OXIDO NITRICO EN SDRA Dra Paula Ortiz Equipo







































- Slides: 39
OXIDO NITRICO EN SDRA Dra. Paula Ortiz Equipo UPC Pediátrica
CASO 1
l l ♀ B. C. N. 1 mes 25 días Antecedentes l l Hospitalización reciente x BN + Apneas IFIs (-) Cuadro ingreso l l 1 día tos, coriza, dificultad respiratoria y fiebre Hospitalización 05/08 Sala IRA IFI (+) VRS l Vómitos y diarrea. l Taquicardia y mala perfusión 60 cc/Kg volumen + dobutamina + TET l 07/08: Traslado a UCIP para manejo l
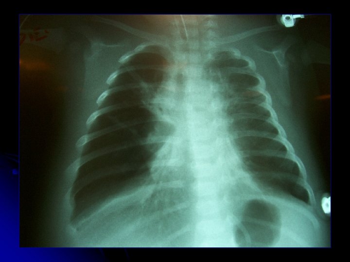
l Ingreso 07/08 l l Sepsis foco pulmonar: cefotaxima 09 - 10/08 l Signología obstructiva severa l l Deterioro radiológico y gasométrico: l l l IO 8 - 13 -16 Rx con atelectasias bilaterales Prono VAFO: PMVA 22 ΔP 43 FR 8 Hz FIO 2 70% 0: 20 hrs: p. H 7, 51 Pa. O 2 59 Pa. CO 2 39 Pa/FIO 2 84 IO 25, 9 l l Corticoides, 2, ipatropio, Mg, Ketamina, AMF
l 10 - 11/08 l l l Crisis HTTP Inicio sildenafil ( 0, 5 mg/Kg c/ 6 hrs) VAFO: PMVA 18 ΔP 43 FR 8 HZ FIO 2 90% 21: 15 hrs p. H 7, 52 PO 2 45 PCO 2 42 Pa/FIO 2 50 IO 35 01: 00 hrs NOi 20 ppm 02: 30 hrs p. H 7, 52 PO 2 60 PCO 2 42 Pa/FIO 2 63 IO 26 ECO 2 D: PAP 46 mm. Hg, disfunción diástolica leve l l l Aumento de sildenafil (1 mg/Kg c/6 hrs) Inicio de milrinona (0, 5 μ/Kg/min) Aumento de NOi 33 ppm 19: 00 hrs p. H 7, 38 PO 2 59 PCO 2 61 Pa/FIO 2 72 IO 23 Disminución progresiva NOi: 30 – 20 – 11 ppm
l 13/08 l l 15 - 16/08 l l l ECO 2 D: PAP 35 mm. Hg Se aumenta sildenafil Meta. Hb 1, 1 Se suspende NOi (rebote entre 5 – 2 ppm) 17/08 l l l Disminución de NOi a 5 ppm VMC: VC 37 ml PEEP 8 PS 10 FR 20 FIO 2 0, 5 ECO 2 D: PAP 28 mm. Hg 24/08 l l Extubación (frustra 21/08) VMNI x 5 días
l Estudio l l l EMG (22/08): No concluyente EMG (28/08): Normal RNM Cerebro (29/08): Normal Rehabilitación Alta (30/08) y control en policlínicos especialidades
CASO 2
l l ♀ A. C. A. 1 a 3 m Antecedentes l l RNPT 30 sem DBP no O 2 dependiente Atresia esofágica op Cuadro actual l l 1 semana rinorrea y tos. Fiebre 4 días Hospitalización 29/12 Rápida progresión → UCIP a VM l Rx: pneumotórax a Izq. c/drenaje l Deterioro 24 hrs: Sospecha fístula broncopleural l VM: 29/10 PMVA 15 FIO 2 80 l 31/12: Traslado a VAFO l IFIs (-)
l Ingreso 31/12 l l l Saturación 83% y escape aéreo VAFO: PMVA 25, ΔP 45, FR 9 Hz; FIO 2 100% Prono Gases: PH 7, 5 PO 2 42 PCO 2 55 Pa/FIO 2 42 IO 42 Inicio empírico de sildenafil y milrinona ATB
l 01/01 l ECO 2 D: PAP 51 mm. Hg, disfunción diastólica derecha ↑ Sildenafil 1 mg/Kg/dosis c/ 4 hrs + Milrinona 0, 7 μ/Kg/min l Crisis de HTTP: bolos de morfina, ventilación c/ bolsa, parálisis l l VAFO: PMVA 22 ΔP 49 FR 9 Hz Fi. O 2: 100% 14: 00 hrs p. H 7, 51 PO 2 45 PCO 2 41 Pa/Fi 2 45 IO 42 18: 00 hrs: NOi 20 ppm
l l l 02/01 l ECO 2 D: PAP 29 mm. Hg VAFO: PMVA 16 ΔP 45 FR 8 Hz FIO 2 100% NOi 20 ppm l p. H 7, 34 PO 2 57 PCO 2 59 Pa/FIO 2 57 IO 27 Meta Hb 0, 7 l l VAFO: PMVA 19 ΔP 49 FR 9, 4 Hz Fi. O 2 100% 19: 00 hrs PH 7, 49 PO 2 56 PCO 2 45 Pa/FIO 2 56 IO 23 04/01 l ONi 14 → 10 l Rebote: p. H 7, 61 l Meta Hb 0, 8 Pa. O 2 38 Pa. CO 2 35 Pa/FIO 2 38 IO 39
l 06/01 l l 09/01 l l Eco 2 D PAP N 10/01 l l l Suspención NOi Meta. Hb 0, 7 VMC: NAVM x Pseudomona 16/01 l Extubación l Miopatía paciente crítico l EMG compatible TAC cerebral normal l VMNI x 3 días l Rehabilitación l l 02/02 l Alta
OXIDO NITRICO EN SDRA Dra. Cristina Patarroyo Equipo UPC Pediátrica
Ferreira, R recuperado el 25 de agosto de 2008 desde: http: //www. antioxidantes. com. ar/Art 247. htm
PORQUÉ EN SDRA l Alta mortalidad 30 -50% Patología heterogénea l Óxido Nitrico l Dilata capilares vasocontraídos en zonas mejor ventiladas: l l mejora relación V/Q Disminuye la Hipertensión pulmonar Efectos extrapulmonares l Disminuye la agregación plaquetaria l Disminuye migración de células inflamatorias
FISIOPATOLOGÍA HTP Crit Care Med 2007: Vol 35 Nº 9
PREGUNTA Y BUSQUEDA l Efectividad del NOi en SDRA en población pediátrica (< 18 años) l 110 l Revisiones sistemáticas l 9 l artículos 2 artículos pediátricos
A Randomized, Controlled Study of the 1 -hour and 24 -hour Effects of Inhaled Nitric Oxide Therapy in Children With Acute Hypoxemic Respiratory Failure Ronald W. Day, Elizabeth M. Allen and Madolin K. Witte l l l Chest 1997 Children Medical Center Utah Prospectivo, randomizado, controlado 26 pacientes pediátricos con SDRA l ½ con NO 10 ppm antes de las 24 horas l l l 7/12 Pa/FIO 2 > 20% grupo tratado 1/12 grupo no tratado Todos con NO despues de las 24 horas l l 5/7 mantenían Pa/FIO 2 > 20% grupo tratado 4/12 Pa/FIO 2 > 20% grupo no tratado inicialmente
Chest 1997; 112; 1324 -1331
Multicenter randomized controlled trial of the effects of inhaled nitric oxide therapy on gas exchange in children with acute hypoxemic respiratory failure Dobyns E; Cornfield D; Anas N; Fortenberry J; Tasker R; Lynch A; Liu P; Eells P; G l l l The Journal of Pediatrics 1999 Multicentrico Prospectivo, randomizado, controlado Se enrolan 108 niños con SDRA l l Mejora la oxigenación Efecto mantenido en el tiempo
Pa/FI 2 OXIGENACION IO J Pediatr 1999; 134: 406 -12
Inhaled nitric oxide for acute hypoxemic respiratory failure in children and adults J Sokol, S E Jacobs, D Bohn l The Cochrane Central Register of Controlled Trials 2003 l Objetivo: evaluación sistemática del efecto del NOi vs placebo en mortalidad y morbilidad en SDRA, en estudios randomizados controlados. l Se analizan 5 trabajos : 543 pacientes. l Dos trabajos incluyen niños
OXIGENACION
MORTALIDAD
MORTALIDAD
CONCLUSIONES l NOi puede ser útil como tratamiento de rescate en un periodo corto de tiempo (24 – 96 horas). l No parece tener ningún impacto significativo en mortalidad. l Faltan datos para los puntos más relevantes en clínica (mortalidad, días sin ventilación, duración hospitalización, seguimiento a corto y largo plazo). Inhaled nitric oxide for acute hypoxemic respiratory failure in children and adults J Sokol, S E Jacobs, D Bohn
Effect of nitric oxide on oxygenation and mortality in acute lung injury: systematic review and meta-analysis N J Adhikari, K E A Burns, J O Friedrich, J T Granton, D J Cook, MO Meade l BMJ. 2007 Toronto l Pacientes (adultos y pediátricos) con SDRA o ALI. l Resultados principales: - Mortalidad - Duración ventilación - Oxigenación - PAP - Eventos adversos
OXIGENACION Efecto en la Pa/FIO 2
Fig 2 Effect of nitric oxide on mortality. Weight is the relative contribution of each study to the overall estimate of treatment effect on a log scale assuming a random effects model. Two trials with >=50% of control patients crossing over to nitric oxide also reported mortality data. w 2 w 6 Inclusion of these trials did not alter summary mortality estimate (risk ratio 1. 09, 0. 94 to 1. 27) MORTALIDAD Adhikari, N. K J et al. BMJ 2007; 334: 779 Copyright © 2007 BMJ Publishing Group Ltd.
EFECTO ADVERSO Adhikari, N. K J et al. BMJ 2007; 334: 779 Copyright © 2007 BMJ Publishing Group Ltd.
CONCLUSIONES l El NOi se asocia a aumento limitado de la oxigenación en pacientes con SDRA o ALI pero no confiere beneficio en mortalidad y puede ser perjudicial. l No lo recomiendan para uso rutinario en este tipo de pacientes. Effect of nitric oxide on oxygenation and mortality in acute lung injury: systematic review and meta-analysis N J Adhikari, K E A Burns, J O Friedrich, J T Granton, D J Cook
COMENTARIOS l Faltan estudios en pediatría con objetivos validos para las características de nuestra población l Terapia de alto costo (50 dolares/hora + IVA) no totalmente validada l Terapia de rescate en población seleccionada l Debe ser precedida de otras medidas terapéuticas
PROPUESTA Algoritmo de uso NOi en SDRA pediátrico
VM protectora Prono VAFO Vasoactivos Sildenafil SDRA • Hipoxemia refractaria • Hipertensión pulmonar Saturación < 80% PEEP > 10 IO > 20 ¿TIEMPO? • Iniciar 20 ppmx 30 min • Si mejora: • Disminuir a 10 ppm x 30 min • Luego disminuir a 5 ppm • Titular la menor dosis. Oxido nitrico Si no mejora : Test 4 horas Respondedor: No respondedor Aumento de Pa. Fi , IO en > 20% Disminución PAP > 10% Control de niveles de meta. Hb basal y diario ECMO? Suspensión NOi CAUTELOSA Estabilización Fi. O 2<40 PEEP <6 -7 Hemodinamia OK • Aumentar a 40 ppm x 30 min • Luego a 20 ppm x 30 min • Luego 10 ppm x 30 min • y finalmente 5 ppm. • Titular la menor dosis • Suspensión • 1 ppm cada 30 min y evaluar condición clinica.