PROMINENCIA DEL PERFIL IZQ. l OBLICUA IZQ. ANT • ARCO INFERIOR REBASA COLUMNA (MAS DE LA MITAD) l LATERAL IZQUIERDA • RADIODENSIDAD DE VI CON V. C. INF. • POR ATRAS
CARDIOMEGALIA GLOBAL l CAUSAS MAS IMPORTANTES: • CARDIOP. VALVULAR • MIOCARDIOPATIAS CONG. • SILUETA GLOBOSA • DX. DIFER: • ENF. EBSTEIN • DERRAME PERICARDICO
CARDIOMEGALIA GLOBAL
HIPERT. VENOCAP. PULMONAR l l l PRESION V. PULM > 10 mm. Hg SE TRANSMITE A CAPILARES DILAT. VENAS PULMONARES SE VEN MAS ALLA DEL TERCIO MEDIO DE LOS HEMITORAX. PIERDE NITIDEZ PERFIL A. D.
HIPERFLUJO PULMONAR l QP/QS MAYOR DE 1. 5 • VASC. ART. PROMINENTE • ARCO PULM. ABOMBADO • VASOS PULM. HASTA PERIFERIA • ORIGEN DE RAMAS PULM.
HIPERT. VENOCAP. PULMONAR l l l LINEAS “B DE KERLEY” (ACUMULO INTERLOBULAR BASAL) CISURITIS (EXCESO DE LISC) DERRAME • BORRAM. ANGULOS COSTODIAFRAGMANTICO Y CARDIOFRENICO.
HIPERT. VENOCAP. PULMONAR l CRONICA: • VC REFLEJA BASAL; REDISTRIB APICAL • “EN ASTA DE RENO” (ENSANCHAM VENOSO) • AGUDA: • NO AJUSTES HEMODINAMICOS • EDEMA ALVEOLAR • “ALAS DE MARIPOSA”
HIPERT-VEN-PULM
HVP TEMPRANA
MITRAL
CARDIOMEGALIA+ HVCP
CARDIOMEGALIA SIN HVCP (DERRAME PERICARDICO)
MIOCARDIOP. DILATADA
HIPERFLUJO PULMONAR l QP/QS MAYOR DE 1. 5 • VASC. ART. PROMINENTE • ARCO PULM. ABOMBADO • VASOS PULM. HASTA PERIFERIA • ORIGEN DE RAMAS PULM.
FLUJO AUM EN C. CONG
HIPOFLUJO PULMONAR l l RX PARECE NORMAL AUM. RADIOTRANSPARENCIA ARCO PULMONAR DILAT. POSTESTENOTICA • (ESTEN VALV. PULM. )
HIPERTENSION A. PULMONAR l l REQUIERE MINIMO PMAP >35 CAUSAS: • OBSTR. LECHO VASC. PULM • AUM. PERSIT. DEL FLUJO P. • HVCP SOSTENIDA. l POSTEROANTERIOR: • PROMIN. ARCO PULMONAR • ESTRECHA. ABRUPTO DE VASC.
ESTEN MITRAL+HAP
OTROS HALLAZGOS l ENSANCHAM. MEDIASTINAL: • ANEURISMA AORTICO • DRENAJE ANOMALO DE V. P. • COARTACION DE AORTA (“SIGNO DE ROSSLER”) • BOCIO INTRATORACICO
OTROS HALLAZGOS l CALCIFICACIONES: • PERICARDITIS CONSTRICTIVA • DISECCION DE AORTA • COND. ARTERIOSO (HAP) • CALCIFIC. ANILLO VALVULAR • (FLUOROSCOPIA)
AORTA
DRENAJE ANOMALO VP
COARTACIÓN AORTA
COARTACION SIGNO DE ROSSLER
PROTESIS VM
CALCIFICACION
IMÁGENES DIVERSAS
MIOCARDIOPATÍA DILATADA
EDEMA PULMONAR AGUDO ESTENOSIS MITRAL (rectificación borde cardiaco izquierdo por crecimiento AI)
FALLOT
DUCTUS: HIPERFLUJO PULMONAR
DUCTUS: EISENMENGER (pulmones en árbol podado)
CIA: crecimiento corazón derecho
COARTACIÓN AORTA
PERICARDITIS AGUDA
TAPONAMIENTO CARDIACO
ANEURISMA VI
FALLA CARDIACO (cisuritis, líneas Kerley)