Enfoque diagnstico y teraputico del paciente con Derrame



























































- Slides: 59
Enfoque diagnóstico y terapéutico del paciente con Derrame Pleural Prof. Dr. Juan Ricardo Cortés 2015
Concepto n Derrame pleural: Excesiva acumulación de líquido en el espacio pleural. Desequilibrio entre la producción y la absorción de líquido en el espacio pleural
Bases anatómicas y fisiológicas n n Pleura visceral Pleura parietal: diafragmática, mediastinal, costal. Espacio pleural Presiones hidrostática, osmótica y oncótica.
Anatomía humana. Latarjet 1996 Rose, BD , Up. To. Date, Wellesley, MA, 2005.
Rose, BD. Up. To. Date, Wellesley, MA, 2005.
Incidencia de DP por etiología Light RW. NEJM 2002: 346: 1971
Mecanismos Trasudados Alteraciones en factores sistémicos reguladores de la P hidrostática y oncótica, con una pleura funcionalmente indemne (ICC, disproteinemias)
Etiología Trasudados n Insuficiencia cardiaca n Cirrosis hepática n Origen renal n Sdme. Nefrótico n Dialisis peritoneal n Urinotórax
Mecanismos Exudados Alteración de los factores locales. Inflamación del parénquima pulmonar o de la pleura, que provoca aumento del influjo de líq. desde los capilares. Obstrucción al flujo linfático. Aumento de la P (-) (atelectasias)
Exudados n Infecciosos n Paraneumónicos n Tuberculosis n Empiemas n Parasitarios n Neoplásicos n Primarios n Secundarios
Exudados Otros n Embolismo pulmonar n Enfermedades pancreáticas n Enf. inmunológicas: LES, AR, Sarcoidosis, Dressler n Pleuritis asbestósica benigna n Sdme. Meigs n Fármacos (amiodarona, metotrexate, nitrofurantoína, bleomicina)
Aproximación diagnóstica: Clínica n Síntomas y signos de la enfermedad causal del DP. La clínica es altamente predecible cuando el derrame es un trasudado. ICC, TEPa, Drogas
Aproximación diagnóstica: Clínica n Asintomáticos Dolor pleurítico. Agudo (puntada de costado) n Crónico n n Tos seca no productiva Disnea Decúbito sobre el lado enfermo
Aproximación diagnóstica: Clínica n n n Expansión disminuída del hemitórax afectado MV disminuido o ausente Soplo pleurítico Disminución-abolición de las VV Matidez a la percusión
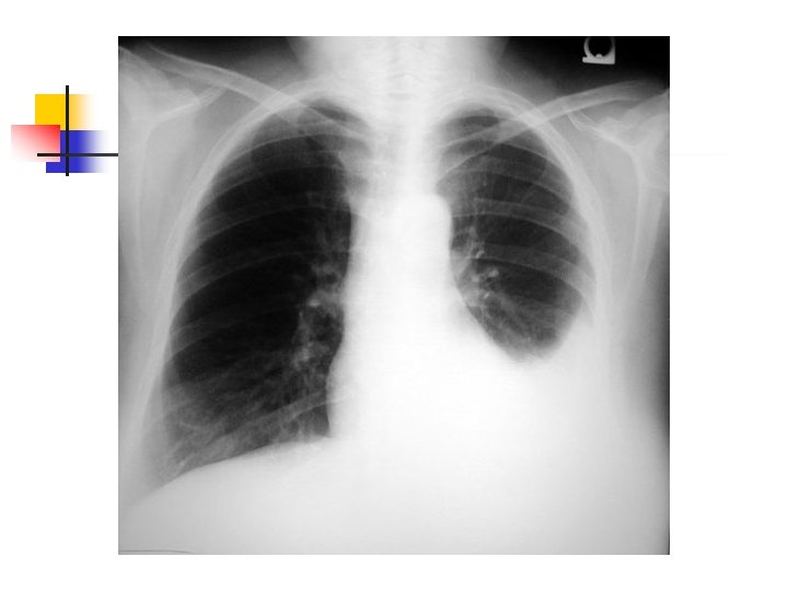
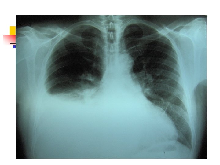
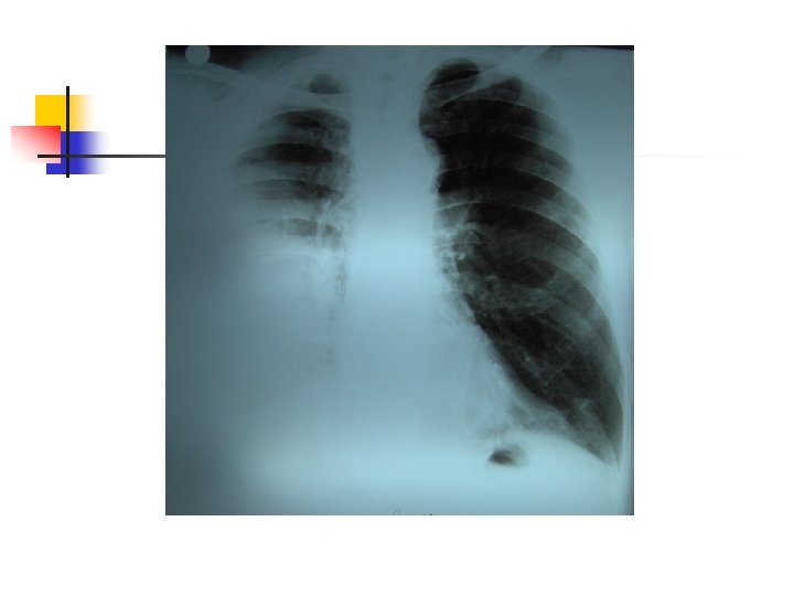
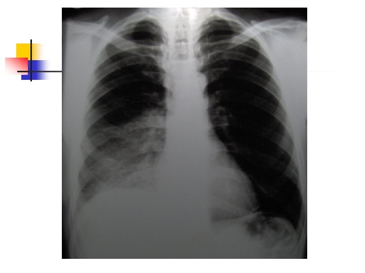
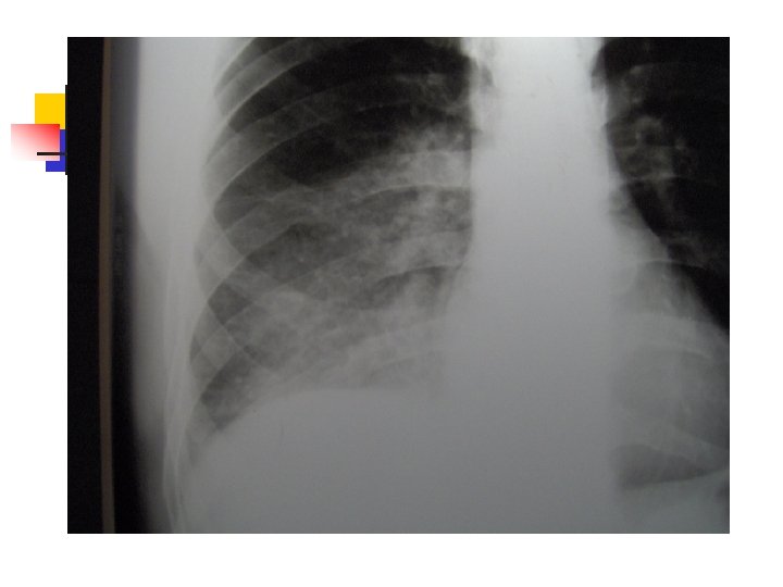
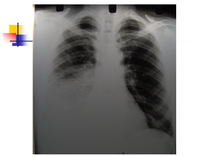
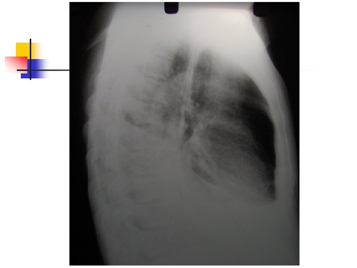
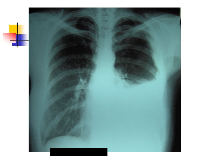
Aproximación diagnóstica: Radiología n n n 250 ml son necesarios para provocar alteraciones radiológicas. Primer signo: Borramiento del SCD Damoisseau. Desviación de estructuras. Derrame tabicado.
Aproximación diagnóstica: Toracocentesis diagnóstica Siempre!!! Excepto en - derrame pequeño (< 10 mm) - paciente con ICC y derrame bilateral - causa ya conocida
Siempre 3 muestras!!!
n Frasco 1: Microbiología n Frasco 2: Físico-Químico/ Rcto. celular n Frasco 3: (mayor volumen): Anatomía patológica
AG. 52 años. Masculino HC. . . . Solicito Muestra: LP Exámen directo, cultivo y antibiograma GC BAAR Hongos Antecedentes: . .
AG. 52 años. Masculino HC. . . . Solicito Muestra: LP Recuento cel. diferencial Estudio Fco-Qco LDH Proteinas totales Glucosa p. H Albúmina Colesterol Amilasa, ADA Antecedentes: . .
AG. 52 años. Masculino HC. . . . Solicito Muestra: LP Estudio citológico Antecedentes DP derecho. Tabaquismo. Ca. Mama. Tu. pulmón
AG. 52 años. Masculino HC. . . . Solicito Muestra: sangre LDH Proteinas totales Colesterol Albumina Glucemia
Diferenciación entre trasudados y exudados Criterios de Light n n n Prot pleural / Prot. plasma > 0. 5 LDH pleural / LDH plasma > 0. 6 LDH pleural > 2/3 valor normal de LDH sérica Uno de los 3 criterios presente = EXUDADO S ≈100% E ≈ 98 % Heffner JE. Am J Resp Crit Care Medd 2003
Aspecto macroscópico del LP Hemorrágico: Neoplasia. TEPa, Trauma, Hemotórax, Tuberculosis Turbio: leucocitos, detritus celulares, quilotorax Olor pútrido: Empiema (anaerobios)
Hallazgos específicos n n n DP Neutrofílico DP Eosinofílico DP Linfocítico Triglicéridos Amilasa Anticuerpos
¿Empiema? n n n Apariencia purulenta p. H < 7. 10 LDH > 1000 UI/L Ex. directo (+) Glucosa < 40 mg/%
Otros procedimientos diagnósticos n n Técnicas de imágenes Broncoscopía Biopsia pleural Toracoscopía
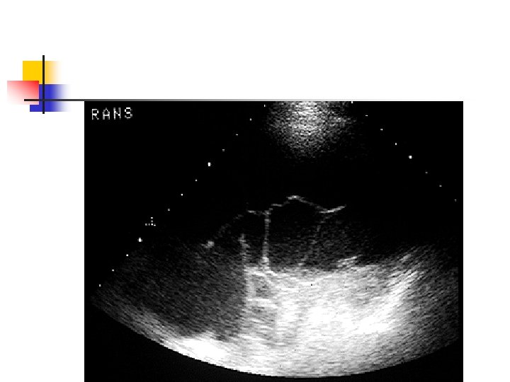
Aproximación diagnóstica: Ecografía n n Indicaciones Confirmación de DP en casos no claros Guiar punción en derrames pequeños o tabicados Ha demostrado reducción en la incidencia de Neumotórax (Evidencia C) Porcel JM, Light RW. Diagnostic aproach to pleural effusion in adults. Am Fam Physician 2006: 73: 1211
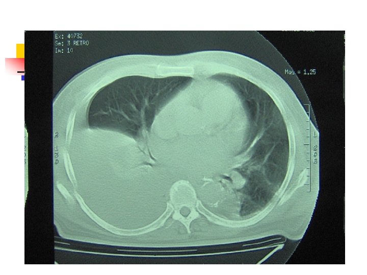
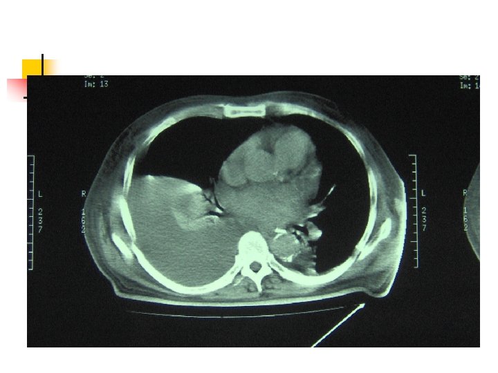
Aproximación diagnóstica: TAC Siempre TAC contraste n n Evaluar parénquima vecino Evaluación del mediastino. Desplazamiento contralateral Evaluación de DP tabicado Angio. TC Porcel JM, Light RW. Am Fam Physician 2006: 73: 1211
Broncofibroscopía Sospecha de neoplasia n Masa pulmonar en TAC o RX tórax n Derrame pleural masivo n Hemoptisis n Desplazamiento del mediastino hacia el lado del derrame Antunes G. Thorax 2003; 58: 29
Aproximación diagnóstica: Biopsia pleural n n Cuando la sospecha es neoplasia pleural (1 ria o 2 ria) o TBC pleural. Cuando los otros métodos diagnósticos no sean concluyentes. Agujas de Cope, Silverman, Abrams Se obtiene pleura parietal
TBC n Biopsia pleural S: 80 % n Cultivo S: 56 % n Biopsia pleural (4) + Cultivo S: 90 % Maskel NA. Thorax 2003; 58: 17 Neoplasia Biopsia S: 17 - 44 % Aumenta cuando se utilizan imágenes para guiar Antony VB. ERS-ATSSS statement. ERJ 2001; 18: 402 Antunes G. Thorax 2003; 58: 29
Aproximación diagnóstica: Otros métodos n n n Tras el exámen clínico, el exámen del LP, biopsia pleural y otros exámenes complementarios queda un 15 % de DP sin diagnóstico Toracoscopía S: 90 % para neoplasias Biopsia pleural a cielo abierto
¿ Es necesario realizar Rx Tórax control post pleurocentésis? n n No (Evidencia B) Excepto cuando: n Durante el procedimiento el paciente desarrolle nuevos síntomas n Aspiración inadvertida de aire durante el procedimiento Porcel JM, Light RW. Am Fam Physician 2006: 73: 1211
Derrame Pleural ¿suficiente volumen? NO SI Observación ¿ICC? ¿Causa conocida? NO SI ¿Fiebre o dolor pleurítico? SI Muestra de sangre: LDH, PT, Glu Light RW. NEJM 2002: 346: 1971 Toracocentésis NO Tto ICC y observar ¿Derrame > 3 días?
¿Al menos 1 de los criterios de Light? NO SI TRASUDADO Tto ICC Cirrosis, Sdme nefrótico. EXUDADO Ver: recuento diferencial Glucosa, Citología, Microbiología, Anticuerpos ¿Linfocítico? Marcadores TBC Sin causa ident: Considerar TEPa Light RW. NEJM 2002: 346: 1971
Tratamiento Trasudados n Tratamiento de la causa y evacuación del LP si produce insuficiencia respiratoria
Exudados: Siempre Tto. de la causa n Infecciosos n Ex. no complicado. Tto. Neumonía n Ex. complicado. Punciones repetidas n Empiema: Tubo de drenaje ancho n Pleuritis virales: AINEs
n n n Neoplásicos n MTS pleural. Pleurodesis n Obst. bronquial. Exceresis Cx. Láser n Obst. Flujo linfático: Rx. Tx mediastinal Enf. Inmunológicas n AINEs – Inmunomoduladores Secundario a drogas o exposición n Suspensión ± corticoides
Toracocentesis terapéutica Disnea IV o Insuficiencia respiratoria. Si no existe control de P, no evacuar más de 1500 cc. Si existe Control de P, mantener P pleural por encima de – 20 cm H 2 O
Puntos Claves n n n El diagnóstico de derrame pleural es clínico-radiológico. Todo LP debe enviarse a n Microbiología n Fco-Qco n Anatomía Patológica Siempre debe ir con el LP, una muestra de sangre para PT, LDH y Glu.
Puntos claves (2) n n El primer paso en la evaluación de pacientes con derrame pleural es determinar si es un trasudado o un exudado. Implicancias Dx. y terapéuticas. Los criterios de Light cuentan con la mejor S y E.
Muchas Gracias