M METTE SES NEFES TEKNKLER Ali Osman ALACA








































- Slides: 40
İM METTE SES NEFES TEKNİKLERİ Ali Osman ALACA DİYANET İŞLERİ BAŞKANLIĞI TÜRK TASAVVUF MÜZİĞİ KOROSU ŞEFİ
ŞAN EĞİTİMİ Şan eğitimi: Belirli temel öğelerin yanı sıra (postür, (Vucut duruşu), solunum, fonasyon), sese dayanıklık ve sağlamlık kazan dırmak, icra edilecek olan eserin türüne özgü çeşitli söyleme tekniklerini içerisinde barındıran ses egzersizlerinin tümüne denir.
SES EĞİTİMİ “Bireylere sesini konuşurken ve şarkı söylerken, anatomik ve fizyolojik yapı özelliklerine uygun olarak kullanabil mesi için gereken davranışların kazan dırıldığı eğitim sürecidir. ” �
SES EĞİTİMİ NEDEN GEREKLİDİR? � Yani Ses eğitimi: Ses tellerini eğiterek sesi bilinçli bir şekilde kullanabilmemizi sağlayan bir ses tekniğidir. � Ses Eğitiminin Amacı; Türk müziğini ve CAMİ İÇİ VE DIŞI İCRALARI düzgün üslup ve tavırla okuyabilmek, yani � "KONTROLLÜ SES" çıkararak okumaktır. kontrollü ses çıkartmak, Çünkü! Allah ü Teala her insanın sesini güzel yaratmıştır. bunu biz tin suresinde görüyoruz. . TİN SURESİ 4 AYET
“Ses Eğitimi Dersinde Verilmesi Gereken Başlıca Konuları Sıralayacak Olursak: Larinks (Gırtlak yapısı) ve bu organın anatomik yapısı � Ses ve solunum organları � Toraks (boyundan diyaframa kadar uzanan bölüm) � Diyafram, diyafram nefesinin önemi � Nefes çeşitleri � Nefes, nefes basıncını arttırıcı çalışmalar. Daha geniş, derin alınan ve daha uzun sürede boşaltılan nefes çalışmaları �� İcra sesinin oluşturulmasında kullanılacak en yararlı nefes şekli �� Nefes-ses, nefes-söz bağlantısı �� Ses yolu ve maske �� Rezonans çalışmaları �� Diksiyon çalışmaları � Mikrofon kullanımı � � �
� SES EĞİTİMİNE NELERDEN BAŞLANIR: � a-) NEFES � İnsan 1 dk. da yaklaşık 15 -25 arası nefes alırken, dünya sağlık örgütü 1 dk. da 12 nefes alıp vermenin sağlıklı olduğunu açıklamıştır. � Nefes kalitemizi düzelterek daha sağlıklı ve uzun yaşayabiliriz. � Kaliteli nefes alıyor muyuz? ( Türkiye'de yapılan araştırmalara göre kaliteli nefes alma oranı %30 gibi düşük bir orandır � Yanlış nefes alma hangi hastalıkları tetikler? (Hızlı nefes, hipertroit, panikatak, …) �
� Nefes kesinlikle burundan alınıp ağızdan verilmeli � Nefes alış-tutuş geri veriş 1 -4 -2 kuralına göre verilmeli (Başlangıç nefes 1 saniyede alınıp 4 saniye tutulmalı ve 2 saniye de geri verilmelidir. Bu etüd saniyeler artırılarak devam ettirilmelidir. � -İleri düzey ise 4 saniye al, 4 saniye bekle 8 saniyede ver. Bu eğzersizin süresini uzatarak çalışmalara devam etmek lazım. � Doğru ve düzgün nefes alıyor muyuz? (Doğduğumuz andan itibaren Allahü Teala nın bize bahşettiği nefes deposu DİYAFRAM…)
DİYAFRAM NEDİR ? Mide Üzerini Kaplayan Diyafram Adalesinin Alta Doğru Esnemesiyle Açılan Boşluğa Nefes Doldurma İle Çalışan Sistemdir. ( YANİ AKCİGER VE KARIN BOŞLUĞUNU ÇEPEÇEVRE SARAN BİR KAS)
İNSAN VUCUDU İKİ ÇEŞİT NEFES ALIR � 1) AKCİĞERLER � 2) KABURGA NEFESİ(DİYAFRAM NEFESİ)
YAYGIN OLARAK YAPILAN HATALAR � Konservatuar sınavında yaşadığım tecrübe!!! � Burundan okuma( Arap alfabesinin yapısı, yanlış teknikli öğrenmeler, hoca talebe ilişkisi) � GIRTLAGA YÜKLENEREK OKUMA USLUBU � Diyaframdan gelen nefesin düzgün bir şekilde ağızdan çıkması sağlanmalıdır. � Uygun ses tonunu tespit edememe. � Beğendiği kişilere benzemeye çalışarak okuma. � Larengoloji Kongresi Çıkarımları
NASIL DİYAFRAM ÇALIŞTIRILIR �BURUNDAN ALINAN NEFES DİREK DİYAFRAMA GİDER. �NEFES KARIN BÖLGESİNDE TOPLANDIĞINDAN KARIN BEL VE SIRT KASLARINDA GENİŞLEMELER YAŞANIR.
DİYAFRAM EGZERSİZLERİ � 1) Yüzüstü yere yatılarak karına nefes alma � 2) sırtüstü yatılarak göbek üzerine konulan bir kitap veya ağırlık ile 3 -5 dk lık alıştırma egzersizleri
ETÜDLER � Bir başka etüd: � -TISLAMA : YANİ NEFES AL TISLAYARAK GERİ VER “SSSSSSSSS” ŞEKLİNDE � Bir Başka Etüd: � -KESİK TISLAMA: � NEFES AL VE “TIS, TIS” ŞEKLİNDE GERİ VER � İlk seferler 10, ileri etüdler 20, daha sonra 30, burdaki espri (karın içeri boşalmalı)
DİĞER EGZERSİZLER �ZİRYAP YÖNTEMİ. . �Sakız çiğneme yöntemi (2 sakızla çene kaslarını çalıştırma) �Çenemizi açıp Pa-pe-pi-po veya ba, be, bi, bo seslerini çene açık bir şekilde yakın mesafeden uzak mesafeye şiddetli bir şekilde bağırma 5 m, 10 m, 20 m ağır şiddeti artırma.
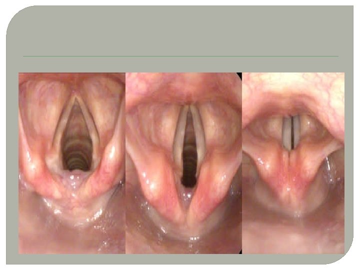
SESİN OLUŞUMU �SES TELLERİ: Ses telleri gırtlak yapısının içerisinde 3 tabakadan oluşan bir yapıdır. (kas yapısı, jölemsi yapı ve ses sinirleri) �Nefes alıp verme esnasında akciğerlerden gelen havanın, gırtlakta bulunan ses tellerinin arasından geçerken titreştirmesi sonucu oluşan titreşimlerdir.
SES İLE ALAKALI HASTALIKLAR � 1 - FARANJİT( Bogazda ağrı ve kaşıntı olması durumudur. �Boğazın arka kısmının şişmesi ve iltihaplanması �Viral bir rahatsızlıktır (soğuk algınlığı ve grip sonrası virüslerden kaynaklanan) �TEDAVİ: �ANTİBİYOTİK tedavi edici değil(viraldir çünkü)
FARANJİT �TEDAVİ: �ANTİBİYOTİK tedavi edici değil(viraldir çünkü) �Ballı ve limonlu sıvılar �Günde birkaç kez ılık tuzlu su �Boğaz pastilleri �Mentollü buharlaştırıcılar ve nemlendiriciler
� 2 - LARENJİT İLTİHAPLANMASI) (GIRTLAK �Ses kısılması ve ileriki safha ses kaybı �Boğaz da devamlı yanma, boğazda bir cisim varmış hissi, sürekli boğazda gıcık �En belirgin özelliği “Ses Kısılması” �TEDAVİ �Buhar solunmalı, sıvı içecekler, �Sigara bırakılmalı,
NODÜL �Ses telleri iltihabı( sesin HATALI ve YOĞUN kullanımından kaynaklanan ses telleri üzerinde nasırımsı yapı) �En önemli ses hastalığıdır. !!!! �TEDAVİ: �İlaç tedavisi yanında bitkisel tedavi �Son çare Ameliyat.
REFLÜ �Mide kapakçığının esneklik özelliğini kaybedip yukarıya sıvı kaçırması durumu �Tedavi : �İlaç tedavisi yanında bitkisel çözümler. .
�DİĞER SES HASTALIKLARI �Ses kistleri �Polipler �Ses felçleri
POLİP RAHATSIZLIĞI
SES KISIKLIĞI �ÇOK KONUŞMAYA BAĞLI KISIKLIKLAR �EĞİTİMSİZ DİYAFRAM �GÜRÜLTÜLÜ ORTAMDA BAĞIRARAK KONUŞMA �TELEFONDA AŞIRI KONUŞMA �SİĞARA �ÇAY VE KAHVE
LAXVOKS TEKNİĞİ �SUYA SES ÜFLEME �SES YOLUNUN UZATILMASIYLA SES YOLUNUN ÖNÜNE SU BASINCININ SES TELLERİNİN ÇALIŞTIRIL- MASIYLA GELİŞTİRİLMESİ YÖNTEMİ
UYGULANIŞI �- SİLİKON TÜP DİŞLER ARASINA ALINIR �- DUDAKLARLA KAPATILIR �-1. HAREKET HAFİF ÜFLEME �- ARDINDAN BU İŞLEME SES EKLİYORUZ
�İLERİ TEKNİKLER �GLİSENDO (ARABA ÇALIŞTIRMA SES ÜFLEME) �PORTAMENTO (KESİK ÜFLEME) �STAKKATO (DO RE Mİ FA SOL LA SESLERİYLE YUKARI AŞAĞI ÜFLEME)
MİKROFON KULLANIMI �DİNAMİK MİKROFONLAR �KONDANSATÖRLÜ MİKROFONLAR
MİKROFON �TANIMI: �ALDIĞI BİR SESİ VEYA SESTEKİ DEĞİŞİMLERİ YANISITAN SESİN ELEKTRİGE ÇEVİREN ELEKTRO AYGITA DENİR.
MİKROFON ÇEŞİTLERİ � 1 - DUDAK MİKROFON � 2 - TELSİZ MİKROFON � 3 - YAKA MİKROFON � 4 -YAKIN MİKROFON
DYNAMİK MİKROFONLAR
KONDANSATÖRLÜ MİKROFONLAR
MİKROFON KULLANIMINDA DİKKAT EDİLECEK HUSUSLAR �-DOĞRU SOLUK ALIP VERME �-DİYAFRAM KULLANIMINI NEFESLE BİRLEŞTİRME �-DİL ÖZELLİKLERİNİN BİLİNMESİ �-SES TONUNU EN UYGUN BİÇİMDE MİKROFONA YANSITMA �-3 -5 CM PARMAK MESAFESİ �-KALIN SESLER VE İNCE SESLERDE MİKROFON POZİSYONLARINI AYARLAMA