ESFAGO INFLAMACIN Y TUMORES ESFAGO RECUERDO DE LA















































- Slides: 47
ESÓFAGO INFLAMACIÓN Y TUMORES
ESÓFAGO: RECUERDO DE LA HISTOLOGÍA • Tubo muscular que transcurre desde la faringe hasta el estómago • Función: permitir el paso del alimento y evitar el reflujo desde estómago • 25 cm, dos zonas estenóticas: – Aorta – Entrada al estómago • Mucosa: epitelio escamoso estratificado no queratinizado • Submucosa: – Vasos sanguíneos, linfáticos, nervios • Capa muscular: – Primeros 12 cm músculo estriado – A partir de ahí, capa muscular circular (interna) y longitudinal (externa)
ESÓFAGO • Lesiones principales: – Varices – Malformaciones – Inflamación – Lesiones precursoras – Tumores • SÍNTOMAS DE PATOLOGÍA ESOFÁGICA: – Disfagia (dificultad para tragar) – Pirosis (ardor): relacionado con RGE – Hematemesis (vómitos sanguinolentos): por inflamación/úlceras o rotura de varices – Melenas (heces negras): por inflamación/úlcera
ESÓFAGO: VARICES • El plexo esofágico permite la comunicación entre la circulación esplácnica intraabdominal y la circulación venosa. – Si se impide el reflujo sanguíneo portal al hígado, ocurre la hipertensión portal • El flujo sanguíneo portal se desvía a través de las venas del estómago al plexo esofágico, y de ahí a la vena ácigos y a la cava superior • La cirrosis hepática es causa importante de hipertensión portal – el aumento de la presión en el plexo esofágico produce dilatación de los vasos (varices)
ESÓFAGO: VARICES • SÍNTOMAS: – Generalmente asintomático hasta que se rompen – La rotura de varices esofágicas produce una hemorragia masiva y la adhesión de la sangre a la pared del esófago. • • CAUSA DE RUPTURA – – • La mitad de muertes en los cirróticos avanzados se debe a rotura de las varices esofágicas Adelgazamiento del epitelio esofágico que las recubre Ulceración el epitelio Incremento de la presión intravascular Vómitos TRATAMIENTO: – Taponamiento con balón intraesofágico – Escleroterapia • MORTALIDAD: – 30% mortalidad en el primer episodio
ESÓFAGO: VARICES • ANATOMÍA PATOLÓGICA: – Normalmente se diagnostica mediante endoscopia o postmortem – Aparecen en los vasos del 1/3 distal del esófago – Venas dilatadas y tortuosas – Mucosa irregularmente abollonada, violácea – Erosiones y úlceras superficiales en la mucosa – Si se han roto, restos hemáticos adheridos a la pared del esófago
ESÓFAGO: ESOFAGITIS • CAUSAS: – Reflujo gastroesofágico (RGE): causa principal en países desarrollados • Fallo en los mecanismos antirreflujo (OH, tabaco, disminución del nivel de conciencia/coma, otros) • Fallo en la eliminación del contenido del reflujo hacia el estómago • Hernia de hiato deslizante • Aumento del volumen gástrico – Infección: sobre todo en pacientes inmunodeprimidos – – • Herpes • Cándida • otros Ingestión de agentes abrasivos Intubación prolongada RT/QT Infecciones
ESÓFAGO: ESOFAGITIS • • SÍNTOMAS: – Pirosis – Regurgitación – Dolor torácico que simula IAM (raro) • La intensidad de los síntomas no están relacionados con el grado de esofagitis POBLACIÓN: – Adultos/ancianos: normalmente por RGE – Adolescentes: RGE o esofagitis eosinofílica – Niños: RGE CONSECUENCIAS DE ESOFAGITIS: – Hemorragia – Estenosis esofágica por lesión continuada – Esófago de Barrett ENDOSCOPIA: – Mucosa hiperémica – Úlceras, erosiones
ESÓFAGO: ESOFAGITIS • • ANATOMÍA PATOLÓGICA: Los hallazgos histológicos dependen del agente causal y de la duración e intensidad de la exposición. – Hiperplasia epitelial con /sin hiperqueratosis – Congestión y elongación de las papilas – Infiltrado inflamatorio intraepitelial e intramucoso • RGE: linfocitos y polimorfonucleares • Infeccioso: polimorfonucleares formado microabscesos – Virus: cambios celulares por infección viral – Hongos: preencia de hongos – Tipo especial de esofagitis: E. eosinofílica • Endoscopia característica • Adolescentes • Hombres>mujeres • Infiltrado intraepitelial de eosinófilos, tanto aislados como agrupados en microabscesos
Esofagitis por reflujo severa
Esofagitis por Herpes
Esofagitis por Cándida: hifas y esporas
Esofagitis eosinofílica
ESOFAGO DE BARRETT Y TUMORES DEL ESÓFAGO
ESÓFAGO: LEIOMIOMA • LEIOMIOMA: ANATOMÍA PATOLÓGICA – Tumor benigno más frecuente del esófago – Macroscópico: blanco, elástico, bien delimitado – Estudio microscópico: • Tumor benigno constituido por células musculares lisas • Se disponen en haces musculares arremolinadas • Bien delimitadas • Epitelio esofágico que la recubre es normal
leiomioma
ESÓFAGO: T. MALIGNOS • EPIDEMIOLOGÍA: – C. escamoso es más frecuente que el adenocarcinoma (90% de casos) – Adenocarcinoma está siendo cada vez más prevalente en los países desarrollados debido al e. Barrett – Alta variabilidad geográfica • Algunas zonas de asia: 20% muertes se deben a neoplasias esofágicas • EEUU: 1 -2% muertes – Variabilidad respecto a razas: • C. escamoso: más frecuente en raza negra • Adenocarcinoma: más frecuente en raza blanca • LOCALIZACIÓN: – 1/3 superior y medio: carcinoma escamoso – 1/3 inferior: adenocarcinoma
ESÓFAGO: CARCINOMA ESCAMOSO • FACTORES PREDISPONENTES: – Trastornos esofágicos: • Esofagitis/acalasia – Tóxicos: • Alcohol • Tabaco factores principales – Dieta: • Déficit de vitamina A • Déficit de algunos metales (zinc, molibdeno) • Alimentos con alto contenido de nitrosaminas (a veces debido a contaminación fúngica de alimentos) – Infecciosos: • Virus del papiloma humano actualmente muy estudiado – Genética: • Mutación del gen K-ras • Mutaciones del p 53 • Sinónimo de carcinoma escamoso: carcinoma epidermoide – El tumor “recuerda” en su aspecto histológico a la epidermis
ESÓFAGO: CARCINOMA ESCAMOSO • ANATOMÍA PATOLÓGICA – Afecta a 2/3 superiores del esófago – Existe una lesión epitelial precedente: displasia epitelial • • • Bajo grado Moderado Alto grado Carcinoma in situ Carcinoma infiltrante evolución temporal (años) – ESTUDIO MACROSCÓPICO • Las lesiones de displasia/carcinoma in situ suelen ser lesiones algo sobreelevadas, con cambios en la coloración y aspecto del esófago • Carcinoma infiltrante: – Masa polipoide exofítica (60%) – Úlceras (20%) – Lesión difusa que engrosa la pared (15%)
c. Escamoso exofítico y polipoide
c. Escamoso exofítico y polipoide
c. Escamoso estenosante
c. Escamoso endofítico, ulcerado
ESÓFAGO: CARCINOMA ESCAMOSO • ESTUDIO MICROSCÓPICO – – – Placas de células neoplásicas que infiltran la submucosa Presentan focos de queratinización Células neoplásicas con atipia y mitosis Pueden estar ulcerados en superficie Se rodean por infiltrado inflamatorio mixto (agudo y crónico) Pueden mostrar invasión: • Invasión perineural • Invasión linfática • Invasión perineural – Grado de diferenciación tumoral: dependiendo de cuánto se parecen al epitelio escamoso • Bien diferenciado: abundante queratina, células con atipia • Moderadamente diferenciado • Pobremente diferenciado (peor pronóstico): poca/no formación de queratina, células muy poco difernciadas con marcada atipia nuclear, frecuentes mitosis, focos de necrosis.
c. Escamoso bien diferenciado
Carcinoma sarcomatoide
ESÓFAGO: E. BARRETT • DEFINICIÓN: – Cambio metaplásico del epitelio escamoso normal del esófago, donde aparecen células columnares mucosecretoras – Es la respuesta el epitelio esofágico al daño inflamatorio continuado (p. e. RGE larga evolución) • La inflamación continuada y el p. H bajo de la zona hace que las células escamosas se diferencien hacia células columnares mucosecretoras, más resistentes al ácido – Progresión: INFLAMACIÓN-METAPLASIA-DISPLASIA-ADC – Afecta al 1/3 distal (zona más dañada en RGE) – 5 -15% RGE desarrollan e. Barrett • POBLACIÓN: – Hombres>mujeres (4: 1) – Raza blanca>el resto de razas
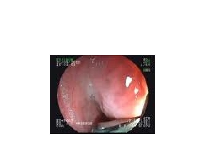
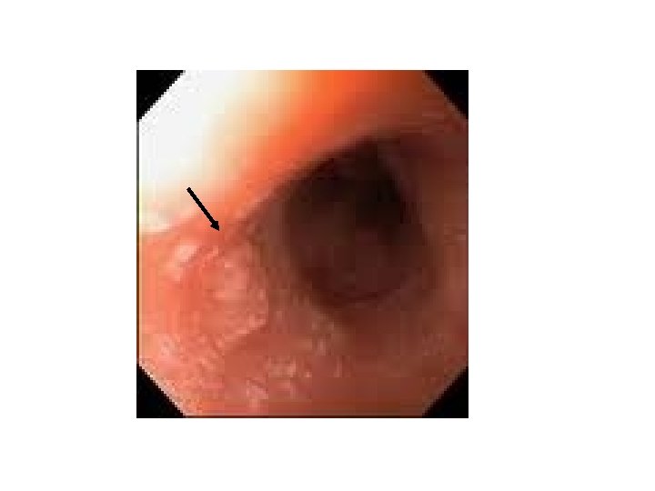
ESÓFAGO: E. BARRETT • COMPLICACIONES DEL E. BARRETT: – Es una lesión precursora del adenocarcinoma esofágico • 30 -100 veces más posibilidad de desarrollar adenocarcinoma que el resto de la población – El desarrollo del adenocarcinoma es un proceso progresivo: • • • E. Barrett sin displasia E. Barrett con displasia de bajo grado E. Barrett con displasia moderada E. Barrett con displasia severa Adenocarcinoma ENDOSCOPIA: Se recomienda realización periódica de endoscopias en pacientes con RGE prolongado. • Zona rosada/asalmonada aterciopelada: sospechosa • Lengüetas/islotes /banda circunferencial • No todos los adenocarcinomas de esófago son debidos al e. de Barrett
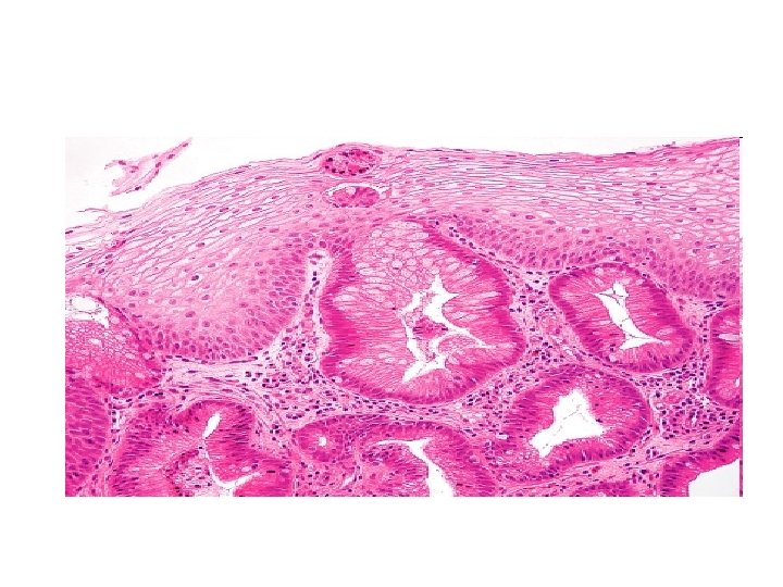
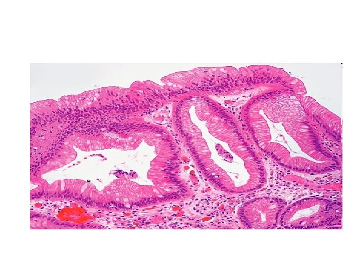
ESÓFAGO: E. BARRETT • ANATOMÍA PATOLÓGICA: – Presencia de células columnares mucosecretoras (metaplásicas) adyacentes al epitelio escamoso del esófago – Habitualmente lesiones parcheadas, por lo que requieren múltiples tomas de distintos zonas del esófago. • En la biopsia encontraremos varios fragmentos y en alguno de ellos, las células mucosecretoras. – Siempre se debe evaluar el grado de displasia epitelial por el riesgo de desarrollo de adenocarcinoma – Displasia: • Núcleos estratificados • Hipercromasia nuclear • Incremento de la relación núcleo/citoplasma • Atipia • Núcleos más redondeados que lo normal • Glándulas de morfología alterada
ESÓFAGO: ADENOCARCINOMA • El único precursor del adenocarcinoma de esófago es el e. Barrett – Proceso largo (años) – El grado de displasia epitelial del Barrett es el factor que más predispone al desarrollo del adenocarcinoma • Displasia bajo grado: poca probabilidad de cáncer • Displasia alto grado: al año, m 10% riesgo de desarrollar cáncer – El riesgo que aporta el e. Barrett se debe a: • Incremento de la proliferación celular • Alteraciones cromosómicas acumuladas • Mutaciones del gen p 53
Azul alcián para demostrar mucina
E. Barrett con inflamación y cambios reactivos sin atipia
E. Barrett con displasia de bajo grado
E. Barrett con displasia de alto grado/adenocarcinoma
EMISIÓN DEL INFORME DE ANATOMÍA PATOLÓGICA • EN EL DIAGNÓSTICO, DEBEN QUEDAR REFLEJADOS: – Tipo histológico del tumor: – Grado de diferenciación tumoral (OMS): • Bien diferenciado • Moderadamente diferenciado • Pobremente diferenciado (peor pronóstico) – El tamaño del tumor – Hasta dónde infiltra en profundidad – Si hay o no metástasis ganglionar – Márgenes quirúrgicos libres o afectados – Invasión perineural/linfática/vascular ESTA INFORMACIÓN QUEDA REFLEJADA EN EL TNM