Servikal Smear Kimden Ne zaman ve Nasl Yaplmal









































- Slides: 41
Servikal Smear Kimden, Ne zaman ve Nasıl Yapılmalı? Prof. Dr. Meral ABAN Kadın Hastalıkları ve Doğum Uzmanı Jinekolojik Onkoloji Cerrahisi Uzmanı İstanbul Fatih Sultan Mehmet Eğitim ve Araştırma Hastanesi
Servikal Kanser • Tüm Kanserlerin %10’unu oluşturur ve 3. sıklıkta görülen kanserdir. • Gelişmekte olan ülkelerde ise tüm kanserlerin %15’ini oluşturur ve 2. sıklıkta görülen kanserdir.
Servikal Kanserin Özellikleri • Seksüel aktivite ilişkilidir. • Prekanseröz lezyonu vardır (CIN) • Prekanseröz lezyonun süresi çok uzundur (7 -20 yıl). • Serviks spekülum muayenesi ile görülebilir.
Servikal Kanser • Tarama testlerini kullanıp erken dönemde yakalamaya uygundur. • İnvaziv servikal kanser ve buna bağlı ölümler etkin bir tarama programı ile önlenebilir.
• Servikal kanser tarama testinin rutine girmesi ile servikal kanser insidansı son 30 yılda %50 azalmıştır. • ABD’de servikal kanser insidansı 1975 yılında 100. 000 de 14. 8 den 100. 000 de 6. 5’ e düşmüştür. • Servikal kanser TARAMA programları kanserin insidansını ve mortalitesini azaltmada etkilidir. Herrero R. J Natl Cancer Inst Monogr 1996, 1 -6 van der Graaf Y. Prev Med 1986; 582 -90
1988 -1995 yılları arasında ABD’de servikal kanser taraması ile insidans %40 azaldı ve servikal kanserden ölüm oranı %50 azalma gösterdi. Quin M. BMJ, 1999, 904 -908.
Eksfolyatif Sitoloji Örnekleri (PAP SMEAR) • Servikal kanser için populasyonun taranmasında kullanılabilecek non-invazif bir yöntemdir
Pap Smear • Koilositler ilk olarak Papanicolaou(Pap) tarafından hafif displazinin belirtisi olarak tanımlandı. • 1970’ li yıllarda Meisels ve Fortin Koilositik atipinin orjininde HPV olduğunu keşfetti. • Daha sonraki yıllarda HPV nin sadece displazi değil servikal kanserin gelişiminde de asıl etken olduğu anlaşıldı.
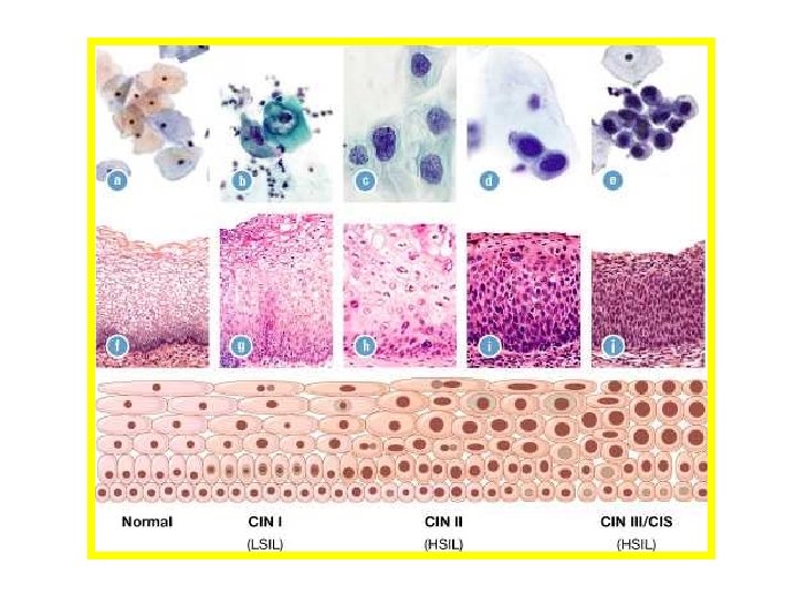
Bethesda Sistem Squamous Cell • Atipik squamous cells: Undetermined significance (ASC-US) Can not exclude High Grade (ASC-H) (2002 değişti) • HPV- LSIL • LSIL(CIN I, Mild Dysplasia) • HSIL(CIN 2 Moderate Dysplasia, CIN 3 Severe Dysplasia) • CIS • Squamous Cell Carcinoma Glandular Cells • Atypical Glandular Cells (AGC) (2002 değişti) • AGC - Favor Neoplasia • ACI • Adenocarcinoma
Servikal Smear Yöntemleri Konvansiyonel Kan, mukus, jel ile smear’ın kontamine olma olasılığı yüksek. Sıvı Bazlı Kan, debridler filtre edildikten sonra hücreler yayılmaktadır.
Pap Test İçin Hücre Toplama Aletleri 1 -Smear Aletleri: Cytobruch, dacron swab, broom instruments, sponges ve tampon. 2 -Servikovajinal lavaj aletleri: Serviks ve vajina salin içinde yıkanarak hücreler toplanır.
Smear Alma Yöntemi Sürüntü almak için servikse uygulanan aletler döndürülür (360⁰) veya kısa bir süre yerinde bekletilerek kaldırılır, sonra alet ucu preservatif solüsyona bırakılır yada lam üzerine yayılarak fikse edilir.
Konvansiyonel Sıvı bazlı
İdeal Hücre Toplama Aletleri • Geniş bir spatula ve endoservikal fırçanın birlikte kullanılması, servikal hücre elde etmek için en etkili yöntemdir. • Konvansiyonel pap smear’da serviksten alınan örnek hemen lam üzerine yayılır ve fikse edilirse hücrelerin %6 -65’i toplanmış olur. • Plastik spatulalar tahta olanlardan daha iyidir. Schooff M. American Family Physician 2004, 1661 -2 Meta-analysis
Self-collection aletleri • Konvansiyonel pap smear taramasını kabul etmeyen kadınlarda uygulanabilir (Auto-cyte screen). • Sensitivite %55 -100 • Spesitivite %84 -100 Bidus M, Clinical Obstetrics and Gynecology 2005, 127 -132.
Pap smear alınması için ideal zaman ne olmalı? • Menstruasyon dışında olmalı. • Menstruasyonun ilk gününden 15 gün sonra optimal zaman. • Örnek alınımından 3 gün önce vajinal krem, ovül kullanmamalı ve vajinal duş yapmamalı. • Cinsel ilişkiden sonra 24 saat geçmiş olması gerekir.
Sıvı bazlı sitolojinin konvansiyonele göre avantaj ve dezavantajları • Maliyeti daha yüksek • Sitoloji için toplanan materyalden aynı anda hpv, gonorrhea, klamidya çalışılabilir. • Sitologlar tarafından sıvı bazlı sitolojinin okunması daha kolaydır. • Sıvı bazlı sitolojinin sensitivitesi çok iyi fakat spesifitesi açık değil. Özellikle ASC-US oranında spesifite oldukça düşük. Arbyn M. Obstet Gynecol 2008, 167 -77 (meta-analysis)
ABD de Servikal Kanser Tarama Programı • American Cancer Society (ACS) 2002 yılında servikal kanser tarama programını güncelledi. • 2012 yılında ACS, ASCCP, ASCP ve 25 organizasyon ile birlikte yeniden güncelleme yaptı ve bu önerileri U. S. Preventive Services Task Force (USPSTF) kabul etti.
Tarama Başlama Yaşı • Yeni tarama prensiplerine göre servikal kanser taraması 21 yaşında başlamalı • 21 -29 yaş arası her üç yılda bir konvansiyonel smear veya sıvı bazlı sitoloji ile taranmalıdır ve bu yaş grubu için HPV testi kullanılması önerilmez. • 21 yaşından küçük kadınlarda seksüel aktivite başlasa bile tarama önerilmez!!!!!
• 21 yaşından önce invaziv serviks kanseri son derece nadirdir ve bu yaş grubunda tarama bazı kötü sonuçlara sebep olabilir. • Preinvaziv lezyonlar için yapılan gereksiz tedaviler servikal stenoz, preterm doğum ve prematür membran ruptürüne sebep olabilmektedir. • 21 yaşından önce tarama yapılmasının invaziv kanser insidansına etkisinin minimal olduğu bildirilmiştir. Sasieni P. , et al. BMJ 2009; 339, b 2968
HPV enfeksiyon prevelansı yaşa spesifik olarak değişir. • 12 -18 yaşında 10. 090 pap smear sonucu: • %5. 7 LGSIL • %0. 7 HSIL Wright JD. Obstet Gynecol 2005, 115 -20 • 18 -22 yaşında LSIL tanısı alan( 18 -22) 187 kadın 1 -3 yıl sonra %90 normale döndü. CIN 3’e progresyon oranı %3 bulundu. Moscicki AB. Lancet 2004, 1678 -83
Adölesanda Servikal Kanser • 21 yaşından genç popülasyonda invaziv serviks kanseri sonderece nadirdir(%0. 1) • SEER data: 2002 -2006 servikal kanser insidansı 15 -19 yaşında yılda 1 -2/1000 000. Watson M. Cancer 2008, 2855 -64
Servikal sitoloji taraması ne sıklıkla yapılmalı? 21 -29 yaşlarında 3 yılda bir yapılmalı sıvı bazlı veya konvansiyonel yöntemle 30 -65 yaşlarında • Tek başına sitoloji ile 3 yılda bir • HPV testi ve sitoloji testi birlikte (cotest) ve sonuçlar (-) ise 5 yılda bir
Tarama Sıklığı • 21 -29 yaş arası kadınlarda servikal kansere yakalanma riski 2 yıl ve 3 yıl ara ile tarananlarda farklı değildir. • 3 yıl ara ile taramada: 5 -8 yeni kanser/ 1000 kadın • 2 yıl ara ile tarama: 4 -6 yeni kanser/ 1000 kadın • Ayrıca 2 yılda bir tarananlarda kolposkopi oranları 3 yılda bir tarananlara göre %40 daha fazladır. Goldie SC. Et al. Obstet Gynecol 2004; 103, 619 Saslow D. , et al. Am J Clin Pathol 2012; 137, 516
Cotest (Sitoloji+HPV Test) • 30 ≥ yaş grubundaki kadınlarda sitoloji ile HPV testinin birlikte yapılması (cotest)daha az kolposkopi ve daha az kanser riski imkanını sağlamaktadır. • HPV testinin ilave edilmesi tarama testinin sensitivitesini özellikle CIN 3 yakalama gücünü arttırmaktadır. • Kombine test sonucu negatif geldiğinde 5 yılda bir yapılan tarama sonuçları ile 3 yılda bir yapılanlar benzer bulunmuştur. Vijayaraghavan A. Can J Public Health 2010; 101: 220 -225 Koliopoulos G, et al. Gynecol Oncol. 2007; 104, 232 Kulasingam SL, et al. Agency for healthcare Research and quality, 2011
HPV Testinin Eklenmesinin Avantajları • European Cohort Çalışma sonucu(24. 295 kadın): HPV sonucu (-) olanlarda, sitoloji sonucu (-) olanlara göre 6 yıl sonra CIN 3 riski daha düşük bildirilmiştir (0. 27% vs 0. 97%). Dillner J et al. Joint European Cohort study. BMJ 2008; 337, 1754 • Ayrıca kombine testin sensitivitesinin servikal adenokanser için daha iyi olduğu bildirilmiştir. Antilla A. , et al. BMJ 2010; 340, c 1804
Özel Durumu Olan Kadınlar • Servikal kanser hikayesi olan kadınlarda • İntrauterin DES maruziyeti olmuş kadınlarda • İmmünosüpresif kullananlarda ( transplant, kemoterapi) ve HIV pozitif kadınlarda tarama protokolü farklıdır. • Hastalığın teşhisinden sonra yılda iki defa tarama yapılır ve hiç bir yaşta taramadan çıkarılmazlar. U. S. Public Health Service and Infectious Disease Society of America
Tarama tesleri ne zaman sonlandırılmalı? • 65 yaşında 3 ardışık sitoloji testi negatif gelmişse veya son 10 yıl içinde 2 ardışık negatif cotest sonucu varsa tarama sonlandırılır. • Taraması iyi yapılmış 65 yaş üstü kadınlarda CIN 2 ve servikal kanser sık değildir. • Yeni edinilmiş bir HPV enfeksiyonunda persistans veya CIN 3 progresyonu 65 yaş üstü kadınlarda son derece nadirdir. Chen HC. , et al. J National Cancer Inst 2011, 103: 1387 -1396
CIN 2 -3 veya Servikal Kanser Tedavisi Olmuş Kadınlar • Rutin tarama protokolü en az 20 yıl devam eder ve yılda iki defa yapılır. • 65 yaşını aşsa bile taramaya devam edilmesi gerekir.
Histerektomi yapılan kadınlarda tarama testi yapılmalı mı? • CIN 2 veya daha üstü bir servikal neoplazi nedeni olmaksızın total histerektomi geçirmiş veya serviksi alınmış kadınlarda tarama yapılmaz. • Subtotal histerektomi yapılan kadınlarda tarama yapılması gerekir.
HPV aşısı ile aşılanmış kadınlarda servikal kanser tarama protokolü değiştirilmez. İmmünize olmamış kadınlardaki gibi yapılır.
Pap Smear Başarısı • Servikal kanserlerin %30’u örnekleme ve yorum hatası nedeni ile erken dönemde tespit edilememektedir Nuova J. American Family Physician 2001, 780 -86 • Hataların çoğu hücrelerin TZ’dan toplanmaması, kötü yayma, patoloğun yetersiz değerledirmesinden kaynaklanmaktadır. Farley J. Clinical obstetrics and gynecology 2005, 133 -46
Sitoloji’nin Limitasyonları • Meta-analizlere göre tek bir pap testin CIN 2, 3 veya servikal kanser yakalama sensitivitesi yaklaşık % 50 dir. • 94 çalışmadan oluşturulan bir meta-analiz sonucuna göre servikal sitolojinin sensitivitesi %30 -87, spesifitesi %86 -100 arasında değişmektedir. Nanda K, Ann Intern Med 2000, 810 -819
Servikal Sitoloji’nin Gücü “HPV testi + Sitoloji” CIN 2/3 yakalama değeri NPV Cuzick J. Vaccine 2006, 90
Sıvı Bazlı Sitoloji Konvansiyonel Sitolojiden Daha Üstün mü? • Randomize edilmiş İtalyan çalışmasında 25 -30 yaş kadınlarda iki yöntem karşılaştırıldı ve sıvı bazlı sitoloji ve konvansiyonelde sensitivite benzerdi. Sıvı bazlıda relatif PPV 0. 61 (%95 CI 0. 38 -0. 97) Ronco G, Lancet Oncol. 2006, 547 -555 • 35 yaş ve üzeri kadınlarda yapılan karşılaştırmalı bir çalışmada yine benzer sonuç elde edildi. Sıvı bazlıda relative PPV 0. 58(%95 CI 0. 72 -1. 55) Ronco G, J Natl Cancer Inst 2006, 765 -774
“Computer-assisted screening’’ Tekniği • Autocyte Screen manuel tarama yükünü %60 azaltmaktadır. Kompüter değerlendirmesini patolog kontrol ederek rapor hazırlanır. • Computer assisted teknikler pap smear değerlendirmesini kolaylaştırmaktadır, fakat maliyeti oldukça yüksektir Nuovo J. American family physician. 2001, 780 -86
Servikal Kanser Tarama Guidelines Population ACOG 2009 ACS/ASCCP/ASC P 2012 USPSTF 2012 AGOC 2012 21 yaşın altı 21 yaşta başlar 21 -29 yaş Sitoloji 2 yılda bir Sitoloji 3 yılda bir 30 -65 yaş Sitoloji+ HPV 3 yılda bir Sitoloji+ HPV 5 yılda bir Sadece sitoloji 3 yılda bir 65 yaş> 65 ve 70 yaş sonrası 3 ardışık sitoloji – ise stop 65 yaş öncesi 3 ardışık sitoloji – veya iki cotest – ise 65 yaşında stop Stop screening 65 yaş öncesi 3 ardışık sitoloji – veya iki cotest – ise 65 yaşında stop Benign nedenli histerektomi sonrası Stop screening HPV aşısından sonra Aşılanmamış kadınlargibi
SONUÇ • Servikal kanser taraması 21 yaşında başlar ve 21 -29 yaş arasında sadece sitoloji ile 3 yılda bir yapılır. • 30 -65 yaş arası kadınlarda tarama sadece sitoloji ile 3 yılda bir, cotest ( sitoloji+ HPV) ile ve sonuç – geldiğinde 5 yılda bir yapılabilir. • Hiç bir kadına hiçbir yöntemle yıllık tarama yapılmaz. • Özel durumlarda(CIN 2, 3 hikayes, HIV(+), immünsüprese ise ve İntrauterin DES maruziyeti varsa) tarama asla sonlandırılmaz ve yılda iki defa yapılır. • Benign endikasyonlardan dolayı histerektomi yapılmış kadınlarda tarama sonlandırılır. • HPV aşısı yapılmış kadınlarında non immünize kadınlar gibi taranması gerekir.
TEŞEKKÜRLER. .