Generalidaddes e ca de pulmon La principal causa





























































- Slides: 61
Generalidaddes e ca de pulmon La principal causa de mortalidad por cancer en el mundo es el cance r de pulmón. lasupervivencia a los 5 años es de solo el 10 % al 15 % La cirugía sigue siendo l el tratamiento más efectivo. La estadificación y clasificación son críticas pára elegir el tratamiento y evaluar el diagnóstico.
Ca de pulmón: tipos histológicos: resumiendo • Adenocarcinoma. ( incluye el bronquioalveolar). Común en fumadores y no fumadores. Periféricos. Raramente centrales. Puede confundirse con neumonía. • Carcinoma epidermoide( cel. Escamosas). Pueden ser centrales o periféricas/cavitadas. • Carcinoma de cel indiferenciadas grandes. Generalmente son lesiones centrales y grandes. • Estos tres tipos de son de celulas no pequeñas. Aproximkadamente el 80 / 90%. • Carinoma de cel. Pequeñas ( grano de avena). Tiene distinto comportamiento biológico y distinta respuesrta al tratameinto que las células no pequeñas. Aproximadamete el 10 / 15%. • mettástasis: nodular, linfnagítico. Neumonía.
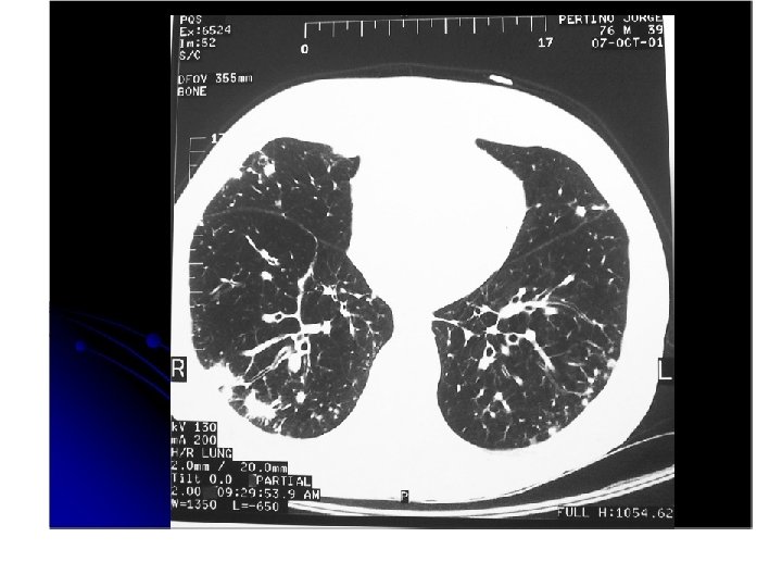
Aden ocarcinoma. • • • se puede presentar como un nódulo una zona de consolidación varios nódulos producen mucha secresión Sospechar en caso de neumonías que no se resuelven.
adenocarcinoma
Cancer epidermoide/cel escamosas Asociadas fuertemente al tavbaco Pueden ser c entrales ó periféricas cavitadas Sospechar cuando se descubre metástasis antes de individualizar el tumor. • Cuando proceden de bronquios de gran calibre. Son casi siempre epidermoide. • •
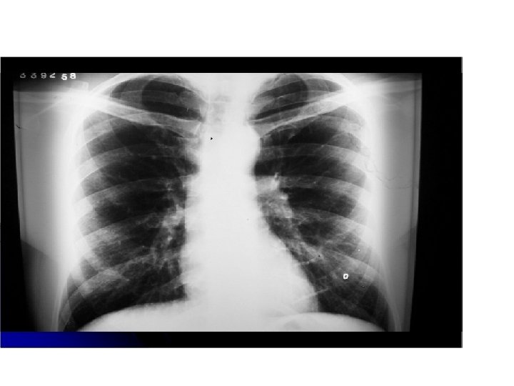
Se muestra nódulos en vertice izquierdo y ensanchamiento de mediastino.
El mismo pacinte con adenomegalias paratraqueales inferiores derechos y paraaórticos. Tambien se ven subaórticos e hiliares izqueirdas.
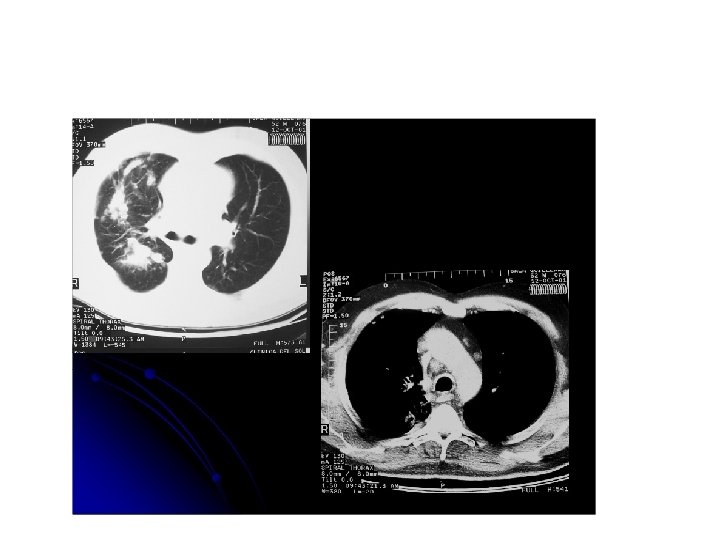
Mets cerebrales. Y lesión nodular cavitada periférica del paciente anterior.
Lesión nodular periférica de bordes espiculados.
Carinoma dde celulas grandes • Se denominan asió por exclusión • generalemte son periféricos y grandes
Tumor de células grandes, periférico, lobulado, con neumonitis post obstructiva. Adenomegalias ipsilaterales.
Carcinoma de celulas pequeñas • Altamente asociado a tabaquismo 10 -15% de cancer de pulmón. • Sospechar ante un hilio pulmonar aumentado de tamaño. • sin tratamiento, la sobrevida es de 2 -4 meses. • Mas común de localización central.
Enfisema centrolobulillar. Infiltrados intersticiales. Masa parahiliar izqueirda.
Masa hiliar lobulada con infiltrados interticiales y compromiso del bronquio intermedio. Atelectasia .
Adenoma bronquial • Es una denominación mala que comprende una serie de tumores de bajo grado de malignidad, que se origina en bronquiso principales y la traquea: carcinoide, cilindroma adenoquístico, mucoepidemoide. • en la nueva clasificación de la OMS de 1999, se incluye dentro de los carcinomas de pulmón de células pequeñas.
Carinoma de pulmón de células no pequeñas • Carcinoma de células escamosas. 1. Papilar 2. De cel. Claras 3. De cel. Pequeñas 4. Basaloides Adenocarcinoma 1. Acinar 2. Papilar 3. Bronquioalveolar(no mucino, mucinoso, intermedio) 4. Adenocarcinoma sólido 5. Variantes. mucinoso cistoadenocarcinoma. Adenocarcinoma de células claras. c
Cancer de pulmón de células pequeñas • Enfermedad de estadío limitado. Limitado al hemitórax y medioastino homolateral. A ganglios subclaviculares. • enfermedad de estadiío generalizado: diseminación más alla de áreas subclaviculares. 1. Carcinoma de células pequeñas 2. Carcinoma mixto de células pequeñas y grandes 3. Carcinoma de células pequeñas combinado.
Detecciond e cancer de pulmón. • • En primera instancia la clínica radiología de tórax Citología de esputo Tc helicoidal ( no se reqaliza en todas las unidaddes médicas. )
Importancia del diagnóstico por imágenes • • • detección Diagnóstico estadificación monitoreo de recurrencias. respuetsa al tratameinto.
Metdodos diagnósticos por imágenes • radiofrafía simple y tc. Para detección primaria y de emtástasis intratorácicas. • RMN. Se prefiere para evaluacio´n del tumor de pacoast. Evaluando extensión local. Compromiso vascular y plexo braquial. También cuando la TC no es concluyente sobre pared torácica ó diafragma.
Manifestaciones radiológicas • infiltrados post obstructiva. Bronquiectasias. tapones mucosos. Puede ser dificil diferenciar de una neumopatía aguda. • engrosamiento de la pared bronquial ( manguito bronquial ) • condensaciones parenquimatosas de lenta evolución ( bronquioalveolar) • condessación por atelectasia • desestructuración del parenquima con engrosamiento pleural.
• Nodulos pulmonartes con bordes espiculados. • Masa pulmonar irregular. Con bordes lobulados umbilicados. • engrosamiento pleural con bordes nodulares. • opacidad apical con ó sin lesió ósea ( pancoast) • masa pulmonar cavitada.
Otras características que ayudan al diagnóstico de ca de pulmon. • 2 -3 veces más común en el pulmón derecho que en el izqueirdo. • más común en lóbulos superiores • celulas pequeñas y escamosas, son más comunes centrales, pueden ser periféricos. Los escamosos cavitan. • el adenocarcinoma puede ser central pero mayormente es periférico. • el 4 % se ubica en el ápice. Pancoast.
Neumonitis postobstructiva. Dilataciones bronquiales.
Nodulo pulmonar con bordes espiculados
Masa bordes lobulados y espiculados, con infiltrado intersticial.
Dosm pacientes con masas tumorales cavitadas.
Tamaño, localización grado de extensión del t. Primario. • T 1. diam. <ó = 3 cm, rodeado de pulmón sin compromiso de bronquio lobar. • T 2. superior a 3 cm. Afecta bronquio principal a +2 cm de la carina. Invade pared visceral. Se asocia a neumonitis obstructicva ó atelectasia. • T 3. de cualquier tamaño. Infiltra bronquio principal. A menos de 2 cm de carina. Invade pared t. diafragma , mediastino. Pericardio. • T 4. cualquier tamaño, invade mediastino , corazón. Grandes vasos, esófago. Cuerpo vertebral y carina. Uno ó más nódulos satélites dentro del mismo lóbulo. , derrame pleural o pericárdico maligno.
Gran masa, que compromete pared torácica. T 3
Adenocarcinoma T 1, lesion nodular.
Lesion nodular lobulada, rodeada de areas de vidrio esmerilado. Asociado aneumonitis obstructiva. T 2
T 3. se observa atelectasia, neumonitis obstructiva que compromete todo el pulmón. Derrame pleural y pericardico.
Se observa compromiso del cuerpo vertebral.
Nodulos intratorácicos secundarios, ganglios linfáticos. • N 0 - ausencia de MTS linfáticos • N 1 - presencia de MTS intrapulmonares , peribronquiales ó hiliares ipsilaterales. • N 2 ganglios mediastínicos ipsilaterales ó infracarinales. • N 3 - infiltración de ganglios contralaterales mediastínicos ó hiliares. Compromiso de ganglios supraclav ipsi ó contralaterales.
Estaciones ganglionares para estadificar ca de pulmon.
Estadificación de ca de pulmón de células no pequeñas • T tamaño , localización y grado de extensión del tumor primario. • N. presencvia ó no de nódulos secundarios. • M ausencia o presencia de metástasis a distancia.