ORGANELE LIMFOIDE n Organele limfoide sunt formate din



































































- Slides: 67
ORGANELE LIMFOIDE n Organele limfoide sunt formate din ţesut limfoid. n După anumite caractere morfofuncţionale se împart în: n organe limfoide centrale n n timusul compartimentul nemieloid al măduvei hematogene o parte a ţesutului limfoepitelial din mucoasa respiratorie şi digestivă. organe limfoide periferice n n Limfoganglionul Splina
Organele limfoide periferice n Locul unde ly B şi T iau contact cu antigenii (maturare antigen dependentă) n Limfocitele (B sau T) prin transformare blastică ( după ce au întâlnit un antigen) → limfoblaste, care se divid şi produc: → limfocitele cu memorie (B sau T) rămân în sânge şi produc un răspuns imun foarte rapid şi foarte eficace la o nouă expunere la acelaşi antigen. limfocite efectoare sau reglatoare - B efectoare – plasmocite - secretă anticorpi - T efectoare - secretă limfochine: • limfocite T citotoxice ( CD 8) • limfocite T helper (CD 4)
Limfoganglionul n Organ limfoid periferic n Localizare: de-a lungul vaselor limfatice n Rol: filtrarea limfei n Aspect reniform
Histologic: organ parenchimatos format din: n capsulă n stromă n parenchim. Capsula - ţesut conjunctiv fibrilar n fibre colagene şi elastice n celule: fibroblaste n vase sanguine, nervi Din capsula se desprind travee conjunctivo-vasculare scurte, care împart parenchimul in compartimente incomplete
n Stroma - ţesut reticular - În ochiurile reţelei există: - sinusurile limfatice prin care circulă limfa → limfatice eferente - macrofage - alte celule prezentatoare de antigen cel. dendritice (DC-c) – ly T (localizate mai ales in zone T dep) - cel foliculare dendritice FDC c –in centrii germinativi printre ly B)
n Cel dendritice n n Prezinta atg ly T CMH II n Cel foliculare dendritice n Leaga complexul ly B-atg si retin atg la suprafata prelungirilor
Stroma limfoganglionului Ţesutul reticular
Stroma – fibre de reticulină – Ag. NO 3
Stroma – celule reticulare - HE
Stroma – vizibila la nivelul medularei
Stroma
►Sinusurile limfatice - în ochiurile ţesutului reticular - locul unde are loc filtrarea limfei - Perete : - continuu – vin în contact cu ţes. conj al capsulei, al septelor - discontinuu- vin în contact cu ţes. limfoid şi permit trecerea limfocitelor - peretele este dublat de macrofage- ce inconjura sinusurile
Sinusuri limfatice 1. Sinus marginal (in care se deschid limfaticele aferente) 2. Sinusurile corticale → (înguste) 3. Sinusurile medulare (largi, sinuoase) Limfaticele aferente) aduc atg circulanti si 10% din totalul ly din limfoganglion
Sinusul marginal
n Sinusul marginal este bogat in Mf foarte active; Prelungirile citoplasmatice ale Mf repauzează pe fibrele de reticulină care traverseaza sinusul → încetinirea curentului limfatic si monitorizarea continutului limfei n
Sinusuri corticale
Sinusurile medulare
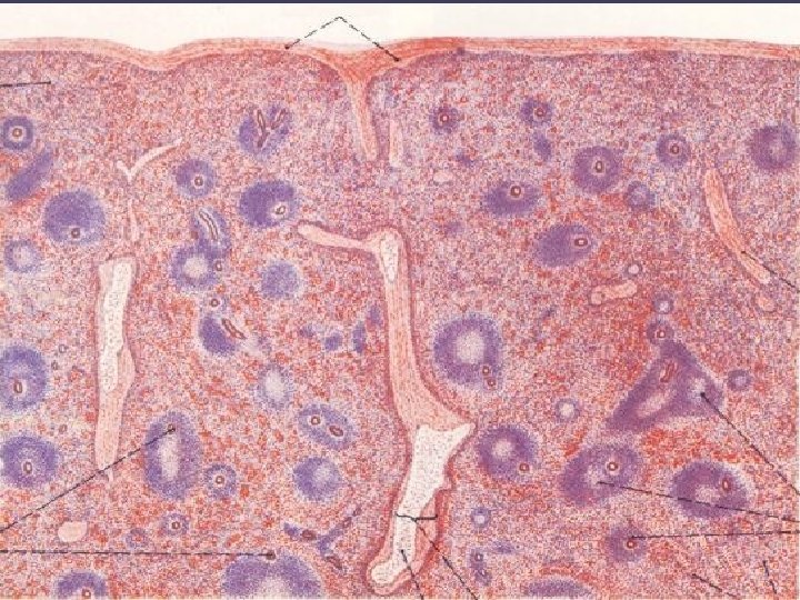
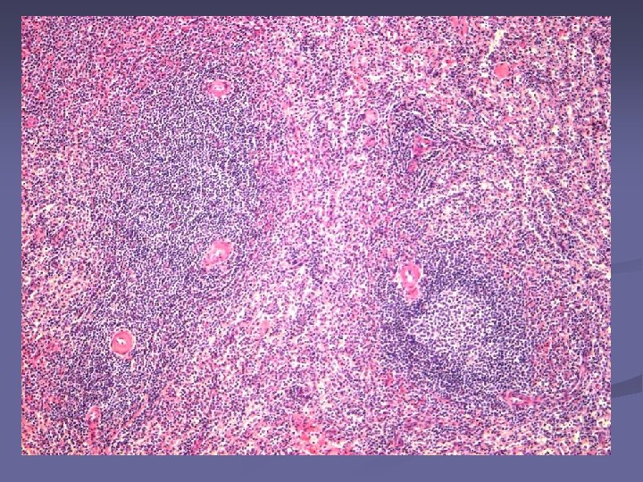
Parenchimul n Corticala superficială n Corticala profundă (paracorticala) n n Medulara
n Corticala superficială - zona B dependentă Alcătuita din: n ♦ foliculi limfoizi (ly B): primari, secundari ♦ ţesut interfolicular ( ly T) - prelungire a corticalei profunde n Foliculii limfoizi n Foliculii primari – aglomerare de limfocite B mici, nestimulate atg n Foliculii secundari – au luat contact cu antigenul
Foliculi limfoizi primari
Folicul secundar Coroana limfocitară Centru clar germinativ
Folicul secundar Centru germinativ - Mărimea centrului clar exprimă intensitatea răspunsului imunologic
n Paracorticala (corticala profundă) = ţesut limfoid dens difuz - cu ly T (care se prelungeşte la nivelul corticalei superficiale cu ţesut interfolicular) - zona T dependentă - cel. prezentatoare de atg - macrofage - venule postcapilare – locul unde limfocitele ies din sange → în
Venule postcapilare – locul unde are loc recirculaţia limfocitelor - ly B → corticala superficială - ly T → paracorticala - perete discontinuu (traversat de limfocite prin diapedeza) - endoteliul alcătuit din celule cubice sau cilindrice (receptori specifici pentru R de pe suprafaţa ly ) Majoritatea ly vor intra in sinusurile limfatice si apoi vor parasi limfoganglionul prin limfaticele eferente
MEDULARA - cordoane celulare ly B memorie plasmocite rare ly T (modulează formarea atc) macrofage - sinusurile limfatice medulare - septe conjunctivovasculare ► Aspect lacunar → se vizualizează cel reticulare
Medulara limfoganglionului
Macrofage si plasmocite din medulara limfoganglionului
Distributia macrofagelor in ganglionul limfatic - majoritatea localizate in paracortex si medulara
n Circulatia limfocitelor in ganglionul limfatic
Vascularizaţia limfoganglionului
Limfoganglion
FUNCTIILE LIMFOGANGLIONULUI n 1. Filtru pentru limfa FIG: Metastaze ganglionare într-un cancer de colon n
FUNCTIILE LIMFOGANGLIONULUI n 2. Rol imunitar: ● imunitatea umorală (de tip imediat) – formarea şi creşterea centrilor clari germinativi● imunitatea celulară : hipertrofia si hiperplazia zonei paracorticale; n 3. Recirculatia limfocitelor- - limfa aferentă e mai săracă în celule decât cea eferentă
Corelaţii clinice n Limfoame
Limfoame cu cel B
SPLINA n n n Organ limfoid periferic Localizare: pe calea vaselor sanguine Rol: n Filtrarea sângelui n Distrugerea eritrocitelor degenerate n Rezervor de sange n Procesele imune n n Histologic: organ parenchimatos n capsulă n stromă n parenchim
n Capsula – fibre colagene, elastice - cel. conjunctive – miofibroblaste - rare fibre musculare netede - vase - acoperită de mezoteliu
Din capsula se desprind travee conjunctivo-vasculare sinuoase care împart parenchimul in compartimente de formă piramidală, cu varful spre hil şi baza spre capsulă n Pe preparatele histologice- traveele sunt prinse fragmentat Nu se realizează o compartimentare completă în lobuli
Stroma : - tesut conjunctiv reticular de susţinere (fibre de reticulina şi celule reticulare) - Mf - celule prezentatoare de antigen – spec. cel dendritice
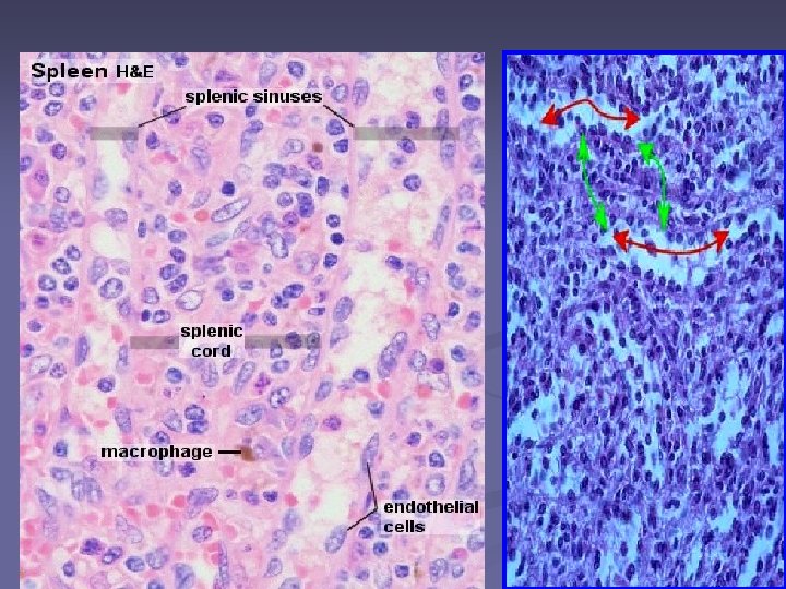
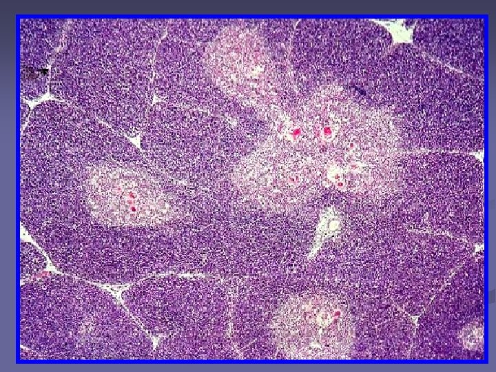
n Pulpa alba Parenchimul - formata din tesut limfoid dens - se organizează in jurul arterelor Rol: procesele imune Pulpa rosie – tesut reticular lax, lacunar, – se organizeaza in jurul sinusurilor venoase. Rol: filtrează sângele Pulpa alba n Pulpa rosie
Splina – col. HE Pulpa alba Pulpa rosie
Vascularizatia splinei n n În hil: → a splenică → a trabeculare (traveele conjunctive) → pătrund în parenchim : a goale sau pulpare ( fără adventiţie) a centrale (se înconjură de ţesut limfoid- în pulpa albă PA) n n n mici capilare (ce dau ramuri pentru ţ. limf. din jur→ sinusuri venoase marginale) a. penicilate ( în pulpa roşie PR) capilare postarteriale (înconjurate de macrofage) n →se deschid în sinusoidele venoase din PR =circulaţia se deschid în interstiţiul dintre sinusoidele venoase=circulaţia închisă deschisă (predomina la om)
n n Sinusurile venoase splenice - se ramifică, se anastomozează Venule → Venele pulpei → Vene trabeculare → Vena splenică sinusoidele venoase sinusuri venoase marginale
Structura pulpei albe formata din tesut limfoid dens - se organizează in jurul arterelor Rol: procesele imune n n arteră centrală ţesut limfoid = teaca limfoidă periarterială (PALS)- ly T (in special CD 4, n putine CD 8) n Periferie - Ly B
n La contactul cu atg, ly B se transformă blastic → folicul secundar cu centrul germinativ – pol clar : limfoblaste– spre PR - pol întunecat : plasmocite, ly B memorie – spre a centrală Arteriola va ocupa o poziţie excentrică Structura alcătuită din artera excentrica+ teaca limfoida + foliculul secundar = corpuscul splenic Malpighi (folicul splenic) În PA Limfocitele T in tecile periarteriale(PALS); Limfocitele B - in nodulii limfoizi – in zona marginală (între PA şi PR)
Corpuscul splenic Malpighi (folicul splenic)
Parenchimul splinei
Pulpa roşie -75% (~ burete, spongiu) sinusuri venoase - cordoanele celulare Billroth Rol: filtrează singele
n Sinusuri venoase splenice n Primesc sangele din arterele penicilate/ capilarele postarteriale lumen larg, neregulat, anastomozate -un perete discontinuu - m. bazala discontinuă –endoteliu discontinuu - spatii care faciliteaza schimbul dintre sinusoide si tesutul din jur; n n • cel endoteliale - alungite (în axul lung al vasului) - sunt învelite de fibre de reticulină dispuse concentric, care se continuă cu fibrele de reticulină din stromă n Sinusurile venoase splenice - Venule → Venele pulpei → Vene trabeculare → Vena splenică
n. Cordoanele celulare splenice Billroth (interstiţiu) - reţea de fibre de reticulină şi cel reticulare în ochiurile reţelei : hematii, leucocite, limfocite, monocite, plasmocite, macrofage - fagociteaza resturile - eritrocitelor imbatranite - fagociteaza antigenii circulanti In conditii patologice (leucemii), pot apare megakariocite, eritroblaste -
Pulpa roşie n Circulaţia deschisă favorizează funcţia de filtrare a sangelui
n Intre pulpa alba si cea rosie – zona marginala n Rol in activitatea imunologica a splinei, in lansarea raspunsului imun • sinusuri venoase marginale, concentrice cu perete discontinuu • limfocite, plasmocite, numeroase Mf celule dendritice (APC)
n Rol n Contactul dintre cel imunocompetente si antigeni n n recirculaţia limfocitelor Este regiunea in care limfocitele T si B intra in splina, inainte de a fi segregate spre localizarile lor specifice in organ; n n Lf T intra in tecile limfoide periarteriale (raman citeva ore), Lf B intra in noduli (stau o lunga perioada de timp)
Functiile splinei 1. Formarea ly - limfocitele se formeaza in pulpa alba → a. centrala → pulpa rosie → circulatie 2. Distrugere de hematii - prin intermediul Mf; 3. Stocare de elemente sanguine –rezervor de sânge (datorită structurii spongioase) - placute sanguine; - la fat –rezervor de hematii; - monocitele sunt sechestrate in pulpa alba, zona marginala si pulpa rosie - în general, celulele sanguine sunt concentrate in pulpa rosie si pot fi apoi relansate in circulatie; 4 Functia de aparare (filtrează sangele) – prin Mf splenice care sunt cele mai active in fagocitarea de bacterii, virusuri, particule inerte;
Organe limfoide
Organe limfoide