TECHNIQUES DEXPLORATION DU RACHIS L Harzallah Service dImagerie








































































































- Slides: 104
TECHNIQUES D’EXPLORATION DU RACHIS L. Harzallah Service d’Imagerie Médicale Hôpital Farhat Hached Sousse Master de Neuroradiologie Avril 2008
INTRODUCTION
IMAGERIE CONVENTIONNELLE l Radiographies standard l Examens avec opacification l Myélographie l Discographie l Arthrographie interapophysaire postérieure
RADIOGRAPHIES STANDARD
Rachis cervical • Critères de réussite : • position médiane de la trachée • Position médiane des épineuses ; • bonne visibilité des disques de C 3 -C 4 à C 7 -T 1
C 3 Processus Épineux Processus transverse de T 1 1ère côte Processus transverse
l Résultats: l Etude de la statique et appréciation morphologique des 4 ou 5 dernières vertèbres cervicales l La zone médiane correspond aux corps vertébraux et aux épineuses (appréciation de la distance inter-épineuse) l Visualisation des uncus l Latéralement: colonnes des processus articulaires et des transverses
Rachis cervical
l Critères de réussite : l superposition des angles mandibulaires, des apophyses articulaires droites et gauches l Absence de dédoublement des murs postérieurs l Dégagement de tous les interlignes discaux et articulaires postérieurs l Visualisation de tout le rachis cervical jusqu'en C 7 -T 1
c 2 Articulaire supérieure lame Processus épineux Articulaire inférieure c 7 T 1 Disque intervertébral
l Résultats: l Etude de la courbure rachidienne l Structure et morphologie des corps vertébraux l Alignement des murs postérieurs l Hauteur des espaces intervertébraux l Position et morphologie des arcs postérieurs l Ligne spino-laminaire l Diamètre antéro-postérieur du canal cervical l Epaisseur des parties molles pré-vertébrales
C 1 -C 2
l l'odontoïde et l'épineuse de l'axis sont sur la ligne médiane. l Le bord inférieur des incisives supérieures et la face inférieure de l'occipital sont superposés.
Condyle occipitale Masse latérale de c 1 dent Corps c 2 Processus épineux c 3 Masse latérale de c 1
l Résultats : l bonne visibilité des masses latérales de C 1 et C 2 (alignement des bords externes) l bonne visibilité de l'odontoïde (analyse de l'espace séparant l'odontoïde des masses latérales de C 1)
De trois-quarts: la ligne des épaules fait un angle de 45° avec le plan de la table, la tête est en position horizontale dans un plan parallèle à la table pour voir tous les trous de conjugaison
l Critères de réussite : l bon dégagement de tous les trous de conjugaison l bon dégagement des pédicules
l Clichés dynamiques l Profil l Position même que pour le profil d'ensemble/ l l Flexion maximale, sans aide et sans dépasser le seuil douloureux l Extension maximale sans aide et sans dépasser le seuil douloureux Centrage, rayon directeur, et critères de réussite, sont identiques au profil d'ensemble l Précautions: l Patient conscient l Médecin présent l Absence de contre-indication neurologique l Un délai de 10 à 15 jours par rapport au traumatisme est habituellement à respecter.
Neutre Flexion Extension
l Autres: l Incidence du Faux Profil de Roy Camille l Incidence de Dorland bilatérale l Incidence de Dorland unilatérale
Rachis dorsal et lombaire
l Deux incidences obligatoires: l Face l Profil
Rachis dorsal de face Centrages : milieu du sternum pour la partie supérieure, 2 doigts sous la xiphoïde pour la partie inférieure ; Incliner le rayon de 10° en caudo -crânial pour les premières dorsales et de 15° en crânio-
l Résultats : l Etude de la statique l Analyse des corps vertébraux , des pédicules , et des épineuses l Appréciation des parties molles para-rachidiennes ( lignes paravertébrales
Rachis dorsal de profil Position: debout, de profil strict, Epaules et bras dégagés en avant. centrage pointe de l'omoplate, 4 doigts en avant des épineuses ; Réaliser le cliché en cours de respiration.
l Résultats : l courbure physiologique l morphologie et structure des corps vertébraux. l Hauteur des espaces inter-vertébraux. l Morphologie des arcs postérieurs
l Obliques l Position du patient : debout en oblique postérieure droite puis gauche de 75 deg. environ, pour dégager les articulaires postérieures et les épineuses l Point de centrage : 2 travers de doigts sous le pli axillaire antérieur l Rayon directeur : horizontal l Critères de réussite : bon dégagement des apophyses articulaires et des épineuses.
Rachis lombaire de face l Critères de réussite : l En haut : T 11 -T 12 l En bas: la symphyse pubienne et une partie des coxofémorales l Disques L 1 -L 2 à L 4 -L 5: enfilés.
l Statique rachidienne, l Morphologie: l des corps vertébraux, l des arcs postérieurs, et l’espace inter-arcual l Hauteur des espaces intervertébraux l Bords externes des psoas l Anomalie transitionnelle
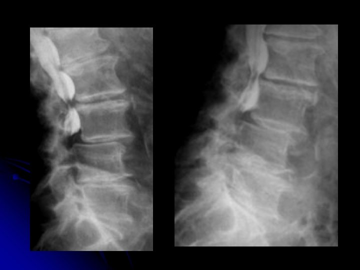
Rachis lombaire de profil
l Statique rachidienne l Morphologie et structure des corps vertébraux, l Hauteur des espaces inter-vertébraux l Morphologie des arcs postérieurs
l Autres incidences: l Cliché centré sur L 5 -S 1 l Obliques l Dynamiques
l Autres incidences: l Cliché centré sur L 5 -S 1 l Obliques l Dynamiques
l Autres incidences: l Cliché centré sur L 5 -S 1 l Obliques l Dynamiques
King et Morgan Posner Dvorak
Examens conventionnels avec opacification
MYELOGRAPHIE l Bilan pré-chirurgical d’une sténose canalaire l Hernie discale mobile ou dynamique l IRM: l Contre indiquée l Non disponible
MYELOGRAPHIE l opacification des espaces sous arachnoïdiens l produit de contraste non ionique l Examen invasif: milieu neurochirurgical l Précaution: l Asepsie l Deux clichés du rachis lombaire de face et de profil l Prélèvement du LCR: étude cyto-chimique.
DISCOGRAPHIE lombaire+++
DISCOGRAPHIE
ARTHROGRAPHIE INTERAPOPHYSAIRE POSTERIEURE
TOMODENSITOMETRIE
1. Installation du patient l Décubitus dorsal l Alignement du rachis dans son ensemble l Position confortable l Si injection IV de PDC: l Absence de CI l Voie d’abord
2. Choix des paramètres d'acquisition
l Epaisseur des coupes: 3 mm ++ l Coupes jointives ou chevauchées: excellente qualité de reconstructions
l Injection IV de produit de contraste l pathologie intracanalaire l bilan d'extension de lésions tumorales, l infection l disque lombaire opéré l Pathologie dégénérative au rachis cervical
3. Traitement des images
l Reconstructions 2 D : l Recherche d'un fragment discal migré sur des reconstructions sagittales, l Appréciation de la liberté des foramens sur des reconstructions sagittales obliques dans un bilan de hernie ou de tumeur, l Etude du mur postérieur et du canal rachidien dans un contexte traumatique, dans plusieurs plans, l Correction du plan axial transverse en cas de scoliose. . .
coupes sagittales médianes
coupes para-sagittales passant par les foramens
Particularités régionales l Rachis cervical l Installation du patient avec un système de traction des épaules vers le bas l Éviter de déglutir et éventuellement de respirer pendant la durée d'exposition l Injection de produit de contraste n'est pas systématique mais utile (hernie discale)
l Rachis dorsal l Le mode radio devra être réalisé avec un champ suffisant pour compter les vertèbres par rapport au sacrum. l Rachis lombaire l La progammation des coupes dépend de l'indication si on n'utilise pas le mode hélicoïdal : l Dans le plan des disques: disques, corps vertébraux, et espace périrachidien ; l Dans le plan des isthmes: l'arc postérieur et en particulier les lyses isthmiques
l Particularités selon les indications l Pathologie traumatique l Installation du patient prudente. l Les coupes seront au minimum jointives, voire chevauchées. l Acquisition hélicoïdale avec reconstructions 2 D: ++++, (liberté du canal rachidien) l La technique de superposition d'images permet de comfirmer une éventuelle rotation (dans les luxations rotatoires C 1 -C 2 par exemple). l Pathologie tumorale l Coupes jointives ; l Injection de produit de contraste +++
IMAGERIE PAR RESONANCE MAGNETIQUE
l Installation du patient l Absence de contre-indication (pace-maker, stimulateur implantable. . . ) l Décubitus dorsal avec respect de la rectitude du rachis dans l'axe de l'aimant l Genoux en flexion avec une compression abdominale modérée.
l Choix de l'antenne: l Antenne corps entier l Antennes rachis l Antenne en réseau phasé
• Séquences de repérage • Frontale • Axiale • Sagittale
TECHNIQUE Quand c'est possible utiliser une pré-saturation antérieure pour masquer les artefacts des gros vaisseaux, cardiaques et abdominaux
TECHNIQUE • • • Coupes de 3 A 7 mm Coupes sagittales Choisir un nombre impair de coupes pour avoir une coupe sagittale médiane
COUPE MÉDIANE
COUPE MÉDIANE
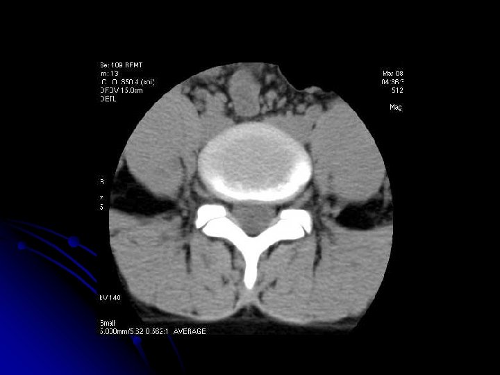
• Séquences axiales T 1 et T 2 : • Étage pathologique • Etage suspect cliniquement • Mensuration
COUPE AXIALE
• Séquences frontales T 1 et T 2 très utiles dans les problèmes de tumeurs et d'infections
• Spin écho • Fast spin echo T 2 • Echo de gradient • STIR en cas de recherche de lésion osseuse
l Injection IV de gadolinium: l Pathologies post-opératoires et reconnaissance des cicatrices épidurales, l Hernie discale exclue l Tumeurs l l osseuses, l intradurales, Spondylodiscites et autres processus infectieux.
IRM : LIMITES l LIMITES ANATOMIQUES : IMPORTANTES DÉSAXATIONS l LIMITES TECHNIQUES : PIÈCES MÉTALLIQUES l LIMITES GÉNÉRALES : PACE-MAKER, CORPS ÉTRANGERS MÉTALLIQUES INTRA-OCCULAIRES, CLIPS MÉTALLIQUES VASCULAIRES INTRA-CRANIENS, CLAUSTROPHOBIE
DÉSAXATION l ESSAYER LE PLAN FRONTAL
MYÉLO-IRM / TECHNIQUE l ANTENNE DE SURFACE «PHASED ARRAY» l MEMBRES INFÉRIEURS EN EXTENSION
MYÉLO-IRM / TECHNIQUE l ACQUISITION CORONALE l PRÉSATURATION DE LA GRAISSE l SÉQUENCE FSE TRÈS PONDÉRÉE T 2 l TE 140, 1 EX, ETL 48 l MATRICE 512 X 256 l FOV 30
MYÉLO-IRM / TECHNIQUE l ÉPAISSEUR COUPE 1. 5 mm l 8 COUPES/ PILE l 10 PILES l PUIS, MIP FRONTAL, OBLIQUE, SAGITTAL
Scintigraphie osseuse
APPROCHE PAR PROBLEMES
Traumatisme l RX standards l Clichés dynamiques (rachis cervical): recherche d'une instabilité postérieure l l TDM avec reconstructions multiplanaires: l bilan d'une fracture instable l Fracture du mur postérieur l luxation d'une articulation postérieure IRM: l lésion médullaire l fracture pathologique l hernie discale
Infection l l RX standards: l Diagnostic positif l Diagnostic différentiel IRM: l Diagnostic précoce l Bilan lésionnel CT: l ponctions guidées, drainage l Bilan lésionnel scintigraphie: l Diagnostic précoce l multifocalité
Tumeurs l RX standards: 1ère intention l IRM: l l l extension tumorale loco-régionale l lésions à distance l Approche de la nature l contrôle en cours de traitement CT: l > Rx standard (arcs post) l Approche de la nature (OO, ostéoblastome, angiome, …) l ponctions-biopsies guidées: métastases+++ l Bilan métastatique thoraco-abdominal scintigraphie: bilan métastatique
Lésions dégénératives et inflammatoires l l RX standards: l troubles de la statique, l malformations, l Arthrose, l ostéochondrose (Scheuermann) IRM: l syndrome douloureux radiculaire déficitaire (hernie discale, kyste synovial intracanalaire, arthrose postérieure, sténose des trous de conjugaison), l l syndrome douloureux résistant au traitement, l claudication neurogène (canal étroit) CT: l Hernie discale l Bilan préop d’une sténose canalaire « myéloscanner »
Malformations, scoliose l RX standards (2 segments au moins, cervicale+dorsale ou dorsale+lombaire, ou colonne totale); mesure des angles de scoliose l l Clichés dynamiques: l stabilité ou fixité d'une scoliose, l stabilité ou fixité d'une hypercyphose ou d'une hyperlordose IRM: l malformation de Chiari, l hydromyélie, l moelle attachée, l lipome sacro-coccygien, l méningocèle CT: l malformations vertébrales complexes, diastématomyélie l contrôle post-opératoire (éléments métalliques empêchant la réalisation d'une IRM) Échographie (petits enfants): défauts de fermeture de l'arc postérieur et moelle attachée
CONCLUSION
RX ST SCANNER IRM initial, approche diagnostique OS / CALCIFICATIONS ÉTUDE ENDOCANAIRE MOELLE OSSEUSE
Hémisacralisation de L 5