RADIOANATOMIE TDM DES CAVITES NASOSINUSIENNES E Menif Service

  • Slides: 64
Download presentation
RADIO-ANATOMIE TDM DES CAVITES NASOSINUSIENNES E. Menif Service d’Imagerie Médicale Hôpital la Rabta Tunis

RADIO-ANATOMIE TDM DES CAVITES NASOSINUSIENNES E. Menif Service d’Imagerie Médicale Hôpital la Rabta Tunis - Tunisie MASTERE DE NEURORADIOLOGIE Sousse 2008

OS MAXILLAIRE Processus palatin Processus zygomatique Canal infra orbitaire Processus zygomatique Processus frontal Face

OS MAXILLAIRE Processus palatin Processus zygomatique Canal infra orbitaire Processus zygomatique Processus frontal Face orbitaire SM Proc. alvéolaire

VUE POSTERIEURE ETHMOIDE 12 - labyrinthe éthmoïdal 13 - lame criblée 14 - lame

VUE POSTERIEURE ETHMOIDE 12 - labyrinthe éthmoïdal 13 - lame criblée 14 - lame perpendiculaire 15 - crista galli 16 - lame orbitaire 17 - cornet suprême 18 - cornet supérieur 19 - Cornet moyen 20 - processus unciné 29 - Cornet inférieur VUE MEDIALE

1. 2. 3. 4. 5. 6. 7. Portion verticale : Sinus frontal Bec nasofrontal

1. 2. 3. 4. 5. 6. 7. Portion verticale : Sinus frontal Bec nasofrontal Cornet moyen Cornet supérieur Cornet suprême Cornet inférieur Sinus sphénoïdal FRONTAL Portion horizontale : 1. Plancher de la fosse crânienne antérieure 2. Toit de l’orbite 3. Toit ethmoïdal

SINUS FRONTAL

SINUS FRONTAL

 • Deux difficultés : – Proximité d’organes « nobles » – Complexité anatomique

• Deux difficultés : – Proximité d’organes « nobles » – Complexité anatomique • Imagerie : – Diagnostic des complications des sinusites frontales – BALISAGE ANATOMIQUE PRÉCHIRURGICAL Plans axial, CORONAL et SAGITTAL

1. 2. 3. 4. 5. 6. 7. Portion verticale : Sinus frontal Bec nasofrontal

1. 2. 3. 4. 5. 6. 7. Portion verticale : Sinus frontal Bec nasofrontal Cornet moyen Cornet supérieur Cornet suprême Cornet inférieur Sinus sphénoïdal Portion horizontale : 1. Plancher de la fosse crânienne antérieure 2. Toit de l’orbite 3. Toit ethmoïdal

INFUNDIBULUM Cloison intersinusienne Bec nasofrontal ↓ OSTIUM

INFUNDIBULUM Cloison intersinusienne Bec nasofrontal ↓ OSTIUM

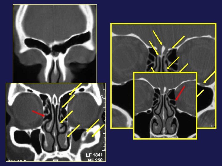
Le drainage se fait à travers un complexe anatomique : Tractus nasofrontal 2. Infundibulum

Le drainage se fait à travers un complexe anatomique : Tractus nasofrontal 2. Infundibulum frontal 3. Ostium frontal 8. Récessus frontal 1 2 4 7 3 8 5 9

Le drainage se fait à travers un complexe anatomique : Tractus nasofrontal 2. Infundibulum

Le drainage se fait à travers un complexe anatomique : Tractus nasofrontal 2. Infundibulum frontal 3. Ostium frontal 8. Récessus frontal 1 2 4 7 3 8 5 9 4 - Bec nasofrontal 5 - Agger Nasi 7 - Bulle ethmoïdale 9 - Racine cloisonnante du CM

AN CM

AN CM

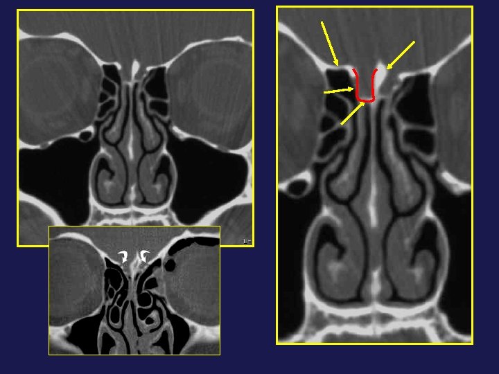
Ostium frontal + processus unciné : son insertion supérieure est un repère anatomique important

Ostium frontal + processus unciné : son insertion supérieure est un repère anatomique important TYPE 2 TYPE 3 TYPE A TYPE 1 A B C Friedman et coll, 2004

TYPE 5 TYPE 4 TYPE 6 D E F Friedman et coll, 2004

TYPE 5 TYPE 4 TYPE 6 D E F Friedman et coll, 2004

Récessus frontal + cellules de l’Agger Nasi : Pneumatisation des cellules de l’AN →

Récessus frontal + cellules de l’Agger Nasi : Pneumatisation des cellules de l’AN → calibre du RF Récessus étroit = canal frontonasal

Récessus frontal + cellules de la bulle : Pneumatisation des cellules de la bulle

Récessus frontal + cellules de la bulle : Pneumatisation des cellules de la bulle → calibre du RF Bulle frontale Cellule suprabullaire Bulle Agger nasi Bulle

Cellules frontales : obstruction au drainage frontonasal K 1 K 2

Cellules frontales : obstruction au drainage frontonasal K 1 K 2

K 3 K 4

K 3 K 4

C supra orbitaire SF Kuhn 3 SF Kuhn 1

C supra orbitaire SF Kuhn 3 SF Kuhn 1

QUESTIONS DU CHIRURGIEN ? • Confinement mécanique • Risque chirurgical

QUESTIONS DU CHIRURGIEN ? • Confinement mécanique • Risque chirurgical

QUESTIONS DU CHIRURGIEN ? • Confinement mécanique

QUESTIONS DU CHIRURGIEN ? • Confinement mécanique

 • Risque chirurgical : – Hémorragique – Lésion du nerf optique – Fuite

• Risque chirurgical : – Hémorragique – Lésion du nerf optique – Fuite du LCR

→ Hémorragie : lésion artère éthmoïdale antérieure

→ Hémorragie : lésion artère éthmoïdale antérieure

→ Orbite : hématome

→ Orbite : hématome

→ Hémorragie

→ Hémorragie

→ Atteinte du nerf optique

→ Atteinte du nerf optique

Cellule d’Onodi → Atteinte du nerf optique

Cellule d’Onodi → Atteinte du nerf optique

→ Fuite de LCR : brèche osseuse

→ Fuite de LCR : brèche osseuse

→ Fuite de LCR : déhiscence osseuse

→ Fuite de LCR : déhiscence osseuse