LE DRAINAGE THORACIQUE UE 4 3 S 4





























































- Slides: 61
LE DRAINAGE THORACIQUE UE 4. 3 S 4 Les soins d’urgence
LE DRAINAGE THORACIQUE 1. 2. 3. 4. 5. 6. 7. 8. Définitions Principe du drainage Caractéristiques du drain Lieux d’implantation Indications La pose du drain La surveillance quotidienne Les soins quotidiens
1. Définitions La plèvre, composée de 2 feuillets qui glissent l’un sur l’autre. Si de l’air ou du liquide pénètre dans la plèvre, les 2 feuillets se décollent comprimant le poumon, entrainant une gêne respiratoire. Il est donc nécessaire d’extraire l’épanchement liquidien ou gazeux pour permettre au poumon de se rééxpendre
Epanchement pleural : accumulation d’un liquide ou d’un gaz dans la plèvre. → hémothorax : présence de sang dans la plèvre (fractures de côtes, traumatisme thoracique) → pyothorax : présence de pu dans la plèvre (fistule du poumon ou de l’œsophage dans la plèvre…) → pneumothorax : présence d’air dans la plèvre (éclatement d’une bulle d’emphysème pulmonaire) Emphysème sous cutané : infiltration gazeuse dans le tissu cellulaire entraînant un gonflement ressenti à la palpation: crépitement sous-cutané
1. Définitions La pose, les injections dans les drains et l’ablation du drain thoracique (DT) sont des actes médicaux. Le rôle infirmier défini par le décret n° 2004 802 du 29 juillet 2004 relatif à l’exercice de la profession d’infirmier, livre III article R 4311 -5 n° 36 : « …surveillance des cathéters, sondes et drains… »
1. Définitions Le rôle de l’infirmier en rapport avec le drainage thoracique est : Préparation du patient et du matériel Aide au médecin au moment de la pose Surveillance quotidienne du patient sous drainage thoracique Pansement de l’orifice cutané Aide au médecin au moment de l’ablation
2. Principe du drainage Le drain thoracique est connecté en système clos à une valise à drainage thoracique, reliée à un manomètre de vide mural. La valise à drainage comporte plusieurs compartiments : la colonne de Jeanneret: remplie d’eau jusqu’au niveau de dépression prescrit (aspiration précise, stable et douce). comprise entre « moins 20 cm d’eau et moins 25 cm d’eau » la « chambre de sécurité sous eau » permet de visualiser les gaz évacués (observation d’un bullage) et d’empêcher l’entrée d’air dans la plèvre en cas de débranchement du vide mural la colonne graduée de recueil des liquides biologiques, munie d’un site de prélèvement
3. Caractéristiques du drain Stérile, radio opaque, à usage unique Muni de perforations distale et collatérales De calibre variable : petit calibre pour l’évacuation des gaz, gros calibre pour l’évacuation des liquides En PVC (rigide) ou silicone (souple, maintien de longue durée car matériau moins irritant)
4. Lieux d’implantation En fonction du côté de l’épanchement (thoracique droit ou gauche) et de sa nature (liquidien ou gazeux) DT peut être implanté en position : « supérieure » ou « inférieure » sur la face antérieure du thorax « axillaire moyenne » (sous l’aisselle)
5. Indication Evacuation des épanchements liquidiens ou gazeux de la plèvre générant une gêne clinique afin de restaurer la pression négative qui règne habituellement dans la plèvre et permettre ainsi la réexpension du poumon comprimé (hémothorax, pneumothorax, pleurésie)
6. Pose du drainage thoracique Information au patient Objectif du drainage Heure prévue de la pose Préparation cutanée : douche savon antiseptique, tonte aisselle et thorax du côté de la pose du drain Installation : torse nu, décubitus dorsal, si pose axillaire, la main est positionnée au dessus de la tête pour dégager l’espace de pose Anesthésie locale Immobilité
Préparation générale du patient Au préalable : Bilan de coagulation Radio du thorax Le jour de la pose : Toilette ou douche au savon antiseptique Casaque ou pyjama propre Le lit est refait avec des draps propres Monitorage: pouls, saturation , TA
Préparation de la zone d’insertion Réalisée dans l’heure qui précède la pose Vise à éliminer la flore bactérienne tansitoire et réduire la flore résidente cutanéomuqueuse du lieu de ponction Déplacer: électrodes et tuyaux de ventilation pour dégager la zone opératoire Dépilation à la tondeuse (axillaire et thoracique antérieure), si besoin, voire crème dépilatoire
Déroulement du soin Installation: torse nu, décubitus dorsal, charlotte Lavage simple des mains en chambre Installer la protection sous le patient, Détersion: protocole Bétadine 4 temps large Installer le champ stérile sur la zone détergée Lavage simple des mains en chambre
Réalisation de la pose Préalable : Fenêtres et porte sont fermées Bionettoyage de la pièce terminé depuis au moins 20 mn Seules sont présentes dans la chambre les personnes impliquées dans l’acte
Préparation du matériel en salle de soins Habillage de l’opérateur (masque, bonnet, casaque stérile, deux paires de gants stériles) Lavage chirurgical des mains de l’opérateur (savon liquide, savon antiseptique, brosse, essuie mains stérile) Habillage de l’infirmier (masque, casaque non stérile, bonnet) Antisepsie locale (bétadine dermique, compresses stériles) ou hibitane solution alcoolique Anesthésie locale: 1 IM longue, 1 flacon de 20 ml de xylocaïne 1%, 1 seringue de 20 ml) 1 champ de table ou un plateau stérile
Préparation du matériel en salle de soins 1 champ troué stérile, 2 champs larges stériles 1 drain, raccord biconique, trocard de Monod adaptés drain, plateau cupule, clamps, ciseaux, compresses stériles, sérum physiologique bistouri, 1 fil à peau non résorbable, pansement opaque stérile Drainage: valise de recueil « pleurevac » , 1 l d’eau stérile, 1 manomètre de dépression murale, tuyau non stérile. surveillance du drainage : jeu de 4 clamps à bouts ronds, 1 pince à traire élimination des déchets
Préparation de la valise de drainage Habillage, lavage hygiénique des mains+SHA Ouverture valise, posée à la verticale sur la paillasse, sur le socle: 1 tuyau long, tuyau « patient » 1 court , relié à la source d’aspiration Remplir la chambre de sécurité jusqu’à la « ligne de remplissage » 70 ml d’eau, (si chambre trop remplie : ponctionner à la seringue le liquide par le site de ponction face antérieure) Oter le bouchon obturateur situé à gauche sur la valise et remplir par cet orifice la colonne de Jeanneret de la valise jusqu’au niveau prescrit (si colonne trop remplie : ponctionner à la seringue le liquide par le site de ponction face antérieure)
Préparation de la valise de drainage Installer le manomètre et la tubulure Connecter la tubulure au raccord du tuyau d’aspiration de la valise Faire le vide dans la valise Positionner un clamp sur l’extrémité du tuyau qui sera connecté au patient (intercaler une compresse pour protéger le tuyau) Ouvrir le manomètre de vide pour obtenir un léger bullage dans la colonne de Jeanneret (efficacité de la dépression). Le circuit se vide d’air (observation de bulles dans la chambre de sécurité). Le vide est réalisé quand il n’y a plus de bullage dans la chambre de sécurité
Déroulement de la pose Patient: décubitus dorsal strict sans oreiller, tête tournée du côté opposé au lieu d’implantation médecin : habillage stérile, bonnet, masque lavage chirurgical des mains
Déroulement de la pose IDE: Habillage non stérile, masque, bonnet Lavage hygiénique des mains Vérifie le fonctionnement de la voie d’abord veineuse Règle le lit à hauteur pour l’opérateur Surveillance scope, PA / 5 mn Réalise 1ère antisepsie locale à mains nues, bétadine dermique, temps de contact au minimum 2 mn Habillage de l’opérateur Sert le médecin: matériel stérile , sérum physiologique
Déroulement de la pose Le médecin : 2ème antisepsie locale Anesthésie locale Pose champ opératoire Change de gants stériles lncision de la peau au bistouri Insertion du trocart de Monod, introduction du drain Si nécessaire : tire légèrement sur le drain pour obtenir une évacuation efficace puis ôte le trocard
Déroulement de la pose IDE : Connecte aseptiquement le raccord biconique de la valise au drain tenu par le médecin, sans toucher le drain, avec 1 compresse bétadinée Déclampe le tuyau de la valise reliée à la source de vide (préalablement ouvert). L’aspiration débute. Fixe le tuyau à renflement sur le thorax du patient et sur le drap du lit au moyen d’un clamp
Déroulement de la pose Le médecin Fixe solidement le drain avec le fil, réalise une bourse autour du drain qui sera utilisée au moment de l’ablation Elimine le sang du point de ponction par un tampon de sérum physiologique, sèche Place une compresse fendue au point de ponction puis le pansement stérile (non occlusif en cas de pneumothorax pour permettre à l’emphysème de s’évacuer par l’orifice cutané Elimine l’aiguille dans le collecteur d’aiguille Lavage simple des mains avant de quitter la chambre
Déroulement de la pose IDE Revêt des gants non stériles pour éliminer les déchets dans l’écobox Réinstalle le patient Lavage simple des mains avant de quitter la chambre NB : si un prélèvement est nécessaire (prescription médicale), l’IDE ponctionne aseptiquement à la seringue au niveau du site situé derrière la valise
5. Surveillance immédiate après la pose Observation du patient : Amélioration de la fonction respiratoire, du faciès et des constantes hémodynamiques Apparition d’une douleur intense dans le dos signifiant la réexpension du poumon Observation de l’efficacité du drainage : Bullage dans la colonne de Jeanneret Observation du recueil : Qualité (air, sang, pu) Quantité
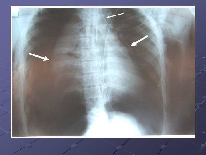
Radiographie du thorax de face, réalisée après la pose pour vérifier la position du drain Si besoin, le médecin repositionne le drain dans les mêmes conditions d’asepsie que lors de la pose Contrôle radiographique après L’IDE note dans le DSI les informations relatives à la pose : Date de pose, Lieu d’implantation, Type de drain (et n°lot) Nom de l’opérateur Difficultés éventuelles Planification du premier pansement Recueil obtenu
7. Surveillance quotidienne du patient porteur d’un drainage thoracique Durant toute la durée du maintien du drainage thoracique, conserver dans la chambre : le jeu de 4 clamps à drainage thoracique une pince à traire
7. Surveillance quotidienne Observation point de ponction Recherche des signes locaux Inflammation, rougeur, chaleur écoulement douleur Observation de la fixation mouvements de va et vient longueur extériorisée. pansement non occlusif Intégrité du drain
Observation du circuit d’aspiration Absence de coudures sur le circuit d’aspiration Bullage dans la colonne de jeanneret signifiant le bon fonctionnement de l’aspiration Dépression : le niveau d’eau de la colonne de jeanneret doit être au même niveau que la dépression prescrite. Si nécessaire, rajouter de l’eau stérile dans la colonne Si bullage dans la chambre de sécurité (pneumothorax) vérifier l’absence de fuites sur le circuit (raccords) en réalisant des tests de clampage en aval du patient niveau de remplissage de la chambre de recueil. Si nécessaire, procéder au remplacement de la valise
7. Surveillance quotidienne Observation du recueil Qualité : liquide séreux liquide séro sanglant sang pu air Quantité : pour l’air, il faut quantifier le bullage : « rare » , « régulier » , « abondant »
7. Surveillance quotidienne Observation de l’état général du patient Fièvre , frissons, hypothermie Fonction respiratoire : recherche d’une gêne respiratoire (drain bouché)… Surveillance hémodynamique Signale toute anomalie au médecin qui décidera de la conduite à tenir.
8. Soins quotidiens spécifiques du patient porteur d’un drainage thoracique Soins cutané locaux du point d’insertion Ecoulement, emphysème cutané fixation du drain, intégrité des fils le drain ne doit pas coulisser dans les fils pansement : protocole bétadine, pansement sec (compresses coupées en Y) non occlusif si pneumothorax fixer le drain à la peau à l’aide d’un sparadrap placé « en cavalier » fixe le tuyau siliconé dans le lit avec un clamp au drap en veillant à ce qu’il soit bien tendu jusqu’à la valise de recueil en déclive
8. Soins quotidiens spécifiques Traite du drain Fonction de la qualité de l’écoulement, l’IDE trait le drain et le tuyau allant à la valise au minimum toutes les 3 heures, risque d’obstruction du drain par des caillots ou de la fibrine lavage hygiénique des mains + SHA Gants non stériles Traire le drain depuis son site d’insertion cutanée jusqu’à la valise (le tuyau doit se collaber, signifiant l’efficacité de la traite) Retrait des gants puis lavage hygiénique des mains
8. Soins quotidiens spécifiques Traçabilité des informations relatives au drain Quantité et qualité du recueil des 24 h (écrire au marqueur sur la valise : date+niveau) Force de dépression prescrite en cm d’eau Difficultés éventuelles (caillots, mauvaise fixation du drain, signes locaux au point de ponction, qualité et abondance du recueil…)
8. Soins quotidiens spécifiques Interventions sur la valise Vérifier la dépression prescrite Contrôler 1 fois par équipe le niveau de liquide dans la colonne d’eau (évaporation) remettre de l’eau stérile Présence du bullage dans la colonne d’eau signifiant l’aspiration effective (un gros bullage n’augmente pas la force d’aspiration) La chambre de sécurité doit osciller de façon synchrone avec la respiration. Si bullage: vérifier l’absence de fuite sur le circuit allant de la valise au drain l’absence de coudure sur le circuit
Transport du patient Avec la valise (pour la rebrancher durant examen ou intervention) Ne jamais élever la valise au dessus du thorax du patient car elle ne possède pas de valve anti retour Pour connecter une valve de Hemlich : Clamper le drain par 2 clamps en opposition désadapter le drain de l’aspiration avec des compresses bétadinées connecter la valve anti-retour au drain par l’embout rouge adapter une poche non stérile sur l’embout vert (flèche vers le recueil) déclamper le drain et actionner la valve le temps du transport.
6. Ablation du drain Quand le poumon revient à la paroi et qu’il n’y a plus d’épanchement le médecin prescrit le clampage du drain pendant 24 H au moins par 2 clamps en opposition sur le drain par dessus des compresses Une radio pulmonaire est réalisée après clampage (dans un délai défini par le médecin) Si état pulmonaire satisfaisant, le médecin réalisera l’ablation du drain thoracique
6. Ablation du drain Habillage Lavage des mains, protocole bétadine champ stérile L’infirmier tire le drain en même temps que le médecin tire la bourse afin d’éviter la création d’un pneumothorax Couper avec un ciseau stérile l’extrémité du drain dans une crachette stérile pour l’envoi en bactériologie Pansement sec
Surveillance clinique après ablation Déceler la reconstitution de l’épanchement Si patient en ventilation spontanée, recherche de tachypnée, dyspnée, gêne respiratoire Si patient sous ventilation assistée en pression positive, recherche d’augmentation des pressions et des fréquences respiratoires, désadaptation avec le respirateur et/ou douleurs respiratoires