1 Pulmonary Vascular Disease 2 Pleural Disease Prof






















































- Slides: 54
1. Pulmonary Vascular Disease 2. Pleural Disease Prof. Frank Carey
Pulmonary Circulatuion r Dual l l supply Pulmonary arteries Bronchial arteries r Low pressure system r Pulmonary artery receives entire cardiac output (a filter)
Low pressure system…. r Thin walled vessels r Low incidence of atherosclerosis At normal pressures
Pulmonary Oedema r Accumulation l l of fluid in the lung Interstitium Alveolar spaces r Causes a restrictive pattern of disease
Pulmonary Oedema (causes) Haemodynamic ( hydrostatic pressure) Due to cellular injury 1. 2. Alveolar lining cells ii. Alveolar endothelium Localised – pneumonia Generalised – adult respiratory distress syndrome (ARDS) i.
ARDS r Diffuse alveolar damage syndrome (DADS) r Shock lung l Causes include sepsis, diffuse infection (virus, mycoplasma), severe trauma, oxygen
Pathogenesis of ARDS Injury (eg bacterial endotoxin) r Infiltration of inflammatory cells r Cytokines r Oxygen free radicals r Injury to cell membranes
Pathology of ARDS r Fibrinous exudate lining alveolar walls (hyaline membranes) r Cellular regeneration r Inflammation
ARDS with hyaline membrane
ARDS – cellular reaction
Outcome of ARDS r Death r Resolution r Fibrosis (chronic restrictive lung disease
Neonatal RDS r Premature infants r Deficient in surfactant (type 2 alveolar lining cells r Increased effort in expanding lung physical damage to cells
Embolus r. A detached intravascular mass carried by the blood to a site in the body distant from its point of origin r Most emboli are thrombi – others include gas, fat, foreign bodies and tumour clumps
Pulmonary Embolus r Common r Often subclinical r An important cause of sudden death and pulmonary hypertension 95% + of emboli are thromboemboli
Source of most pulmonary emboli…. . r Deep limbs venous thrombosis (DVT) of lower
Risk factors for PE are those for DVT…. 1. 2. 3. Factors in vessel wall (eg endothelial hypoxia) Abnormal blood flow (venous stasis) Hypercoaguable blood (cancer patients, post-MI etc) - Virchow’s triad
Effects of PE r Sudden death r Severe chest pain/dyspnoea/haemoptysis r Pulmonary infarction r Pulmonary hypertension
Effects of PE depend on… r Size of embolus r Cardiac function r Respiratory function
Effect of embolus size… r Large emboli l l l Death Infarction Severe symptoms r Small emboli l l Clinically silent Recurrent pulmonary hypertension
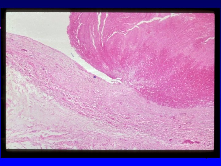
Pulmonary Infarct (ischaemic necrosis) r Embolus necessary but not sufficient r Bronchial artery supply compromised (eg in cardiac failure)
Pummonary Embolus
Pulmonary infarct – tumour embolus
Pulmonary Hypertension r Primary (rare, young women) r Secondary
Pulmonary Hypertension (mechanisms) r Hypoxia (vascular constriction) r Increased flow through pulmonary circulation (congenital heart disease) r Blockage (PE) or loss (emphysema) of pulmonary vascular bed r Back pressure from left sided heart failure
Morphology of pulmonary hypertension r Medial hypertrophy of arteries r Intimal thickening (fibrosis) r Atheroma r Right ventricular hypertrophy r Extreme cases (congenital heart disease, primary pulmonary hypertension) – plexogenic change/necrosis
Pulmonary artery – intimal fibrosis
Plexiform lesion – primary pulmonary hypertension
“Cor Pulmonale” r Pulmonary hypertension complicating lung disease r Right ventricular hypertrophy r Right ventricular dilatation r Right heart failure (swollen legs, congested liver etc)
Cardiomegaly due to right ventricular dilatation
Right ventricular hypertrophy and dilatation
The Pleura r. A mesothelial surface lining the lungs and mediastinum r Mesothelial cells designed for fluid absorption r Hallmark of disease is the effusion
Pleural Effusion r Transudate (low protein) l l cardiac failure hypoproteinaemia r Exudate (high protein) l l pneumonia TB connective tissue disease malignancy (primary or metastatic)
Pleural effusion
Purulent Effusion Full of acute inflammatory cells r Empyema r Can become chronic
Pneumothorax Air in pleural space r Trauma r Rupture of bulla
Large bullae
Pleural Neoplasia r Primary l l benign (rare) malignant mesothelioma r Secondary l common (adenocarcinomas - lung, GIT, ovary)
Mesothelioma r Asbestosis related r Increasing incidence r Mixed epithelial/mesenchymal differentiation r Dismal prognosis
Mesothelioma
Pleural biopsy - mesothelioma
Metastases in Pleura
Differential diagnosis of malignant effusions…. . r Cytology, biopsy r Difficult r Immunohistochemistry for lineage specific antigens may help r Medicolegal importance