IRM DES PARALYSIES FACIALES PERIPHERIQUES E MENIF Universit


































- Slides: 34
IRM DES PARALYSIES FACIALES PERIPHERIQUES E. MENIF Université Virtuelle de Tunis 2009 Service d’Imagerie Médicale Hôpital la Rabta
Introduction � Diagnostic positif : ◦ Clinique ◦ Électrophysiologique � Difficultés du diagnostic topographique et étiologique Rôle de l’imagerie : IRM Éliminer les causes chirurgicales
� PFP : déficit du territoire facial musculaire supérieur → atteinte NF homolatéral sur son trajet entre l’origine nucléaire et la terminaison intraparotidienne
NF NVS Cervelet NC NVI
ETIOLOGIES PFP � PFP d’origine nucléaire � PFP inflammatoire / infectieuse � PFP tumorale � PFP traumatique
PFP d’origine NUCLEAIRE L’IRM est le seul examen qui en permet le diagnostic PFP gauche→ SEP PFP bilatérale → AVC Journal of Stroke and Cerebrovascular Diseases
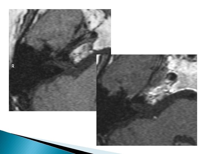
PFP inflammatoire / infectieuse �Œdème endoneural résultant d’une rupture de la barrière hémato-neurale, traduisant une dégénérescence Wallérienne.
P. F à frigoré : valeur pronostique de l’IRM? Existe-t-il des corrélations entre les données de l’imagerie et le Pronostic de la PF? -Intensité de la PDC -Siège de la PDC -Evolution des images dans le temps Radiology 2004
P. F à frigoré : indications de l’IRM (SFORL) - PF qui ne récupère pas après 3 mois - Association PF - surdité - PF récidivante - Indication de décompression du VII
Indications de la décompression du VII - Malgré un traitement bien conduit (corticoïdes-aciclovir) - Absence de toute récupération clinique - Dénervation sup à 90% à l’ENG du début(5°-7°j) et du 14° jour - Hypersignal à l’IRM
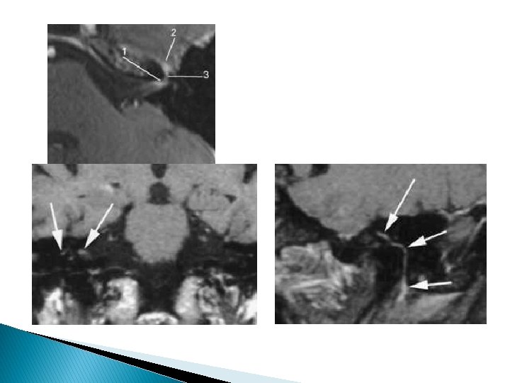
§ Prise de contraste physiologique : • Ganglion géniculé • Portion tympanique proximale : distribution des espaces périneuraux qui débutent après le ganglion géniculé vaisseaux périneuraux dépourvus de barrière hématoneurale
§ Jamais de PDC : • Segment intra-méatal distal • Segment intra-labyrinthique
PFP tumorale � IRM : ◦ Caractérisation tumorale ◦ Topographie ◦ rapports
Neurinome � Tumeur la plus fréquente � Topographie / extension le long du nerf
�TDM : ◦ Bilan osseux : élargissement et érosion canalaire ◦ Pneumatisation pétreuse ◦ Déhiscence canalaire
Hémangiome � Ganglion géniculé +++ � Hypersignal � Prise T 2 de contraste intense, progressive
� Lyse périlésionnelle � calcifications TDM
TUMEURS DE LA PAROTIDE+++ Patient de 68 ans : hypoacousie + PFP
Infiltrations périneurales Tous les territoires innervés par le facial et ses branches collatérales sont à explorer lors du bilan d’une paralysie faciale persistante.
Difficulté de l’imagerie : trajet long (+++) du NF exocrânien + ses branches terminales ◦ Supérieure temporo-faciale ◦ Inférieure cervico-faciale
Les différentes anastomoses nerveuses du facial expliquent la diffusion périneurale de proche en proche pouvant en imposer pour une atteinte de la base du crâne ou une méningo-radiculite métastatique A : VII et V 2 par Nf grand pétreux (FPP) ; B : VII et V 3 par la corde du tympan et Nf petit pétreux ; C : VII et IX par l’anse de Haller (en dedans du trou stylomastoïdien ; D : VII et X (fosse jugulaire)
Méningo-radiculite métastatique
PFP post-traumatique � TDM : ◦ Le trajet de la fracture → le canal facial ◦ Compression nerveuse par une esquille osseuse ◦ Ne visualise pas directement le nerf
TECHNIQUES � Exploration � Coupes large fines à forte pondération T 2 (CISS 3 D) � Séquence � Injection en contraste spontané de Gadolinium +++
CONCLUSION � IRM : 1ère intention (SFR / SFORL 2007) ◦ Diagnostic de nature ◦ Elément topographique déterminant pour la décision thérapeutique. ◦ Arguments pronostiques. � L’adoption pathologie. de techniques adaptées à chaque