RADIOGRAFIA DE TORAX EN PEDIATRIA YARIS ANZULLY VARGAS































































































- Slides: 95
RADIOGRAFIA DE TORAX EN PEDIATRIA YARIS ANZULLY VARGAS PEDIATRA PONTIFICIA UNIVERSIDAD JAVERIANA FELLOW DE NEONATOLOGIA UNIVERSIDAD MILITAR NUEVA GRANADA
OBJETIVOS Recordar los parámetros básicos de evaluación de calidad radiográfica. Aprender un sistema de lectura para la radiografía de torax. Reforzar el conocimiento para realizar un enfoque radiográfico de los aparatos respiratorio y cardiovascular
CONTENIDO Características de calidad que debe tener una radiografía de tórax. Lectura sistemática de la radiografía Enfoque de la lectura de la radiografía de tórax hacia el sistema cardiovascular, pulmonar. Casos clínicos
ANTECEDENTES • Fisico aleman Wilhem Conrad Roentgen en 1895 • Experimentando con luz y calor , trabajando con rayos catódicos sometidos a diferencias de voltaje se dio cuenta que emitian un tipo de radiacion capaz de penetrar diversos materiales. • Rayos desconocidos • Primera radiografia de tórax John Macintyre (medico ingles) en 1896
RADIOGRAFIA DE TORAX EN PEDIATRIA Dificil interpretación Sistematización en la lectura Corroborar un diagnóstico
EVALUACION DE LA RADIOGRAFIA DE TORAX CALIDAD TECNICA a) b) c) d) e) “ Penetración Contraste Inspiración Definición Centrado
CALIDAD TECNICA Penetración § Frontal: Permite ver espacios intervertebrales y las costillas a través silueta cardiaca § Muy penetrada: Se visualizan todas las estructuras vertebrales (láminas, pedículos) § Poco penetrada: No se ven espacios intervertebrales y puede exagerar imágenes intersticiales
Bien penetrada
Muy Penetrada
Poco Penetrada
Muy vs poco Penetrada
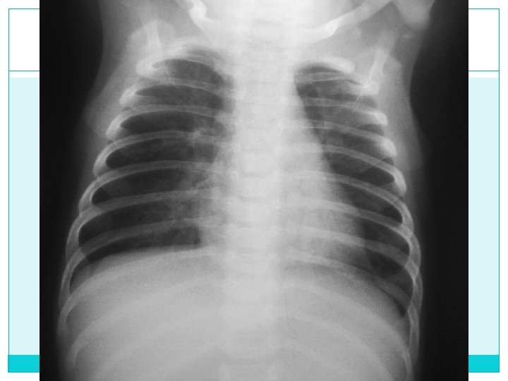
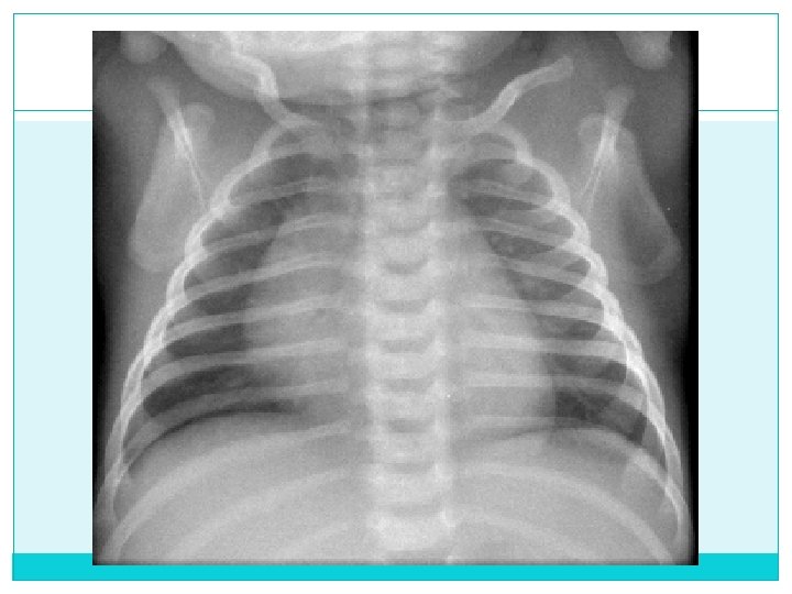
Contraste Es adecuado cuando se pueden diferenciar adecuadamente estructuras de densidad diferentes: partes blandas, pulmón y esqueleto Inspiración Cuando se pueden contar 8 a 9 arcos costales posteriores sobre el parenquima pulmonar o 6 arcos costales anteriores § Frontal: Contar arcos costales anteriores (cúpula es anterior) Bien inspirada: Cúpula a nivel del 6 to. arco Hiperinsuflación: Cúpula por debajo del 8 vo. arco Hipoinsuflación (espirada): Cúpula por encima 4 to. Arco
Bien Inspirada
Bien Inspirada
Espirada
Bien Inspirada Vs Espirada
d) Definición Buena: No movimiento del paciente e) Centrado: Frontal: Extremos mediales clavícula equidistantes a línea media (apófisis espinosas) Lateral: Arco Costal posterior de un hemitórax se distancia de su contralateral max. 1 cm
Bien Centrada
Rotada
LECTURA SISTEMATICA Orden de lectura No se olvidan partes
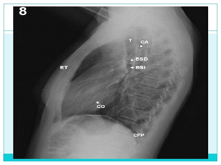
METODOLOGIA SISTEMATICA a) Extratorácica Abdomen: Hígado Bazo Estómago, Gas intestinal Cuello: Tejidos blandos Columna Vía aérea
b) Torácica Forma Neonato: costillas horizontales, “pantalla de lámpara” Niño: más alargado Trastornos del crecimiento Mineralización Pared torácica Tejidos blandos (Piel, grasa subcutánea, músculo) Tejidos óseos (Costillas, clavículas, columna, esternón) Pleura
Diafragma - Diafragma derecho * Recién nacido a nivel del octavo arco costal posterior * Lactante 9 y 10 arco costal posterior - Elevación por dilatación - Elevación de un hemidiafragma … parálisis del nervio frénico - Parálisis…. . Absceso
Pleura - Angulos costofrénicos nitidos - Cisura mayor va de T 4 hacia abajo y adelante - Cisura menor casi horizontal desde el hilio derecho - Derrame pleural * Menisco basal …. . De pie * Menisco apical…. . . Decúbito dorsal * Sin cambio …. . Loculado - Neumotorax * Acumulación de aire * Aumento del espacio pleural
CISURAS.
Mediastino - Posición normal: * Traquea central * Corazón 1/3 en hemitorax derecho * Arco aórtico siempre a la izquierda
Estructuras del mediastino
Timo - Indiferenciable de la silueta cardiaca - Signo de la vela Triangulo bien definido sin broncograma y base ancha mediastinal - Signo de la ola Contorno ondulante por estar presionado por los cartilagos costales
Timo Atrofia Infección Estrés Síndrome de Di. George: Timo aplasico o congenitamente ausente
ATROFIA
PSEUDOTUMOR TIMICO
Signo De La Vela
Corazón Indice cardiotoracico no mayor a 0. 57 (0. 53 a 0. 57) Luego del año es de 0. 50
1) Indice cardiotorácico CT index = (MRD + MLD) ID § 0 -3 sem: 0. 55 § 4 -7 sem: 0. 58 § 1 año: 0. 53 § 1 -2 años: 0. 49 § 2 -6 años: 0. 45 § > 7 años: < 0. 5
Silueta Cardiotimica Normal
Silueta Cardiotimica Normal
Hilio y vasos pulmonares - Bronquios - Vasos - Ganglios linfáticos - Tejido conectivo
Hilio pulmonar Difícil identificar estructuras especificas. Reducido debido al pequeño calibre de los vasos En parte a la relativa ausencia de los tejidos blandos que se interponen.
Parénquima - Vasos - Bronquio - Pulmón
LOBULOS PULMONARES
Patrón alveolar - Nódulos de menos de 10 mm de diamétro mal definidos - Irregulares de consolidación - Presenta broncograma aéreo
Patrón intersticial - Patrón reticular: líneas que forman una red - Patrón n 0 dular: nódulos bien definidos homogéneos de tamaño variable - Mixto. Reticular nodular
- Atelectasia Colapso del pulmón por obstrucción de la vía aérea o por compresión del tejido Lobares hay desplazamiento hacia el lóbulo colapsado Signos indirectos: - Estrechamiento de los espacios intercostales hacia el lado afectado - Elevación del hemidiafragma adyacente al lobulo pulmonar inferior afectado - Sobredistensión pulmonar compensatoria de segmentos no afectados - Desplazamiento del hilio y del mediastino hacia el lado de la lesión
Hiperluscencia pulmonar - Aumento del airea a nivel intraalveolar - Desplazamiento del mediastino hacia el lado opuesto
Edema pulmonar Acumulo de líquido dentro de los alveólos Cardiogénico No cardiogénico
Tráquea Flexible y móvil Inspiración: Dilata y Alarga (observan con facilidad) Espiración: Se constriñe y acorta (estrecha) Desplaza con facilidad con movimientos laterales y hacia delante del cuello. Desviación a la derecha por arco aórtico
Arco aórtico derecho
Esófago Colecciones transitorias de aire Retención de aire deglutido o regurgitado > cantidad o mas persistente : Atresia , obstrucción del sector de salida del estomago con reflujogastroesofágico. No da la misma imagen mas de unos seg.
Atresia esofágica
CASOS CLINICOS
Caso número 1 Paciente de 2 años de edad quien ingresa al servicio de urgencias por cuadro de 8 dias de evoluciòn de rinorrea y tos, que desde hace tres dias se acompaña de fiebre de hasta 39 grados. Examen físico paciente con signos de dificultad respiratoria leves dados por polipnea, tirajes, cianosis, a la auscultación encuentra roncus y sibilancias en ambos campos pulmonares
Caso número 2 Paciente de 8 años de edad con cuadro de 16 dias de tos seca de predominio nocturno, no asociado a otra sintomatología Niega antecedentes patológicos Examen físico es normal
Caso número 3 Paciente de 4 años de edad con cuadro de tres dias de evolucion de fiebre, rinorrea, tos y desde hoy dificultad respiratoria Antecedentes patológicos negativos Examen físico paciente presenta polipnea, retracciones subcostales y movilización de secreciones
Caso número 4 Recién nacido a termino de 2 horas de vida con adecuada adaptación neonatal quien desde los 30 minutos de vida presenta cuadro de dificultad respiratoria
Caso número 5 Recien nacido pretermino de 30 semanas con cuadro de dificultad respiratoria con silverman de 6
Caso número 6 Recién nacido prematuro de 29 semanas actualmente con edad corregida de 36 semanas recibiendo oxigeno por canula a 1/16 litro/minuto, hoy acudio a control por programa madre canguro donde evidencia cianosis y taquipnea.