La Jaula Toraxica Es una estructura osteomuscular compuesta
























































































- Slides: 88
La Jaula Toraxica �Es una estructura osteomuscular, compuesta por las costillas, esternón, las escapulas, músculos intercostales, diafragma. �El diafragma, divide el tórax del abdomen. � El diafragma se inserta en 5 to espacio intercostal (limite anterior). �En la línea axilar media 7 - 8 vo espacio intercostal. �En la línea paravertebral en 12 do espacio intercostal.
TORAX �Se examina con el paciente sentado, con el torso desnudo. � Un paciente en mal estado se evalúa acostado, por partes, cambiándolo de posición.
EXAMEN � Se debe examinar de manera comparativa, con el hemitorax contralateral. Desnudo, sentado. � Observando la expansibilidad de la caja torácica y los movimientos respiratorios.
INSPECION �Se ven anomalías : del esternón, apéndice xifoides, costillas, las escapulas. � Las anomalías de la caja torácica pueden ser de naturaleza congénita, inflamatoria , tumoral y traumática (ausencia, tuberculosis, sífilis, Hodgkin, mieloma múltiple, fracturas, etc).
ADQUIRIDAS � Lesiones adquiridas, como : � Tórax en barril o en tonel, en el enfisematoso. � Escoliosis y/o xifosis (por enfermedades infecciosas o enfermedades degenerativas, etc).
CONGENITAS �Se pueden ver lesiones congénitas acompañando síndromes, como: � �Torax en embudo o pectus excavatum. �Pecho en quilla de paloma �Escoliosis y xifosis
CONGENITAS Y ADQUIRIDAS �Escoliosis y xifósis. �Pecho en quilla o de Paloma.
torax en tonel
Excavatum y quilla
XIFOSIS
ESCOLIOSIS
INSPECCION DINAMICA �Se aprecia la característica de los movimientos respiratorios. �FRECUENCIA RESPIRATORIA �RITMO RESPIRATORIO �AMPLITUD DEL TORAX �SIMERIA DEL TORAX
Respiracion normal �Sucesión rítmica y fluida de los movimientos de expansión (inspiración) y de retracción (espiración) torácica, sin que el ojo pueda diferenciar entre el final e inicio de uno y otro. �Representación = 10 �Inspiración =5 �Espiración=4 �Pausa =1
Tipos repiratorios � Toracoabdominal (hombre), si hay una inversión de esta se piensa en situaciones como feminización, asma bronquial, ascitis, peritonitis, tumores voluminosos del abdomen, es decir una condición abdominal. Costal superior (femenino ) inversión en procesos dolorosos del tórax, virilización.
RESPIRACION
REFERENCIAS ANATOMICAS � Nos sirven para describir semiológicamente la relación de órganos con un área determinada y asociarlo a un estado patológico. Ejemplo : Paciente con herida por arma blanca en 5 t 0 espacio intercostal izquierdo con línea medioclavicular. Ahí tenemos tres puntos de referencia que localizan exactamente el sitio del trauma.
ANTERIORES �Medioesternal: fosa yugular al xifoides (hemitorax). �Para esternal (la articulación esterno clavicular). �Mamilar (PEZON) aproximadamente a 10 cm esternón (descartada en la mujer por variaciones) �Medioclavicular (entre la esternoclavicular y la acromio clavicular aproximadamente 7 - 10 cm de medio esternal).
PUNTOS DE REFERENCIA � Limite inferior del torax(diafragma, desde xifoides 7 mo siguiendo la arcada costal hasta 12 vo arco posterior ). Anterior, ángulo de LOUIS. 2 do cartílago costal, aquí la primera costilla que se palpa es la SEGUNDA. � Posterior, el borde superior de la escapula corresponde a la 2 da costilla y la punta de escapula corresponde a la 7 ma costilla. � La séptima vertebra cervical marca el limite entre cuello y tórax. � Posterior y al centro la línea vertebral ( hemitórax ).
ANGULO DE louis
Axilar anterior � Limita la pared anterior del tórax con la pared lateral (BORDE PECTORAL MAYOR). � Axilar media, Desde vertice de axila hasta cresta ilíaca. Axilar posterior limita la pared posterior con la lateral. � Vertebral sigue la apófisis espinosas de las vertebras divide el tórax posterior en derecho e izquierdo.
�Escapular (interna, medial). �Infraescapular (Angulo inferior) es el 7 m 0 espacio intercostal. �Basilar, t 12 a 4 dedos por debajo del Angulo escapular inferior, es el punto mas declive del tórax es el espacio de MOURIQUIAND o fondo de saco costo diafragmático que es el punto de extensión máxima pulmonar.
LINEAS AXILAR ANTERIOR MEDIOCLAVICUL AR MEDIOESTERNAL
Linea vertebral ESCAPULAR EXTERNA ESCAPULAR INTERNA
EL EXAMEN DEL TORAX �Siempre se hace comparatívo con el lado contralateral, siguiendo los cuatro aspectos del exámen físico (inspección, palpación, percusión y auscultación)
INSPECCION � AQUI SE OBSERVAN : �La frecuencia respiratoria que normal es (15 - 28 por min) de 30 - 35 por min. es anormal (taquipnea). � Se ve si hay DISNEA, dificultad respiratoria, con el uso de los músculos accesorios de la respiración (tiraje subcostal e intercostal ). Si hay CIANOSIS que es la coloración azul violeta por déficit de oxigenación o hipoxemia por la disnea.
AUSCULTACION � MURMULLO VESICULAR. Es el sonido normal dado por entrada y salida del aire en los ALVEOLOS y BRONQUIOLOS respiratorios. Se pueden entonces oír alteraciones como son: � RONCUS. que es el sonido áspero a consecuencia de la movilización de secreciones por los BRONQUIOS grande. Los roncus se pueden modificar con la tos por la movilización de secreciones. (En bronquitis por ejemplo).
Crepitantes CREPITANTES : Se presentan por las secreciones en los BRONQUIOLOS y alveolos respiratorios . No se modifica con la tos, porque aquí no hay cilios que movilicen secreciones como en los bronquios grandes. Se ven en por ejemplo en neumonía y bronconeumonía.
SIBILANTES Se ven por estenosis de bronquiolos respiratorios. El aire puede salir pero es dificil entrar (asma bronquial ), es decir es un trastorno básicamente inspiratorio.
FROTE PLEURAL. � Causado por cualquier patologia en la que se produzca líquido en la cavidad pleural, ocasionando lo que hacémos llamar, derrame pleural. � Es un sonído similar al de romper hojas secas.
AUSCULTACION POSTERIOR �Entre costillas, no encima de esta, ni del omoplato porque la transmisión del sonido se ve interrumpida por el hueso. Entre escapula y columna, y por debajo de la punta de la escapula hasta 4 espacios y siempre comparando con el contralateral.
AUSCULTACION
AUSCULTACION ANTERIOR �Huécos supraclaviculares. �Angulos de LOUIS, en segundo espacio intercostales. (fócos aórtico y púlmomar). � 4 t 0 y 5 t 0 espacios intercostales izquiérdos, en fócos mitral y tricuspídeo.
PALPACION �Permite detectar anomalías, tumores, ETC. � Con esta se detectan la VIBRACIONES VOCALES o (pectoriloquia o frémito ), lo cual se palpa en los ptes sanos al pedirles que digan una palabra con R, ej. (treinta y tres, ferrocarril, carretera, otra vez, etc. ) � El SONIDO SE TRANSMITE MEJOR EN LOS LIQUIDOS que en aire o sólidos.
PALPACION
FREMITO VOCAL
PATOLOGIAS �AUMENTAN EL FREMITO (consolidaciones neumónicas, atelectasia, porque tienen liquido en en los alveolos es decir el sonido se da dentro del liquido. DISMINUYEN EL FREMITO. Derrame pleural, hemotórax, hidrotórax, quilotorax. El sonido se da en el liquido pero fuera del pulmón, en el espacio pleural. �Neumotórax se disminuye mas porque es aire y el sonido se transmite menos que en liquido.
OTRAS �Un edema pulmonar se manifiesta, crepitantes húmedos (FROTE PLEURAL) y frémito aumentado, disnea, taquipnea. �En atelectasia hay frémito aumentado, la percusión disminuye, hay matidez.
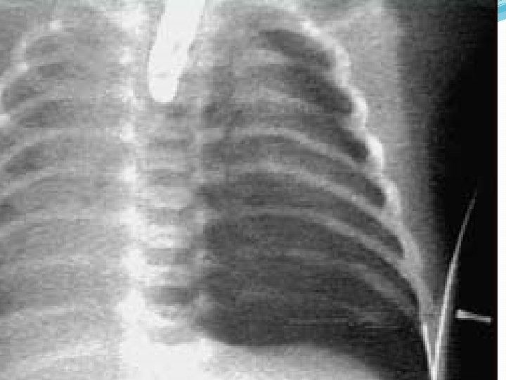
PERCUSION � El tórax esta lleno de aire al percutir se logra un sonido RESONANTE normal. � Un aumento es hiperresonante o hipertimpánico. Ej. en el neumotórax (aire en la cavidad pleural). �Disminución o sonido MATE (hemotórax , derrame pleural, neumonía, atelectásia, etc). Es decir donde este presente algo de mayor densidad que el aire, a mayor densidad, mayor matidez.
MEDIASTINO �Desde el estrecho torácico superior hasta el centro frénico de diafragma. � Contiene ( timo, tráquea, carína, bronquios, grandes vasos ). �Se divide en : superior, inferior, anterior, posterior y medio. �TODAS LESIONES SON GRANDE, GRAVES Y GENERALMENTE, MORTALES.
Pericardio �Cavidad pericárdica no distensible tiene de 15 -25 cc liquido, para permitir el deslizamiento del corazón. �Si es ocupada, se impide el llenado en diástole, hay una sístole pobre, déficit circulatorio, sed de aire hipotension, pulso filiforme, rapido, ruidos apagados, taquicardia , ingurgitación vasos del cuello y muerte es lo que se llama, TAPONAMIENTO CARDIACO. �De forma cronica esta cavidad se llena en paologias que produzcan un derrame pericardico.
TRATAMIENTO �PERICARDIOCENTESIS. �VENTANA PERICARDICA.
EXAMEN DEL TORAX ANTERIOR. .
Tórax Anterior �Se pueden auscultar los ruidos cardiacos los cuales se producen por el cierre y apertura de las válvulas cardíacas. �Esos ruidos de las válvulas cardiacas se auscultan en los llamados focos cardiacos. �El sonido anormal por el no cierre o no apertura de las válvulas, se llama SOPLO.
Ruidos cardiacos �El primer ruido se llama sístole. �El segundo ruido se llama diástole. �El ruido producido por el no cierre de una valvula es insuficiencia, y cuando la válvula no abre adecuadamente, es una estenosis; entonces tomara el nombre de acuerdo al foco y la válvula que este implicada en la auscultación.
Focos de auscultación �AORTICO 2 do eicd con línea paraesternal derecha. �PULMONAR 2 eii con línea paraesternal izquierda. �TRICUSPIDEO 4 -5 eii con línea para esternal izq. �MITRAL 5 eii con linea medio clavicular izq.
CAVIDADES CARDIACAS
Cuadro de diagnóstico por auscultación Foco Soplo Diagnóstico Aórtico Sistólico Estenosis Diastólico Insuficiencia Pulmonar Sistólico Estenosis Diastólico Insuficiencia Mitral Sistólico Insuficiencia Diastólico Estenosis Tricuspídeo Sistólico Insuficiencia Diastólico Estenosis
ESPACIO PLEURAL �Tiene dos hojas (parietal, visceral); es virtual, tiene presión negativa con respecto a la presión atmosférica, lo cual permite la expansión pulmonar. �Se altera por condiciones externas, es decir cuando es ocupado por cualquier condición o elemento, lo que predispone a colapso pulmonar.
LEYES FISICA �Toda materia física (solido, liquido, gas difunde del sitio de mayor presión al sitio de menor presión). �Presión atmosférica, masa de aire sobre la superficie de la tierra (76 atmosfera o toll) �Presión hidrostática, masa de agua sobre una superficie, a > profundidad > presión hidrostática y < presión atmosférica. � Debajo del nivel de agua menor Presión atmosférica
�Presión atmosférica (7. 6 atm) o 76 mm de hg. �Presión intrapleural, negativa en relación a la p. atm. �Presión intra abdominal, es negativa con respecto a la presión atmosférica pero positiva en relación a la presión intra torácica. �La presión intrapleural es negativa en relación a la presión intra abdominal.
CUADRO CLINICO � Cuando se ocupa el espacio pleural se producirá un cuadro clínico respiratorio, por la presencia física que evita la expansion pulmonar lo cual normalmente se hace en un ambiente de presión negativa. También se agrega la condición que cause el hecho, por ejemplo, un hemotórax, neumotórax, quilotórax, neoplasia, etc.
PATOLOGIAS ESP PLEURAL �NEUMOTORAX (aire) �HEMOTORAX (sangre) �HIDROTORAX (agua) �QUILOTORAX(linfa y nutrientes) �PIOTORAX (EMPIEMA)( pus) �Tomara el nombre de la condición O ELEMENTO que ocupe el espacio pleural.
NEUMOTORAX �Aire en la cavidad pleural � Vías de entrada (siempre de la atmosfera) � A por la piel (herida de pared) � B piel y parénquima (herida) � C parénquima (trauma contuso , ruptura espontánea)
CUADRO CLINICO NEUMOTORAX �INSPECCION (disnea ) �PALPACION (disminución frémito vocal) �PERCUSION (hipertimpanismo) �AUSCULTACION (disminución murmullo vesicular)
CUADRO CLINICO �Hemotórax. �Piotórax. �Quilotórax. Todos tienen material liquido mas o menos denso. La diferencia lo hará la historia clínica. Todos tienen igual cuadro clínico por tener mayor densidad que el aire.
CUADRO CLINICO �INSPECCION disnea. �PALPACION vibraciones vocales o frémito disminuidas. �PERCUSION hipo resonancia o hipo timpanismo o matidez. �AUSCULTACION disminución murmullo vesicular.
Hemotórax Masivo. �Es el resultado de la acumulación de sangre en la cavidad pleural. �La principal causa generalmente es por heridas penetrantes, menos frecuente es por desgarro de estos vasos en un trauma cerrado. �Clínicamente encontrará un paciente en shock, con colapso de los vasos del cuello por hipovolemia o con ingurgitación de estos por efecto mecánico de la cavidad pleural, hipóxico, ausencia de expansión en el hemitórax dañado y matidez a la percusión.
Cuadro clínico �Inspección ( Disnea ) �Palpación (disminucion del frémito ) �Percusión (Matidez , o hipo timpanismo) �Auscultación (Disminución murmullo vesicular)
Drenaje pleural � Todos ameritan como tratamiento un drenaje pleural con sonda de pleurostomia 0 toracostomía mínima.
Pulmon colapsado Espacio pleural NEUMOTORAX A PRESIO liquido NIV MENOS PRE
¿Cuándo drenar un hemotórax? �Volumen: > de 500 ml �Sintomatología �Necesidad de presión positiva �Asociación con neumotórax
Neumotórax a tensión �Producido por entrada de aire en la cavidad pleural, desde el exterior (neumotórax abierto, en los traumatismos penetrantes) o desde el interior.
Neumotórax a tensión � El aire entra y no sale, diferente al neumotórax compensado donde las presiones se igualan, el paciente tiene dificultad por el cuadro agudo pero no debe morir, en neumotórax a tensión se muere por colapso total.
Neumotórax a Tensión. � Las causas más comunes son la ventilación mecánica con PEEP(presión positiva al final de la espiración), el Neumotórax espontáneo con escape persistente, el trauma torácico cerrado donde la lesión pulmonar no cierra. � Se produce por escape de aire en una sola dirección, ya sea desde el pulmón o de la pared, acumulándose en la cavidad pleural, y sin posibilidad de salida, produciendo el colapso del pulmón ipsilateral. � El mediastino y la traquea se desplazan contralateralmente, comprometiendo la posibilidad de respuesta ventilatoria por parte del pulmón sano y afectando el retorno venoso. � Clínicamente se manifiesta por dificultad respiratoria, ausencia unilateral de MP, timpanismo y cianosis. Neumotórax Abierto. �Cuando el aire penetrara preferentemente por la herida al igualarse las presiones intratorácica y ambiental y ofrecer menor resistencia al paso del aire por la herida.
Siempre combinar datos semiológicos en el examen � En hemotórax y neumotórax el murmullo vesicular y el frémito, están disminuidos, hay disnea, taquipnea, pero cambia la percusión y la palpación, hay cianosis en neumotórax y palidez en hemotórax. �Es decir que el diagnostico no se hará con un solo dato.
PATOLOGIAS NO QX �Enfisema pulmonar �Atelectasia �Asma bronquial �Bronquíticos crónicos �Todas producen trastornos respiratorios pero que se resuelven clínicamente.
Pericardio �Cavidad pericárdica no distensible tiene de 15 -25 cc liquido, para permitir el deslizamiento del corazón. �Si es ocupada, se impide el llenado en diástole, hay una sístole pobre, déficit circulatorio, sed de aire hipotension, pulso filiforme, rapido, ruidos apagados, taquicardia , ingurgitación vasos del cuello y muerte es lo que se llama, TAPONAMIENTO CARDIACO.
�De forma crónica esta cavidad se llena en patologías que produzcan un derrame pericardio.
TRATAMIENTO �PERICARDIOCENTESIS. �VENTANA PERICARDICA.