General principles and classification Case collection for small










































- Slides: 42
General principles and classification Case collection for small group discussion: General principles, classification, concepts of stability, their influence on bone healing, and how to apply implants to achieve appropriate stability Please note: There may not be enough time to discuss all cases in this document. Depending on the duration of the discussion session, the Course Chair needs to select an adequate number of cases. As a rule of thumb, allow for 15– 20 minutes discussion time for every case. Course chairs can also prepare their own cases. AO Trauma Basic Principles Course
Table of contents • Case 1: Diaphyseal femoral fracture • Case 2: Closed humeral shaft fracture • Case 3: Closed tibial shaft fracture • Case 4: Forearm fractures • Case 5: Open forearm fractures • Case 6: Open tibial and fibular fracture
Diaphyseal femoral fracture Case for small group discussion: General principles, classification, concepts of stability, their influence on bone healing, and how to apply implants to achieve appropriate stability AO Trauma Basic Principles Course
29 -year-old woman, motorcycle crash • Retrograde amnesia • Closed femur fracture • No other injuries 3 2 B 2
Postoperative X-rays
• 4 months postoperative • No complaints • Unrestricted walking
• 1 year postoperative • Works without restrictions or pain
Summary and take-home messages • The treatment of choice for most femoral fractures is a reamed, locked intramedullary nail. • Interlocking is important for axial and rotational stability. • Early weight bearing is the goal. • Implant removal is not routinely recommended.
Closed humeral shaft fracture Case for small group discussion: General principles, classification, concepts of stability, their influence on bone healing, and how to apply implants to achieve appropriate stability AO Trauma Basic Principles Course
24 -year-old man, motorcycle crash • Blunt thoracic trauma, otherwise stable, • Closed humerus fracture L radial nerve intact • Closed ankle fracture R
24 -year-old man, motorcycle crash 1 2 B 2
• • Treatment goals Options Timing Patient positioning
4 days postoperative
95 days postoperative • No complaints • Full range of motion of shoulder and elbow
Summary and take-home message • Diaphyseal fractures require anatomical restoration of length, rotation, and alignment of the bone. • Relative stability is all that is required for diaphyseal fractures. • An intramedullary nail acts as a medullary splint to provide relative stability. • Indirect bone healing is anticipated with relative stability constructs.
Closed tibial shaft fracture Case for small group discussion: General principles, classification, concepts of stability, their influence on bone healing, and how to apply implants to achieve appropriate stability AO Trauma Basic Principles Course
37 -year-old male pedestrian, struck by car bumper • GCS < 8 • ABC stable • No other injuries • Classification:
37 -year-old male pedestrian, struck by car bumper 4 2 A 3 4 F 2 B
4 hours after trauma
4 hours after trauma
37 -year-old male pedestrian, struck by car bumper • 42 A 3, AF 2 B closed fracture • Compartment syndrome
Summary and take-home message • Every injury has two components; a bony injury and a softtissue component. • The soft-tissue injury is just as important as the bony injury. • In complex injuries, it is important to prioritize the individual injuries. • Treatment of the compartment syndrome mandates the stabilization of the bony injury.
Forearm fractures Case for small group discussion: General principles, classification, concepts of stability, their influence on bone healing, and how to apply implants to achieve appropriate stability AO Trauma Basic Principles Course
• 27 -year-old man • Polytrauma • Closed injury 2 R 2 A 2 2 U 2 A 2
• 27 -year-old man • Polytrauma • Closed injury
Summary and take-home message • The fracture configuration will usually indicate the type of reduction that is possible and the type of fixation that is desired. • The goals of treatment of diaphyseal forearm fractures are anatomical restoration of: • Length • Rotation • Alignment • Each implant can function in several ways. • The method of application of the plate determines its function.
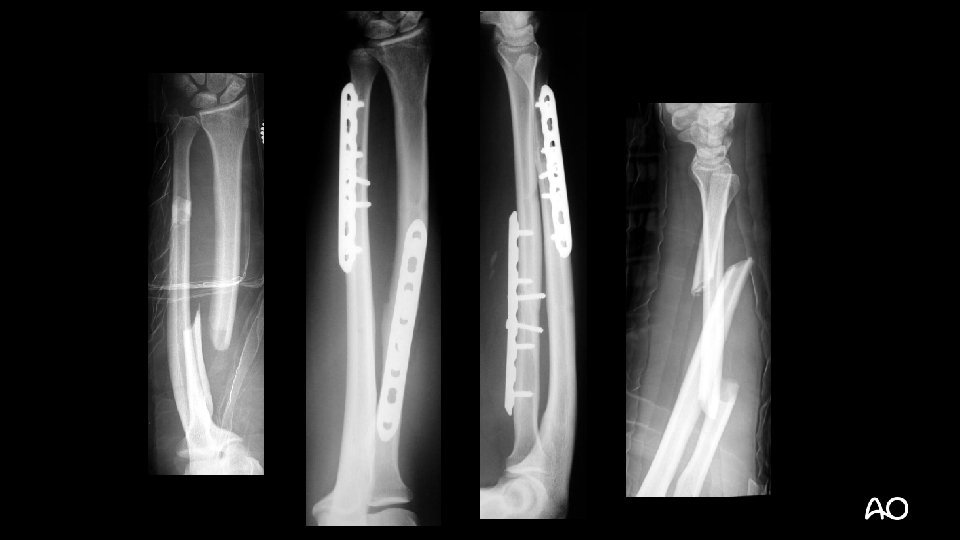
Open forearm fractures Case for small group discussion: General principles, classification, concepts of stability, their influence on bone healing, and how to apply implants to achieve appropriate stability AO Trauma Basic Principles Course
• 32 -year-old man • Motorcycle accident • Isolated injury • Open
2 R 2 B 2 2 U 2 B 2
• 32 -year-old man • How would you expect these fractures to heal?
6 months Absolute stability = direct healing without callus Bridge plate = Relative stability = indirect healing with callus
6 months Absolute stability = direct healing without callus Bridge plate = Relative stability = indirect healing with callus
Summary and take-home message • Forearm fractures, because of their low tolerance for any deformity, should be treated with the principles of articular fractures. • Preoperative planning is essential for better patient outcomes. • The importance of restoration of the anatomical limb axis is stressed. • The fracture configuration will usually determine the type of stability attainable and the type of implant to be used. Module 3, case 4 (slide 8 of 8)
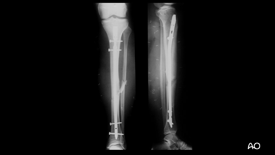
Open diaphyseal tibial and fibular fracture Case for small group discussion: General principles, classification, concepts of stability, their influence on bone healing, and how to apply implants to achieve appropriate stability AO Trauma Basic Principles Course
36 -year-old man, motorcycle crashed into large post • Isolated injury • NV intact 4 2 B 3 4 F 2 B
42 B 3 tibia 4 F 2 B fibula
Postoperative X-ray
Summary and take-home message • Accurate classification of the bone and soft-tissue injuries will help you understand the injury. • Often, classification of bone cannot be determined until after reduction. • Often, classification of the soft-tissue injury cannot be determined until after the first debridement. • Stabilization of the bone with an external fixator will allow better soft-tissue care. • Early soft-tissue coverage should be accomplished as soon as allowable.