CHRONIC OBSTRUCTIVE PULMONARY DISEASE Chronic Obstructive Pulmonary Disease
CHRONIC OBSTRUCTIVE PULMONARY DISEASE
Chronic Obstructive Pulmonary Disease (COPD) n Chronic Obstructive Airway disease (COAD)
DEFINITION n COPD is a disease state characterized by increase in resistance to airflow due to partial or complete obstruction of airway at any level from the trachea to respiratory bronchiole. Changes are usually irreversible esp. in chronic bronchitis and emphysema. - Predominant symptom; Dyspnoea - Predominant cause; Smoking
n Pulmonary function tests show : 1 -Increased pulmonary resistance 2 - Limitation of maximal expiratory flow rates (reduced FEV 1).
1. EMPHYSEMA 2. CHRONIC BRONCHITIS 3. ASTHMA 4. BRONCHIECTASIS
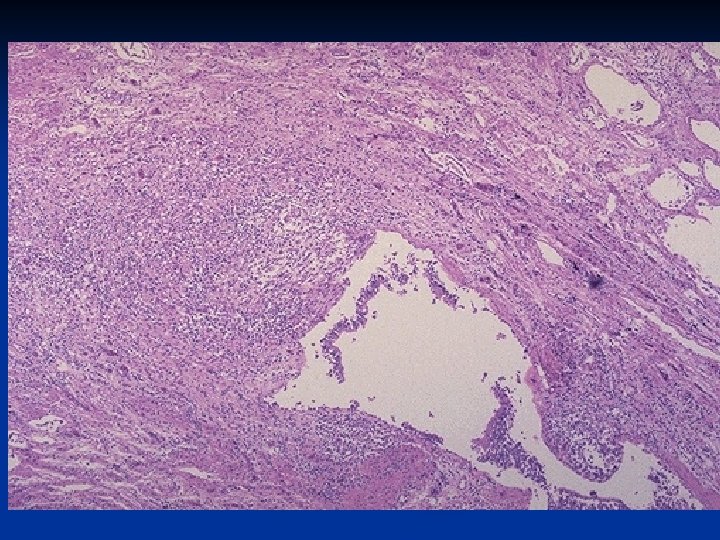
n Emphysema. -Abnormal permanent enlargement of the distal air spaces due to destruction of the alveolar walls and loss of respiratory tissue. -“Obstruction” is caused by lack of elastic recoil.
n Etiology: 1 - Most common cause is smoking: produces combination of emphysema and chronic inflammation 2 - Genetic deficiency of alpha 1 antitrypsin (Pi locus on chromosome 14) ; alpha-1 -antitrypsin produces almost pure emphysema deficiency
n Pathogenesis: 1 - Protease-antiprotease imbalance: . Alpha 1 antitrypsin present in serum, tissue fluids, macrophages. Inhibitor of proteases (esp. elastase secreted by neutrophils during inflammation). Stimulus--TNF, IL 8 --Increased neutrophils-Release of proteases(elastase, proteinase- 3, cathepsin-G)--Elastic lung tissue destruction
Pathogenesis n 2 - Oxidant-antioxidant imbalance: Smoking--Free O 2 radicals--Deplete Antioxidant in lung (superoxide dismutase, glutathione)—Damage of lung tissue
Types of Emphysema 1 -Centroacinar (Centrilobar) Emphysema -- Affects central (proximal) parts of the acini (respiratory bronchioles) but spares the distal alveoli. - More severe in upper lobes, especially apical segments.
n Causes: -Smoking -Coal dust
2 -Panacinar (Panlobar) Emphysema -- Uniform enlargement of the acini in a lobule. - May not necessarily involve entire lung - Predominantly lower lobes. - Alpha -1 - antitrypsin deficiency is prototype.
3 -Paraseptal (Distal Acinar) Emphysema -- Proximal acinus normal, distal part involved - Most prominent adjacent to pleura and along the lobular connective tissue septa. - Probably underlies spontaneous pneumothorax in young adults.
4 -Bullous Emphysema n -- Any form of emphysema which produces large subpleural blebs or bullae (> 1 cm). - Localized accentuation of any one of the type.
5 -Interstitial Emphysema n Air penetration into the connective tissue stroma of the : - lung - mediastinum or - subcutaneous tissue.
6 -Compensatory “Emphysema” n - Dilatation of alveoli in response to loss of lung substance elsewhere. - Actually hyperinflation since no destruction of septal walls.
7 -Senile “Emphysema” - Change in geometry of lung with larger alveolar ducts and smaller alveoli. - No loss of lung tissue; hence not really an emphysema.
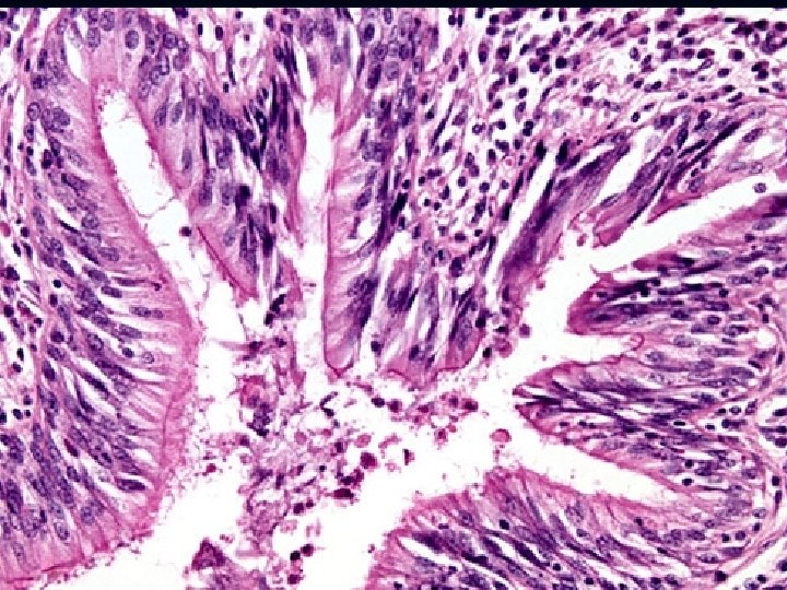
Chronic Bronchitis n - Clinical definition: persistent cough with sputum production for at least three months in at least two consecutive years. - Can occur with or without evidence of airway obstruction - Smoking is the most important cause.
Basic Mechanism: : n Hypersecretion of mucus n Histology -Increased numbers of goblet cells in small airways as well as large airways. -Increased size of submucosal glands in large airways (Reid index: ratio of thickness of mucosal glands to thickness of wall between epithelium and cartilage) -Peribronchiolar chronic inflammation.
Bronchiectasis - Permanent abnormal dilation of bronchi and bronchioles, - Usually associated with chronic necrotizing inflammation - Patients have fever, cough, foul–smelling sputum. - More common in left lung, lower lobes.
Causes: n Obstruction (tumor, mucus) n Congenital n Intralobar sequestration n Cystic fibrosis n Immotile cilia syndrome n Necrotizing pneumonia n Kartaganer’s Syndrome
Asthma n - Increased responsiveness of tracheobronchial tree to various stimuli, leading to paroxysmal airway constriction - Unremitting attacks (status asthmaticus) can be fatal.
n Etiology : 1 - Extrinsic Factors (atopic, allergic); most common 2 - Intrinsic Factors (idiosyncratic); now recognize mixed.
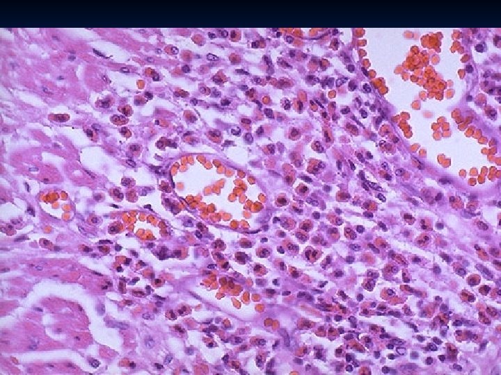
n Basic Mechanism - Bronchial plugging by thick mucous plugs containing eosinophils, whorls of shed epithelium (Curschmann’s spirals), and Charcot – Leyden crystals (Eosinophil membrane protein); - Distal air- spaces become over distended.
n Histology: -Thick basement membrane -Edema and infiltration of the bronchial walls by inflammatory cells with prominence eosinophils, - Hypertrophy of bronchial wall muscle. of
n Therapeutic agents are aimed at increasing c. AMP levels either by : - increasing production (ß-agonists, e. g epinephrine) or - decreasing degradation (Methyl xanthines, e. g theophylline). - Cromolyn sodium prevents mast cell degranulation.
Allergic Bronchopulmonary Aspergillosis n Occur in chronic asthmatics; hypersensitivity to non – invasive Aspergillus. Bronchocentric granulomatous inflammation, mucus impaction of bronchi, pneumonia. Distinctive promixal bronchiectasis (? Pathgnomonic) eosinophilic
Burden of Asthma n n n Prevalence increasing in developed countries more than developing or underdeveloped countries affecting 10 -15% of population. The number of children with asthma has increased six-fold in the last 25 years Between 100 and 150 million people around the globe 5. 1 million people in the UK have asthma In South Asia (including Pakistan) rough estimates indicate a prevalence of between 10% and 15%
Burden of Asthma World-wide, the economic costs associated with asthma are estimated to exceed those of TB and HIV/AIDS combined. n In the United States, for example, annual asthma care costs (direct and indirect) exceed US$6 billion. n At present Britain spends about US$1. 8 billion on health care for asthma and because of days lost through illness n
Burden of Asthma Age-adjusted death rate per million Under 5 years 5 -14 years 1999 2011 2010 Target 15 -34 years 35 -64 years 65 years and over 0 80 20 40 60 Deaths per Million
CLASSIFICATION OF ASTHMA EXTRINSIC Implying a definite external cause Atopic individuals Positive skin prick test More common Early onset in childhood n INTRINSIC OR CRYPTOGENIC Late onset (middle age) n
Etiology and Pathogenesis Allergy n Airway hyperresponsiveness n Genetic factors n Asthma triggers n
The Underlying Mechanism Risk Factors (for development of asthma) INFLAMMATION Airway Hyperresponsiveness Airflow Limitation Symptoms. Risk Factors (shortness of breath, (for exacerbations) cough, wheeze)
Pathological changes
Genetic Factors Candidate genes on chromosome 5 q 31 -33 (IL 4 GENE CLUSTER) Responsible for production of cytokines , IL 3, IL 4 , IL 9 , IL 13, GM-CSF Gene A Atopy susceptible Gene B Gene D Gene C Asthma susceptible Gene E
Asthma triggers n n n n Indoor allergens Outdoor allergens Occupational sensitizers Tobacco smoke Air Pollution Respiratory Infections Parasitic infections n n n Socioeconomic factors Family size Diet and drugs Obesity Exercise Acid reflux
Burden of COPD The global burden of COPD will increase enormously over the foreseeable future as the toll from tobacco use in developing countries becomes apparent. § In UK and USA COPD occurs in 18% male smokers 14% female smokers 6 -7% those who have never smoked §
Direct and Indirect Costs of COPD, (US $ Billions) n Direct Medical Cost: $18. 0 n Total Indirect Cost: $ 14. 1 n Mortality related IDC 7. 3 n Morbidity related IDC 6. 8 n Total Cost $32. 1
Risk Factors for COPD Host Factors n Genes (e. g. alpha 1 -antitrypsin deficiency) n Hyperresponsiveness n Lung growth Exposure n Tobacco smoke n Occupational dusts and chemicals n Infections n Socioeconomic status
Pathogenesis of COPD NOXIOUS AGENT (tobacco smoke, pollutants, occupational agent) Genetic factors Respiratory infection Other COPD
Symptoms and Signs Acute attack of asthma Intermittent dyspnoea Cough, sputum , wheeze Tachypnoea Hyperinflated chest Hyperresonant percussion note Diminished air entry Widespread polyphonic wheeze n Acute exacerbation of COPD Dyspnoea , cough , sputum, wheeze Tachyponea Use of accessory muscles reduced cricosternal distance <3 cm Reduced expansion Hyperinflation Hyperresonant percussion note Quiet breath sounds Wheeze , cyanosis Cor pulmonale n
Signs of severe attack of asthma Inability to complete sentence n Pulse>110 n Respiratory rate >25 n PEFR <50%of predicted n
Signs of Life threatening attack Silent chest n Cyanosis n Bradycardia n Exhaustion n Confusion n Feeble respiratory effort n PEFR <33% of predicted n Low p. H <7. 35, Pa. O 2< 8 KPa , Pa. CO 2>5 KPa n
Investigations for acute attack of asthma Full Blood Count n Urine Complete and Electrolytes n PEFR (pt may be too ill to perform it well) n Arterial Blood Gases n Pulse oximetry n ECG n CXR n
Investigations for Acute Exacerbation of COPD n n n n n Full Blood Count Urine Complete and Electrolytes PEFR (pt may be too ill to perform it well) Arterial Blood Gases Pulse oximetry ECG CXR Blood cultures (if Pyrexial) Sputum for culture
Differential Diagnosis Asthma n COPD n Pneumothorax n Pulmonary edema n Upper respiratory tract obstruction n Pulmonary embolus n Anaphylaxis n
Management Plan n Immediate management to stabilize the patient n Long term management of disease n Prevention of further attacks
Immediate management of acute asthmatic attack B 2 Agonists Salbutamol 5 mg or Terbutaline 10 mg nebulized with O 2 (se; tacchycardia, tremor, hypokalemia, arryth mia) n Corticosteroids Hydrocortisone 200 mg iv or Prednisolone 30 mg oral (both if very ill) n
Immediate management of acute asthmatic attack Additional management in Life threatening attack n Nebulize with Anti cholinergics (Ipratropium 0. 5 mg add to B 2 agonist) n Aminophylline 250 mg (5 mg/kg) I/V over 20 mins n I/V B 2 agonists Salbutamol or Terbutaline 0. 25 mg over 10 mins
Effects of Corticosteroids in Acute Asthma Systemic Corticosteroids n Anti-inflammatory n Late improvement in outcomes (> 6 hrs) n Corticosteroids induce transcriptional effects synthesis of new proteins Inhaled Corticosteroids n Topical n Early improvement in outcomes (< 3 h) n Corticosteroids upregulating postsynaptic adrenergic receptors airway mucosa, vasoconstriction decrease airway mucosal blood flow, mucosal decongestion
Complications Respiratory failure Type I continuous O 2 Type II controlled O 2 Intubation and ventilation n Cor pulmonale n Pneumothorax (ruptured bulla …bullous lung disease, Indication of surgery) n Chest infection (pneumonia) n Polycythemia n
Complications n Respiratory failure n Treatment options; Noninvasive Positive Pressure Ventilation Intubation Sedatives and Neuromuscular Blockers
PREVENTION Elimination of risk factors n Patient education and information n Advice on not missing the dose n Proper management plan n Addition of mast cell stabilizers like sodium cromoglycate and nedocromil and leukotriene antagonists e. g; montelukast and zafirlukast to traditional therapy n
- Slides: 77