IRM et DEPLACEMENT CHIMIQUE O Ernst Lille IRM



























- Slides: 27
IRM et DEPLACEMENT CHIMIQUE O. Ernst Lille
IRM : Je n’y comprend rien… Pourquoi les organes (reins par exemples) sont parfois entourés d’un coté par une ligne blanche et de l’autre par une ligne noire ? Pourquoi ces mêmes organes peuvent ils être parfois entourés par un liseré noir sur l’ensemble du pourtour ? Pourquoi une séquence in – opp ? Diminution du signal du foie en opposition de phase, pourquoi ? ? ?
En IRM la fréquence F de précession est proportionnelle au champ magnétique B F (Hz) = γ B (Tesla) γ constante gyromagnétique Avec B = Bo (aimant de la machine) + d. B représente les variations de champ magnétique local.
Chaque atome crée une minime aimantation (très faible). Cette aimantation d. B s’ajoute à Bo pour les atomes voisins. La valeur de l’aimantation d. B qui s’ajoute à Bo varie selon le type d’atome et la distance. Chaque tissus étant composé d’atomes différents placés de façons différentes, d. B est différent pour chaque tissus.
H H d. B faible O H H H d. B fort eau H C C C H H O H O O H H O Les molécules d’acides gras sont plus éloignées les unes des autres graisse que les molécules d’eau
B B eau B graisse d. B B 0 B 0 EAU GRAISSE d. B
F F eau F graisse d. B B 0 B 0 EAU GRAISSE d. B
En pratique … B eau > B graisse F eau > F graisse de 3, 5 ppm Exemple à 1. 5 T B eau = 64, 000220 Mhz B Graisse = 64, 000000 Mhz Pour 64 millions de tours par secondes 220 tours de différence …
3, 5 ppm (partie par million) = 3, 5 / 1000000 C’est négligeable ! NON 2 effets : 1 er ordre : décalage graisse eau dans l'image 2ème ordre : effet du TE
Décalage chimique : effet de 1 er ordre Rappel : dans une image IRM un axe est codé en fréquence, l’autre en phase. Comme la graisse et l’eau non pas la même fréquence, l’image de la graisse est décalée par rapport à l’image de l’eau et des tissus dans l’axe du codage de fréquence. Si le décalage est supérieur à 1 pixel il devient visible
Gradient de fréquence Réalité Fréquences Image IRM graisse eau graisse
Comment diminuer le déplacement chimique de 1 er ordre Une possibilité : Augmenter la bande passante (bande de fréquences plus grande par pixel) (sur la machine Philips diminuer le water fat shift). En IRM tout se paye … Plus de fréquences = plus de bruit => S/B diminue…
Décalage chimique de 1 er ordre Du à la différence de fréquence de précession entre l'eau et la graisse => décalage de la localisation spatiale de l'eau et de la graisse dans l'axe du gradient de fréquence. => pour toutes les séquences => pour toutes les TE
Décalage chimique de 1 er ordre Cas particulier de l'écho planar (et donc en diffusion) Toutes lignes du plan de Fourier sont acquises après une seule impulsion RF d'excitation. => le décalage chimique apparaît entre chaque lecture de fréquence (chaque ligne) => décalage chimique majeur dans l'axe de la phase Mark S. Cohen, Ph. D. in Functional MRI 1998 PA Bandettini and C Moonen. .
Déplacement chimique de 2ème ordre Uniquement pour les séquences en écho de gradient, c'est à dire sans impulsion RF (B 1) entre l'impulsion d'excitation et l'écho Après l’impulsion d’excitation du début d’une séquence Tous les protons sont en phase. Après l’excitation chaque proton de la graisse fait donc 220 tours de moins que ceux de l’eau par seconde.
Opposition de phase • Différence de fréquence de rotation des H+ de l’eau et de la graisse • 220 Hz à 1, 5 T • Mise en phase tous les 1/220 e secondes à 4, 6 9, 2 13, 8 etc ms • Mise en opposition de phase (1/2 tour de décalage). . à 2, 3 6, 9 11, 5 etc ms
B 1 90° 1, 5 T EAU GRAISSE dans le même voxel Les H+ de l’eau tournent plus vite que les H+ de la graisse 2, 3 4, 6 6, 9 9, 2 SIGNAL TEMPS ms
Phase - Opposition de phase DANS UN VOXEL 1) En phase : signal total = signal eau + signal graisse 2) En opposition de phase : Signal total = signal eau - signal graisse
HUILE EAU TE = 2, 3 Opposition de phase TE = 4, 6 Phase 1, 5 T
TE = 2, 3 ms Opposition de phase TE = 4, 6 ms Phase Stéatose (= dépôt de graisse dans le foie) homogène
Signal FOIE NORMAL STEATOSE TE 2. 3 1, 5 T 4. 6 6. 9
STEATOSE HEPATIQUE • En phase : signal iso intense • En opposition de phase : signal hypo intense
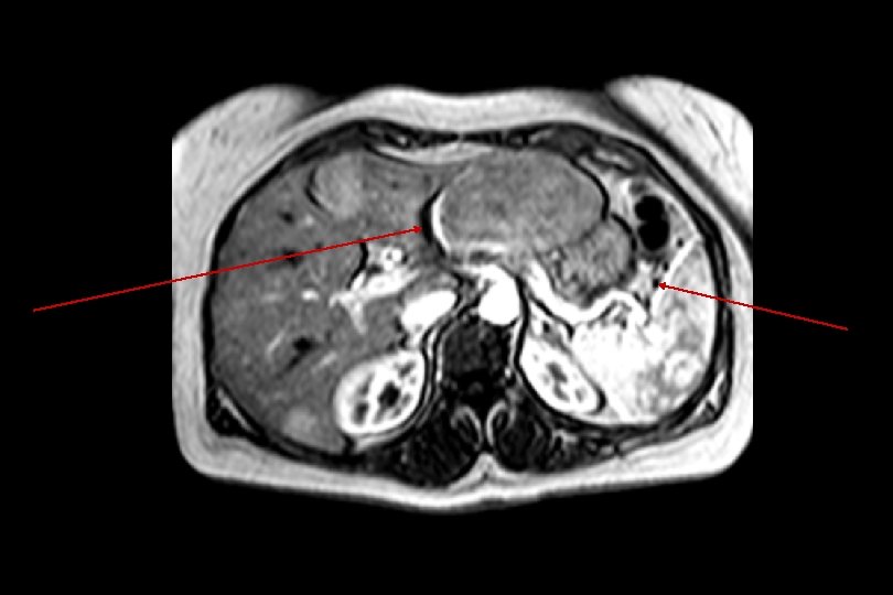
CANCER COLIQUE Ilot de foie stéatosique
Déplacement chimique de 1 er ordre Décalage eau graisse Pour toutes les séquences Pour toutes les valeurs de TE Dans l'axe du gradient de fréquence (et phase pour écho planar)
Déplacement chimique de 2ème ordre Pour les séquences en écho de gradient Pour des valeurs spécifiques de TE (2, 3 6. 9. . . ms à 1, 5 T) Moitié à 3 T. Soustraction du signal de la graisse au signal de l'eau dans un voxel => si 50% eau / 50% graisse dans un voxel : disparition du signal