CAS CLINIQUE Patiente de 85 ans Origine italienne



































- Slides: 35
CAS CLINIQUE
Patiente de 85 ans Origine italienne Retraitée, veuve, vit seule à Stains 3 enfants Pas de consommation alcolo-tabagique
ATCD: -HTA -Diabète -PTI diagnostiqué en octobre 2013 avec plaquettes à 88000 Myélogramme: nombreux mégacariocytes sans anomalies TDM abdominal: pas de splénomegalie Présence d’Ac anti GP IIb-IIIa Reste du bilan autoimmune négatif
PTI résistant à plusieurs lignes de traitement: -corticothérapie à forte dose (Mars 2014 - PLT à 18000 57000) -Ig. IV (juillet 2014 - PLT à 17000 28000) -4 cures de RITUXIMAB (Mars 2015 - PLT à 13000 26000) Myélogramme de contrôle en Mars 2015: dilué Apparition d’une myélémie: myélocytes neutrophiles à 5, 8%, métamyélocytes 5, 1% et blastes à 1, 4%
Myélodysplasie débutante? Pas d’indication à un traitement par stimulants des recepteurs de la thrombopoïétine Juin 2015: Décision d’un traitement par DANATROL 400 mg/j
HISTOIRE RECENTE Nuit du 01 -02/ janvier 2016: diarrhée non glairo-sanglante avec douleurs abdominales Bilan biologique aux Urgences: -Hb 7, 6 g/d. L vs 12 g/d. L sur un bilan de ville du 30/12/2015; VGM 88 -PLT 24000 -créatinine 140 mmol/L -CRP 45 mg/L
TDM abdomino-pelvienne le 02/01/2015 sans IV: Pas d’hématome profonde intra ou retropéritoneal Discret épanchement intrapéritoneal La patiente est transfusée de 3 culots globulaires et en plaquettes puis transférée dans le service
PLUSIEURS EPISODES DE DEGLOBULISATION
Hypothéses diagnostiques Examens complémentaires
Saignement Hémolyse Anémie d’origine centrale (suspicion de myélodysplasie)
Biologie Hb 7, 6 g/d. L VGM 88 Reticulocytes: 121000 LDH: 450 Bilirubine tot: 8 mmol/L Haptoglobine: N Vitamine B 12: 242 ng/L Folates: 15, 7 mcg/L Test de Coombs: négatif
Jamais de saignements extériorisés Pas de méléna, pas de rectorragies Patiente en bon état général, absence de douleurs abdominales Fibroscopie gastrique: normale Coloscopie non réalisée (déjà réalisée un an auparavant)
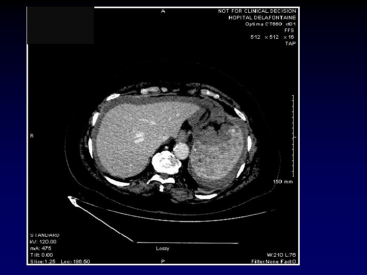
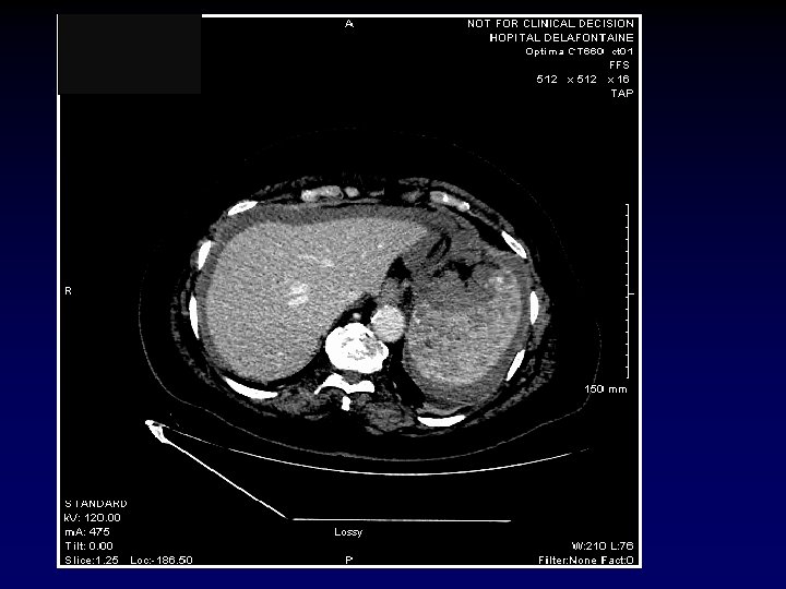
SCANNER ABDOMINAL AVEC IV le 07/01 Hématome avec aspect de fuite active au bord supéro-interne de la rate avec majoration de l’épanchement péritonéal et aspect de fuite active de contraste à deux niveaux Densité splénique hétérogène au temps portal prenant un aspect nodulaire
Transfusion de culot globulaire et plaquettes Corticothérapie 1 mg/kg Embolisation splénique par radiologie interventionelle au CCN le lendemain (branches supérieurs et moyennes de l’artère splénique)
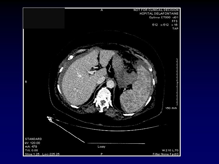
Bonne évolution clinique et biologique Sans autre déglobulisation Scanner à J 7: absence de saignement actif, la collection péri-splénique a presque complètement disparue Hb de sortie: 10 g/d. L
Systematic review of atraumatic splenic rupture P. Renzulli 1, A. Hostettler 1, A. M. Schoepfer 1, 2, B. Gloor 1 and D. Candinas 1 1 Department of Visceral Surgery and Medicine, Inselspital, Berne University Hospital, and University of Berne, Switzerland, and Farncombe Family Institute of Digestive Health Research, Mc. Master University, Hamilton, Ontario, Canada 1 January 1980 to 30 June 2008 (Medline, EMBASE, Cochrane Library) Patients over 18 years Old Papers written in English, German, French, Italian, Spanish or Japanese. Splenic ruptures of predominantly iatrogenic or traumatic origin were excluded.
632 publications reporting 845 patients 2: 1 male predominance Age 45 (median 45, range 18– 86) years. - 59 patients (7%) spleen was described as being completely normal and no aetiological factor - 711 patients (84%) a single aetiological factor was found - 69 patients (8%)) the splenic rupture was related to two underlying pathologies
Splenomegaly 465 patients (55%) 660 (85, 3%) of 774 had surgery within 24 h of the diagnosis of splenic rupture Multivariable logistic regression analysis - splenomegaly OR 2· 34 (95 % c. i. 1· 04 to 5· 26) P = 0· 040 - age above 40 years OR 1· 94 (95 % c. i. 1· 20 to 3· 13); P = 0· 007 ASR-related mortality rate
RESEARCH ARTICLE Open Access 613 cases of splenic rupture without risk factors or previously diagnosed disease: a systematic review F Kris Aubrey-Bassler 1, 2, 3* and Nicholas Sowers 4
ITP and splenic rupture Postgrad Med J (1993) 69, 744 - 746 i) The Fellowship of Postgraduate Medicine, 1993 Spontaneous rupture of the spleen in association with idiopathic thrombocytopaenic purpura M. C. Winslet, M. J. Webberley, V. Melikian' and I. A. Donovan Department of. Surgery and 'Medicine, Dudley Road Hospital, Dudley Road, Birmingham B 18 7 QH, UK Summary: Spontaneous rupture of the spleen is rare and has not been previously reported in association with idiopathic thrombocytopaenic purpura. Its rarity makes familiarity with its presentation difficult and may result in a potentially fatal delay in diagnosis and treatment.
Peliosis esple´nica como causa de rotura esponta´nea del bazo Splenic peliosis as a cause of spontaneous splenic rupture Alejo Fernández Muinelo a, , David Iglesias Diz a, José María Couce Santiago a, María Isabel Martínez Lema a, Francisco J. Gómez Lorenzo a a Servicio de Cirugía General y Aparato Digestivo, Complexo Hospitalario de Ourense, Orense, España
Rotura espontánea de bazo por peliosis esplénica en una paciente con púrpura trombocitopénica autoinmune tratada con danazol Rotura espontánea de bazo; Peliosis esplénica Sr. Editor: La rotura espontánea atraumática de bazo es un hecho suficientemente descrito en el contexto de enfermedades hematológicas malignas como leucemias agudas, leucemias crónicas y linfomas 1 o enfermedades infecciosas como mononucleosis infecciosa 2 y Brucelosis 3, entre otras. Dentro de la patología hematológica no tumoral representa un hecho excepcional. En el caso de la púrpura trombocitopénica autoinmune (PTAI) se han publicado últimamente casos de rotura esplénica asociada a peliosis, secundaria a tratamiento con danazol Presentamos el caso de una paciente con PTAI refractaria a los corticoides, tratada con danazol, que en su curso evolutivo presentó un cuadro de shock hipovolémico, secundario a rotura esplénica espontánea. Nesher G, Dollberg L, Zimran A, Hershko C. Hepatosplenic peliosis after danazol glucocorticoids for ITP. N Engl J Med 1985; 312: 242 -243.
2007 Nov; 86(4): 329 -32. Splenic peliosis in a patient with aplastic anemia during danazol therapy. Arai S 1, Asai T, Uozaki H, Hangaishi A, Kanda Y, Motokura T, Chiba S, Kurokawa M. Author information 1 Department of Hematology and Oncology, Graduate School of Medicine, University of Tokyo, Japan. Abstract We experienced a case of danazol-induced splenic peliosis. A 42 -year-old woman had taken danazol for refractory aplastic anemia for 2 years. Her anemia gradually became aggravated, and the patient complained of intermittent left upper-abdominal pain. Because computed tomography scanning showed multiple blood-filled cavities in the enlarged spleen without intraperitoneal hemorrhage, a splenectomy was emergently performed. This report is the first of a case of splenic peliosis developing during danazol therapy for aplastic anemia. The possible association between the administration of anabolic steroids or danazol and the development of peliosis is discussed
DANATROL Danazol, principe actif de Danatrol dérivé synthétique isoxazole de l'éthistérone substance antigonadotrope ayant une activité androgénique et anabolisante modérée et dénuée de propriétés estrogéniques et progestatives.
PELIOSE Maladie rare caractérisée par des troubles de la microcirculation sanguine dans lequel le tissu est parsemé de cavités remplies de sang. Grec πελιός livide bleuâtre Il désigne l’aspect macroscopique péliotique qui se caractérise par la présence de tâches rouges-bleuâtres à sa surface. Foie et Rate Ganglions, moelle osseuse, poumon, reins (rare)
CAUSE Contraceptifs oraux Stéroides anabolisants TBC , VIH Maladie de Hodgkin myélome, anémie aplasique cancer métastasé Dans ces cas atteinte splénique et hépatique La péliose splénique isolée est normalement asymptomatique Diagnostic accidental en imagérie ou autoptique
ETIOLOGIE Nécrose cellulaire avec formation de kystes Obstruction de l’outflow hépatique au niveau de la jonction sinusoide –veines centra lobulaires Pour les stéroïdes anabolisants : prolapsus des hépatocytes hyperplasique dans la paroi des veines hépatiques Lésion de la barrière sinusoidale – perméabilité accrue puisque nombreuses globules rouges sont observés au niveau de l’espace de Disse
CASE REPORT Splenic peliosis: an unusual entity 1 J DAVIDSON, MBBS, MRCS and 1 K TUNG, FRCR 1 Southampton General Hospital, Southampton University Hospitals Trust, Tremona Road, Southampton SO 16 6 YD, UK On contrast-enhanced CT images significant enhancement with loss of definition of the lobules and septa. Fluid–fluid levels can also be seen (haematocrit levels) -Calcification or extra-capsular extensions tend not to be seen unless the lesions rupture, -Subcapsular haematoma in association with intraperitoneal haemorrhage radiological differential diagnosis of peliosis includes haemangiomatosis lymphangioma and angiosarcoma. The British Journal of Radiology, 83 (2010), e 126–e 128 e 126 The
Rupture spontanée de rate chez une patient atteinte de PTI et traitée par Danazol Arrêt du traitement Hémogramme de février 2016: Hb 13, 5 g/d. L PLT 35000/mmc Leucocytes 5240/mmc
CONCLUSIONS - La rupture de rate est une complication rare mais classique des pathologies à tropisme splénique, potentiellement mortelle. - Y penser devant toute déglobulisation non traumatique, notamment dans un contexte de douleurs abdominales et un terrain propice - Le danazol peut induire une péliose splénique qui peut elle-même être cause de rupture spontanée de la rate