Chn thng h thn kinh James F Holmes

















































































- Slides: 81
Chấn thương hệ thần kinh James F. Holmes, MD, MPH Giáo sư, Khoa Cấp cứu Trường Đại học Y California tại Davis Giám đốc, Quỹ nghiên cứu cấp cứu y khoa Chủ nhiệm, Câu lạc bộ báo chí về cấp cứu y khoa Davis, California
Mục tiêu • Dịch tễ • Các dạng chấn thương sọ não (CTSN) • Chẩn đoán bệnh nhân CTSN • Điều trị CTSN
Các điểm cơ bản về CTSN • Hầu hết các tử vong là do hậu quả của CTSN • Các tổn thương thứ phát của não có thể gây di chứng và tử vong nhưng thường có thể phòng ngừa được • Hồi sức và chăm sóc ban đầu: – Duy trì oxy – Thông khí – Duy trì huyết áp (đề phòng tụt huyết áp) • Chụp cắt lớp sọ não là tét chẩn đoán
Sinh lý bệnh học • Tổn thương não nguyên phát – Tổn thương cấu trúc giải phẫu do sang chấn ban đầu – Các biện pháp phòng ngừa làm giảm số bệnh nhân bị chấn thương sọ não • Vd: mũ bảo hiểm
Sinh lý bệnh học • Tổn thương não thứ cấp – Tổn thương nhu mô sau chấn thương ban đầu • Thông thương trong 24 giờ đầu • Giảm oxy • Khối choán chỗ • Hạn chế cấp máu • Nhiễm trùng • Tăng thân nhiệt – Mục tiêu điều trị: phòng các vấn đề trên với biện pháp điều trị thích hợp
Sinh lý bệnh học • CPP = MAP - ICP – Áp lực tưới máu não (CPP) • Mục tiêu > 70 mm. Hg – Áp lực động mạch trung bình (MAP) – Áp lực nội sọ (ICP) • Tăng áp lực nội sọ có thể do: – Khối xuất huyết choán chỗ – Phù não toàn trạng • Rối loạn chức năng tế bào xảy ra khi giảm tưới máu não
Các dạng chấn thương • • Vỡ xương sọ Chấn động Đụng dập Máu tụ nội sọ – Ngoài màng cứng, dưới màng cứng, trong não • Tổn thương sợi trục lan tỏa • Xuất huyết não thất và khoang dưới nhện • Vết thương thấu
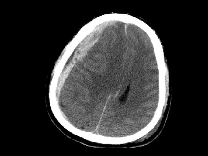
Vỡ xương sọ • Nhiều dạng: – Nứt, lún, rạn nền sọ • Cắt lớp dạng cửa sổ xương • Tổn thương não ở điểm vỡ xương sọ là rất quan trọng • Dường nứt sọ: – Nếu nứt sọ kín, có thể chỉ quan sát theo dõi
Vỡ xương sọ • Vỡ nền sọ: – Thường liên quan đến xương thái dương – Chẩn đoán lâm sàng (CT thường bỏ sót chẩn đoán) • Dấu hiệu đeo kính râm, chảy máu tai, dấu hiệu Battle (tụ máu sau tai), dò nước não tủy qua mũi • Lún sọ: – Phẫu thuật nâng lún: • nếu lớn hơn độ rộng của sọ hoặc • > 5 mm
Chấn động não • Thay đổi thoáng qua chức năng của não với mất tri giác /mất trí nhớ • CT không thay đổi • Hội chứng sau chấn động: – Nhức đầu, lú lẫn, mất tập trung, mất trí nhớ, buồn nôn – Có thể kéo dài nhiều giờ tháng • Điều trị – Quan sát theo dõi – Hạn chế các hoạt động có thể gây ra tổn thương sọ lặp lại • Tránh sang chấn lặp lại
Đụng dập não • Dấu hiệu thường gặp trên CT • Dụng dập lớn có thể có biến chứng chảy máu (xuất huyết do đụng dập hoặc xuất huyết nội sọ), phù não hoặc gây động kinh • Vị trí: thùy trán hoặc thái dương – Do cấu trúc giải phẫu của nền sọ • Điều trị: quan sát theo dõi
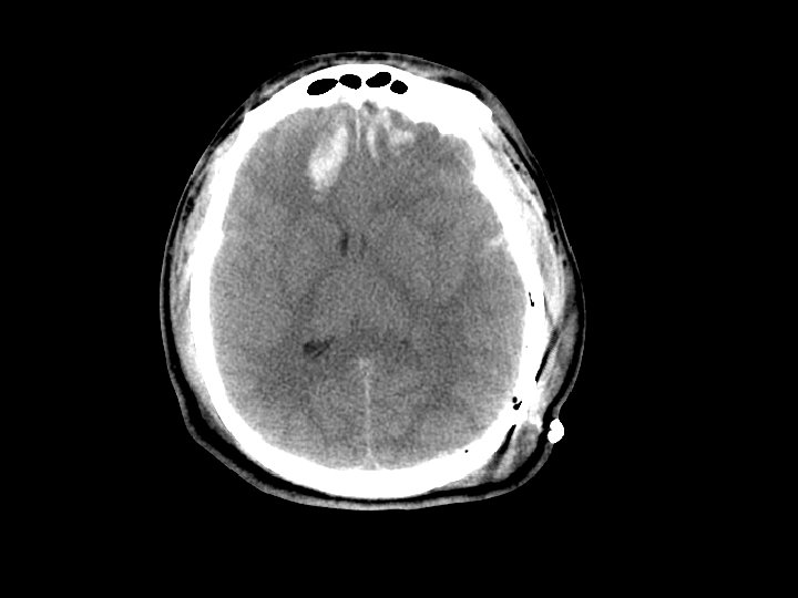
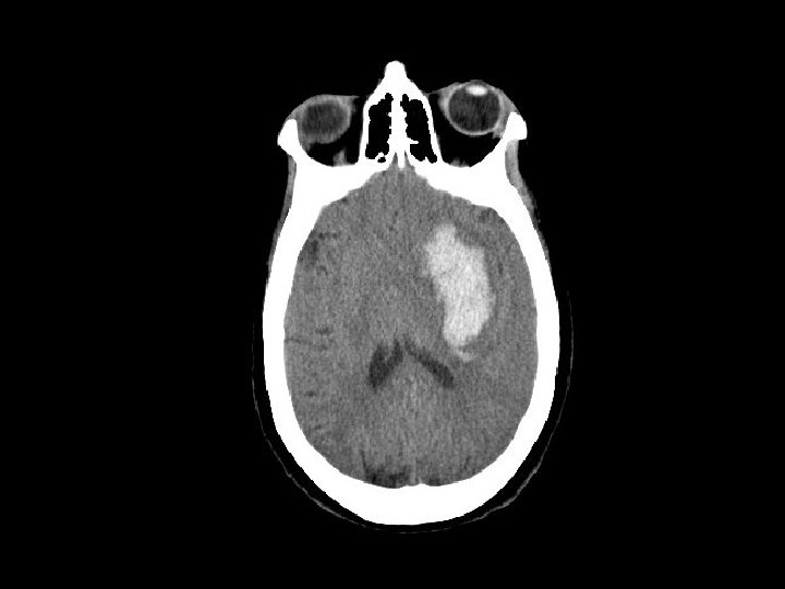
Máu tụ ngoài màng cứng (EDH) • Chảy máu ngoài màng cứng – Thường do động mạch (động mạch màng não giữa) nhưng cũng có thể do chảy máu tĩnh mạch • CT: hình tụ máu thấu kính lồi – Xuất huyết nằm khư trú do hạn chế trong khoảng giữa màng cứng và sọ • 5 -15% bệnh nhân CTSN có tụ máu ngoài màng cứng
Máu tụ ngoài màng cứng • Có nguy cơ tăng khối choán chỗ và gây thoát vị liềm não (giãn đồng tử) – “khoảng tỉnh và sau đó tử vong” • Quan sát được tụ máu ngoài màng cứng • Tụ máu ngoài màng cứng gây choán chỗ cần can thiệp phẫu thuật
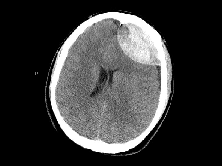
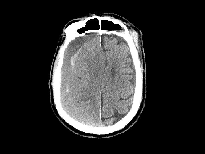
Tụ máu dưới màng cứng • Chảy máu giữa màng cứng và não – Thường gặp hơn tụ máu ngoài màng cứng – 30% bệnh nhân CTSN có tụ máu dưới màng cứng • CT: khoảng tụ máu hình liềm • Có thể gặp cấp tính, bán cấp hoặc mãn tính – Bán cấp hoặc mãn tính diễn biến nhiều ngày/tuần sau chấn thương
Tụ máu dưới màng cứng • Tăng nguy cơ ở người già (cơ chế chấn thương không nghiêm trọng) – Não teo nhỏ đi theo lứa tuổi gây giãn các tĩnh mạch cầu nối ở khoảng dưới màng cứng • Có thể tăng dần kích thước (chậm hơn máu tụ ngoài màng cứng) • Phẫu thuật dẫn lưu nếu tổn thương gây choán chỗ và đè đẩy
Tụ máu trong não • Tương tự như đụng dập não – Chấn thương nặng – Chảy máu trong não • Gặp ở thùy trán và thùy thái dương • Theo dõi diễn biến của xuất huyết • Có thể gây khối choán chỗ dẫn đến thoát vị não
Chảy máu não thất • Lụt máu não thất • Chảy máu não thất đơn thuần thông thường không gây hậu quả và không cần can thiệp điều trị
Chảy máu dưới nhện • Chảy máu dưới nhện và tụ máu là chấn thương thường gặp trên CT sau các sang chấn đụng dập • CT: xuất huyết ở các rãnh và hệ thống bể đáy • Thường kết hợp với tụ máu nội sọ • Đánh giá có thể chảy máu dưới nhện gây chấn thương (bệnh nhân xuất huyết tự nhiên và sau đó ngã) • Biến chứng: – Co thắt động mạch: 2 -3 ngày sau chấn thương
Tổn thương sợi trục lan tỏa • Lực xé và xoay làm gián đoạn hệ thống sợi trục • Cơ chế: chấn thương do tăng tốc và giảm tốc đột ngột • Chẩn đoán hình ảnh – Không rõ qua CT – MRI thể hiện rõ mức độ tổn thương • Không có biện pháp điều trị đặc hiệu • Có thể gây các tổn thương thần kinh trên bệnh nhân có CT bình thường nhưng tổn thương nặng
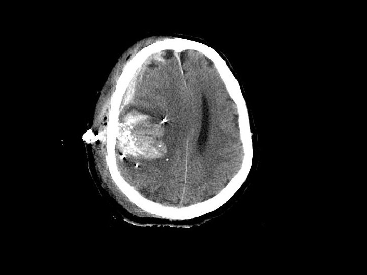
Vết thương thấu • Vết thương hỏa khí hoặc đâm • Gặp ở thành thị lớn • Chấn thương vượt qua đường giữa có kết quả điều trị kém • Vùng trước cung mày/mũi tăng nguy cơ nhiễm khuẩn
Dịch tễ của chấn thương sọ não • Thay đổi tùy quốc gia, nhìn chung: – Thường gặp ở bệnh nhân nam (tuổi 15 -30) – Quan sát được CTSN trên CT trong các trường hợp: • Người già (>65 tuổi) • nhi (<10 tuổi) • Cơ chế chấn thương: – Tai nạn giao thông (ô tô, xe máy, đi bộ, xe đạp) – Ngã (đặc biệt là ở trẻ em và người già) – Hành hung • Liên quan đến rượu
Phân loại chấn thương thần kinh • Nhiều cách phân loại • Chấn thương nhẹ – GCS = 15, Không mất tri giác – Tỉnh táo, trí nhớ và khám thần kinh bình thường – Không có biểu hiện của vỡ xương sọ • Trung bình – – Mất tri giác, trí nhớ trong thời gian ngắn GCS = 14 Giảm tỉnh táo, trí nhớ Không có biểu hiện của vỡ xương sọ
Phân loại chấn thương thần kinh • Trung bình hoặc có nguy cơ diễn biến nặng – – – Mất tri giác kéo dài (>5 minutes) GCS 9 -13 Dấu hiệu thần kinh khư trú Động kinh sau chấn thương Tổn thương nội sọ trên CT scan Khám có vỡ xương, lún sọ • Nặng: – GCS < 8 – Kiểm soát đường thở
Chăm sóc trước khi đến viện • Đánh giá GCS ban đầu • Cố định cột sống • Duy trì đường thở trong các trường hợp chấn thương sọ não vừa và nặng – Bóp bóng duy trì thông khí với thở oxy – Đặt nội khí quản không có tác dụng • Nhiều nghiên cứu cho thấy có thể gây hại
Bệnh sử • Cơ chế chấn thương – Có động kinh sau chấn thương? • Chăm sóc trước viện – Thuốc (và tần suất) – Cố định cột sống • Tiền sử bệnh • Dị ứng • Thuốc – Đặc biệt các thuốc chống đông • Uốn ván
Khám ban đầu • Theo xử trí cấp cứu (A, B, C, D, E) • Đánh giá GCS của bệnh nhân – Có thể sử dụng thang điểm AVPU • Alert: tri giác • Verbal stimuli: kích thích lời • Painful stimuli: kích thích đau • Unresponsive: mức độ đáp ứng • Bảo vệ cột sống cổ • Vận đông các chi trong trường hợp bệnh nhân dùng thuốc liệt cơ
Khám ban đầu: can thiệp đường thở • Chỉ định nội khí quản thường gặp trong chấn thương • Ở Hoa kỳ, đặt nội khí quản nhanh là tiêu chuẩn trong điều trị – Thuốc • Lidocaine: 1 -2 mg/kg IV 3 -4 phút trước đặt, phòng ngừa tăng áp lực nội sọ trong đặt – Giảm đau • Etomidate: 0. 3 mg/kg, không tác dụng lên huyết áp • Benzodiazepines/Thiopental: tình trạng dịch cơ thể phải bình thường – Giãn cơ • Succinylcholine: 1 -1. 5 mg/kg, giãn cơ trong 5 phút • Rocuronium: 1 mg/kg, giãn cơ trong 20 -30 phút
Thang điểm Glasgow đánh giá độ hôn mê (GCS) GCS dùng cho người lớn GCS nhi khoa Mở mắt Đáp ứng bằng lời nói Đáp ứng vận động Tự nhiên Khi gọi Làm đau không 4 3 2 1 Tự nhiên Khi gọi Làm đau không Chính xác Lẫn lộn Vô nghĩa Phát âm khó hiểu Không 5 4 3 2 1 Giao tiếp bình thường Bứt rứt/khóc Khóc khi bị làm đau Rên rỉ khi bị làm đau Không Theo yêu cầu Đáp ứng với đau Gạt khi kích thích đau Co cứng mất vỏ Duỗi cứng mất não Không 6 5 4 3 2 1 Vận động tự nhiên Co tay hoặc chân khi chạm Co tay hoặc chân khi đau Co cứng mất vỏ Duỗi cứng mất não Không 4 3 2 1 5 4 3 2 1 6 5 4 3 2 1
Khám lần 2 • Đánh giá GCS lần 2 • Đồng tử • Khám thần kinh – – Dây thần kinh sọ não Vận động Cảm giác Phản xạ
Khám lần 2 • Khám sọ não: – Vết thương và khả năng vỡ xương sọ – Đánh giá có vỡ nền sọ • Chảy máu tai • Dấu hiệu đeo kính râm • Dấu hiệu Battle – tụ máu sau tai, thường xuất hiện sau 12 giờ • Chảy dịch não tủy qua mũi: – Halo test: nhỏ 1 giọt dịch lên nền khăn, thấy có các cục máu đông có viền khác màu (CSF) – Dịch não tủy có glucose, nước mũi không có
Xét nghiệm chẩn đoán • CT scan: – – – Phương pháp cơ bản Giảm tỷ lệ thương tật và tử vong Đánh giá tình trạng xương và não Nhanh (<1 phút trong CT nhanh) Bệnh nhân bị ăn tia nhiều Chi phí lớn
Chẩn đoán • CT scan: – Bệnh nhân tỉnh và CT bình thường ít có nguy cơ thần kinh xấu đi • Cho ra viện theo dõi – Hạn chế CT: • Không xác định được phù sợi trục lan tỏa • Không xác định được cấp máu cho não
Chẩn đoán • Chụp sọ: – Phát hiện dị vật – Rẻ tiền và không dùng trong trường hợp nghi có tổn thương não – Dùng cho trẻ nhỏ (<1 tuổi) có vẻ bình thường nhưng có thể có tụ máu dưới da đầu
Chẩn đoán • MRI: – Tốt hơn CT – Có thể phát hiện dấu hiệu tổn thương sợi trục lan tỏa và các chấn thương không phát hiện được trên CT scan – Không là biện phát chẩn đoán thường quy • 30 – 45 phút để chụp • Đắt tiền và không phổ biến
Đánh giá – chấn thương sọ não nhẹ • Chụp CT sọ não đánh giá chẩn đoán nếu phù hợp – GCS 14 -15 với khoảng tỉnh: • CTSN trên CT trong 4 -15% • Phẫu thuật 1 -3% • Chỉ định chụp CT đúng là rất khó – GCS = 14: cần CT scan cho bệnh nhân – GCS = 15: không phải bệnh nhân nào cũng cần CT scan • Nhiều thang điểm đánh giá quyết định chụp CT đã được xuất bản
GCS = 15: chỉ định chụp CT • Theo phác đồ Canada Stiell I, Lancet, 2001 • Theo phác đồ New Orleans Haydel, New England Journal Medicine, 2000 • Theo phác đồ NEXUS Mower W, Journal Trauma, 2005 • Hướng dẫn xử trí CTSN NICE – http: //www. nice. org. uk/nicemedia/live/11836/36259. pdf • Các phác đồ được đưa ra để chúng ta có chỉ định chụp CT cho bệnh nhân có GCS = 15 một cách thích hợp, nhưng các phác đồ này có thể lại làm tăng tần suất chỉ định chụp CT
Phác đồ Canadan trong chụp CT sọ não • Bệnh nhân có nguy cơ cao (có chỉ định phẫu thuật) – Bệnh nhân không đạt được GCS=15 trong vòng 2 giờ sau chấn thương – CT sọ hở hoặc vỡ nền sọ – Nôn từ 1 lần trở lên – Tuổi > 65 • Nguy cơ trung bình (dùng cho các trường hợp có CTSN trên phim CT) – Mất trí nhớ >30 phút của thời gian trước tai nạn – Cơ chế chấn thương có nguy cơ cao: tai nạn ô tô hay đi bộ, bị văng ra khỏi ô tô, ngã cao độ cao 3 feet/ 5 bậc thang
Phác đồ chụp CT New Orleans • • Giảm trí nhớ ngắn hạn: 5/9 bệnh nhân Say rượu: 19/176 bệnh nhân Tuổi > 60: 4/26 bệnh nhân Động kinh: 2/16 bệnh nhân Nhức đầu: 4/81 bệnh nhân Nôn: 1/15 bệnh nhân Chấn thương vùng trên xương đòn: 1/197 bệnh nhân
Phác đồ NEXUS • Tuổi < 65 • Không có dấu hiệu vỡ xương sọ hoặc tụ máu dưới da đầu • Không bất thường thần kinh • Không có bất thường tri giác • Không thay đổi hành vi • Không bệnh lý đông máu • Không nôn • Nếu các dấu hiệu trên âm tính, không có chỉ định chụp CT
Hướng dẫn NICE • • • GCS < 13 trong lần khám đầu GCS < 15 trong vòng 2 giờ đầu sau chấn thương Nghi ngờ có vết thương hở, lún sọ, vỡ nền sọ Động kinh sau chấn thương Dấu hiệu thần kinh khư trú Nôn nhiều lần trên người lớn Bệnh lý đông máu Mất trí nhớ sự kiện > 30 phút trước tai nạn Tuổi > 65 kèm mất tri giác hoặc mất trí nhớ Cơ chế chấn thương nguy cơ cao (đi bộ bị ô tô đâm, văng ra khỏi xe ô tô, xe máy hoặc ngã cao trên 1 m hoặc 5 bậc thang) kèm mất tri giác hoặc mất trí nhớ
GCS = 15: chỉ định chụp CT • Yếu tố nguy cơ chấn thương trên phim CT từ các nghiên cứu đã tiến hành: – Người già: > 60 hoặc 65 tuổi – Nôn – Thay đổi tình trạng tri giác/ bất thường về khám thần kinh – Vỡ xương sọ: lún sọ, vỡ nền sọ, vỡ xương – Mất tri giác kèm với triệu chứng (nhức đầu, buồn nôn, v. v) – Động kinh sau chấn thương – Rối loạn đông máu (dùng máu chống đông)
GCS = 15: các chú ý trong CT • Nếu không có CT: : – Chuyển sang trung tâm có chụp CT – Theo dõi ở phòng cấp cứu hoặc giữ theo dõi nội viện
Nhi khoa: chỉ định chụp CT • Bệnh nhân nhi khoa không giống bệnh nhân người lớn • Chỉ định chụp CT sọ não nhi khoa khác với người lớn • Nguy cơ nhiễm xạ do chụp CT cao hơn ở trẻ em • Nghiên cứu đánh giá chỉ định chụp CT sọ não cho trẻ em – 42, 412 trẻ em GCS = 14 -15 – Kuppermann, Lancet; 2009; 374: 1160
Gợi ý phác đồ chỉ định chụp CT cho bệnh nhân trên 2 tuổi có GCS 14 -15 sau CTSN GCS = 14 hoặc các dấu hiệu thay đổi tri giác hoặc vỡ xương sọ Có Chỉ định CT 14. 0% cộng đồng 4. 3% có nguy cơ lâm sàng CTSN Không Có Bệnh sử mất tri giác, hoặc nôn, hoặc cơ chế chấn thương nặng, hoặc nhức đầu nhiều Không 27. 7% công đồng 0. 9% nguy cơ của LS CTSN 58. 3% trong cộng đồng <0. 05% nguy cơ CTSN Không chỉ định CT Theo dõi hoặc Chụp CT dựa vào: Kinh nghiệm của BS Nhiều dấu hiệu hoặc dấu hiệu đơn thuần Triệu chứng xấu đi hoặc có biểu hiện sau khám ở khoa cấp cứu Cha mẹ yêu cầu
Gợi ý phác đồ chỉ định chụp CT cho bệnh nhân trên 2 tuổi có GCS 14 -15 sau CTSN GCS = 14 hoặc có biểu hiện thay đổi tri giác hoặc dh vỡ xương sọ Có 13. 9% cộng đồng 4. 4% nguy cơ CTSN Không Có Tụ máu vùng chẩm/trán/thái dương, hoặc Mất tri giác > 5 sec, hoặc cơ chế chấn thương nặng, hoặc Cha mẹ nói có biểu hiện không bình thường Không Chỉ định CT 32. 6% trong cộng đồng 0. 9% có nguy cơ CTSN 53. 5% trong cộng đồng <0. 02% nguy cơ CTSN Không có chỉ định CT Theo dõi hoặc CT: dựa theo các dấu hiệu lâm sàng: Kinh nghiệm thầy thuốc Nhiều dấu hiệu hoặc dấu hiệu đơn thuần Xấu đi hoặc có triệu chứng sau theo dõi ở phòng cấp cứu Tuổi < 3 tháng Cha mẹ yêu cầu
Điều trị CTSN nhẹ • Cho bệnh nhân ra viên trong trường hợp CT bình thường: – Người lớn (Livingston, Tạp chí ngoại khoa 2000) • 2, 152 bệnh nhân người lớn có CT bình thường • 1 bn phải mở sọ do có vỡ xương sọ mà không có phát hiện được trên CT scan • Giá trị ước lượng âm tính (NPV) đối với chỉ định mở sọ = 99. 94% – Nhi khoa (Holmes, AEM 2010) • 13, 543 trẻ em có CT bình thường • Không có chỉ định mở sọ • NPV đối với mở sọ = 100%
Điều trị chấn thương sọ não nhẹ • Hướng dẫn theo rõi sau ra viện • Các dấu hiệu cần theo rõi sau chấn thương – Giải thích các triệu chứng sau sang chấn – Tránh các hoạt động có thể gây sang chấn vùng đầu (i. e. thể thao) • Nhức đầu: paracetamol, aspirin • Buồn nôn/nôn: thuốc chống nôn
CTSN trung bình /nặng
Đánh giá CTSN trung bình/nặng • A, B, C, D, E – Duy trì đường thở GCS < 8 – Đề phòng giảm huyết áp và thiếu oxy • Tụt áp: tăng nguy cơ tử vong 3 lần • Giảm oxy tổ chức: tăng nguy cơ tử vong 2 lần • Vận động các chi trước liệt nếu có thể • Trường hợp hôn mê, đánh giá chức năng cuống não: – Phản xạ giác mạc: chớp mắt (Dây V và VII)
Đánh giá CTSN trung bình/nặng • GCS ≤ 13 • CT scan (nếu bệnh nhân ổn định) • Nếu không có CT, hội chẩn với phẫu thuật thần kinh và chuyển đến nơi có CT • Chụp CS cổ: CT cho cột sống cổ đối với các trường hợp GCS thấp
Điều trị CTSN trung bình/nặng • Duy trì áp lực tưới máu não và đường thở – Điều trị giảm oxy tổ chức và hạ huyết áp ngay lập tức • Theo dõi áp lực nội sọ đối với các trường hợp GCS < 8 – Không có bằng chứng kết quả tiến bộ – Có thể thực hiện ở Khoa cấp cứu nhưng thông thường được thực hiện ở phòng mổ do Bs PTThần Kinh • Nâng đầu (30 ) nếu không có CT CS cổ
Điều trị CTSN trung bình/nặng • Mannitol – Tăng HA động mạch trung bình và giảm áp lục nội sọ – Bệnh nhân phải ổn định • Không dùng nếu mất thể tích vì có thể gây tụt áp – Duy trì lượng dịch cơ thể – Duy trì osmol huyết thanh < 320 mmol/L
Điều trị CTSN trung bình/nặng • Mannitol – Tiêm nhanh tĩnh mạch 0. 5 – 1 gram/kg • Lặp liều tiêm tốt hơn truyền – Chỉ định • Tăng áp lực nội sọ: trong trường hợp có đặt theo rỗi áp lực nội sọ • Dùng trong cấp cứu: – Dấu hiệu tụt kẹt hạnh nhân tiểu não – Dấu hiệu thần kinh xấu đi
Điều trị CTSN trung bình/nặng • Chống động kinh – Dùng trong 7 ngày đầu sau chấn thương đối với bệnh nhân có CTSN nguy cơ cao: • GCS<10, CT có đụng giập, tụ máu hoặc lún sọ, động kinh • Không có bằng chứng về hiệu quả của dùng chống động kinh sau 7 ngày – Phenytoin 15– 18 mg/kg tĩnh mạch • Carbamezapine và kepra – Động kinh cấp: • Điều trị chuẩn: – oxygen – Benzodiazepines, phenytoin, barbituates
Điều trị CTSN trung bình/nặng • An thần – Đặt nội khí quản cần dùng an thần để hạn chế tăng áp lực nội sọ (đối kháng với máy thở) – An thần phải phù hợp với việc cần khám thần kinh lặp lại để theo dõi – Chống đau: • Fentanyl là lý tưởng trong CTSN – An thần: • Propofol: dùng tăng liều đối với bệnh nhân CTSN • Benzodiazepines: • Barbiturates: dùng liều cao đối với các trường hợp tăng áp lực nội sọ không kiểm soát.
Điều trị CTSN trung bình/nặng • Phẫu thuật – Mở sọ • Chỉ định trong có khối choán chỗ • Kết quả tốt hơn nếu có chỉ định kịp thời • Khối máu tụ lớn (đè đẩy), lún sọ, vết thương xuyên sọ (cắt lọc vết thương) – Theo dõi áp lực nội sọ/mở não thất • Theo dõi áp lực và dẫn lưu dịch não tủy
Điều trị CTSN trung bình/nặng • Khoan sọ cấp cứu – Chỉ định trong trường hợp bệnh nhân có dấu hiệu thần kinh xấu đi và khối máu tụ tăng kích thước và không có bác sĩ PT Thần kinh tại chỗ – Dùng các biện pháp khác để giảm áp lực nội sọ trước khi dùng biện pháp này – Khoan sọ cùng bên với bên giãn đồng tử ở vùng thái dương – Bs cần phải thành thạo kỹ thuật này trước khi thực hiện
Điều trị CTSN trung bình/nặng • Tăng thông khí – Trước kia là điều trị chuẩn trong CTSN – Nay là chống chỉ định • Kết quả xấu trong các bệnh nhân được tăng thông khí dự phòng (Muizelaar, J Neurosurg 1991) – Không tăng thông khi dự phòng – Mục tiêu p. CO 2: ~ 35 mm. Hg • Không được để p. CO 2 xuống dưới 30 mm. Hg
Điều trị CTSN trung bình/nặng • Tăng thông khí – Không tăng thông khí trong vòng 24 h đầu sau chấn thương – Tăng thông khi ngắn hạn khi có triệu chứng thần kinh xấu đi cấp tính – Tăng thông khí đối với tăng áp lực nội sọ mà không điều trị được bằng an thần, giã cơ, dẫn lưu dịch não tủy và lợi tiểu • Đây là 1 trong những biện pháp điều trị cuối cùng
Điều trị CTSN trung bình/nặng • Kháng sinh – Vỡ nền sọ – không có bằng chứng cho thấy kháng sinh dự phòng có ích lợi – Vỡ xương sọ hở • Tranh cãi, không nhiều bằng chứng củng cố • Kháng sinh điều trị các vi khuẩn trên da
Điều trị CTSN trung bình/nặng • Corticosteroids – Được cho là làm giảm phù não – Thử nghiệm CRASH (Roberts, Lancet 2004; 364: 1321) • 10, 008 bệnh nhân trong nghiên cứu ngẫu nhiên đối chứng – Tăng nguy cơ tử vong với steroids • Nguy cơ tương đối = 1. 18 (95% CI 1. 09, 1. 27) – Không có chỉ định điều trị cho bệnh nhân CSTSN
Điều trị CTSN trung bình/nặng • Nước muối ưu trương – Không có hiệu quả trong 2 thử nghiệm lâm sàng ngẫu nhiên có đối chứng • Giảm thân nhiệt – Thử nghiệm với bệnh nhân CTSN đơn thuần – Không có bằng chứng lâm sàng về hiệu quả • Albumin – Không có giá trị và không có chỉ định • Progesterone – Có hứa hẹn trong nhiều nghiên cứu nhỏ • Wright, Ann Emerg Med 2007; 49: 391 – Thử nghiệm lớn đang được thực hiện ở Mỹ
Điểm cần nhớ • Tránh giảm oxy tổ chức và giảm huyết áp • Duy trì đường thở nếu GCS ≤ 8 • Tránh tăng thông khí – duy trì p. CO 2 35 -40 mm. Hg • Mannitol trong trường hợp có thoát vị não hoặc thần kinh xấu đi • Chống động kinh đối với bệnh nhân có nguy cơ động kinh sau chấn thương • Chuyển mổ kịp thời các trường hợp có chỉ định mở sọ
Điểm cần nhớ • Suy giảm tình trạng tinh thần có thể do tổn thương não ở bệnh nhân say rượu • CT scanning là tét sàng lọc lựa chọn nhưng không cần thiết chỉ định cho bệnh nhân có CTSN nhẹ • Bệnh nhân có CT bình thường ít có nguy cơ xấu đi và có thể cho ra viện nếu các dấu hiệu khác bình thường