HETEROTOPK OSSFKASYON VE TEDAVS Dr Ali Yavuz Karahan






































































- Slides: 70
HETEROTOPİK OSSİFİKASYON VE TEDAVİSİ Dr. Ali Yavuz Karahan Prf. Dr. Hatice Uğurlu
Neden önemlidir !!! • Rehabilitasyon sürecinde; – Eklem hareket açıklığında kısıtlanma – Pozisyonlamada güçlük – Ortez ve splintlemede güçlük – Bası yarası vb. komplikasyonlar – Bölgesel damar sinir paketine bası
• • • Paraosteoartropati Nörojenik osteoma Distrofik ossifikasyon Ektopik ossifikasyon Heterotopik ossifikasyon
Heterotopik ossifikasyon – Ektopik kemik oluşumu – Trabeküler kemik formasyonu – Normal kalsiyum fosfat düzeyi – Bağ dokuda yerleşim Myositis ossifikans – Diffuz patolojik kalsifikasyon – Kalsiyum çökmesi – Yüksek serum fosfat düzeyi – Kas dokusu, eklem içinde yerleşim
Patofizyoloji • • • Doku hipoksisi Uzamış immobilizasyon Anormal kalsiyum metabolizması Sempatik sinir sisteminde denetim kaybı Mikrotravmalar Anormal paratiroid hormon ve kalsitonin metabolizması • Genetik; HLA B 27 ?
Patofizyoloji • Pluripotent mezenşimal hücrelerin farklılaşması; – Myoblast – Fibroblast – Adiposit – Perisit Vs. • Osteoblast !!! • Kemik morfojenik proteinler (BMP) • Prostaglandin E 2 • IL-1, IL-17, IGF, FGF
Patofizyoloji • Dokular; – Periartiküler bağ dokuda yerleşim – Eklem kapsülü intakt – Kas dokusu intakt – Kasların arasındaki bağ dokuda gelişir
Histoloji
Histoloji • Fibroblastik proliferasyon zonu • Osteoblastik değişim • Trabeküler ve lamellar kemik • Haversian kanalları • Kan damarları • Korteks • Kemik iliği • Az miktarda hematopoez
Heterotopik Ossifikasyon (HO) • Klinik tabloya göre; – Evre 1; Eklem hareketleri normal – Evre 2; Eklem hareketleri kısıtlanmış – Evre 3; Eklem ankiloze • Radyolojik görünüme göre; – İliopsoas tip – Periartiküler tip
HO • Herediter • Myositis ossifikans progressiva • Kazanılmış • Nörojenik (%30) • Travmatik (%60 -75)
Nörojenik HO • Kafa Travmaları • Omurilik Yaralanmaları • Hemipleji • Ensefalomiyelit • Poliyomiyelit • Tabes dorsalis • • Beyin tümörleri Enfeksiyonlar Multiple skleroz Araknoidit Meningomiyelosel Epidural apse Tetanoz
Kafa Travmalarında HO • • Görülme sıklığı %11 -76 arasında En sık kalça eklemi Diz ve dirsek tutulumu daha az Spastisite; – Özellikle spastik ekstremitelerde izlenir – Nörolojik iyileşme ile birlikte spastisite gerilediğinde HO gelişme riski de azalır.
Kafa Travmalarında HO • Koma; – İki haftadan uzun süren koma • İmmobilizasyon • Uzun kemik kırıkları • Eklem hareket açıklığında kısıtlanma
Omurilik Yaralanmalarında HO • • Görülme sıklığı % 16 -53 Sıklıkla yaralanmadan sonraki 1 ila 4. ay Pik; 2. ayda Yaralanmanın birinci yılından sonra gelişme ihtimali düşüktür. • Yaralanma seviyesinin altında görülür. • En sık etkilenen eklemler; kalça (%60 -70) ve diz (%20 - 30) • Olguların %18 -35’ inde EHA’ da kısıtlanma
Omurilik Yaralanmalarında HO • Risk faktörleri; – Erkek cinsiyet – Yaralanma; • SÜRE • SEVİYE • KOMPLET/İNKOMPLET – Komplikasyonlara bağlı; • • Spastisite Bası yaraları Üriner komplikasyonlar DVT
Omurilik Yaralanmalarında HO
Hemiplejide HO • Hemiplejik olguların % 0. 5 -1. 2 bildirilmiş. • Sıklıkla omuz, dirsek ve kalça eklemlerinde • Risk faktörleri; – Spastisite – Rehabilitasyon sürecinin gecikmesi ve immobilizasyon – Mikro travma
Travmatik HO • Kalça dirsek ve diz eklemlerinin kırık ve çıkıklarında • Total kalça artroplastisi (TKA) • Total diz artroplastisi(TDA) • Asetabular kırık internal fiksasyonu • Genç sporcularda direkt travmadan sonra
Total kalça artroplastisinde (TKA) HO • Görülme sıklığı %0. 6 -90 • Artroplastiden hemen sonra gelişmeye başlar. Birinci haftadan itibaren sintigrafik incelemede izlenebilir. • Ameliyat sonrası ilk üç ayda izlenmediyse daha sonra gelişme ihtimali oldukça düşüktür.
Total kalça artroplastisinde HO • Risk faktörleri: • • Operasyon esnasındaki travmatik girişim Daha önce yapılan TKA’de HO gelişmiş olması Diffüz İdiopatik iskelet hiperostozisi olması Ankilozan spondilit olması Paget olması Hipertrofik osteoartropati olması Posttravmatik artrit olması
Brooker sınıflaması: Eklem aralığı azalması temel alınarak kemik miktarı 1 -4 arasında değerlendirilir. 1. derece Kalça çevresindeki yumuşak dokularda kemik adacıkları 2. derece Pelvis veya femur proksimal ucu arasında 1 cm den fazla mesafe 3. derece Kemik yüzleri arasında mesafe 1 cm den az 4. derece Kalçada belirgin kemik ankilozu
Total Diz Artroplastisinde HO • Sıklığı %0, 9 - 42 • Postoperatif 3 -8. haftalarda • Risk faktörleri: • • Operasyon sonrası diz fleksiyon kısıtlılığı Yüksek lomber kemik mineral yoğunluğu Operasyonda yoğun periost hasarı Erkek cinsiyet Romatoid artrit Anterior femoral kesi sırasında basamaklanma Kuadrisepsin zorlayıcı ekartasyonu ve midvastus girişimi
Derecelendirilme; (Figgie ve Goldberg) • Derece 0; HO bulgusu yok. • Derece 1; Spur oluşumu olmaksızın dizin en az bir kompartmanında ilerleyici HO • Derece 2; Spur formasyonuyla birlikte (>1 mm) dizin en az bir kompartmanında ilerleyici HO • Derece 3; Tam kemik ankilozu
Yanık Sonrası Gelişen HO • Görülme sıklığı %0. 2 -4 arasında değişmekte 1 • En sık dirsek eklemi posterioru tutulur • Uzun süreli immobilizasyon • Yanığın derecesi • Sistemik metabolik değişiklikler
MYOSİTİS OSSİFİKANS PROGRESSİVA • Bağ dokusunun ilerleyici heterotopik ossifikasyonu • Otozomal dominant, Noggin gen mutasyonu, BMP-4 mutasyonu • Üçüncü yılda ortaya çıkmaya başlayan bulgular; – Metakarpal ve metatarsal kemiklerde konjenital anomaliler – Omuzlardan omurgaya ve pelvise doğru ilerleyen ossifikasyon
MYOSİTİS OSSİFİKANS PROGRESSİVA • Bütün düz kaslar korunmuştur. • Ölüm genellikle göğüs kafesinin fikse olmasına bağlıdır • Yapılan biyopsiler bile ossifikasyonu arttırır.
– Endometrial ossifikasyon – Adenokarsinoma bağlı rektal ossifikasyon – Diabte bağlı akciğerde diffüz ossifikasyon – Mikst konnektif doku hastalığında kutanöz ossifikasyon – Ligamentum flavum ossifikasyonu – İntranöral ossifikasyon
TAN • Klinik bulgular; ASEMPTOMATİK !!! – En erken 3. haftada bulgu verir – Ağrı !!! – Periartiküler şişlik – Lokal eritem hafif ısı artışı – Nedeni açıklanamayan ateş – Spastisitede artış – Eklem hareket açıklığında azalma
AYIRICI TANI • • • Derin ven trombozu Sellülit Hematom Kronik osteomiyelit Tümör (osteosarkom, osteokondrom) • • • Diabetik kas infarktı Tümoral kalsinosis Abse Kas yırtığı Hidroksiapatit depo hastalığı
TANI Laboratuvar testleri: – – – – Alkalen fosfataz Kreatinin fosfokinaz Serum kalsiyum düzeyi Prostaglandin E 2 Osteocalsin Hidroksiprolin C-Reaktif Protein, WBC, ESR
TANI • Alkalen fosfataz (ALP) • Nonspesifiktir; kemik yaralanmaları ve kırık cerrahisi veya artropalsti sonrasında artar • Erken dönemde yükselir • Artmış osteoblastik aktivite • HO maturasyon takibinde değerlidir • Kreatinin fosfokinaz (CPK) • • Nonspesifik Erken dönemde yükselir Tedavi takibinde tedavi başarılı olmuşsa düzeyi düşer CPK yüksekliği histolojik bulgularla uyumlu bulunmuştur.
TANI • Serum kalsiyum düzeyi • HO gelişmeden hemen önce serum kalsiyum seviyelerinde düşme olur. • Kısa sürede normale döner. • Prostaglandin E 2 (PGE 2) • 24 saatlik idrarda değerinin yükselmesi tanıda değerli olabilir. • Tedavi takibinde de etkinliği gösterilmiştir.
TANI Radyodiagnostik • Direkt grafi • Ultrasonografi • Bilgisayarlı tomografi(BT) • Magnetik rezonans(MR) • Üç fazlı kemik sintigrafisi
TANI • Direkt grafi – Maturasyon başladıktan sonra !!! – 1 -2 ay içinde görüntü verir – Erken tanıda yeri yoktur – Sentripedal ossifikasyon gözlenir
TANI • Ultrasonografi; – Erken tanıda – İkinci haftadan itibaren kalsifikasyonlar oluşmaya başladığında • Santral zonda; Farklılaşmamış hücreler • İkinci zonda; Yumuşak osteoid • Periferal zonda; Osteoid ve kemik – Ayırıcı tanıda; DVT - abse - kas yırtığı - tümör
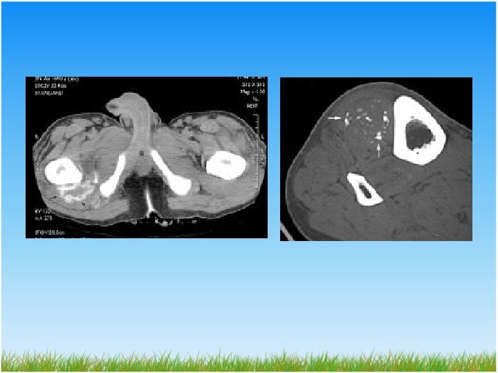
TANI Bilgisayarlı Tomografi(BT) – – – HO’nun lokalizasyonunu, Genişliğini, Çevre kas, damar, sinirlerle ilişkisini Olgunlaşmanın tamamlanma sınırlarını Bunlara göre operasyonun yönlendirilmesini sağlar
TANI Magnetik rezonans(MR) – Rutinde HO tanısında kullanılmaz – Tipik MR görüntüsü çerçeve şeklinde düşük sinyal intesidir. – Operatif yaklaşımı planlamak amaçlı kullanılabilir. – İntravenöz gadolonyum verilirse erken tanıda yararlı olabilir
n. iskiadikus Matür HO
TANI • Üç fazlı kemik sintigrafisi – Erken tanı – İlk haftadan sonra görüntüleme sağlar – Teknisyum 99 metilen difosfonat kullanılır – İlk haftalarda enflamatuar, travmatik ve dejeneratif süreçleri ayıramayabilir – Maturasyon takibinde altın standartdır
PROFLAKSİ VE TEDAVİ • Rehabilitasyon • Medikal tedavi – NSAİİ – Bifosfonatlar – Warfarin • Radyoterapi • Cerrahi
PROFLAKSİ VE TEDAVİ Rehabilitasyon – Önelenebilir risk faktörleri; İmmobilite, bası yarası, üriner enfeksiyon , DVT, kanama, mikrotravma – Uzun süreli immobilitenin ardından pasif egzersizlere geçiş HO riskini arttırabilir !!! – Erken dönemde; • • Pasif eklem açıklığı egzersizleri Sürekli pasif hareket cihazının uygulanması Dinamik-statik splintleme Kısa dalga diatermi, ultrason ve yüzeyel sıcak uygulama
NSAİİ İndometazin • Osteojenik hücrelere farklılaşmayı önler • Postravmatik kemik oluşumunda prostaglandin mediatör cevabını baskılar • İnsidansda 2 -3 kat azalma !!! • Boyutta azalma !!! • 75 -100 mg/gün • Preopertif ve postopertif proflaksi • Düşük maliyet !! ? ? # Hemoraji # GİS yan etkileri # Non-union
NSAİİ – İbuprofen; • Radyolojik verilerde etkin • Postoperatif 6 -12 ay içinde ağrıda ve fiziksel fonksiyonda anlamlı bir iyileşme yok. – Rofekoksib • İndometazinle benzer etki ve insidans azalması yapar • Günde 4 kez 25 mg kullanıldığında; – Etkinliği (+) – GİS yan etkisi daha az – Artmış kardiyovasküler olay riski !!!
Bifosfonatlar Etidronat • Kalsiyum prepitasyonu ve osteoid mineralizasyonunu inhibe eder. • Proflakside ve erken dönemde etkili • Matür kemik geliştikten sonra etkinliği yok. • Başlangıç tedavisi intravenöz 300 mg 3 saatte 3 gün verilir. • İdamede ilk 3 ay 20 mg/kg/gün, sonra 10 mg/kg/gün ile 6 ay devam edilir.
Bifosfonatlar Pamidronat • • Osteoklastları bloke eder. İmmunomodülatör etki gösterir Yüksek dozlarda tedavi edicidir. Proflakside 60 -90 mg/gün total doz 680 -1200 mg arasında tutulur.
Warfarin – Osteokalsin karboksilasyonunu önleyerek kemik oluşumunu engeller – Yapılan çalışmalarda ortalama 5 hafta kullanılmış – Proflaktik etkinliği gösterilmiş – DVT proflaksisi sağlar
RADYOTERAPİ • Osteoblastik dönüşümü engeller • 1981’ den beri preoperatif # Karsiogenez postoperatif profilakside # Gonadal • Düşük doz fraksiyone radyasyon disfonksiyon proliferasyonu inhibe eder. # Non-union • Proflaksi ve erken dönemde etkinliği bulunmuş • 1000 rad bölünmüş doz veya 600 -800 rad tek doz halinde verilebilir
NSAİİ&Radyoterapi • Straus’un 2008’de yaptığı çalışmanın sonuçlarına göre etkinlik ve tüm maliyet de hesaplandığında NSAİ ilaçlara göre daha az ciddi yan etki ve komplikasyon insidansı nedeniyle RT daha avantajlı bulunmuş.
NSAİİ&Radyoterapi • Kölb’ün 301 hasta üzerinde yaptığı randomize çalışmada hastalar 113 tanesi NSAİD, 95’i 5 Gy* dozunda radyasyonla, 93’ü 7 Gy dozunda radyasyonla tedaviye alınmak üzere 3 grup halinde incelenmişler. • HO’nun profilaksisinde en etkin tedavi yönteminin 7 Gy dozunda verilen RT olduğu sonucuna ulaşılmış. *1 gy: ışınlanmış maddenin 1 kg. ına 1 joule. lük enerji veren radyasyon miktarı
NSAİİ+Radyoterapi • Kombine tedavi alan hastalarda hesaplanan HO gelişme insidansı ayrı tedavi alan hastalarda hesaplanan HO gelişme insidansından daha yüksek bulunmuş ? ? ? • Çıkan sonuçların uyumsuzluğu ve kombine tedavinin etkinliğine yönelik yeterli çalışma olmaması nedeniyle bu konu araştırmaya açıktır.
BMP inhibitörleri • Noggin; – BMP’lere bağlanıp BMP’yi antagonize eden, ekstraselüler bir peptid – Noggin’in azlığı HO gelişimi !!! • • Fetuin Gremlin Follistatin Sclerostin
• Hanallah; Retroviral yolla üretilmiş Noggin, HO’a predispoze (BMP-4 Eksprese eden) kas dokusu içine verildiğinde – HO gelişimi %1. 53 -99 oranında azalmış – HO dokusunun hacmi %83 azalmış
Mutant BMP’ ler • Weber; BMP’lerin mutant formlarından yararlanmış • Mutant BMP’lerin BMP antagonisti gibi davrandıkları hatta Noggin’den daha etkin olduklarını bildirmiş.
Pulse Elektromagnetik Alan (PEMA) • Elektromanyetik alan; Dokuların kan akımında ve oksijenizasyonunda artış • Lokal hipoksi ve inflamasyonda azalma • Kociae; – TKA olan hastalarda postoperatif 3. günde verilen PEA etkin izlenmiş – Brooke Grade 3 -4 HO gelişmediği bildirilmiş
Serbest Radikal Tutucular • Oksidatif stress serbest radikal üretimini arttırır. • Biriken serbest radikaller miyoglobindeki demirin serbestleşmesine yol açarak ileri protein hasarına neden olur. • Meydana gelen doku hasarı HO’na predispoze bir zemin oluşturur. • Allopurinol ve N-Asetilsistein’in serbest radikal tutucu olarak HO profilaksisi amacıyla kullanılabilirmi ? ? ?
Ekstracorparal Shock Wave (ESWL) – Bifosfonat, radyoterapi, NSAİİ kullanılıp yarar göremeyen hastalarda denenmiş. – Dört hafta, haftada 1 kez 4000 şok dalga uzunluğunda uygulanmış – On bir ay takip sonrasında 1 yıl ağrısız dönem – Operasyona gidenlerde ise operasyon sonrası daha iyi sonuç alınmış.
Cerrahi – Eklem hareketlerinde kısıtlanma olması – Ankiloz olması – Tuzak nöropati olması – Yatak yaralarına neden olması – Akut HO olmaması – Serum AP normal olması
Cerrahi – Amaç; Hareketli bir eklem elde etmektir – Maturasyon tamamlandıktan sonra – Komplikasyonlar; Yetersiz yara iyileşmesi, sellülit veya osteomiyelit – Cerrahi öncesi proflaksi uygulanmazsa; • %82 -100 rekürrens • %17 -58 reoperasyon
Garland algoritmi I- İndükleme safhası; Primordial mezenkim hücrelerinin faaliyeti Radyoterapi ve NSAİİ ajanlar II- Başlangıç safhası; Progenitor hücreler NSAİİ III- Oluşum safhası; Osteoblastlar etkilidir Fizik tedavi IV- Kalsifikasyon safhası; Matriks prodüksiyonu Fizik tedavi ve bifosfonatlar V- Mineralizasyon safhası; Cerrahi !!!
• HO profilaksisinde NSAİ ilaçlar ve RT en geniş kullanıma sahip tedavi modaliteleridir. # Hemoraji # GİS yan etkileri # Non-union # Karsiogenez # Gonadal disfonksiyon # Non-union • Daha etkin ve daha az yan etkiyle 3 yeni tedavi modalitesi !!! – Noggin, PEMA, Allopurinol N-asetilsistein