TRANSIO CARDIORRESPIRATRIA NEONATAL APS O NASCIMENTO 22 Simpsio















































![Entre 460 crianças randomizadas (idade gestacional média [DP], 25, 30 [0, 97] semanas; 50, Entre 460 crianças randomizadas (idade gestacional média [DP], 25, 30 [0, 97] semanas; 50,](https://slidetodoc.com/presentation_image_h/940e2c7ba9b011ed087ec55119a635c2/image-48.jpg)







- Slides: 55
TRANSIÇÃO CARDIORRESPIRATÓRIA NEONATAL APÓS O NASCIMENTO 22º Simpósio Internacional de Neonatologia do Hospital Santa Joana, 11 -14 de novembro de 2019, São Paulo Realizado por Paulo R. Margotto Neonatologista Ultrassonografista Cerebral do Hospital Santa Lúcia e Maternidade Brasília Unidade de Neonatologia do Hospital Materno Infantil de Brasília (HMIB, SES/DF Comunicado! O Dr. Navantino comunica o falecimento do Dr. Henrique Rigatto (Canadá) aos 82 anos, o dia 11/9/19 que teve enorme contribuição na Neonatologia Internacional www. paulomargotto. com. br Brasília, 31 de dezembro de 2019
Nesta Conferência vou-lhes mostrar a fisiopatologia da respiração fetal, composição do fluido pulmonar e o clearance do fluido pulmonar, a fisiologia cardiovascular e pulmonar na transição ao nascimento, as causas, fisiopatologia e diagnóstico de síndromes de asfixia aguda e crônica e a fisiologia básica da reanimação. Todos sabemos que mais bebês morrem no primeiro dia de vida, frequentemente devido a uma falha no período de transição e é aí que cada um de nós podemos fazer a diferença, não importa se o recém-nascido (RN) seja de 22 ou 42 semanas. A oportunidade de fazer a transição neonatal na repercussão da mortalidade é de grande importância.
-Tivemos mudanças muito importantes no paradigma da reprodução humana que causaram impacto na transição neonatal após o nascimento. Quero assinalar algumas. -Olhando a estatística vital do Brasil numa população de mais de 230 milhões, a taxa de fertilidade caiu de 6, 13/1000 em 1950 para 1, 75/1000 em 2018, alta taxa de cesariana ( mais alta do mundo!), 11, 5% de pré-termo e uma diversidade surpreendente da população ((PDF]SUS – Sci. ELO)
A taxa de cesariana no Brasil duplicou desde o ano 2000 -Acho extraordinário que em menos de 20 anos mudamos completamente a taxa de cesariana (isto não ocorrem em 70 mil anos, desde a origem da raça humana, o homo sapiens). -Essa mudança na taxa de cesariana provavelmente vai ter impacto a longo prazo no que acontece, não somente na transição do neonato, mas o que vai ocorrer com a fisiologia materna. Observem as taxas de cesarianas como percentagem de todos nascimentos vivos por país.
Vejam essa foto de um nascimento por cesariana no Brasil: fazem festa para observar a cesariana, uma comemoração na cultura brasileira!
Por que os neonatos tem tanta dificuldade com essa transição respiratória ao nascer? -Durante meses o bebê é totalmente dependente da sua mãe. A mãe cuida de todas as suas necessidades fisiológicas. -Entre os desafios estão: complacência da parede torácica, pulmões rígidos , resistência muscular limitada, imaturo controle respiratório, frequência respiratória rápida, constante de tempo curta, , circulação de transição, pequena traqueia, alta resistência endotraqueal, ou seja, HÁ NECESSIDADE DE ENTENDERMOS A FISIOLOGIA, QUE É O OBJETIVO DESSA CONFERENCIA. Pense na fisiologia antes de fazer qualquer coisa. Assim podemos ser mais gentis com esses bebês para não rompermos a parede dos seus pulmões.
Fisiologia da transição -A TRANSIÇÃO COMEÇA COM ESSAS DUAS FUNÇÕES: RESPIRAÇÃO E CIRCULAÇÃO. Essas duas coisas necessita de ocorrer para o bebê que vai deixar de ser um feto sem maiores consequências. -Respiração: movimentação dos gases para dentro e fora dos alvéolos; ocorre automaticamente num ritmo mecânico. -Respiração + Circulação: a combinação de ambas permite a troca gasosa
Mudanças Fisiológicas ao Nascer -Se pensarmos nas alterações fisiológicas, os alvéolos estão repletos de líquido. -De onde vem esses líquido? -O feto está submersos no útero durante toda a gestação. -Ao nascer o fluido do alvéolo é trocado por ar para estabelecer a capacidade funcional residual (CFR) e uma respiração rítmica. - Vamos falar sobre as mudanças circulatórias: o clampeamento do cordão umbilical, o aumento da resistência vascular sistêmica, relaxação dos vasos sanguíneos em resposta as mudanças alveolares, o equilíbrio ventilação/perfusão e trocas gasosas pulmonares
O Líquido Pulmonar Fetal -Durante a via fetal os espaços pulmonares são preenchidos por líquido pela entrada de cloreto que vem das células epiteliais para os espaços alveolares. -Esse íon está endo secretado com uma taxa altíssima e essas secreção de cloreto, atrai o sódio e consequentemente a água. -Esse líquido é crucial para manter os espaços aéreos em um estado distendido (a falta de liquido no pulmão leva a uma hipoplasia pulmonar).
Dinâmica do Fluido Pulmonar Fetal -Essas secreção de líquido é de 4 a 6 ml/kg (ovelha): 250 -300 ml/dia no feto humano. -O gradiente de pressão é de 3 -5 cm H 20 através da laringe e cria um colume pulmonar de 20 -30 ml. -Rápidos movimentos da laringe permitem a secreção desse líquido para o saco amniótico. -Assim o pulmão se comunica constantemente com o líquido amniótico, trazendo informações sobre a sua maturidade, razão pela qual antigamente avaliávamos a maturidade pulmonar pelo exame do líquido amniótico. Esse processo é essencial para o desenvolvimento pulmonar.
Dinâmica do Fluido Pulmonar Fetal -A dinâmica do liquido pulmonar já foi estudada extensamente. - A secreção é um sistema de transporte muito elaborado que pode ser inibida pela bumetanide, vasopressina, beta adrenérgicos. -A absorção é facilitada por um canal de sódio, inibida pela amilorida. -Em estudos animas, o fechamento desse canal foi letal ao nascimento, pois os animais não conseguiam fazer o clearance do líquido pulmonar. Foi isso que trouxe a tona que o bebê não é burro. -Ele tem um sofisticado processo de transição e não devemos negligenciar esse plano do bebê. -Pare e pense. : Você aterrissaria um avião numa pista sem colocar o sistema de pouso para baixo antes? Você não gostaria de ter um aviso, um alerta que chegou o momento de pousar o avião, que o trem de pouso precisa ser posto em movimento para que você possa usar os freios quando necessário? O que estamos fazendo é não dar ao bebê a oportunidade de pensar e planejar essa transição após o nascimento. É exatamente isso quando estudamos a fisiologia do pulmão na transição.
Composição do Líquido Pulmonar Fetal e Neonatal -O líquido alveolar foi concebido e uma forma muito inteligente. -Ele tem uma concentração ALTÍSSIMA DE CLORETO, uma concentração mais alta do que em qualquer outro líquido do organismo, porque a secreção do cloreto é MUITO ACIDÓTICA, mas vejam que NÃO TEM PROTEÍNA. Sabe por que? Porque se contivesse proteína, imediatamente após o parto você não conseguiria fazer o clearance do líquido por causa da proteína e da água. - MÃE NATUREZA DIZ: vou criar um líquido para que imediatamente após o parto possa ocorrer rapidamente o clearance pulmonar. Pulmonary lymph flow and the uptake of liquid from the lungs of the lamb at the start of breathing. Humphreys PW, Normand IC, Reynolds EO, Strang LB. J Physiol. 1967 Nov; 193(1): 1 -29. PMID: 16992278. Free PMC Article. Similar articles. Artigo Integral! Composition of alveolar liquid in the foetal lamb. Adamson TM, Boyd RD, Platt HS, Strang LB. J Physiol. 1969 Sep; 204(1): 159 -68. PMID: 5389263. Free PMC Article. Similar articles. Artigo Integral
Dinâmica do Fluido Pulmonar Fetal -Então o que estamos vendo aqui é que nos 2 -3 dias antes do início do trabalho de parto espontâneo, tanto o bebê como a mãe já sabem que chegou a hora do nascimento. -SEMPRE QUE FAÇO ESSAS DECLARAÇÃO FICO ARREPIDAO e imediatamente começo a pensar: como é que o bebê sabe que o parto vai começar 2 -3 dias antes e já começou a desligar a produção do líquido pulmonar? Labor decreases the lung water content of newborn rabbits. Bland RD, Bressack MA, Mc. Millan DD. Am J Obstet Gynecol. 1979 Oct 1; 135(3): 364 -7. PMID: 484627. Similar articles
AGORA, PENSE NO NASCIMENTO POR CESARIANA ELETIVA! -Não há nenhum tipo de alerta prévio, principalmente se a cesariana foi feita com 38 semanas, 38 semanas e meia de gestação, quando o canal de sódio epitelial não foi expresso na forma e na quantidade que precisa ser. -Durante o parto há uma redução ainda maior desse líquido até o nascimento e a respiração toma conta daqueles 40% de líquido que sobrou. - 35% sai durante os dias antes do nascimento através da diminuição da produção do líquido pela diminuição do cloreto, há aumento do transporte de sódio do espaço alveolar, há aumento da pressão oncótica linfática. -30% saem durante o trabalho de parto (os canais de sódio desvia esse processo pela reabsorção ativa de sódio). -35% é clareado no pós-natal ( pela distensão pulmonar, que aumenta a pressão transpulmonar, pelo aumento da pressão oncótica linfática associado com baixo nível de proteína alveolar)
O Paradigma do Clearance do Líquido Pulmonar Fetal -No meu laboratório em Atlanta passamos quase 20 anos trabalhando no fluido do pulmão fetal. REDEFINIMOS A FORMA COMO ENTENDEMOS A DIN MICA DO LÍQUIDO PULMONAR. -Esse canal foi expresso de formas diferentes nas células epiteliais pulmonares demonstrando que as células tipo I tem canais de sódio riquíssimos. -Então o sódio vai da superfície apical para dentro da célula, atravessa a superfície basolateral e o cloreto passa pelo CFTR e isso leva a movimentação da água através dos canais de aguaporin. A. -As células epiteliais pulmonares tem 4 tipos de canais aguaporina. -A MÃE NATUREZA nos deu a capacidade de fazer a transição de neonatos sem problemas. Se houver mudança de um canal de aguaporina, o outro assume. É um mecanismo IMPRESSIONANTE. É assim que o movimento do sal e da água e leva ao clearance do líquido pulmonar. Por isso é importante saber que fazer a sucção da boca do nariz não é tão relevante no período de transição do neonato (Figura a seguir)
O Paradigma do Clearance do Líquido Pulmonar Fetal Então essa troca de produção do líquido pulmonar fetal para o pulmão acontece em grande parte durante a gestação ( 39 semanas ou mais). -Queria enfatizar isto pois já perdemos uma semana de gestação. ISSO NO PARTO VAGINAL E DUAS SEMANAS NO CASO DE CESARIANA ELETIVA. Como já disse , tudo que não aconteceu na historia da humanidade, aconteceu nos últimos 20 -30 anos. Perdemos 1 ou 2 semanas de gestação. E NÃO É SURPREENDENTE? -Os bebes que nascem dessa forma (cesariana eletiva com 38 semanas) tem dificuldade de se alimentar (as mães relatam!), não conseguem estabilizar completamente o seu processo de alimentação.
O Paradigma do Clearance do Líquido Pulmonar Fetal As catecolaminas, glicocorticoides, vasopressina, aldosterona desempenham papel importante nessas mudanças durante o trabalho de parto no clearance pulmonar e tudo isso acontece conjuntamente com o surfactante
Quais são as vantagens fisiológicas do surfactante -O meu programa de fellow foi totalmente sobre ao fisiologia do surfactante. -O problema é que sempre que você tem ar e liquido isso cria uma tensão superficial e essa tensão precisa de ser reduzida, pois somente assim que você vai conseguir fazer expansão pulmonar e por isso que a MÃE NATUREZA ou DEUS criou o surfactante que permite que os alvéolos se expandam. Isso é crucial. Você precisar ter essa conexão entre o ar e o líquido. -Mantenham os alvéolos secos pela redução a transudação de fluidos - Alta tensão superficial suga os fluidos capilares para os alvéolos! -Porque quando você tem surfactante em pulmões semipreenchidos com líquido, a distribuição surfactante é totalmente diferente quando você oferece um surfactante posteriormente.
Fisiologia da transição Esteja atento ao ciclo vicioso -A fisiologia da transição pulmonar pode ir muito bem, mas quando s coisas não vão bem existe um ciclo vicioso onde temos a epóxi que leva a hipotensão (a hipoxia causa a vasoconstrição pulmonar e vasodilatação sistêmica que faz com que a pressão arterial caia. .
Interação dos reflexos Autonômicos -Existe uma interelação grande entre o reflexos autonômicos: a hipotensão, a bradicardia, a apneia interagem e criam um ciclo de vícios nos RN. -Existem reflexos muito pouco entendidos como o reflexo de proteção da laringe, (Henrique Rigatto escreveu esse reflexo pela primeira vez !) - Os estudo do Dr. Henrique Rigatto recentemente falecido tem tudo a ver com esse período de transição (reflexo esofágico, a falta da insuflação pulmonar)
O que causa a Bradicardia -A falta de distensão pulmonar (para a expansão adequada do pulmão você não precisa distender excessivamente os pulmões, você precisa apenas fazer uma distensão pulmonar adequada para que as paredes alveolares sintam essa expansão e isso ativa o transporte de sódio, ativa vários outros receptores, inclusive os quimiorreceptores. O estimulo periglótico causa o reflexo laríngeo que é importantíssimo.
Importância da Insuflação Pulmonar A expansão pulmonar : -estabelece a capacidade funcional residual (dentro de 1 hora 80 -90% da CFR é estabelecida se estiver tudo bem), -faz o clearance do líquido pulmonar, -aumenta o fluxo sanguíneo para o pulmão, -aumenta a frequência cardíaca nos bebês com bradicardia, -aumenta a pressão arterial em recém-nascidos
Expansão Pulmonar e Vasodilatação Pulmonar -Aumenta a aeração pulmonar, levando ao aumento do oxigênio e p. H. - A vasodilatação pulmonar, com produção de óxido nítrico, aumenta o fluxo sanguíneo pulmonar, estimula o clearance do líquido amniótico e a produção de surfactante
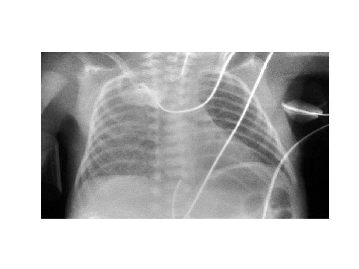
Estejam Atentos a atelectasia pela Alta Concentração de Oxigênio É muito importante que evitemos as armadilhas que MÃE NATUREZA não queria que nós caíssemos, como um fluxo livre com alta concentração de oxigênio. -Ao inspirarmos o ar, temos O 2, pouco CO 2 e o que mais tem é o nitrogênio e desse gás inerte os pulmões dependem para manter os alvéolos abertos. -Aos respiramos 21% de oxigênio o nitrogênio permanece nos alvéolos para mantê-los aberto, mas quando inspiramos O 2 em alta concentração e expiramos, isso elimina o nitrogênio. Quando o O 2 É ABSORVIDO PRINCIPALMENTE EM ÁREAS QUE ESTÃO PARCIALMENTE BLOQUEADAS essas áreas entram em colapso porque não há mais nitrogênio para manter os alvéolos abertos. -Esse é um exemplo fantástico de um bebê que desenvolveu atelectasia relacionado ao oxigênio porque recebeu uma cânula de alto fluxo com uma alta concentração de O 2. Veja esse pulmão. A doença do lado desse pulmão é totalmente diferente do outro lado. E esse bebê tinha 37 semanas de gestação. Você não esperaria uma deficiência de surfactante! (veja figura a seguir)
Reflexo de Distensão Pulmonar -O reflexo de distensão pulmonar leva a redução do tônus vagal que aumenta a frequência cardíaca (FC). -A deflação leva a um aumento do tono vagal com diminuição da FC QUE ESTÁ RELACIONADA A APNEIA. -Temos também aquele reflexo paradoxal de Head, (a insuflação pulmonar aumentaria a FC antes das mudanças dos gases sanguíneos)
Interação Autonômica dos Reflexos Erros no manejo da Bradicardia!!! -Quando pensamos em todos esses reflexos combinados vemos que o reflexo esofágico distal é tão importante quanto ao reflexo laríngeo. -Quantas vezes estamos tentando intubar um bebe e dissemos: há tem um pouquinho de líquido, quero fazer a aspiração dessas bolhinhas e você o faz com um cateter na região perilaríngea e o que ocorre: estimula o reflexo de proteção da laringe (através das fibras c) porque MÃE NATUREZA diz: se chegar alguma coisa perto da laringe ( pode se um alimento que está voltando: eu dormir e a MÃE NATUREZA fecha essa abertura da traqueia) -O reflexo laríngeo leva a um espasmo laríngeo , apneia, bradicardia e você tentar fazer a reanimação do bebê para interromper o processo de apneia e bradicardia e ao continuar fazendo a aspiração sem perceber que todas as vezes que fazemos essa aspiração perto da região da laringe nós mesmos estamos provocando esse reflexo.
Reflexos quimioreceptores carotídeos/ Reflexo Esofagiano Distal -Há outros reflexos quimioreceptores estimulados pela hipoxia levando a vasoconstrição periférica, estimulação da respiração pelo nervo vago, causando bradicardia. -O reflexo esofagiano distal é também muito é importante. Quando nós adultos temos um pouquinho de refluxo (alimentos que ingerimos volta para o esôfago distal) e isso começa a causar laringoespasmos e estridor. Isso se aplica aos bebês também. -O aferente é o nervo vago (Bauman, 1994)* -Quando estamos passando pelo Berçário, vemos episódios acontecer. Não há apneia , mas há uma queda na FC e isso frequentemente ocorre devido a um refluxo do esôfago distal causando a bradicardia. Vejam então que a fisiologia da transição é muito complexa devido a interação com diferentes reflexos. *Reflex laryngospasm induced by stimulation of distal esophageal afferents. Bauman NM, Sandler AD, Schmidt C, Maher JW, Smith RJ. Laryngoscope. 1994 Feb; 104(2): 209 -14. PMID: 8302126. Similar articles
Resposta à Asfixia -Quanto ao reflexo do mergulho: foi criado para preservar a circulação para os órgãos essenciais. -Quando mergulhamos fazemos isso sem respirar e com uma diversão do oxigênio para as glândulas adrenais, carótidas, cérebro. -Essa rede de distribuição sanguínea é importante, mas também leva a asfixia, danos renais e a outros órgãos privados de oxigênio. ISSO DEVE SER EVITADO POIS O OBJETIVO É REMOVER A CIRCULAÇÃO SANGUINEA PARA O PULMÃO E UMA VENTILAÇÃO ADQUADA TAMBÉM.
Circulação Fetal - Já foi discutido em outra Conferência que o CANAL ARTERIAL tem um papel crucial na circulação. -É importante que ensinemos aos estágiários porque é importante vocês obterem as saturações radiais corretas. -NOS VASO PÓS-DUCTAIS, VOCÊ NÃO VAI TER VALORES CORRETOS (pense no foram ovale aberto, (se tiver hipertensão pulmonar haverá shunt da D-E). -A perda da placenta leva a um aumento da resistência vacular sistêmica.
Óxido nítrico -O OXIDO NITRICO (NO TEM UM PAPEL TAMBÉM CRUCIAL nessa transição do recém-nascido -A ATVAÇÃO da produção do NO ocorre através de vários mecanismos (Figura). -A perda do NO em diversas situações ocorrem complicações gravíssimos, principalmente a piora da asfixia.
Asfixia e Encefalopatia hipóxico -isquêmica Quanto a asfixia e Encefalopatia hipóxico- isquêmica (EHI): a incidência é de 3 -5/1000 nascidos vivos; mortalidade: 20 -50% com sequelas em 30 -60% dos sobreviventes. No diagnóstico: p. H do cordão <7, Apgar de 0 -3 no 5º minuto, sinais neurológicos, envolvimento de multiórgãos.
Sobrevivência após morte aparente -FIZ UM ESTUDO QUE FOI PUBLICADO EM 1991. * -Começamos a avaliar os dados em 1986. -Avaliamos 81242 nascimento consecutivos. -Tínhamos informações sobre as mães e os recémnascidos ONDE NÃO OCORREU A TRANSIÇÃO. -Tivemos 613 RN com escore de Apgar de 0 com 1 minuto; a maior parte dos bebês tiveram mortes fetais (520). 93 foram reanimados, 62 responderam; 36 sobreviveram e tiveram alta para casa; 60% dos sobreviventes estavam intactos com 1 ano de vida. Somente de pois de 10 minutos começamos a pensar em desistir *Cardiopulmonary resuscitation of apparently stillborn infants: survival and long-term outcome. Jain L, Ferre C, Vidyasagar D, Nath S, Sheftel D. J Pediatr. 1991 May; 118(5): 778 -82. PMID: 2019934. Similar articles
Asfixia Perinatal e Encefalopatia Hipóxio-Isquêmica Fatores Perinatais -Entre os fatores perinatais conhecidos de todos para um desfecho ruim ao nascer: maternos: idade, diabetes, rotura prolongada de membranas, morte neonatal prévia; Perinatal: restrição do crescimento intrauterino, prolapso de cordão, rotura uterina, placenta acreta, hemorragia;
Mecanismo da lesão cerebral e morte celular Quanto ao mecanismo da lesão neuronal e morte celular: -Lesão mínima, há mínima redução de ATP seguida por recuperação; -Modera lesão: depleção bifásica, apoptose; - Severa lesão: severo insulto: falha de energia com predominante necrose; a fosfocreatina mais rapidamente é depletada.
Reanimação -A reanimação se tornou muito simples. -Se seguirmos os passos corretamente podemos ajudar muitos bebês. A assistência ventilatória foi necessária em 6, 2 -18, 6% das crianças; 1% necessitou de reanimação avançada. -A predicção antenatal foi possível em apenas 50%. -Falha para estabelecer a frequência cardíaca em 10 minutos resultou em morte ou severa desabilidade permanente. *Cardiopulmonary resuscitation of apparently stillborn infants: survival and long-term outcome. Jain L, Ferre C, Vidyasagar D, Nath S, Sheftel D. J Pediatr. 1991 May; 118(5): 778 -82. PMID: 2019934. Similar articles
Erros no manuseio da SEVERA BRADICARDIA -Falha para expandir os pulmões adequadamente (Milner 1991). -o pulmão é um órgão que responde muito bem se conseguirmos expandí-lo adequadamente -ou estamos usando pressão insuficiente, insuficiente tempo inspiratório, problemas nas vias aéreas; -falha para iniciar a massagem cardíaca; -uso precoce de drogas é terrível; -reflexo laríngeo uma vez estimulada a laríngea, o bebe diz: “ainda não, estou tentando proteger a minha via aérea”.
Efeitos com 10 minuto de Asfixia -O p. H passa de 7, 3 para 6, 8, -A Pa. CO 2 passa de 45 para 150 e -A Pa. O 2 passa de 25 para 0, -Aumento do lactato. - Ocorre alterações circulatórias e mudanças pulmonares como: aumento da pressão na artéria pulmonar, diminuição da produção de surfactante e aumento da destruição de surfactante. Por isso todo segundo que passa aumenta o risco de lesão cerebral
Quero concluir dizendo que há muito que aprender, há muito a se descobrir. . .
Nota do Editor do site Dr. Paulo R. Margotto. Consultem também! Aqui e Agora! Da página neonatal www. paulomargotto. com. br! ONLINE SEMPRE! pmargotto@gmail. com
1996 Em homenagem ao Dr. Rigatto, veja a excelente Conferência! DOENÇA DA MEMBRANA HIALINA: EVOLUÇÃO DE UMA IDEIA Henrique Rigatto (Canadá). XV CONGRESSO BRASILEIRO DE PERINATOLOGIA 23 a 28 de Novembro/1996 – Belo Horizonte – MG Reproduzido por Paulo R. Margotto Liggins e Howie, em 1972, demonstraram o efeito benéfico dos corticosteroides no pré-natal na maturação pulmonar. Eu estava no grupo estatístico da época que analisou o trabalho destes autores, sendo este trabalho, simples e bem feito considerado um trabalho perfeito do ponto de vista cientifico. Na verdade, as grandes modificações científicas ocorrem através do talento e do brilho de um indivíduo.
-Gregory e eu fomos fellow no Cardiovascular Research Institute, na Califórnia. Na época, foram usadas pressões altíssimas (15 -20 cm. H 2 O) e o que aconteceu no Berçário é que Gregory rompeu o pulmão de muitos RN e só por tentativas é que se chegou a uma pressão ideal -Willian K. Hamilton, um anestesiologista chamou o Gregory, que era um fellow como qualquer um de nós e disse a ele: você não vai ter nenhuma atividade no Centro Cirúrgico, você vai ficar no Berçário tentando o uso do CPAP e foi isto que Gregory fez. Gregory foi o fellow do homem que na verdade teve a ideia do CPAP. Muito pouca gente sabe disso. É claro que Gregory é um individuo de talento e desenvolveu muito bem a ideia original de Hamilton. Gregory é hoje Professor Emérito da Universidade da Califórnia. O CPAP aumentou a sobrevida de 12, 5 para 80%. De todas as coisas que fizemos até hoje para tratar a DMH, o que produziu o decréscimo dramático da mortalidade foi o uso de CPAP.
Para finalizar: vimos aqui uma historia de uma doença descrita no inicio do século e passamos a entender a sua causa, aprendemos como tratar e estamos aprendendo como prevenir. O importante é dizer que na verdade conquistamos esta doença graças aqueles trabalhos de gente que não tinha nada a ver com o pulmão, como o de La Place. Esta é a maneira na verdade como o progresso se faz: descobertas até que se forme uma ideia mais coerente do que é o problema e como resolver
E Vejam também. . . por Navantino Alves Filho a História da Neonatologia Brasileira (vale a pena!) HISTÓRIA DA NEONATOLOGIA – ALGUMAS PÉROLAS NO BRASIL IX Congresso Iberoamericano de Neonatologia – SIBEN. PROF. NAVANTINO ALVES FILHO. TITULAR DE PEDIATRIA. FACULDADE DE CIÊNCIAS MÉDICAS DE MINAS GERAIS, BELO HORIZONTE, BRASIL “ Eu quase que nada não sei, mas desconfio de muita coisa ” “Grande Sertão e Veredas” João Guimarães Rosa (1908 – 1967) (quando se compartilham as Apresentações dos Congressos e Simpósio todos aprendemos muito mais! Lute por essa ideia!)
MELHORANDO A TRANSIÇÃO NEONATAL AO NASCER PARA O PRÉ-TERMO-EVIDÊNCIA RANDOMIZADA – Abrir o pulmão cheio de fluido e mantê-lo aberto Haresh Kirpalani (EUA). 14 o Congresso Brasileiro de Terapia Intensiva Pediátrica, Brasília, 22 -25 de junho de 2016. Realizado por Paulo R. Margotto A primeira questão fisiológica é como passar de um pulmão cheio de líquido para um pulmão cheio de ar ("A sombra do vale do nascimento" como chamou Clement Smith em 1951). - Há duas teorias propostas para se estabelecer a capacidade residual funcional (CFR), a da bomba e sódio (mais absorção de fluido do que secretado; processo lento) e mecânica (forças mecânicas de forçar o ar para dentro do pulmão com fluido consegue secá-lo e para mantê-lo aberto com uma parede torácica complacente que colapsa é necessária a PEEP, havendo um efeito aditivo quando se combina com a insuflação sustentada [IS]). -O que é insuflação sustentada? Varia de acordo com os diferentes estudos realizados, não havendo consenso quanto ao valor da pressão (20 -30 cm H 2 O e a duração (5 a 20 segundos), ou seja temos que aprender muito. -Sabemos que o bebe ao respirar ao nascer gera uma altíssimo pressão para abrir esta coluna de líquido (90 cm H 2 O). Este é o argumento da insuflação sustentada. Se está certo ou não, estamos estudando.
-O ensaio internacional coordenado pelo Dr. Kirpalani já está em andamento (já recrutados 200 bebê entre 23 a 26 semanas) de um total necessário de 650) com IS (15 segundos) +CPAP nasal, comparando com reanimação padrão, com acompanhamento até 36 semanas de idade pós-concepção (quando será avaliada a displasia broncopulmonar), com previsão de término em 2018. - Os autores não sabem se o que estão fazendo neste ensaio será eficaz, mas temos que aguardar. A insuflação sustentada é uma terapia promissora e necessita de um ensaio randomizado internacional
RESULTADOS DO ESTUDO DE INSUFLAÇÃO SUSTENTADA Efeito de Inflações Sustentadas vs Ventilação Intermitente por Pressão Positiva na Displasia Broncopulmonar ou Morte em Bebês Extremamente Prétermos: Ensaio Clínico Randomizado SAIL. Effect of Sustained Inflations vs Intermittent Positive Pressure Ventilation on Bronchopulmonary Dysplasia or Death Among Extremely Preterm Infants: The SAIL Randomized Clinical Trial. Kirpalani H, Ratcliffe SJ, Keszler M, Davis PG, Foglia EE, Te Pas A, Fernando M, Chaudhary A, Localio R, van Kaam AH, Onland W, Owen LS, Schmölzer GM, Katheria A, Hummler H, Lista G, Abbasi S, Klotz D, Simma B, Nadkarni V, Poulain FR, Donn SM, Kim HS, Park WS, Cadet C, Kong JY, Smith A, Guillen U, Liley HG, Hopper AO, Tamura M; SAIL Site Investigators. JAMA. 2019 Mar 26; 321(12): 1165 -1175. doi: 10. 1001/jama. 2019. 1660. PMID: 30912836 Free PMC Article. Similar articles. Artigo Livre
Entre 460 crianças randomizadas (idade gestacional média [DP], 25, 30 [0, 97] semanas; 50, 2% do sexo feminino), 426 crianças (92, 6%) completaram o estudo. -Displasia broncopulmonar: no grupo de insuflação sustentada x reanimação padrão: sem diferenças (P=0, 29) -Morte com menos de 48 horas de idade: ocorreu mais no grupo da insuflação sustentada (7, , 4%) versos 1, 4% no grupo de reanimação padrão (P=0, 002) -Dos 27 resultados secundários de eficácia avaliados até 36 semanas de idade pós-menstrual, 26 não mostraram diferença significativa entre os grupos. Com esses resultados o estudo foi interrompido!
Conclusões e relevância -Entre os bebês extremamente prematuros que necessitam de reanimação ao nascimento, uma estratégia de ventilação envolvendo 2 insuflações sustentadas, em comparação com a ventilação com pressão positiva intermitente padrão, não reduziu o risco de displasia broncopulmonar ou morte nas 36 semanas de idade pós-menstrual. Esses achados não apoiam o uso de ventilação com inflações sustentadas em bebês extremamente prematuros, embora o término precoce do estudo limite as conclusões definitivas.
A transição ao nascer: translação da fisiologia à clínica Stuart Hoope (Austrália). 7 o Simpósio Internacional de Reanimação Neonatal, 5 -7 de abril de 2018, Foz do Iguaçu, PR. Realizado por Paulo R. Margotto, Professor de Neonatologia da 6 a Série da Faculdade de Medicina da Universidade Católica de Brasília. Unidade de Neonatologia do Hospital Materno Infantil de Brasília, SES/DF. pmargotto@gmail. com -O objetivo desta Palestra foi procurar entender como passar de um pulmão cheio de líquido para um pulmão cheio de ar, chamado por Clement Smith, em 1951 de The valley of the shadow of birth-A sombra do vale do nascimento) e como mantê-lo. -Na transição respiratória, o mais importante é a aeração dos pulmões (ou seja VENTILAÇAO e não o oxigênio!) e posteriormente, a transição cardiovascular que resulta do aumento do fluxo sanguíneo pulmonar. -Entre três mecanismos de como ocorre o clearance do líquido pulmonar, o mais recente e importante: pressões hidrostáticas transpulmonares geradas durante a inspiração. -O bebê inspira e gera um grande gradiente respiratório que acaba eliminando líquido das vias aéreas (32. 000 m. L/hora!, gerando um a capacidade funcional residual-[CFR] de 50 m. L/kg em 30 segundos; com o mecanismo sabidamente conhecido por nós [reabsorção de sódio induzida pela adrenalina] o pulmão elimina 10 m. L/kg/hora e dura 4 horas!). - O movimento do liquido tem que ser eficaz para que os RN possam aerar os pulmões e começarem as trocas gasosas. Quando o pulmão está cheio de líquido esta troca gasosa não ocorre.
-Quando o liquido que sai dos pulmões e vai para os tecidos gera uma pressão intersticial que vai de 0 -6 cm. H 2 O nas primeiras 4 horas (depois fica subatmosférica: -4 cm H 2 O e permanece por toda a vida). -A parede torácica se expande para acomodar tanto a nova CFR e o líquido que sai das vias aéreas e vai para o interstício. As consequências, entretanto, com a geração de uma pressão intersticial aumentada é que o liquido vai querer voltar para as vias aéreas. Para evitar esse fato, ao oferece PEEP, gradualmente o pulmão se enche de ar e o gás permanece no final da expiração. Assim, se você não usar PEEP, o líquido está repreenchendo as vias aéreas no final de cada respiração. - A B C Em A, B: PEEP de zero; Em C: PEEP de 5 cm. H 2 O! Imaging lung aeration and lung liquid clearance at birth using phase contrast X-ray imaging. Hooper SB, Kitchen MJ, Siew ML, Lewis RA, Fouras A, te Pas AB, Siu KK, Yagi N, Uesugi K, Wallace MJ. Clin Exp Pharmacol Physiol. 2009 Jan; 36(1): 117 -25
-Na transição cardiovascular: o coração tem que esperar até que o pulmão seja aerado para que haja redistribuição do sangue que vem do lado direito do coração através dos pulmões para restaurar o débito cardíaco. Então veja que o aumento do fluxo sanguíneo pulmonar é vital não somente para a realização da troca gasosa, mas também é vital para fornecer o retorno venoso para o lado esquerdo do coração. - Portanto, é importante que você conecte o aumento do fluxo sanguíneo pulmonar a areação pulmonar. A coisa mais importante é aerar os pulmões que vai gerar toda esta cascata fisiológica da adaptação cardiorrespiratória ao nascer!
Pontos interessantes frisados -bebê de mãe com corioamnionite pode apresentar inibição dos movimentos respiratórios pela maior produção de prostaglandina, devendo estes bebês sempre ser reanimados com pressão positiva; -parto humanizado na água: devido ao reflexo do mergulho, ou seja, a estimulação da face pode inibir a respiração (há muitos receptores na face que inibem a respiração); assim eles apresentam bradicardia (vagal) mais grave em relação se tivessem nascido no ar, devido à detecção da hipoxia pelos receptores; portanto, nascer na água com certeza vai postergar o início da respiração
Portanto--A oportunidade de fazer a transição neonatal na repercussão da mortalidade é de grande importância. É de extrema importância o entendimento da fisiologia dessa transição para sermos mais gentis com esses bebês e não rompermos a parede de seus pulmões! Ao nascer o fluido do alvéolo é trocado por ar para estabelecer a capacidade funcional residual (CFR) e uma respiração rítmica. O bebê tem um sofisticado processo de transição e não devemos negligenciar esse plano. Você aterrissaria um avião numa pista sem colocar o sistema de pouso para baixo antes? Você não gostaria de ter um aviso, um alerta que chegou o momento de pousar o avião, que o trem de pouso precisa ser posto em movimento para que você possa usar os freios quando necessário? O que estamos fazendo é não dar ao bebê a oportunidade de pensar e planejar essa transição após o nascimento. É exatamente isso quando estudamos a fisiologia do pulmão na transição. Nos 2 -3 dias antes do início do trabalho de parto espontâneo, tanto o bebê como a mãe já sabe que chegou a hora do nascimento e começar haver um desligamento da produção do líquido pulmonar. AGORA, PENSE NO NASCIMENTO POR CESARIANA ELETIVA! Não há nenhum tipo de alerta prévio, principalmente se a cesariana foi feita com 38 semanas, 38 semanas e meia de gestação, quando o canal de sódio epitelial não foi expresso na forma e na quantidade que precisa ser (35% do líquido pulmonar saem dias antes do nascimento!). A taxa de cesariana no Brasil é uma das maiores do mundo, constituindo uma comemoração na cultura brasileira! Essa troca de produção do líquido pulmonar fetal para o pulmão acontece em grande parte durante a gestação (39 semanas ou mais). tudo que não aconteceu na historia da humanidade, aconteceu nos últimos 20 -30 anos. Perdemos 1 ou 2 semanas de gestação. E NÃO É SURPREENDENTE? A expansão pulmonar é de vital importância, pois estabelece da capacidade funciona residual, melhora a bradicardia, faz o clearance do líquido pulmonar, aumenta o fluxo sanguíneo pulmonar. Estar atento a alta concentração de O 2 levando à atelectasia pulmonar pela eliminação do nitrogênio que mantém os alvéolos abertos. Entre os erros no manejo da bradicardia, está o reflexo laríngeo ao tentarmos intubar um bebê e fazemos uma aspiração dessas bolhinhas e você o faz com um cateter na região perilaríngea veja o que ocorre: estimula o reflexo de proteção da laringe (através das fibras c) porque MÃE NATUREZA diz: se chegar alguma coisa perto da laringe a MÃE NATUREZA fecha essa abertura da traqueia. O reflexo laríngeo leva a um espasmo laríngeo, apneia, bradicardia e você tentar fazer a reanimação do bebê para interromper o processo de apneia e bradicardia e ao continuar fazendo a aspiração sem perceber que todas as vezes que fazemos essa aspiração perto da região da laringe nós mesmos estamos provocando esse reflexo. Portanto há muito que aprender, há muito a se descobrir.
FELIZ 2020! Que Deus abençoe a todos nós! O agradecimento aos milhares colegas que nos visitaram e compartilham com os demais, numa contínua Corrente do Saber! Como diz Albert Einstein. . . Jamais considere seus estudos como uma obrigação, mas como uma oportunidade invejável para aprender a conhecer a influência libertadora da beleza do reino do espírito, para seu próprio prazer pessoal e para proveito da comunidade à qual seu futuro trabalho pertencer Compartilhem o seus conhecimentos e descubram a BELEZA do SABER! Reencontrar os colegas dos anos 80 -90 que escreveram a Neonatologia de Brasília foi um acontecimento Marcante e Emocionante!